Wow, spannend! Danke fürs Teilen.
Grüßle Hilmi
Es gibt 79 Antworten in diesem Thema, welches 22.396 mal aufgerufen wurde. Der letzte Beitrag () ist von Grüni/Kagi.
Wow, spannend! Danke fürs Teilen.
Grüßle Hilmi
Ich bin gerade noch auf der Arbeit und Räume vor einer Woche urlaub ein wenig den Tisch auf.
Dabei habe ich noch ein Fall der euch vielleicht interessiert. Wenn das jemand zu viel wird sagt bitte bescheid, dann versuche ich das anders zu posten.
Das letzte mal habe ich invasive Mykosen gezeigt. Im Sinne von der Pilz dringt in das Gewebe ein, bzw. hat in einem Fall schon Zugang zum Gefäßsystem gefunden (hieraus wird dann eine Fungämie - also Pilze im Blut resultieren, je nach Ausprägung dann bis zur Sepsis).
Dies ist ein ziemlich exemplarisches Aspergillom (leider habe ich keine Bilder vom Präparat, wer wissen will wie sowas aussieht: Wikipedia).
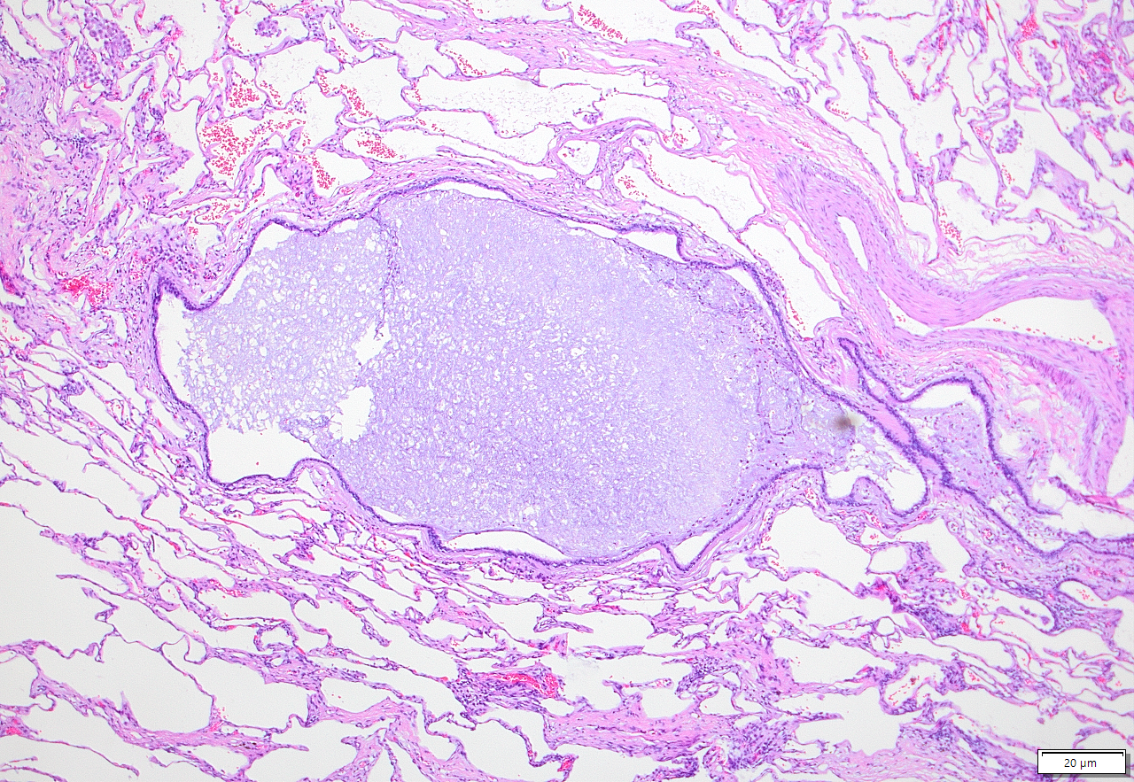
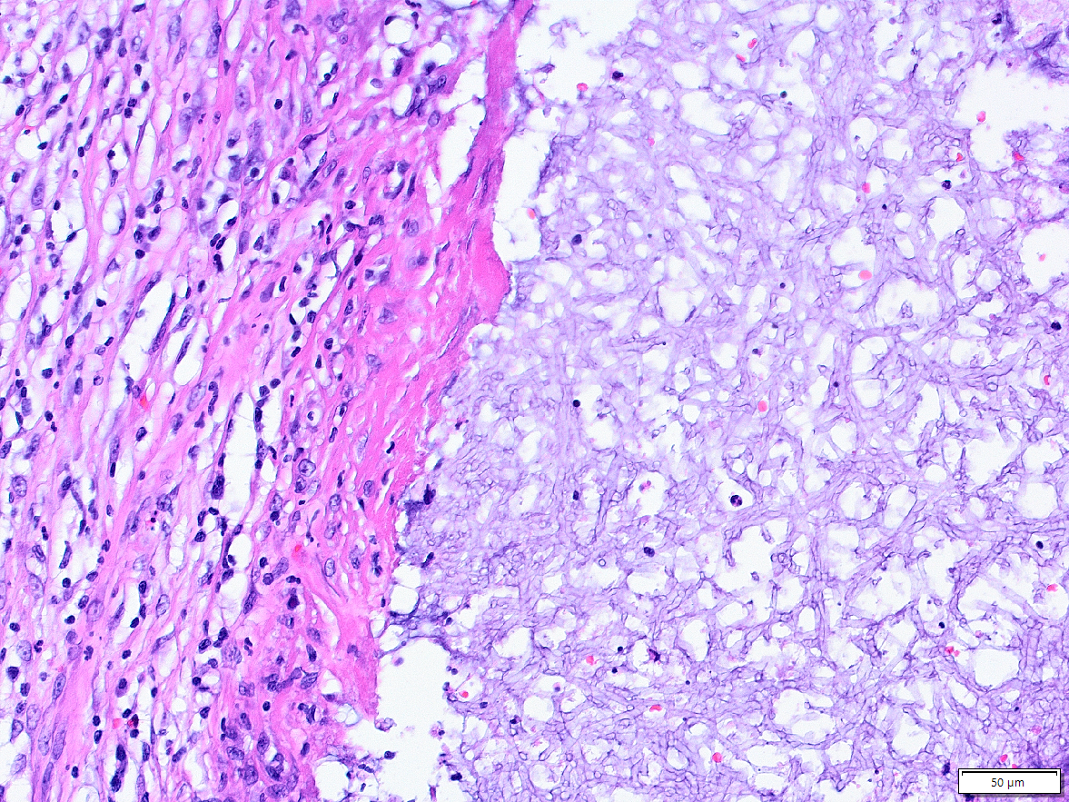
Ein Aspergillom ist gekennzeichnet durch (zunächst) nicht invasives Wachstum der Pilze. Hier in einem erweiterten Atemweg. Durch den dauernden Entzündungsreiz kommt es zu einer destruktion der lunge (im Bereich links ist nur noch Narbe, oben ist Emphysem, die Alveolarsepten "Lungenbläschen" sind also schon ziemlich kaputt).
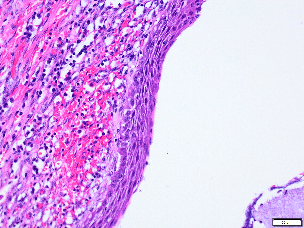
1. Übersichtsbild. 1/4 der aufgeweiteten Bronchiektase (Erweiterter Atemweg) mit umliegender vernarbter Lunge
2. Man erkennt den Atemweg hier noch an der typischen Epithelauskleidung (mit Flimmerhärchen). Unter dem Epithel (also hier oben) ist ein "rundzelliges" Entzündungsinfiltrat. Also vorwiegend Lymphozyten und Plasmazellen - träger der chronischen Entzündung. Im Luftraum selber sind Pilzhypen.
3. Der Hohlraum ist aber nicht überall durch "Atemwegsepithel" ausgekleidet. Hier sieht es anders aus. Das ist Plattenepithel. Eine Metaplasie -> Das Epithel hat die Differenzierung geändert um dem dauernden Reiz besser entgegenstehen zu können.
4. Stellenweise ist das Epithel ganz weg. Hier haben zu Riesenzellen fusionierte Makrophagen (also Zellen des Immunsystems) eine Barriere gebildet. Das finde ich Spannend.
Nota bene: An keiner Stelle zeigt sich ein eindringen der Pilze in den Körper!
5. Es kommt aber was aus dem Körper in den Pilz: Neutrophile Granulozyten (also Träger der akuten Entzündung), kommen und "kämpfen" gegen den Pilz.
Das Aspergillom ist also quasi ein Zeichen einer noch Immunkompetenz - der Prozess kann zumindest auf eine Stelle beschränkt werden. Der Kollateralschaden ist aber hcoh.
Ich habe für euch nach Konidiophoren gesucht aber keine gefunden. Daran könnte man ggf. Artdiagnosen wagen, aber wie ich zuvor schon geschrieben habe - das überlasse ich den Mikrobiologen. Patho-morphologisch geht es da über "vereinbar mit Aspergillus sp." nicht hinaus. Ggf. könnten wir eine PCR machen, aber die behandelnden Ärzte wissen mit sicherheit schon wie der heist.
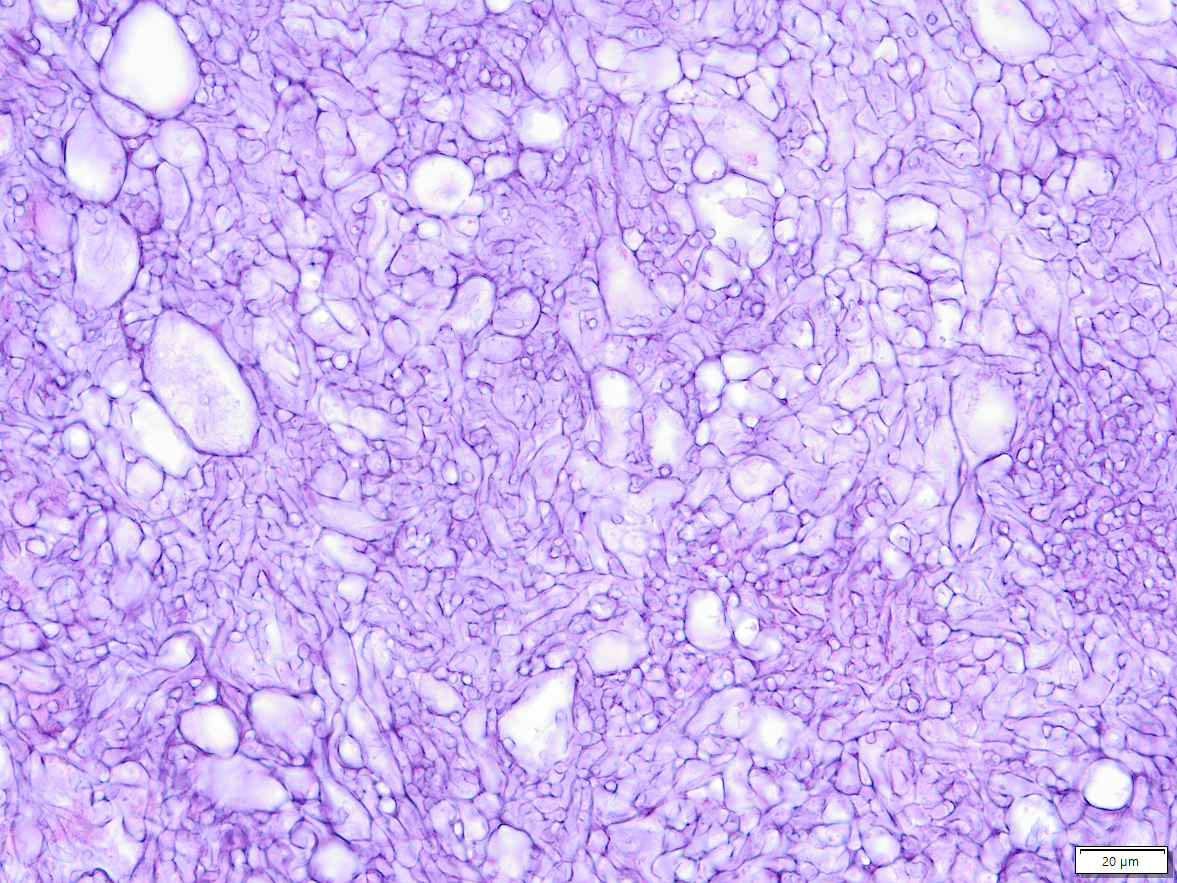
Noch weitere Impressionen aus dem Pilz. Was er hier genau macht kann ich euch nicht sagen. Vielleicht weis ja jemand von euch die Spielarten anzusprechen?
6.
7.
8.
9.
Viele Grüße
Peter
I had a lot of fun microscoping leaves, trying stains, polarisation etc. It begun when I needed to distinguish between Fraxinus excelsior and F. pennsylvanica on base of last year's skeletized leaves (Hymenoscyphus fraxineus + H. albidus grow on both species, but H. pusillus only on F. pennsylvanica). Fortunately, F. pennsylvanica is easily distinguished by the presence of large prismatic crystals along leaf veins. Here they are on a fresh leaf (native preparation, tangential section, polarised light), and on on old skeletized vein occupied by a Hymenoscyphus (piece of the vein squashed in KOH, polarized light):
Another task was to distinguish leaves of Prunus laurocerasus from Ilex aquifolium. The latter can be pretty variable, having all shapes from toothed to entire margin, which resemble the false laurel. Here is P. laurocerasus main vein in polarised light, slightly stained with cresyl blue:
Some trees can be distinguished not only by wood anatomy, but also by petiole anatomy - the vein bundles often have a genus-specific pattern. But this was the first time ever I looked into microscope and saw something smiling back at me (Sorbus aucuparia, water, in UV).
Wow, that looks amazing! Thx 4 sharing. Oder so, my english is not the yellow from the egg.
I love the last one, looks like a teddy ![]()
Greetings Hilmi
Hallo,
eine meiner mikroskopischen Sternstunden erlebte ich vor über 14 Jahren. Damals hatte ich das Programm picolay heruntergeladen und war begeistert, dass damit mikroskopische Stereofotos möglich sind.
Das obere Bildpaar ist für Kreuzblick, das untere für Parallelblick. Auch heute noch gefällt mir der Stereoeindruck.
Es zeigt die stacheligen Sporen der Périgordtrüffel Tuber melanosporum.
Freundliche Grüße
Peter
Sieht Klasse aus Peter.
Komischerweise tue ich mir beim Parallelblick schwerer, als beim Kreuzblick.
Viele Grüße
Thomas
Hallo Thomas,
das geht mir genauso.
Gruß
Peter
Hallo Peter,
tolle Bilder!
Kreuzblick geht mir auch intuitiver von der Hand als Parallel.
Kennst Du den Stereo Pair Viewer von Rik? Der Benötigt einfach eine URL zu einem Bild (steropaar in einem Bild).
Dann kann man vergrößern und verschieben.
gruß
peter
Hallo!!!
Grade erst habe ich durch Zufall diese Kategorie entdeckt und diese schönen Pilzaufnahmen von Peter und wollte euch passend dazu noch was ergänzendes zeigen
Aspergillose Lunge
Grocott Färbung
Hier besonders, Ausbildung von Konidien, welche sich im Schnitt als kleine Perückenköpfe zeigen.
Habt eine schöne Weihnachtszeit
Alex
Oh schick. In der letzten Zeit habe ich auch wieder einige mit Konidien/Konidiophoren gefunden. Muss wohl das Wetter dafür sein...
Kennst Du zufällig irgendeinen morphologischen Bestimmungsschlüssel dafür? (nicht das ich darauf eine Diagnose aufbauen würde, aber mal gegen die Sequenzierung halten wäre spannend).
P
Hallo zusammen,
Komischerweise tue ich mir beim Parallelblick schwerer, als beim Kreuzblick.
das geht mir genauso.
falls es jemand interessiert: das liegt daran, dass der Kreuzblick auf einer Konvergenz der Augen beruht. Konvergenz ist ein Bestandteil der Akkomodationsreaktion, die wir alle täglich praktizieren. Bei der Fixation eines Objektes in der Nähe müssen unsere beiden Augen etwas nach innen gezogen werden um beide das Objekt abbilden zu können. Aus den Bildabweichungen, die dabei aufgrund unseres Augenabstandes entstehen (sog. Querdisparation) errechnet unser Gehirn einen dreidimensionalen Eindruck. Ein bewusstes "Innenschielen auf Kommando" können daher die meisten Menschen ohne große Mühe erlernen, sie müssen "einfach" die Akkomodation etwas übertreiben. Eine Divergenz (Außenschielen) ist physiologischerseits nicht vorgesehen und kann daher auch nicht bewusst durchgeführt werden (außer der Mensch hat eine vorbestehende latente/ manifeste Exotropie/Außenschielen). Maximal möglich ist bei gesunden (orthophoren) Menschen der Parallelstand (sog. Primärposition) bei entspanntem Blick in die Ferne. Im obigen Fall befindet sich das Objekt aber nicht in der Ferne, sondern in der Nähe (ich fixiere ja den PC Bildschirm und muss trotzdem so tun als würde ich in die Unendlichkeit blicken). Das erfordert ein deutlich höheres Maß an Selbstkontrolle.
Viele Grüße
Ingo
Hallo,
nachdem es draußen saukalt ist und sich kaum "gescheite" Pilze finden lassen, suche ich mir eben andere Motive zum Mikroskopieren. Von einem Mitglied des Mikroskopie-Forums habe ich kugelige Algen aus seiner Kultur erhalten. Ich freue mich jedesmal, wenn ich die sich drehend fortbewegenden "Bälle" durchs Bildfeld "fliegen" sehe.
Es handelt sich um Volvox aureus, eine meiner Lieblingsalgen. Die Algen finden sich immer wieder mal in Teichen. Die Aufnahmen entstanden im Dunkelfeld. Bin mal gespannt, ob es mir gelingt, die Wesen selbst weiter in Kultur zu halten.
Gruß
Peter
PS: Leider ist es mir nicht möglich, einen kleinen Video einzustellen (meine digitalen Kenntnisse sind beschränkt).
Wunderschön, Peter!
Das mit den Videos ist so eine Sache hier: Du musst ein Video erst irgendwo online hosten, ich lade so etwas immer auf Youtube hoch und verlinke dann dieses Video in meinem Post hier im Forum.
Liebe Grüße, Tuppie
Hallo,
mein erster Versuch ein Video sichtbar zu machen:
Vielleicht klappt es ja. (danke Tuppie!)
Gruß
Peter
Hallo Peter,
Danke für diese Aufnahme!
Das geht wirklich unter mikroskopischer Sternstunde ![]()
Gruß
Norbert
Boah, Peter! Wie wunderschön!!! Kleine Wunderwerke der Natur, trefflich aufgenommen ![]()
Hallo Peter, da sind dir ja wunderschöne Aufnahmen gelungen! Ich frage mich wie du sie so scharf abbilden konntest bei der Geschwindigkeit mit der sie offenbar herumkullern?
eine Belichtungszeit von zB 1/500 ist ja bei der geringen Lichtstärke im Dunkelfeld ja eher nicht möglich oder doch?
viele Grüße Ingo
Hallo Peter,
ich schließe mich den Vorpostern an: Wow! Tolle Bilder und ein tolles Video.
Und auch ogni volta möchte ich mich anschließen - wie hast Du das gemacht? An Einzelbildern hätte ich ja auf einen Mikroblitz getippt - aber das Video - große Klasse.
Peter
Hallo,
freut mich, dass ich es geschafft habe, das Video online zu stellen und natürlich besonders, dass euch das Video gefällt.
Die Einzelbilder sind am OLYMPUS BH2 Mikroskop entstanden und wurden bei 400 ASA 1/40 und 1/160 Sekunde gemacht. Dazu suche ich dann natürlich Stellen, bei denen die Kugeln möglichst still halten. Das ist wie bei Pilzsporen - man sucht die besten Stellen für die Fotos aus. Die Sporen haben erfreulicherweise einen geringeren Bewegungsdrang. ![]()
Für den Video habe ich nichts verändert, außer die Kamera auf "Video" verstellt. Den Rest macht das Ding von alleine. Das Video ist sogar gänzlich unbearbeitet.
Die Kamera ist eine einfache CANON EOS M 50 - aber ich bin sicher, das klappt mit anderen Kameras auch.
Freundliche Grüße
Peter
PS: Man sieht am Ende des Videos sogar eine Geburt. Rechts oben die "Mutterkugel" öffnet sich und lässt "Tochterzellen" frei.
Letzte Woche fand ich am Wegrand einige frische Sprosse Ackerschachtelhalm (Equisetum arvense)
Schachtelhalme verbreiten sich über Sporen, die eine besondere Technik zur Ausbreitung nutzen.
Sie besitzen meist zwei Haptere, welche sich in Abhängigkeit von der Luftfeuchtigkeit um die Spore wickeln bzw bei Austrocknung wieder strecken.
M1: Sporenpräparat in H2O ca 200x
M2: Sporenpräparat in H2O mit aufgewickelten Hapteren, einige Haptere von der Spore gelöst, ca 400x
So sind die Sporen durch den nächtlichen Tau von ihren Hapteren umwickelt und klettern sobald sie von den ersten Sonnenstrahlen getrocknet werden selbständig aus ihren Sporenträgern.
Um diese Technik nachvollziehen zu können musste ich etwas improvisieren. Ich habe ein Trockenpräparat unter dem Durchlichmikroskop mit dem 10er Obektiv mit einer Diagnostikleuchte seitlich beleuchtet. Dadurch erhielt ich ein Bild, das fast wie ein Dunkelfeld aussah.
Dann startete ich die Videoaufnahme und hauchte vorsichtig auf den OT. Sofort rollten sich die Haptere ein und sobald die Feuchtigkeit wieder evaporisiert war streckten sie sich teils sprunghaft wieder. Ich war über die Geschwindigeit überrascht.
Nachdem man im Forum keine Videos hochladen kann habe ich aus einem Video mal in eine gif Datei erstellt. Vielleicht kann ich so tricksen.
M3: Trockenpräparat der Sporen, Anhauchen (Erhöhen der Luftfeuchtigkeit) und Abtrocknen, Wiedergabegeschwindigkeit original (kein Zeitraffer!), ca 100x, gif Datei, stark komprimiert
Ich hoffe ihr hattet genausoviel Spass beim Betrachten wie ich- ich konnte kaum aufhören das immer wieder machen ![]()
Viele Grüße,
Ingo
DANKE. ganz großes Kino. ![]()
Hallo Ingo,
ich schließe mich Brummel an, ganz toll dokumentiert.
Das hatte ich noch nie gesehen, super!
LG, Martin
Hallo Ingo,
erstaunlich , was die Natur so produziert.
Und Du hast das so wunderschön dokumentiert.
Gruß Norbert
Wundervoll! ![]()
