Hallo Bernd,
stimmt, das hatte ich mich schlicht verlesen. Es heißt bei Wirth et al. eindeutig schwach pigmentiert.
Gruß, Martin
Hallo Bernd,
stimmt, das hatte ich mich schlicht verlesen. Es heißt bei Wirth et al. eindeutig schwach pigmentiert.
Gruß, Martin
Du gibst Sporengrößen 2,5-4um an.
Ich weiß natürlich nicht, wo der Schwerpunkt deiner Verteilung liegt, in der Mitte, eher bei 4 um oder mehr bei 2,5 um? Sollte sie mittig liegen, wäre die Mehrzahl der Sporen etwa 3 um groß, bei einer Streuung von knapp 1 um. Wo liegt der Messfehler? Bei 0,5 um (Ablesegenauigkeit)? Oder höher?
Ich habe nicht in anderen Quellen geschaut, wie groß die Sporen dort angegeben werden. Meiner Erfahrung nach schwanken die Angaben für Flechtensporen erheblich mehr als bei "normalen" Pilzen, wo es oft auf das Mikrometer ankommt und man mit genauen Messungen Arten trennen kann.
Vielleicht liegt der Unterschied darin begründet, dass bei den nicht lichenisierten Pilzen schon mehr (kryptische) Arten erkannt und voneinander getrennt wurden?
Die "dicken" Septen sind mir auch aufgefallen, aber eigentlich mehr als dunkler als die übrige Sporenwand. Bei C. pusiola werden auffällige Septen erwähnt und als besonders intensiv pigmentiert beschrieben.
Naja, war nur so ein Gedanke...
LG, Martin
Hallo Bernd,
mit den Stecknadeln habe ich mich bisher nur stiefmütterlich beschäftigt.
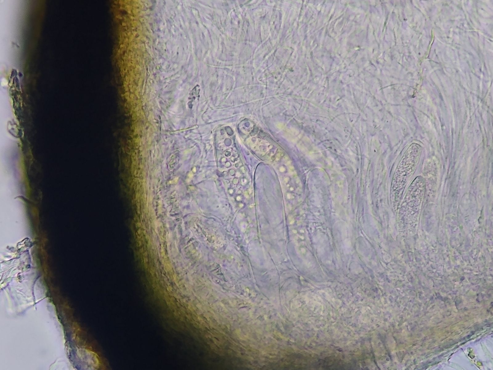
Der Gattungsschlüssel (in DFD) führt zu Chaenothecopsis (gestielt, Holz, Sporen 2z und schmal, Mazaedium schwärzlich, Asci lange intakt), da kann ich folgen.
Im Ch.-Schlüssel gelange ich dann über Rinde/Holz, ohne Cladonia, Sporen 2z, kein Harz zur Frage geleitet, ob der Pilz auf anderen Flechten oder Algen wächst. Wenn ich dich richtig verstanden habe, schließt du einen parasitären Pilz ja selbst nicht aus.
Dem Pfad folgend wird Ch. pusiola vorgeschlagen. Ich finde die Beschreibung im Schlüssel zum Fund nicht schlecht passend. Die Bände besitzt du ja, ich muss nicht zitieren.
Du gibst keine Information zur KOH-Reaktion an - wobei diese wohl sehr flüchtig zu sein scheint und damit ev. schwierig zu beobachten. Hast du sie probiert zu beobachten?
Die Abbildung zum Ch. pusiola (S.359) mit den sehr stämmigen Stielen erinnert mich auch an deinen Fund.
Könnte das sein?
LG, Martin
Hallo Bernd,
erstmal natürlich Danke für den Tipp!
Die Candelariella-Krusten, auch wenn sie vollständig blastidiat (?) aufgelöst sind, besitzen dann die einzelnen Granulen doch eine Rinde. Die gesuchte Flechte besitzt keinen Cortex, sie scheint völlig sorediös aufgelöst zu sein. Die Frabe stammt hier nicht von einem Cortex, der gelben Farbstoff birgt, sondern von den Algenzellen selbst. (Die Algen sind also auch etwas exotisch).
Auch die gattungstypischen lecanorinen Apothecien fehlen. Die Apothecien sind unberandet.
Mit Candelariella bin ich deshalb nicht einverstanden.
Vermutlich liegt hier irgend was exotischeres vor. Ein Pilz vielleicht, der nur fakultativ die Algen befällt? Der sollte eigentlich in der Flechtenliteratur berücksichtigt sein.
LG, Martin
Hallo Bernd,
der "Gartenschlauch" gehört vielleicht zu einem Schleimpilz (Capillitium).
Den Rest schau ich mir später mal an, jetz muss ich essen und dann in die Heia...
LG, Martin
Hallo,
folgende Kruste bereitet mir Kopfzerbrechen und ich kann den Fund bislang überhaupt nicht einordnen, nicht will passen.
Vielleicht hat hier jemand eine Idee?
Am vergangenen Wochenende im Spessart bemerkte ich an einem Lärchenstamm in bequemer Höhe einen intensiv gelben Thallus mit eingesenkten dunklen Fruchtkörpern. Spontan an Cyphelium denkend, lag ich aber völlig daneben.
Zum Fund:
Bild 0: Ein Basaltsteinbruch mit großer Lichtung. Der Waldrand im Hintergrund u.a. mit Rotbuchen und Lärchen.
Direkt an einer der Lärchen am Waldrand wurde der Fund gemacht.
Bild 1 Aus größerer Entferung unspektakulär, gelb leprös
Bild 2 Bei etwas größerer Vergrößerung sind dunkle Punkte erkennbar. Der Thallus erscheint rissig areoliert.
Bild 3 Im Zentrum der Areolen sitzen eingesenkt schwärzliche Fruchtkörper
Bild 4 Blick auf den trockenen Thallus.
Ich vermute, dass Fruchtkörper und gelber Thallus zusammengehören.
Denn die Fruchtkörper sitzen brav in der Mitte der Areolen und sind ringsum von gelbem, pulvrigem Thallus umgeben.
Die größten Fruchtkörper sind nicht über 500 µm groß.
Trocken ist der Thallus spröde, aber angefeuchtet wird er sehr weich, verflüssigt sich fast und die schwarzen Fruchtkörper lassen sich sehr leicht ernten.
Bild 5 In einem Wassertröpfchen schwimmend erscheinen die Fruchtkörper in Auflicht gelblich.
Die Größe beträgt 350-450µm.
Bild 6 Apothecium Querschnitt in Wasser: randlos und gewölbt.
Das Apothecium sitzt einer Schicht aus Algen auf.
Im Querschnitt wirkt die äußerste, gelatinöse Schicht (Epihymenium?) auf dem Hymenium grünlich in Durchlicht, in Auflicht ist sie dunkelbraun.
Die Algenzellen sind gelbgrün und erklären die Thallusfarbe.
Bild 7 Bei Lugol-Zugabe färben sich die Asci blau
Bild 8 Gequetscht erkennt man das gelatinöse, bräunliche Epihymenium, in dem die Paraphysen enden.
Die Paraphysen-Endzellen sind nicht verdickt. Der Durchmesser liegt bei ca. 2 µm.
Die Asci sind keulig und mit ev. 64 kugeligen Sporen angefüllt.
Die Ascuswand und die innere Schicht des Tholus reagieren in Lugol tiefblau.
Paraphysen und Hymenialgallerte sind J-.
Die Sporengröße liegt bei 3- max. 4µm Durchmesser.
Bild 9 Ev. ist die Verteilung der amyloiden Strukturen unreifer Asci hilfreich bei der Bestimmung? Sie wirkt etwas eigenwillig...
Die Paraphysen könnten um die Asci gewickelt sein (linkes Teilbild)
Bild 10 Thallus in Wasser: er besteht fast ausschließlich aus gelblichen Algenzellen.
Bild 11 Die Algen haben eine Größe von etwa 10 µm. Zwischen ihnen und an ihnen anhaftend sind längliche, hyaline Strukturen, in denen ich Pilzhyphen erkennen möchte. Diese Hyphenbruchstücke sind dünn (<=1 µm) und ihre Menge gering.
Bild 12 ... aber Pilzhyphen sind vorhanden und sie koppeln an die Algen an.
Bild 12
Hat jemand eine Idee? ![]()
LG, Martin
Hallo Ernst,
es liegt mir fern, enttäuschen zu wollen, aber was ist denn deiner Meinung nach das Außergewöhnliche bei dem Fund? Wenn ich dem deutschen Schlüssel (Cyanoflechte, keine Sorale, Lappenränder filzig-tomentös) folge, und die "dicht gesäumt"en Isidien am Thallusrand ernst nehme, lande ich gleich bei P. praetextata.
Isidien auf der Fläche würde ich zwar nicht überbewerten, die können immer an Verletzungen / Rissen entstehen.
Ignoriere ich die Isidien und gehe ich den langen Weg im Schlüssel, dann sehe ich deutliche Adern, einen großen Thallus, breite Lappen (bis um 3 cm).
Jetzt bleiben nur 1) die dünnlappige P. membranacea mit heller Unterseite und langen, dolchartig gebogenen Rhizinen (würde ich gleich ausschließen), 2) P. canina, die meist verfilzende kurze, weißliche Rhizinen besitzt und keine Isidien haben soll, sowie - und damit schließt sich der Kreis - P. praetextata, die sowieso bei weitem die häufigste Art der großen Peltigeren ist. Sie besitzt die dunklen Adern, hat am Rand eine weißliche Unterseite, die zur Mitte hin dunkel werden kann; pinselartige Rhizinen, irgendwohin gebogenen Thallusränder (meist erst aufwärts, am Saum dann nach unten gebogen)
Die aufgebogenen Ränder sind nicht ungewöhnlich. Fehlende Apothecien wollen auch nichts bedeuten.
Was vermutest du denn?
LG, Martin
Hallo zusammen,
über Ostern ging's in den kalten, nebligen und noch verschneiten, südlichen Schwarzwald.
Ein paar Eindrücke:
Bild 1 Weit unten ist's noch sonnig und warm
Bild 2 Große Blattflechten lassen sich hier in Bachnähe finden - u.a. krause Cetrelia cf. cetrarioidies mit weißlichen Pseudocyphellen auf der Oberseite, ...
Bild 3 ...oder grubige Lungenflechten, zu groß geraten, um sich im Moos verstecken können.
Bild 4 Schmetterlinge dürfen im Frühling nicht fehlen!
Bild 5 ...und so müssen Äste aussehen!
Bild 6 Weiter oben liegt noch Schnee
Bild 7 Sonderliche Cyanoflechten wachsen hier wie C. nigrescens
Bild 8 Im Reich des Nebels angelangt
Bild 9 Hier gedeihen prächtige Usneen (U. florida).
Bild 10 und grotteskte Ramalinen, direkt neben der Straße (R. fraxinea).
Bild 11 Hocken auf den Ästen, gleich alten Oktopussen auf der Lauer
Bild 12 Die Ahornstämme sind gesuchte Substrate.
Bild 13 Parmelia submontana rollt sich ein.
Bild 14 Melanohalea exasperata bevorzugt Äste und schmückt sich mit einer Unzahl Wärzchen (Bodenfund nach Baumschnitt)
Bild 15 Diese Essignapfflechte (Pleurosticta acetabulum) besteht fast nur aus Apothecien, von denen die größten so groß wie ein großer Daumennagel sind.
Bild 16 Meist begegnet einem nur die kleine Schwester Parmelina tiliacea.
Hier jedoch eine P. pastilifera. Sie ist zwar klein, hat aber die typischen, großen, schwarzen Isidien.
Bild 17 Auch Peltigera entwickelt sich prächtig
Bild 18 Im Wald kommt die Sonne durch
Bild 19 Cladonia polydacyla an der Stammbasis einer Fichte
Bild 20 Zunderschwämme
Bild 21 Cladonien im Moos mit roten Pyknidien an den Spitzen
Bild 22 Oft zu finden im feuchten Bergwald: Ochrolechia androgyna mit großen, gelbgrünen Soralen
Bild 23 Silikatfelsen gibt es auch genug
Bild 24 Braune Nabelflechten (Umbilicaria deusta) inmitten gelber Rhizocarpon cf. geograficum, der Landkartenflechte
Bild 25 Auch Lasallia pustulata stellt sich ein. Hier ein feuchtes, olivfarbenes Exemplar.
Bild 25 Eine runzelige Braunflechte auf Silikat mit grauen Soralen, Xanthoparmelia loxodes?
Bild 26 Vermutlich Fuscidea cyathoides im Mosaik. Braun in Braun mit gebogenen Sporen.
Bild 28
Aber genug hiervon, es sollte nur ein kleiner Einblick werden.
Mit etwas rotem Moos - keine Ahnung, was das ist - möchte ich mich verabschieden.
Ich hoffe, es hat ein wenig Lust auf einen eigenen Frühlingsausflug in die Flechten gemacht.
LG, Martin
Hallo Felli,
ich nehme an, die Sporen sind querseptiert, wenn du in Richtung Bacidia denkst?
Diese J+ weinrote Reaktion im Hymenium erinnert mich an Lecania, die allerdings einen Thallusrand besitzen und nicht so lange Sporen haben.
Neben der auffälligen J+ Reaktion, finde ich ferner den purpurnen Eigenrand auffallend, finde diesen aber leider nicht bei Bacidia erwähnt - außer als Umfärbung in KOH.
Wirklich weiter weiß ich auch nicht. Aber manche Flechten zeigen stark unterschiedlich gefärbte Apothecien, sogar in gleichen Thallus. Da alle drei Flechten auf Holunder gemacht und die gleiche auffällige Eigenrandfärbung (purpurn) zeigen, sowie diese J+ weinrot/braunrote Reaktion mit blauem Tholus (das gilt ansatzweise auch für das 3. unreife Beispiel) - könnte das womöglich alles die gleiche Art sein?
Hast du auch die Reaktion in KOH geprüft? Vielleicht hilft das weiter.
Viele Grüße, Martin
Hallo Bernd,
jJa, Acrocordia hat ganz typische Asci und Sporen.
Hier im Süden treffe ich nur auf A. gemmata an Rinde.
Abgesehen von Perithecien- und Sporegröße sind sich die beiden Arten wohl recht ähnlich.
LG aus dem Südwesten,
Martin
Hallo,
letzthin war ich zu Beusch bei meiner Mutter im Fränkischen. Gleich hinter der grünen Grenze im Raum Ochsenfurt/Giebelstadt kam ich auf der Landstraße an einem alten Mäuerchen vorbei, das offenbar zum Außenbezirk einer Burgruine gehört. Da muss man natürlich mal anhalten und gucken - das lohnt ja meistens.
Bild 1 Altes einstürzendes Kalksteinmäuerchen, unvermörtelt mit reichlich Nischen.
Erst mal nichts außergewöhnliches auf dem Kalkstubstrat, aber trotzdem immer schön anzusehen:
Bild 2 Protoblastenia rupestris mit seinem olivbraunem Thallus und unberandeten, flachen bis gewölbten, teils knäulig angeordneten, orangen Apothecien. Nicht selten an absonnigen Kalkfelsen.
Bild 3a Eine Diplotomma hedinii mit kräftigem, kreidigem Lager und weiß berandeten, bläulich breiften Apothecien.
Von der ähnliche Art D. alboatrum lässt sie sich am besten durch die Sporen trennen:
Bild 3b Die Sporen sind hier durchweg 4-zellig querseptiert.
Die Art mag es gerne etwas lichtreicher.
Tatsächlich wurde sie an der Ecke der Mauer gefunden, die am weitesten aus dem Wäldchen herausragte.
Bild 4 Pyrenodesmia variabilis ist eine unauffällige, aber bei bei näherer Betrachtung sehr schöne Flechte aus dem Caloplaca-Kreis.
Die weiß berandeten, bläulich bereiften Apothecien über dem braunen Thallus bilden einen hübschen Kontrast.
Bild 5 Die einzeln, rundlich und vulkankraterartig in die Areolen eingesenkten Apothecien verraten Circinaria contorta.
Bei dem Exemplar hier sind die meisten Scheiben kräftig weiß bereift.
Einige Scheiben im gleichen Thallus bleiben hingegen unbereift und erscheinen schwärzlich.
Da der Thallus nicht aus inselartig rundlichen Areolen besteht, sondern eine rissig zusammenhängende Fläche aus eckig-irregulär geformten Feldern bildet, liegt meinem Verständnis nach die Variante C. c. var. hoffmanniana vor.
Bild 6 Placynthium nigrum darf nicht fehlen. Hier Thalli mit gut erkennbarem blaugrünem, radial-fasrigem Prothallus.
Bild 7 Flechtenmosaik mit oranger P. rupestris und brauner L. inundata
Bild 8a In einer regengeschützten Nische eine weißliche Lecanora mit kleinen, bereiften Apothecien.
Der Thallus reagiert R-, aber auffallend UV+grün:
Bild 8b Grüne UV-Fluoreszenz des Lecanora-Thallus. Offenbar etwas aus dem Dunstkreis um Polyozosia albescens / P. pruinosa...
Spannend sind die pyrenocarpen Krusten:
Bild 9a Ockerfarbener bis grünlicher Thallus mit eingesenkten Perithecien auf kompaktem Steinmehl (?), bzw, sehr stark verwittertem Kalkstein.
Ich vermute Schäden durch Schneckenfraß hinter den grünen Bereichen und finde eine Stelle an der Mauer mit sehr unebener Oberfläche (ungünstiger fürs Schneckenzünglein) und einheitlicher Textur:
Bild 9b Verrucaria, die sich als V. viridula einordnen lässt.
"Viridula", da sie im feuchtem Zustand deutlich grüne Algeninseln zeigt.
Bild 9c Weißlicher, stellenweise ockerfarbener Thallus
Bild 9d Schnitt durch Perithecien und Substrat: Ringsum schwarzes Excipulum, vollständig ins Substrat eingesenkt.
Beim Ausfallen tiefe Gruben hinterlassend.
Kleines, apikales Involucrellum.
Große Sporen 26-31 x 16-19 µm, mit ca. 1µm dicker Sporenwand.
Bild 9e Hymenium mit den für Verrucaria typischen 8-sporigen Asci und großen, elliptischen Sporen.
Auf (vermutlich) derselben Verrucaria befinden sich auch größere, stark gewölbte Perithecien mit Durchmessern bis weit über 0,5 mm.
Bild 10a Großes Perithecium
Tatsächlich sitzen diese dem Thallus relativ lose auf (kippen beim Schneiden leicht um) und weisen auf eine andere Art hin:
Bild 10b Halbkugeliges, schwarzes Involucrellum, innen farblos, algenfrei. Im Zentrum ein kugeliges, dunkeles Excipulum.
Bild 10c Ungewöhnlicher Fruchtkörperbau mit dickem, weißem Bereich zwischen Involucrellum und Excipulum.
Bild 10d Die Sporen das Fruchtkörpers sind sehr ungewöhnlich: 1-zellig, haylin, lang gestreckt, etwas wellig, hantelförmig, mit verdickten Enden.
Sie messen in Wasser 29,5-36,5 x 3,5-4,5 µm (Breite an der dicksten Stelle bestimmt). ![]()
Bild 10e Asci sind inamyloid, 8-sporig
Hawkworth führt zu Sarcopyrenia gibba var. geisleri, einem lichenicolen Pilz auf diversen Krustenflechtenarten.
Verrucaria wird hier zwar nicht als Wirt erwähnt, die anderen Eigenschaften passen aber sehr gut, insbesondere natürlich die Sporenform.
Die Sporen und andere Mikrobilder / -daten inkl. Schlüssel für die Gattung Sarcopyrenia werden in einer Veröffentlichung von Navarro-Rosinés (2009) gezeigt. Neben diversen Caloplacen, Lecanoren, Aspicilia, Catillaria, Lecania, Protoblastenia wird hier auch Verrucaria (nigrescens) erwähnt, mit denen S. gibba geisleri vergesellschaftet sein kann. Offenbar ist nicht abschließend geklärt, ob der Pilz nur lichenicol oder auch lichenisiert auftreten kann.
Scheinbar ist der Pilz gar nicht selten. Man muss nur die Augen offen halten. Ich bin gespannt, wann ich wieder auf ihn treffe.
LG, Martin
Hallo Anna,
herzlichen Dank für deinen Tipp, das klingt tatsächlich wenig vertraut.
Zu Exarmidium inclusum kann ich leider nicht viel finden.
Am informativsten erscheint mir eine spanische Seite zu Exarmidium inclusum.
Erscheint mir jedenfalls nicht unplausibel, zumindest wenn die Mündung wie bei meinem Fund punktförmig beginnt und sich erst spät so stark wie beschrieben weitet.
LG, Martin
Hallo,
folgender schwarzer Pyrenomycet wurde auf einem Bruchstück aus moschem Totholz auf einem südexponiertem Magerwiesenhang in einem Trockental der Schwäbischen Alb gefunden. Die Perithecien sind schwarz, rund und glatt, die Mündung etwas eingedrückt und rund.
Bild 1 Habitat
Bild 2 Fundstück / Substrat
Bild 3 Auffallende Perithecien mit weißem Hof
Bild 4 Die isolierten Perithecien sitzen dem Substrat auf und haben eine Größe bis ca. 500µm. Angefeuchtet lassen sise sich leicht abscheren.
Der Weiße Hof entsteht vermutlich durch Lufteinschluss und könnte auf delaminierende Zellschichten zurückgehen.
Ein Thallus oder auch nur Algen sind nicht zu erkennen.
Bild 5 Der Querschnitt zeigt ein fast halbkugeliges Involucrellum, das basal abspreizt und auf dem Substrat aufliegt.
Das Involucrellum hat eine Dicke von 30-50µm.
Das Excipulum ist außen dunkelbraun, innen hell bräunlich.
Die hellbraunen Anteile färben sich in Lugol olivgrün, weshalb eventuell amyloide Anteile vorhanden sind.
Bild 6 Querschnitt in Wasser: Asci zylindrisch, inoperculat, 8-sporig.
Paraphysen, um 2µm, sind reichlich vorhanden.
Involucrellung und Excipulum reagieren in KOH nicht, bestenfalls färbt sich die Lösung etwas gelblich.
Bild 7 Die Asci sind zylindrisch und dünnwandig.
Vom Hymenium reagiert bestenfalls das Ascoplasma leicht rötlich (links), meistens bleibt es aber gelblich (rechts).
Bild 8 Versuch in Lactophenol-Anillinblau-Säurefuchsin ohne weitere Erkentnisse...
Bild 7 Die Sporen (in Wasser) sind hyalin, inamyloid (J- gelb), elliptisch bis tropfenförmig, mit ungleich großen Zellen und eingeschnürten Septen.
Kein Schleimhof. Die Sporen sind oft leicht gekrümmt und messen 20-22(-24) x 7,0-7,5(-8) µm.
Mit Hilfe der FoTE komme ich natürlich nicht voran, auch der Bresinsky hilft nicht.
In meiner Not habe versuchsweie die KI befragt: Die KI ist nach Füttern mit Bildern und Daten felsenfest davon überzeugt, Anisomeridium macrocarpum idetifizieren zu müssen, was ich nicht glauben kann und will.
Aber die Spur finde ich erst mal nicht schlecht und verfolge sie weiter: Da Anisomeridium bei den Flechten mit abgehandelt wird, versuche ich den Wirth/Hauck/Schultz-Schlussel Gattungsschlüssel und werde dort tatsächlich Richtung Arthopyrenium/Acrocodia/Anisomeridium geleitet. Ich gelange zu Arthopyrenium grisea, wobei das Substrat meist Birkenrinde wäre, die Asci der Gattung als pyriform beschrieben werden, mit deutlich verdickerter Ascusspitze. Passt also gar nicht!
Mit Italic gelange ich ebenfalls zum gleichen Ergebnis. Damit werde ich aber nicht glücklich.
Hat jemand vielleicht eine Idee zum Pilz oder (er)kennt ihn womöglich?
LG, Martin
Ein weiterer Fund wenige Meter weiter an der gleichen Felswand erweist sich als - nach längeren Abwägungen, obwohl erstmal makroskopisch anders wirkend - die vermutlich gleiche Art.
Der Thallus wirkt dicklich, warzig, schwach braunstichig.
Die Perithecien sind sehr stark bereift, das Ostiolum sitzt "eingedrückt" in der Tiefe.
Bild 12 Weitere Fundstelle
Bild 13 Einige Perithecien - Ich fühle mich irgendwie an kleine Blaubeeren erinnert. ![]()
Bild 14 Auch hier braune Hyphen an der Unterseite der Perithecien. Hierzu finde ich nichts in der Literatur.
Bild 15 Das Involucrellum hat einen sehr weiten Innendurchmesser (Öffnung), wodurch die Ostiole eingedrückt wirkt. Das Involucrellum berührt das Excipulum nur im obersten Punkt, spreizt unterhalb ab, was im Querschnitt schlappohr-artig wirkt.
Bild 16 8-sporige Asci mit submuriformen Sporen
Bild 17 Sporen mit relativ wenigen Zellen in Aufsicht, 1 Längssepte und 3-5 Quersepten, 35-40 x 15-19 µm
Stellt man die Angaben von Polyblastia verrucosa und Polyblastia cupularis (etwas verkürzt) gegenüber, so spricht die Mehrzahl der Eigenschaften meiner Meinung nach klar für P. verrucosa.
Die Gesamtheit der Details (insbesondere der dicke, epilithische Thallus) spricht auch beim ersten Fund für Polyblastia verrucosa. Puh, schwere Geburt... ![]()
LG, Martin
Hallo,
gefunden habe ich eine interessante, pyrenocarpe Kruste an einer stark zerklüfteten, kalkhaltigen Silikatwand in einer Klamm in den Hohen Tauern.
Die Felswand ist nachweislich kalkhaltig (sprudelt käftig in H+aq) und ist abschnittsweise mit Wasser überrieselt.
Die Fundstelle selbst wirkt eher bestenfalls leicht feucht.
Bild 1 Habitat: Klamm zwischen Glockner- und Granatspitzgruppe
Bild 2 Flechte in situ an geschützter Stelle direkt auf nahezu senkrechter Felswand aus geschiefertem, kalkhaltigem Silikat.
Bild 3 Schorfiger, schwach braunstichiger, weißlicher Thallus mit schwarzen, halbkugelig überstehenden Perithecien.
Manche Perithecien wirken schwach bereift.
Das interessante hier ist die Tatsache, dass die Perithecien dicht gepackt, in einer Art Sammelfruchkörper auftreten können.
Das sollte - falls tatsächlich Sammelfruchtkörper vorliegen sollten - die Auswahl erheblich einschränken:
Bild 4 Perithecium mit anhaftendem Thallus, zwei Ostiolen und nahtlosem (?) Involucrellum
Bild 5 Blick auf die Unterseite eines Einzelfruchtkörpers
Bild 6 Querschnitt durch Perithecien-Zwilling: Expipulum kugelrund, rundum schwärzlich.
Das Involucrellum scheint über beide Perithecien zu verlaufen; es reicht weit über die Hälfte nach unten, spreizt dort leicht auf.
Die einzelnen Perithecien haben einen Durchmesser um 500-550 µm.
Die eingesenkte Ostiole (links) hat einen Durchmesser von etwa 150µm an der engsten Stelle und endet auf einer abgeflachten Oberseite.
Bild 7 Sporen in Wasser, Probe noch ungequetscht => Blick ins Hymenium (ohne erkennbare Paraphysen)
Die Sporen sind elliptisch, hyalin und deutlich (sub)muriform mit 1-2(-3) schrägen Längssepten und 4-6(-7) schrägen Quersepten.
Die Asci sind 8-sporig, Ascuswände nicht erkennbar.
Sporengröße liegt bei 37,5-45 x 20-22,5 µm.
Eine Schleimhülle kann ich nicht erkennen.
Bild 8 Die Periphysen in und unterhalb der Perithecienöffnung sind deutlich erkennbar.
Weiter unten im Hymenium lösen sich die sterilen Hyphen (Paraphysen) auf und sind nur als leicht streifige Reststruktur in der Gallertmatrix erkennbar.
Bild 9a Sporen und Hymenium in Lugol. Die diagonalen Sporensepten sind gut erkennbar.
In Aufsicht sicher deutlich mehr als 10 Zellen (15-20?).
Bild 9b Ein weiterer Ascus(rest) mit 8 Sporen
Bild 10 Interessanterweise existieren im hemiamyloiden Hymenium tiefblaue, amyloide Einschlüsse mit harten Übergängen.
Ascushüllenreste?
Bild 11 Thallusfragment mit Grünalgen.
Aufgrund der Sammelfruchtkörper dachte ich schnell zu einer Bestimmung zu kommen.
Tatsächlich kommt man im deutschen Schlüssel (WHS-DFD) für pyrenocarpe Flechten bei Frage 11 zur der Abzweigung zu nur einer (!) Gattung mit Sammelperithecien: Mycoporum, mit lichenisierten und nicht lichenisierten Arten.
Das Blöde ist, dass Mycoporium erstens auf Rinde wächst und zweitens passen die Sporengrößen nicht.
Die gemessenen Sporen sind viel zu groß und vor allen zu breit.
Unterstelle ich, dass die Kruste nur aus einer Laune heraus Zwillingsfruchtkörper gebildet hat, schlüsselt man weiter bis zu Polyblastia (Paraphysen verquellend, Kalk- und Silikatgestein) oder Protothelenella (Paraphysen deutlich, auf Silikat).
Aufgrund der verquolllenen Paraphysen und dem kalkhaltigem Substrat schließe ich Protothenella aber aus.
Der Schlüssel zu Polyblastia s.lat. führt mich zu P. verrucosa (Beschreibungen zu Thallus, Sporen, Hymenium, Habitat etc.) passen gut überein.
P. cupularis möchte ich nicht gänzlich ausschließen; Diese Art zeichnet sich aber durch deutlich muriforme Sporen, also mit mehr als 2 Längssepten und einen dünnen bis endolithischen Thallus aus.
Nachtrag:
Der Schlüssel für pyrenocarpe Flechten von Orange führt zu "Polyblastia, Henrica, Atla and Sporodictyon". Diese vier Gattungen werden im deutschen Polyblastia s.lat.-Schlüssel gemeinsam mit Agonimia abgehandelt. Dem Ast für Polyblastia bei Orange folgend, gelange ich ebenfalls zu P. verrucosa.
Auch der gemeinsamen Polyblastia-Schlüssel bei Italic8 für die fünf bisher genannten Gattungen und Thelidium vor und führt ebenso zu P. verrucosa
Auch die bei Italic eingestellten Fotos zeigen ähnlich dicht verwachsene Perithecien wie beim Fund oben.
Alles in Allem verdichtet sich die Vermutung, dass P. verrusosa, ev. P. cupularis vorliegen sollte.
Was meint ihr?
LG, Martin
Hallo Björn,
vielen Dank! Sclerencoelia fraxinicola sollte besser zu passen. An Esche hatte ich auch gedacht (die liegen ja auch nach wie vor regelmäßig flach herum).
S. fraxinicola passt recht leidlich zu meinen etwas hemdärmeligen Messungen.
Die braun verklebten Paraphysenenden passen , wie die kleiige Außenseite der Fruchtkörper.
Da hatte ich ja recht, wegen den Fruchkörperchen stehen zu bleiben und genauer danach zu sehen.
Sehr schön - Danke!
LG, Martin
Bild 16 Feuchter Fruchtkörper
Bild 17 Verklebte, unverdickte Paraphysenenden
Hallo!
Ende Januar beim Gang durch einen Laubmischwald (Rotbuchen, Ahörner, Eschen, Eichen...) am Rande des schwäbischen Vulkans lag ein glattrindiger Laubbaum (Baumart leider unbekannt) am Waldwegesrand, der eine interessante Rindenstelle zeigte.
Eigentlich auf der Suche nach spannenden Flechten konnte ich der Versuchung nicht widerstehen, eine Rindenprobe vom oberen Stamm mit Pilzen mitznehmen.
Ich komme aber bei der Bestimmung der beiden Pilze nicht zum Abschluss. Eventuell wächst hier auch zu vieles auf- und durcheinander.
Bild 0 Liegende Laubbaumstämme
Bild 1 Rindenabschnitt mit diversen Rindensprengenden Pilzarten
Pilz 1 - Discomycet
Bild 2 Größerer inoperculater Discomycet mit weiß-filziger Außenseite und braunem (wenn angefeuchtet) Hymenium, Durchmesser um 3mm.
Bild 3 Epihymenium braun, Asci zylindrisch (80-110 x 6-7 µm), inamyloid, 8-sporig, unseriat
Bild 4 Sporen 1z, hyalin, leicht gebogen, um 12 x 3 µm groß.
Bild 5
Die Kenntnis des Pilzes würde vermutlich die Baumart für die Bestimmung des Folgepilzes einschränken.
Ich würde zu Enchoelia tendieren, nur nach Haselnuss sieht mir der Baumstamm nicht unbedingt aus...
Pilz 2 - Anamorphe:
Interessanter finde ich eigentlich den kleinen Begleitpilz neben dem großen Discomyceten.
Es handelt sich um runde, schwärzliche, anamorphe Fruchtkörper, die unter der Rinde hervorbrechen, sternförmig aufplatzen und ein weißliches bis orangebraunes Inneres freilegen:
Bild 6 Anamorphe an gleichem Rindenstück. Die Pyknidien habe eine Größe von etwa 200-300µm.
Bild 7 Probe in Wasser, zum leichteren Ablösen der FK
Bild 8 Im gequetschen Zustand werden 2 Typen Koniden gefunden:
Makrokonidien mit gekrümmten Spitzen à la Longhorn-Rinderhörner, 25-35 x 4 µm groß, 1-2(-4)-zellig
Mikrokonidien, Bacilliform, um 5 x 1 µm.
Können beide Konidienypen in einer einzigen Pyknidie gebildet werden?
Oder handelt es sich bei einem der Typen um Fremdmaterial?
Mehrere Pyknidien wurden geprüft, ich finde stets beide Typen.
Die Makrokonidien zumindest gehören zum Fruchtkörper, wie die gefundenen Konidienträger beweisen:
Bild 9 Konidienträger
3. Vermutlich C. nigroclavata
Ein kleines Stückchen weiter erkenne ich auf etwas warzigen Untergrund kleine, schwärzliche Apothecien.
Könnte das die Teleomorphe zu Pilz 2 sein? (Verm. nicht!)
Bild 10 Schwarze Apothecien - eventuell die Teleomorphe FK-Bildung des gleichen Rindenpilzes?
Die Apthecien sind nicht großer als die Pyknidien (300µm).
Bild 11
Bild 12
Beim ersten zarten Quetschen sind dunkelbraun pigmentierte Paraphysenköpfe zu erkennen, die kleinen Asci verstecken sich gut dazwischen.
Bild 13 Schwach angequetsches Apothecium:
Hymenium 35-40µm hoch, Epihymenium schwarzbraun durch stark pigmentierte Paraphysenköpfe (Pigmentkappe in Zellen),
Endzellen 4-5(-8) µm groß, Paraphysendurchmesser um 2µm. Paraphysen mit dunklen Septen.
Grünfärbung durch unterstreute Algenzellen - Das erinert sehr stark an Catillaria nigroclavata.
Bild 13 8-sporiger Ascus mit 2-zelligen Sporen. Die Sporen liegen in der Größenordnung von 8-10 x 3 µm.
Die Asci sind keulig verdickt und messen 25(-30) x 9 µm.
Sporenseptum dunkel, ebenso Sporenenden (?!).
Dunkle Septen bei Paraphysen und Sporen kenne ich so nicht, ansonsten schein alles (inkl. Algenzellen) zu der Flechte Catillaria nigroclavata zu passen.
Die dunklen Stellen könnten ev. auf Überalterung zurückgehen...
Bild 14
Bild 15
Ich vermute, dass die Apothecien (3) nur zufällig an der gleichen Stelle wie die Pykniden (2) wachsen, und erkenne die Flechte C. nigroclavata neben einem mir unbekannten anamorphen Pilz.
(Die Flechtenbilder lasse ich stehen, da ich mir nicht 100%ig sicher bin - Algen kommen immer und überall auf der Rinde vor. Zudem irritieren die dunklen Septen.)
Was könnte das für ein anamorpher Pilz sein? Hat jemand eine Idee dazu?
LG, Martin
Hallo Ernst,
die ersten 3 Fotos des letzten Beitrags sind nicht zu sehen.
Die folgenden Bilder hätte ich spontan auch S. vesuvianum zugeordnet. Die dunklen Zentren der Phyllocladien sind auf deinen Fotos gut erkennbar.
Es gilt ja P+ orange bei dieser Art laut Wirth;
auch hier könnte man sich trefflich streiten, ob die Farbreaktion nicht nur ein dunkleres Gelb ist.
Naja...
Auf jeden Fall immer ein schöner Fund!
LG, Martin
Hallo Ernst,
bei Stereocaulon bin ich nicht sehr firm, da diese Gattung in meiner Gegend nicht vorkommt.
Ferner habe ich Probleme mit der Beschreibung der Ergebnisse der Tüpfelreaktionen:
1) Ich zitiere einen bekannten Lichenologen, als er einen meiner Stereocaulon-Funde beim Kartieren korrigierte:
"Die P-Reaktion ist bei Stereocaulon-Arten leider nicht sehr verlässlich. Falls P+ deutlich gelb, in Wirth et al. bei P+ orange weitergehen."
Soll soviel heißen wie: wenn P+ deutlich gelb, dann schlüssle im Wirth mit P+ orange weiter! Die Reaktion bei deinem Fund würde ich als intensiv gelb bezteichnen => à la Wirth "orange".
2) Die K-Reaktion würde ich mich im Normalfall nie als K+ gelb zu bezeichnen trauen.
Allerdings ist das Papier tatsächlich gelblich.
Falls hier ähnliches wie bei der P-Reaktion gilt, dann würde hier u.U: K+ gelb gelten. Die K-Reaktion wird aber nicht benötigt beim Schlüsseln.
3) Die KC-Reaktion auf dem Filterpapier wirkt auf mich links braun und rechts gelb bis braun. Violett sehe ich nicht.
Das Ergebnis war im ersten Post (20.1.26) u.U. deutlicher rosa.
Die Farbe ist allerdings die gleiche, die die Podetien selbst besitzen.
Kannst du ausschließen, dass hier einfach die Färbung der Podetien ausgewaschen wurde?
Und warum ist das Ergebnis nun braun?
4) Die UV-Floureszenz auf Papier zu testen, halte ich für verwegen:
Du weißt ja, dass Papier intensiv flouresziert.
Was durch den Papieruntergrund für Mischfarben entstehen kann ich nicht beurteilen.
Tatsächlich floureszieren getüpfelte Stellen häufig intensiv.
Die Floureszensfarbe ist aber nicht (unbedingt) die gleiche, wie unter normaler Beleuchtung.
(Vorsicht gilt hier insbesondere bei P walten zu lassen: alleine die Flüssigkeit flouresziert schon intensiv violett.)
Vielleicht läuft es ("kein Tomentum", Phylocladien nicht gefingert) dann doch auf die relativ häufige S. vesuvianum hinaus.
Sie darf auch mit kleinen, warzigen Phyllocladien vorkommen.
Die feinen, soralartigen Granulen an manchen der Podetienenden wären kein Widerspruch.
Diese Art kommt im Gebiet häufig vor.
Vielleicht findest du ja noch Phyllocladien mit dunklerer Mitte?
LG, Martin
Hallo Inge,
hier liegt die KI gar nicht so daneben, Ramalina hat sie völlig richtig erkannt.
Ich würde dennoch mit R. lacera vergleichen.
LG, Martin
Hallo Maronisto,
da bin ich mal gespannt, es du uns zeigen wirst.
LG, Martin
Hallo Inge,
sicher eine Roccella, eine interessante Flechtengattung!
Sehr schön.
Aber warum soll das denn ausgerechnet R. canariensis sein, diese Roccella soll die apothecien-tragende Form von R. tinctoria sein und OHNE Sorale.
Vermutlich hängst du deshalb Infos zu R. tinctoria an.
Bei für uns so exotischen Flechtenarten wäre ich besonders vorsichtig!
Flechtenarten können sich makroskopisch sehr ähneln, sogar über Gattungsgrenzen hinweg.
Italic selbst listet im Roccella-Bestimmungsschlüssel nur 4 Arten auf.
Auf der breteonischen Seite (www.lichensmaritimes.org), die auch Macaronesien mit abdeckt, werden einige Arten mehr diskutiert.
Dort wird explizit zudem auf die Verwechslungsmöglichkeit mit R. tuberculata hingewiesen, zu deren sicherer Unterscheidung u.a. die Mark-Reaktion mit Hypochloridlösung erwähnt wird.
Draufgucken ist immer schön, das mach ich ja auch meistens.
Aber wenn du die Art bestimmen möchtest, musst du etwas weiter ausholen (Probennahme, Analyse, Mikroskopie, ...).
Selbst dann klappt das keineswegs immer...
Liebe Grüße und noch ganz viel Spaß!
Wenn dein Urlaubsort nur annähernd so flechtenreich ist wie die Bretagen im Finistere, dann ist es gigantisch!
Hoffentlich findest du noch viele schöne Flechten. Schau dir auch den Gezeitenzone innerhalb des Tidenhubs genau an.
Martin
Hallo Bernd,
na prima, schon mal eingekreist!
Die Krusten kenne ich zwar überhaupt nicht, aber beim letzten Bild würde ich sogar ein kräftiges Violett erkennen wollen.
LG, Martin
Hi Bernd,
du kannst ja mal den Schlüssel IXb in DFD probieren und schauen, wie weit du kommst. Vielleicht ist zumindest die vorgeschlagene Gattung intgeressant.
Ansonsten gibt es immer den "interaktive Guide" bei Italic, der bei Adam und Eva beginnt. Den benutze ich auch recht gerne in solchen Fällen.
LG, Martin
