Hallo Ihr Lieben!
Wieder ging ein tolles Treffen ins Land, mit wunderbaren Menschen und Pilzen.
Ich starte hier mal einen Sammelthread für die von chris77 ins Leben gerufene Veranstaltung. An dieser Stelle noch einmal herzlichen Dank für die Organisation. ![]()
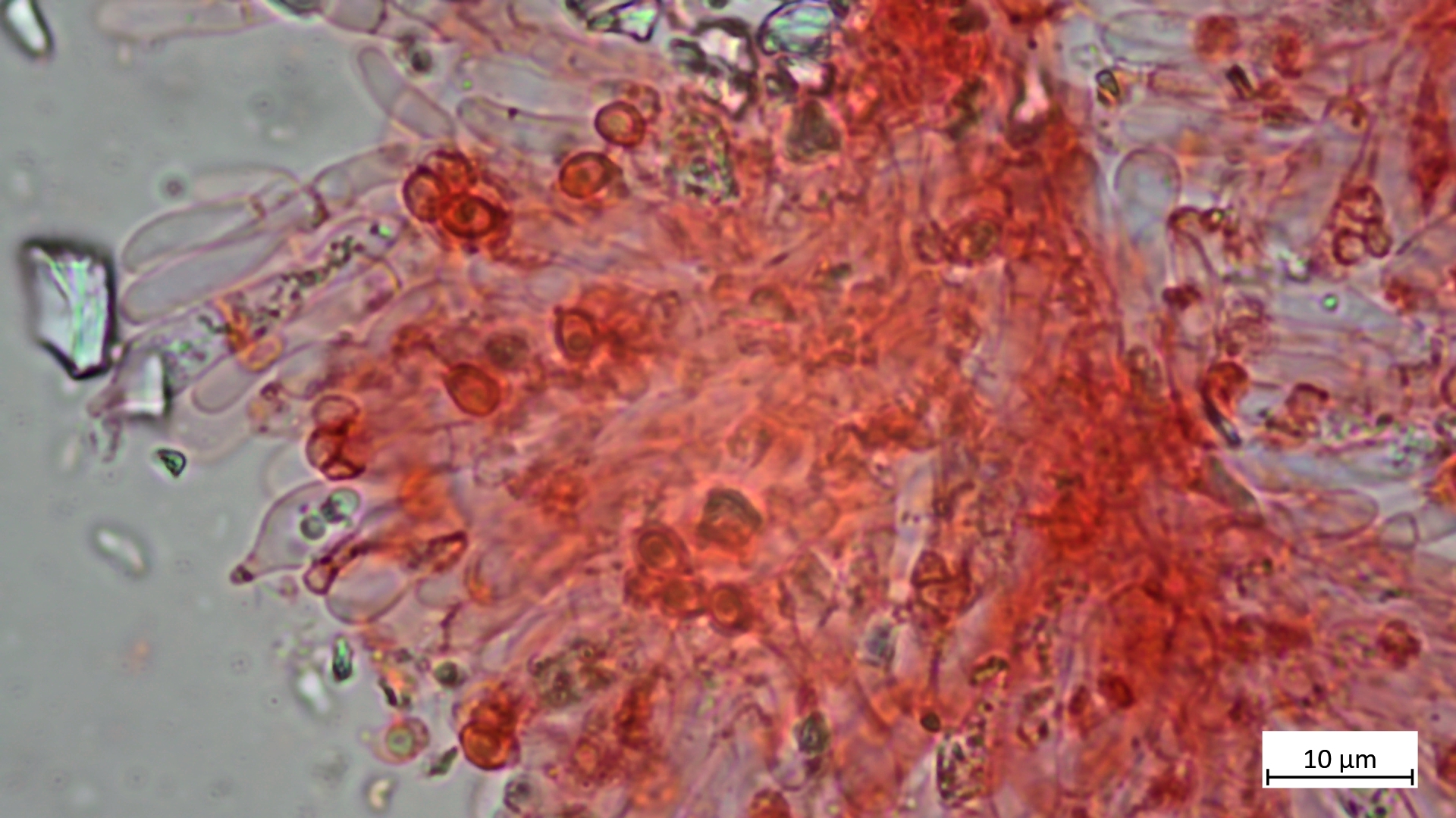
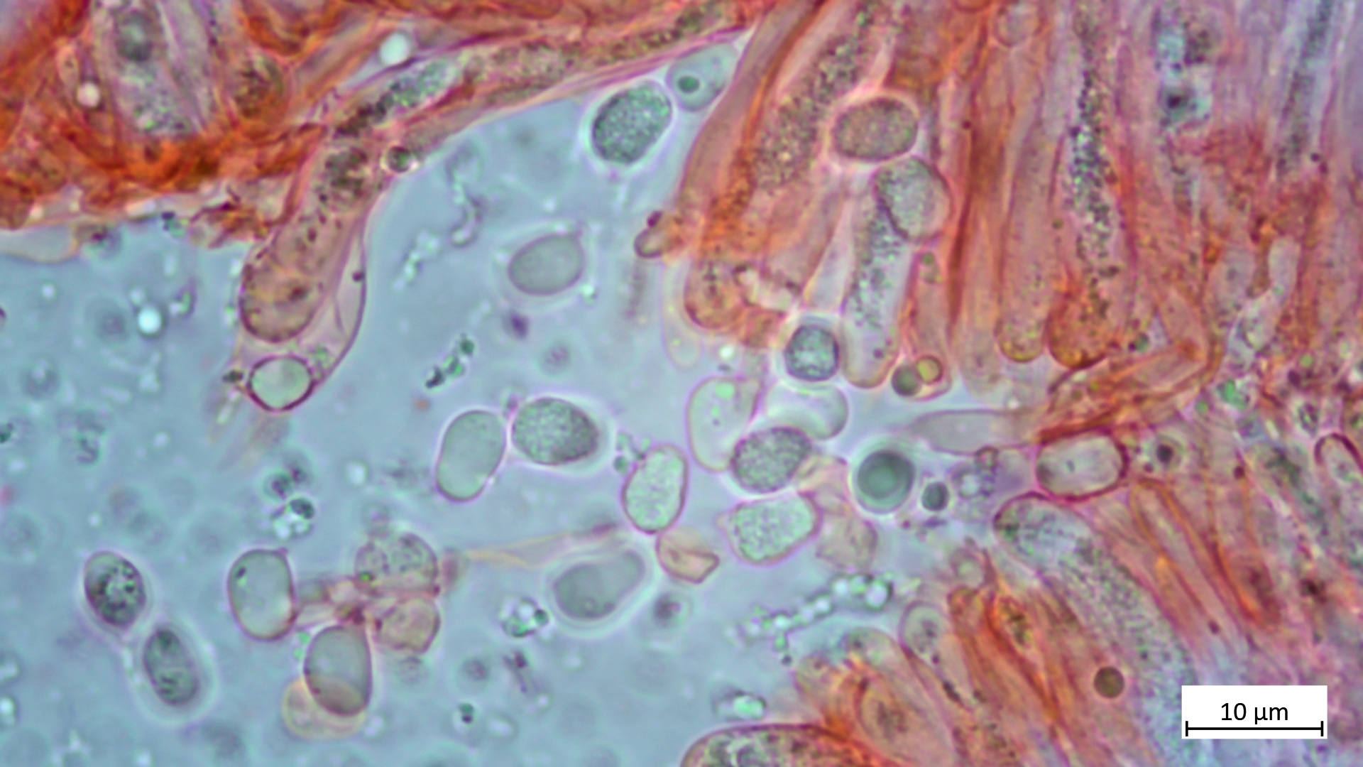
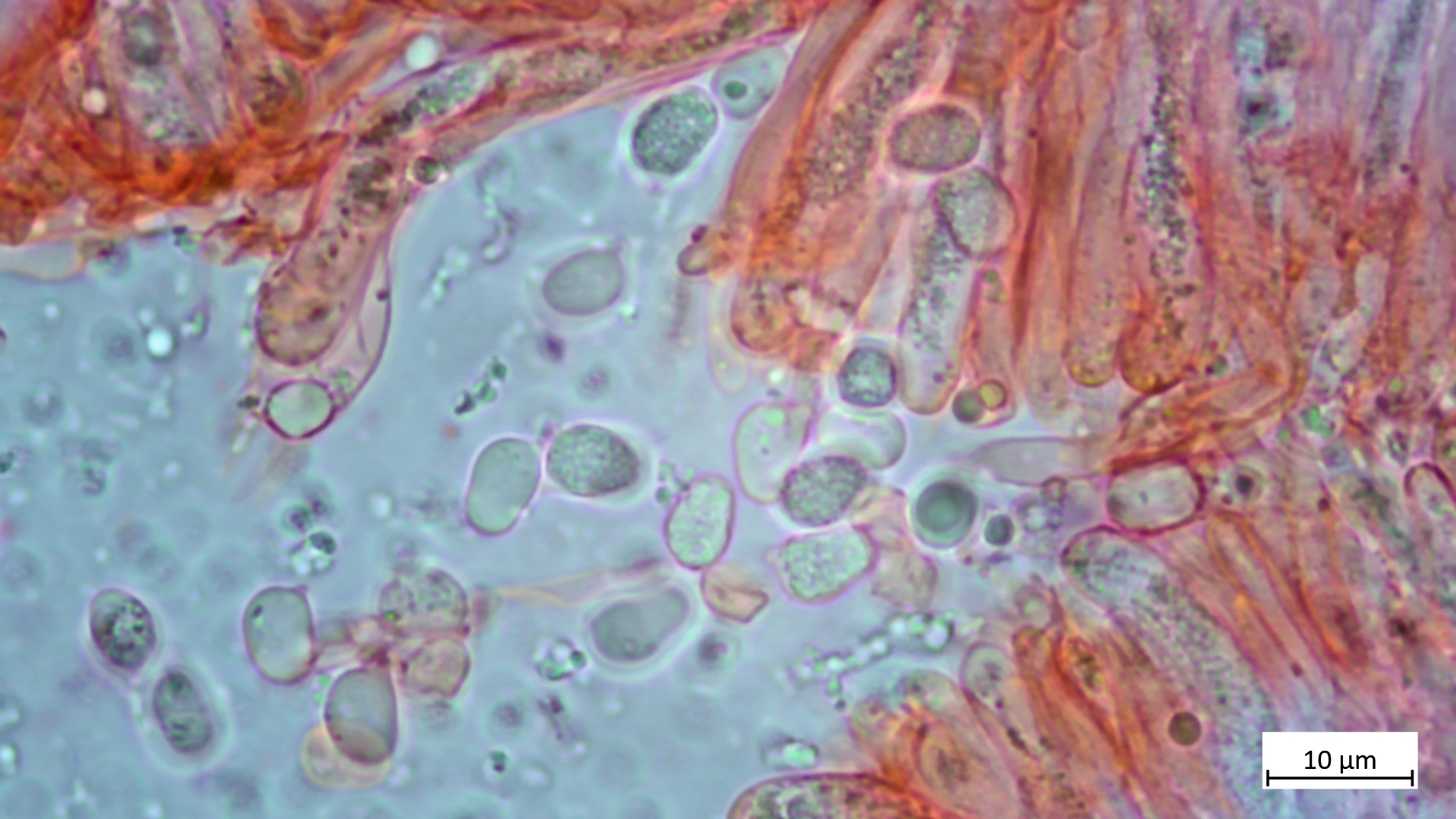
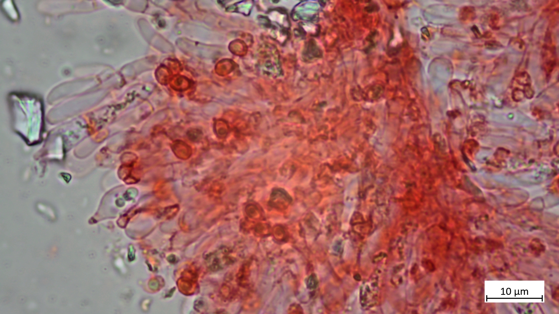
Bei bestem Pilz- aber nicht Fotografierwetter ging es in die Wiesen, um Saftlinge, Ellerlinge, Keulen und Korallen zu finden.
Ich stelle erst einmal keine Bilder ein, das sollten die Menschen machen, die wirklich Ahnung von der Materie haben und nicht nur - wie ich - staunend vor den bunten Pilzchen knien.
Also Ihr Lieben, lasst gerne Eure Bilder und Bestimmungen hier.
Liebe Grüße, Eure Tuppie
