Liebe Pilzfreunde,
mir ist schon wieder ein nicht lichenisierter Ascomycet unter das Mikroskop gewandert.
Gefunden auf einem Gemisch aus Erde, verottendem Gras und Kot von einem Kleinsäuger (nehme ich an, kleine Stiftchen).
Kleine bis ca. 2mm große teils gruppiert stehende Apothecien mit deutlichem aber sehr schmalem Rand.
Das Hymenium ist sehr locker und kann wieder mit der Präpariernadel abgehoben oder "durchgeblättert" werden. Sowas kenne ich von Flechten überhaupt nicht.
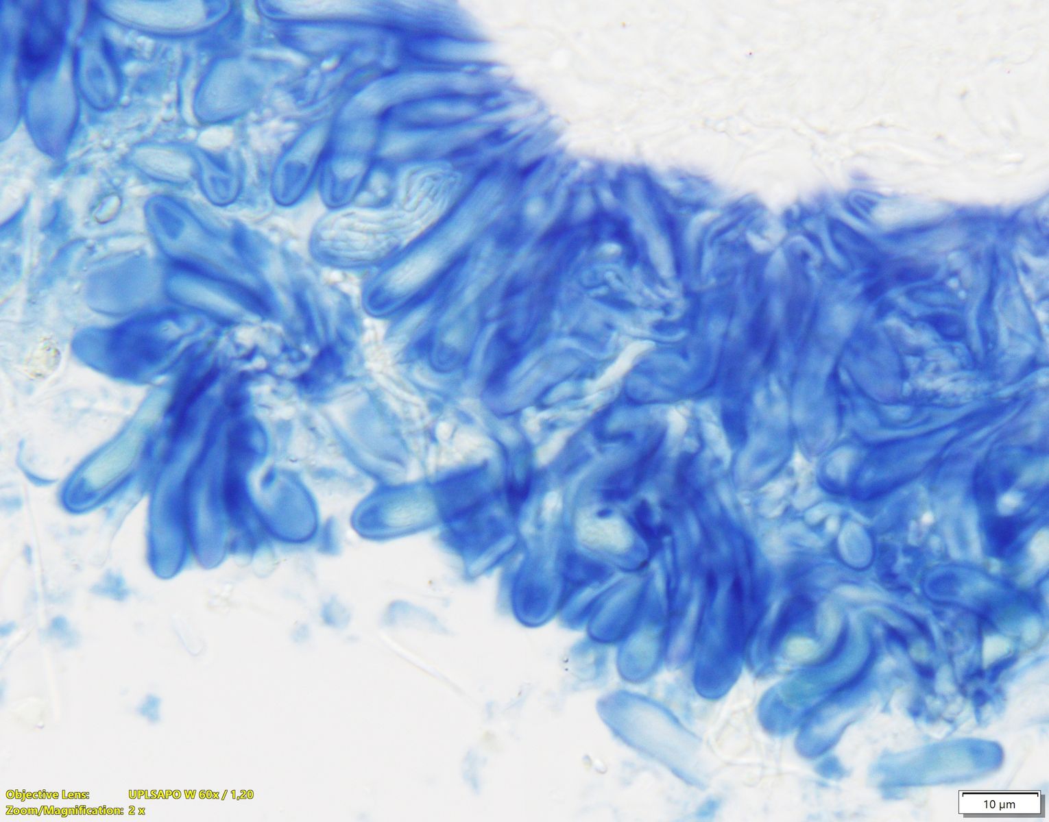
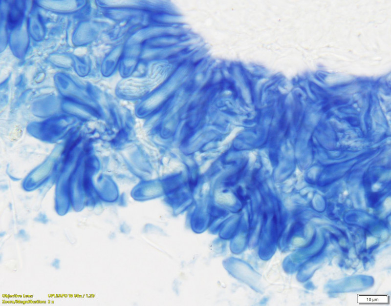
Asci ca. 180-230 x 22-23 µm mit jeweils 8 Sporen. IKI braunrötlich. Kein Apikalaparat anfärbbar (auch nach K).
Sporen elliptisch, (23,8) 24,5-26,4 (26,6) x (12,1) 12,7-14 (14,2) µm, Ratio: (1,8) 1,8-2,1 (2,1)
Paraphysen etwas kopfig aufgetrieben, bis weit nach oben septiert. 2,8-4,5 µm im Durchmesser. Im oberen Teil braun pigmentiert.
Deutliches aber schmales Excipulum aus polygnalen pigmentierten Zellen.
Ich komme beim Schlüsseln nach Ascomycetenprojekt zur Gattung Dermea wobei die ja überwiegend auf Holz sein soll. Nach PDS1+Cryptogamia helvetica komme ich nicht so recht weiter.
Dungpilz oder nicht? Wie könnte ich hier weiter machen? Über Vorschläge, Feedback oder Hinweise wäre ich dankbar.
Peter
PS: nach Hinweisen von Thorben und Tori komme ich zu Pseudombrophila hepatica (vielen Dank!)

(1)

(2) Becherchen. Die schwarzen Knubbel und Stränge sind Cyanobakterien

(3) noch ein Becherchen.

(4) AP Querschnitt in Wasser

(5) Excipulum

(6) weitere Details vom Excipulom.

(7) Sporen und Paraphysen

(8) in IKI
+
(8) Ascusspitze

(9) Fädige Cyanobakterien aus den schwarzen Strängen und Knubbeln.
Edit: Typos und Bestimmungs-Update.