Open End: Mikroskopische Sternstunden
- Climbingfreak
- Erledigt
Es gibt 79 Antworten in diesem Thema, welches 22.863 mal aufgerufen wurde. Der letzte Beitrag () ist von Grüni/Kagi.
-
-
Hi.
Ich hatte gestern diesen Beifang in der Lamelle von einem Düngerling. Hat mich dann etwas abgelenkt. Jemand eine Idee was das für ein Alien ist?
Hat hinten kleine Beinchen.
Körper segmentiert mit komischer Struktur in der Mitte. Im Kopfbereich ist auch ein kleiner auffälliger Zellenverbund.
Mit Zähnchen.
LG,
Schupfi
-
Hallo Schupfi,
das ist ein Wasserbär.
Extrem außergewöhnliche Tiere, unbedingt mal googeln.
Faszinierend.
Gibt auch richtige Liebhaber dieser Tiere, samt Foren.
Viele Grüße
Thomas
-
Hallo Schupfi,
ich tippe eher auf eine Larve (von was auch immer). Die Bärtierchen, die ich bisher beobachten konnte, hatten alle ein paar Beine mehr (gesamt 8).
Freundliche Grüße
Peter
-
Hi.
Ja, ich fand auch, dass das eher wie eine Larve aussieht, da das Wesen nur am hinteren Körperteil Beinchen hatte, während bei Bildern von Bärtierchen die Beine bis vorne gingen.
War jedenfalls interessant zu sehen, außer Nematoden hatte ich noch nicht viel lebendiges als Beifang in meinen Präparaten.
LG.
-
-
AUTSCH!
-
Hallo,
vor einigen Jahren kam aus einem Pilzkörbchen das folgende Tier gekrochen, das ich unbedingt unters Mikroskop legen musste.
Es sollte sich um einen Bücherskorpion handeln. Da habe ich so viele Bücher zuhause und das Tierchen findet sich einfach so im Wald.
Gruß
Peter
-
-
Der Mehltau auf Sambucus hat mittlerweile übrigens einen neuen Namen bekommen: Erysiphe vanbruntiana var. ssambuci-racemosae.
Björn
-
Es sollte sich um einen Bücherskorpion handeln.
Servus Peter, was für ein geniales Bild!!
Darf ich fragen wie du das hinbekommen hast? Mit einem 4x Objektiv und Kombination aus Durchlicht & Auflicht rate ich mal?
Ich hatte im Frühjahr mal eine aus meinem Bein entfernte Zecke zur Strafe mikroskopiert… hatte aber mit allerlei unschönen Brechungsphänomen zu kämpfen. Bis ich mit Blenden und zusätzlichen externenLichtquellen ein akzeptables Bild hinbekommen hab war’s ein langer Weg von Trial und viel Error. Die chromatischen Aberrationen bekommt mal zwar mit Tools nachträglich weg, aber dafür bleibt dann ein unschöner Schatten..
bei deinem Bild sind die Konturen knallscharf- ich bin schwer beeindruckt!
Viele Grüße Ingo
-
Hallo Ingo,
ich glaube, es war das 4er Objektiv, könnte evtl. auch mein 2er gewesen sein. Irgendwo müsste ich das Präparat noch aufbewahrt haben.
Die Aufnahme wurde mit polarisiertem Licht gemacht und einem Hilfsobjekt im Strahlengang. Kurz gesagt, Polfilter über der Lichtquelle, zweiter Polfilter um 90 Grad versetzt zwischen Objektive und Okulare. Bei dieser Totalauslöschung des Lichtes ist das komplette Bild dann schwarz. Es kommt kein Licht durch. Nur "optisch aktive Elemente" können die Richtung des Lichts beeinflussen und leuchten deshalb auf.
Als Beispiel hier: Oben sieht man Zystiden des Risspilzes Inocybe whitei ganz normal im Hellfeld. Unten die gleiche Aufnahme zwischen zwei Polfiltern. Nur die Kristalle sind optisch aktiv und leuchten deshalb auf, der Hintergrund bleibt schwarz.
Beim Bücherskorpion habe ich zusätzlich über den Polfilter am Lichtausgang noch ein Hilfsobjekt in den Strahlengang gebracht, eine Plastik-CD-Hülle. Das lässt mehr Licht duch und beeinflusst die Farben. Deshalb ist das Tierchen so "farbverschoben".
Ich hoffe, ich habe mich - als Nichtphysiker - einigermaßen verständlich ausgedrückt.

Gruß
Peter
-
Abgefahren Peter! Danke für die Erklärung, ich habe schon vermutet dass da noch etwas Hokosupokus dahintersteckt, sonst hätte ich nicht gefragt

Dann ist also der Bücherskorpion nicht nur das vermutlich schlauste Spinnentier sondern auch ein charmanter Lichtverdreher! mich wundert dass der so in Gänze abgebildet wird - oder ist der von Swarowski
? Aber vielleicht hat das ja mit der CD Hülle zu tun?Es nimmt mir jedenfalls die Angst, dass mir die Mikroskopie bald langweilig werden könnte

Viele Grüße Ingo
.
-
-
Ein Mitbringsel aus dem Kindergarten. Unter dem Mikroskop erkennt man die hohe evolutionäre Anpassung auf das Leben im Menschenhaar. Alle Beinchen tragen quasi Karabiner zum Einhaken. Am Kopf erkennt man Tastorgane für das Finden einer geeignete Stelle zur Nahrungsaufnahme. Die Mahlzeit findet sich im Abdomen (Nativpräparat, keine nachträgliche Färbung, 100x, Stack aus 16 Einzelbildern, ansonsten unbearbeitet)
Der Forensiker erkennt feine Bläschen im Verdauungstrakt und im Tracheensystem- es ist Silikonöl und hat zum Tod dieser Nymphe von "Pediculus humanus capitits" geführt.
Ich finde das Bild würde durchaus als Aufdruck für ein Metal Band T-Shirt taugen...
Grüße Ingo
-
Brrrr, da juckt mir sofort der Schädel…
Ich hatte letztens ein Bärtierchen, ich war sofort schockverliebt! Aus einem Moosaufguss kam dieses drollige Tier. Ich weiß zwar nicht, ob das überhaupt eine mikroskopische Sternstunde ist, aber für mich war es eine 🥰
Das kleine Video muss ich erst irgendwo hosten, um es hier hochladen zu können.
Et voilà: Und diese Beinchen! 😍
Externer Inhalt youtu.beInhalte von externen Seiten werden ohne deine Zustimmung nicht automatisch geladen und angezeigt.Durch die Aktivierung der externen Inhalte erklärst du dich damit einverstanden, dass personenbezogene Daten an Drittplattformen übermittelt werden. Mehr Informationen dazu haben wir in unserer Datenschutzerklärung zur Verfügung gestellt.Liebe Grüße, Tuppie
-
Hallo Tuppie,
zu niedlich die Bärtierchen und extrem robust.
Viele Grüße
Thomas
-
Auf meiner Fensterbank steht ein kleines Gefäß mit zwei OT und etwas Wasser. Immer mal wieder nehme ich sie raus und decke sie ein.
Im Moment sind massenhaft Cyanobakterien, viele Rotifer und ein paar Gastrotrichen enthalten (im Moment viele Überdauerstadien da es ein wenig trocken Gefallen ist).
U.a. habe ich heute diese schöne Spirale aus Cyanobakterien gefunden (eine kurze Übersicht über den Schlüssel führt mit zu Nodularia sp. welches als in Erde lebendes Cyanobakterium gut zum Kontext passt. In dem kleinen Gefäß war vorher eine kleine Pflanze zum bewurzeln).
-
Hallo,
Das sieht ja toll aus !
Gute Idee mit den OT im Glas.
Viele Grüße
Sandra
-
Ich habe mal wieder die kleinen Proben aus dem Gefäß geholt wärend ich hier auf etwas Wochenendarbeit warten muss. Habe die Probe schon länger nicht mehr "gegossen", der Wasserstand ist niedrig und viele Rotifer überdauern in Trockenstadien. Ein paar aktive sind noch unten und wirbeln Cyanobakterien durch die Gegend. Hier versurchsweise als Gif (ggf öffnen und Vollbild anzeigen lassen).
DIC habe ich leider nur zuhause. Das hier ist mit schiefer Beleuchtung (tolle Worte für "ich habe den Finger von unten in den Kondensor gehalten") aufgenommen.
Falls das Einfügen des Gifs hier nicht OK ist bitte melden, dann lösch ich das wieder.
-
Hallo PBR (hast du auch einen richtigen Namen?)
Das sieht ja spannend aus - ist das Gezeigte jetzt ein Rädertierchen?
Diese "falsche DIC" kommen bei mir zufällig zustande, wenn ich mit dem Handy durch das Okular fotografiere und irgendwie einen falschen Winkel erwische

Heute habe ich festegestellt, dass ich ein Eimerchen Wasser im Gewächshaus hab stehen lassen und da bildet sich aucg schon algenähnlicher Belag. Vielleicht kann ich morgen schon was einstellen. Danke für`s Zeigen Deiner Mikros - in Ermangelung pilzlicher Wesen, hier endlich wieder eine Idee das Mikroskop nützlich einzusetzen.
Es grüßt Sandra alias Hilmi
-
Sorry, keine Unterschrift - ich heiße Peter.
Die Arbeit kam dann und der Beitrag musste raus.
Das ganze kann auch wiederholbar gemacht werden indem man sich eine Blende (z.B. aus Pappe) in den Kondensor schiebt.
Gruß
Peter
-
Hallo,
so ein Bärtierchen kann noch viel mehr als nur toll aussehen, auch wenn sie biologisch gestorben sind, können sie wieder zum Leben erwachen.
VG,
Steffen
-
Hallo zusammen
Ich zeige euch hier mal die vermutlich längste Zystide der Welt.
Heute beim Mikroskopieren eines Risspilzes sah ich dieses Objekt, das ich zunächst für einen Fremdkörper hielt:
(hier 100fach vergrösstert)
Bei genauerem Hinsehen zeigt es aber die gleich KOH-Reaktion wie die normalen Zystiden und hat sogar die typischen Kristalle am Apex.
Und es entspringt direkt an der Lamellenschneide.
Habe mal grob gemessen, das Ding ist etwa 1 mm lang.
Ist das eine mutierte Zystide oder doch etwas völlig anderes?
Gruss Raphael
-
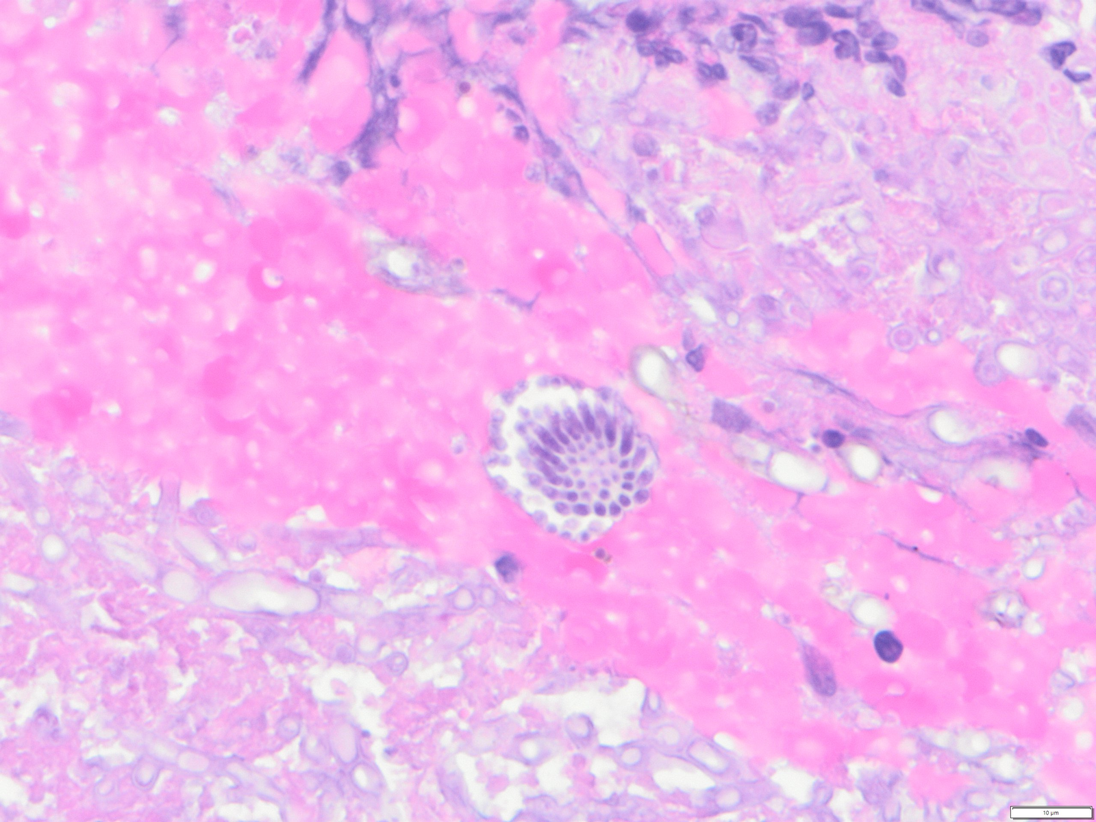
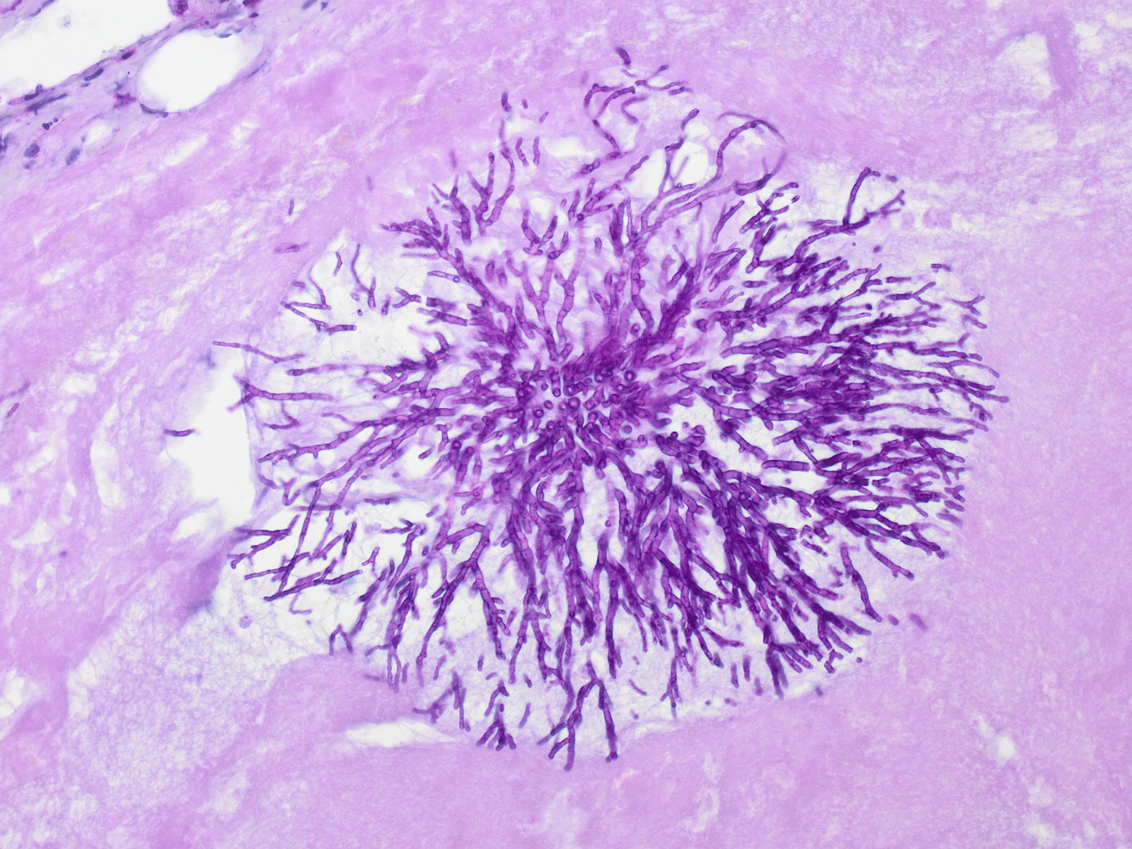
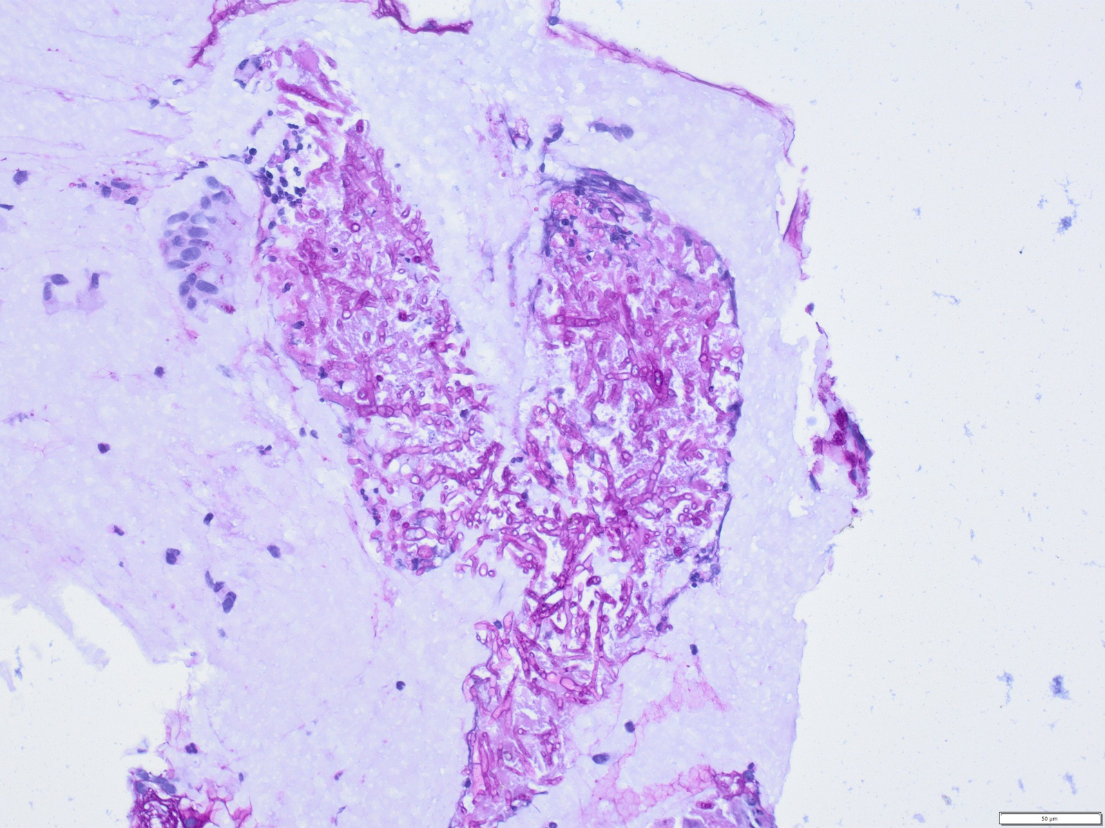
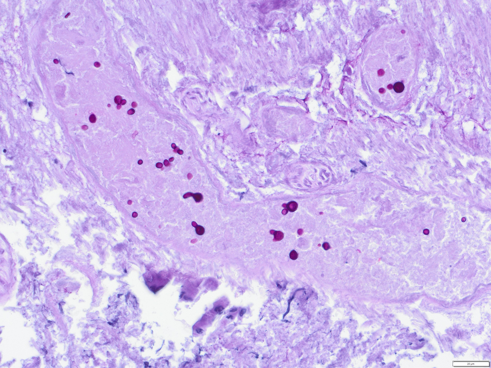
Guten Abend zusammen! Pilze - aber mal an Stellen wo sie nicht sein sollen:
Aspergillus sp. in einem Erguss. (PAS Färbung).
Pilzorganismen - Wahrscheinlich Hefen, invasiv in einem abgestorbenen Blutgefäß der Bronchialschleimhaut. (PAS)
Aspergillus, nicht invasiv aus dem Bronchialsystem. (PAS) Zusammen mit Schleim und Bronchusepithelien (Oben links bei ca. 11 Uhr)
Konidiophor zum Fall oben. Sieht man recht selten. (HE)
Pilzbestimmung in der Histologie ist selten Zielführend da bestimmungsrelevante Merkmale entweder nicht auftauchen (bzw. nicht vollständig abgebildet sind) oder die Morphologie nicht immer typisch ausgeprägt ist. Wenn nötig (z.B. wenn bei einem Zufallsbefund kein Material an die Mikrobiologie gegangen ist) wird sequenziert. Schimmelpilz vs. Hefe ist erstmal das höchste der Gefühle.
Arbeitstiere der Färbungen sind neben PAS auch PAS nach Diastase Verdau (D-PAS) und Versilberung nach Grocott (beide Zeige ich gerne wenn entsprechende Präparate vorbei kommen).
Viele Grüße
Peter
Challenges and Pitfalls of Morphologic Identification of Fungal Infections in Histologic and Cytologic Specimens: A Ten-Year Retrospective Review at a Single InstitutionAbstract. Despite the advantages of providing an early presumptive diagnosis, fungal classification by histopathology can be difficult and may lead to diagacademic.oup.comDiagnosis from Tissue: Histology and IdentificationThe diagnosis and initiation of appropriate treatment against invasive fungal infections depend upon accurate identification of pathogens by pathologists and…www.mdpi.com
