Schwieriger LBM -> Lacrymaria glareosa

Es gibt 18 Antworten in diesem Thema, welches 6.576 mal aufgerufen wurde. Der letzte Beitrag () ist von Clavaria.

  • Hallo zusammen


    Heute Mittag habe ich einen kurzen Ausflug in einen Auwald gemacht.

    Hier ist es im Moment sehr trocken, entsprechend hatte ich wenig Hoffnung auf prächtige Pilzfunde.

    In einem sandig-steinigen Bachbett, das seit einigen Monaten ausgetrocknet ist, fand ich dann aber diese kleinen braunen Pilze.

    Frohlockend zog ich mit der Beute nach Hause, aber nach fast drei Stunden bin ich kaum weiter gekommen.



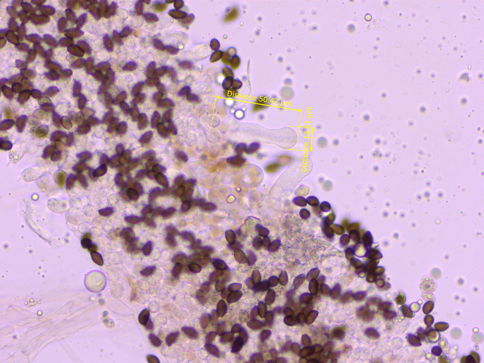
    Hut deutlich faserig, etwas hygrophan.


    Stielbasis weissfilzig, sonst mehlig oder feinfaserig



    Sporen glatt oder allenfalls etwas rau, 10-11 x 5.5-6.7 µm, Q = 1.65-1.95

    Dickwandig, mit deutlichem, meist zentralen Keimporus (KP bis fast 3 µm breit). Sporenform recht variabel.



    Cheilozystiden: In dichten Büscheln, lang und schlank mit auffallendem Kopf, dünnwandig.


    Pleurozystiden: Spärlich, dicker als die Cheilozystiden.


    Kaulozystiden: Ähnlich den Cheilos, s


    HDS: Da hatte ich Mühe einen anständigen Schnitt hinzukriegen, sie scheint aber zellig zu sein.

    Oben aufliegend sind wohl Velumshyphen.


    Velumsfasern vom Hutrand, mit Schnallen, schwach inkrustiert


    Sporenpulver fast schwarz.

    Unsere nette Putzfrau hat leider wenig Verständnis für meine Pilzmanie, deshalb hat sie den wertvollen Sporenabdruck praktisch vernichtet.

    Die Hälfte des Abdrucks, die auf einem Objektträger lag, war nicht mehr zu gebrauchen.


    Weitere Angaben:

    - Geruch mehlig, Geschmack mild

    - Keine Chrysozystiden

    - Begleitflora: Erlen, Weiden, Kiefern, Fichten in einiger Entfernung


    Ich nehme an, dass es eine Psathyrella ist. Aber ich finde keine, die passt. Alle mir zugänglichen Schlüssel (Melzer, Gröger, Moser, FN) laufen ins Leere oder ich biege irgendwo falsch ab.

    Das grösste Problem sind die konstant schlank-kopfigen Cheilozystiden. Die passen irgendwie gar nicht in diese Gattung.

    Lacrymaria velutina hätte solche Zystiden, aber dann müssten die Sporen grob warzig sein, und am Stiel fehlen jegliche Velumreste.


    Hat jemand eine Idee?


    Viele Grüsse

    Raphael

  • Guten Morgen Raphael,

    ich wäre trotzdem für den Tränenden Saumpilz.

    Grüße

    Axel

    "Das Artensterben ist der neue Klimawandel. Der Verlust der Biodiversität ist die wahre Krise des 21. Jahrhunderts"

    aus Glaubrecht: "Das Ende der Evolution"

  • Servus beinand,


    zwar habe ich noch keine Lacrymaria mikroskopiert, aber ich würde mich hier Axel anschließen. Auf dem Sporenfoto ist das Ornament doch eigentlich ganz gut zu sehen. Und makroskopisch hätte ich überhaupt keinen Zweifel.


    Grüße aus München

    Hias

  • Hallo zusammen,


    Mein erster Verdacht war das ja auch. Mich wunderte der absolut sandige, unwirtliche Standort, und dass man schon am jungen FK kaum Velum sieht. Sonst hätte ich sie vielleicht gar nicht mitgenommen.

    Ich habe tatsächlich auch noch nie einen Saumpilz mikroskopiert. Aber wenn ich es mit Mikrosfotos im Netz vergleiche, dann ist dort das Ornament viel viel auffälliger. Am Sporenrand sehe ich gegen das Licht keinerlei Warzen oder Unebenheiten, egal wie ich färbe oder mit dem Feintrieb spiele. Das kenne ich von deutlich warzigen Sporen anders. Aber möglich, dass das innerhalb der Variabilität bei der Art liegt. Vielleicht kommen ja noch andere Ideen.


    Gruss Raphael

    • Offizieller Beitrag

    Hi,


    zumindest ist das immer eine gute Idee hin und wieder von einfachen kenntlichen Arten auch mal eine Mikroprobe mitzunehmen. Das habe ich inzwischen auch gemerkt, dass Pilze öfters mal die Bücher, welche über sie geschrieben worden sind, nicht gelesen haben.


    Mir fällt gerade auch auf, dass ich den Tränenden Saumpilz auch noch nie mikroskopiert habe. ==Gnolm10


    l.g.

    Stefan

    Risspilz: hui; Rissklettern: bisher pfui; ab nun: na ja mal sehen...


    Derzeit so pilzgeschädigt, das geht auf keine Huthaut. :D


    Meine Antworten hier stellen nur Bestimmungsvorschläge dar. Verzehrsfreigaben gibts nur vom PSV vor Ort.

  • Hallo Raphael,


    als ich deine Bilder gesehen habe, da kam mir auch der Gedanke an einer Lacrymaria.

    Letztes Jahr konnte ich eine Lacrymaria lacrymabunda (Siehe hier) bearbeiten, aber die sieht von den Sporen anders aus.

    Hast du in Wasser mikroskopiert ?


    VG : Thorben

  • Hallo Thorben


    Ja genau, so sollten die Sporen aussehen.


    Habe in KOH und Wasser mikroskopiert. Meine Bilder oben waren in KOH. Am Ende habe ich auch in Kongorot und sogar Baumwollblau probiert, in der Hoffnung dass ich die Warzen dann erkenne. Das hat aber nichts geändert.


    Gruss Raphael

    • Offizieller Beitrag

    Hi,


    für Dunkelsporer würde ich immer KOH 3% als Mikroreagenz nehmen, denn damit siehst du die Ornamente sehr gut, während das bei Wasser nicht immer der Fall ist. Bei den Cortinarien sind auch die Sporengrößenangaben auf KOH "normiert". Laut meinen Erfahrungen unterscheiden sich die Sporengrößen der Dunkelsporer in Wasser und 3% KOH, wenn überhaupt, nur marginal.


    l.g.

    Stefan

    Risspilz: hui; Rissklettern: bisher pfui; ab nun: na ja mal sehen...


    Derzeit so pilzgeschädigt, das geht auf keine Huthaut. :D


    Meine Antworten hier stellen nur Bestimmungsvorschläge dar. Verzehrsfreigaben gibts nur vom PSV vor Ort.

  • Hallo,


    es gibt ja in Lacrymaria auch noch die pyrotricha, die farblich recht gut an deinen Fund rankommt. Und dann auch noch die ominöse glareosa, die man mir mal in Finnland gezeigt hat, und die Pioniervegetation bevorzugen soll.


    beste Grüße,

    Andreas

  • Hallo Andreas,


    pyrotricha soll auch stark warzige Sporen haben, glareosa völlig andere Zystiden.


    In Amerika soll es eine L. echiniceps mit glatten Sporen geben, aber die passt makroskopisch nicht und wurde in Europa noch nicht nachgewiesen.


    Ich recherchiere am Abend weiter.


    Gruss Raphael

  • Hallo Raphael,


    aber dein Pilz hat doch warzige Sporen! Das sieht man doch selbst auf den Fotos, dass die so schollige Auflagerungen haben. Oder sehe ich das falsch?


    beste Grüße,

    Andreas

  • Hallo Andreas


    Ja, ich denke die Bilder täuschen.

    Stark warzige Sporen kenne ich anders, die Bilder von Thorben (hier) sehen völlig anders aus.

    Auch alle anderen Mikrofotos von L. lacrymabunda, die ich im Netz finde, zeigen enorme Unterschiede beim Ornament zu meiner Kollektion.

    In der Sporenkontur sind keine Unebenheiten zu erkennen, hier nochmal ein neues Bild in KOH.

    Nachtrag: Bei einzelnen Sporen kann man mit viel Geduld einzelne, minimale Höcker vermuten, was sich aber kaum fotografieren lässt.

    Meine anfängliche Einschätzung "glatt bis rau" würde ich also korrigieren auf "zerstreut flachwarzig".


    Was mir inzwischen hilfreich erscheint, sind diese Sachen:

    • Dieser recht aktuelle Schlüssel zu Psathyrella s.l. Da sind noch jede Menge andere Lacrymaria's (weltweit) drin.
      Der Schlüssel erlaubt auch Sporen mit sehr schwachen Warzen und führt dann zu L. glareosa (wenn man Übersee-Arten aussen vor lässt)
    • Hier habe ich eine etwas ältere Lacrymaria-Studie von Roy Watling entdeckt, wo er auch diverse Arten umkombiniert hat.
      Die Sporenzeichnungen von L. glareosa passen gut zu meinem Fund.
    • Einer meiner Kollegen müsste die Original-Beschreibung von Favre in der SZP zu L. glareosa haben, habe mal angefragt.
    • Ludwig erwähnt im Pilzkompendium, dass die mukronaten Cheilozystiden nicht konstant sind.
    • Ludwig erwähnt auch noch eine Arbeit von Häffner, die ich auch elektronisch gefunden habe. Die Beschreibung dort zu L. glareosa passt sehr gut zu meinem Fund.

    Ich revidiere also meine Meinung von heute Mittag, dass L. glareosa aufgrund von anders geformten Cheilos ausgeschlossen werden muss.

    Diese Meinung basierte ehrlich gesagt auf einer fahrlässig kurzen Konsultation von 123pilze.


    Wenn niemand Einspruch erhebt, würde ich die Kollektion als Lacrymaria cf. glareosa ad acta zu legen.


    Gruss Raphael

  • Hallo Raphael,


    ich kann mangels Erfahrung nicht beurteilen, in wie weit die L. glareosa tatsächlich Artberechtigung hat, oder nur eine besondere Form von lacrymabunda darstellt. Aber rein makroskopisch entspricht dein Bild ziemlich genau dem, was mir damals in Finnland als glareosa gezeigt wurde. Besonders fand ich auffallend die öberflächliche Ähnlichkeit mit Inocybe dulcamara, die natürlich nach dem Blick auf die Lamellen schon hinfällig war. Dazu die Farbe, die mehr an pyrotricha erinnert. Nie so groß werdend wie lacrymabunda und von der Ökologie her kein Nährstoffzeiger wie diese, sondern eher an nährstoffarmen Stellen vom Typ Pioniervegetation. Im finnischen Falle war es ein gekieselter Wegrand mit beginnenden Weidenbüschen, Begleiter waren z.B. eine Hebeloma-Art und Inocybe lacera.


    Ich würde das auch als "cf. glareosa" ablegen und warten, ob sich mal jemand (molekular) mit der Gruppe beschäftigt und versuchen den Fund in die Studie mit rein zu bekommen.


    beste Grüße,

    Andreas

  • Clavaria

    Hat den Titel des Themas von „Schwieriger LBM“ zu „Schwieriger LBM -> Lacrymaria cf. glareosa“ geändert.
  • Das ist interessant. Ich habe schon ein paar Mal Lacrymaria auf blankem Schotter an der Isar gesehen, aber leider immer stehen gelassen.

    Beim nächsten Mal nehme ich sie mit und schau sie mir genauer an.


    Beste Grüße

    Hias

  • Ich habe mir inzwischen die Original-Beschreibung von Favre beschafft (wenn jemand Interesse hat: PN). Die passt perfekt zu meinem Fund.

    Die Zystidenform wird dort sehr variabel angegeben. Ich habe das heute noch nachuntersucht, und konnte praktisch jede Zystidenform bei meiner Kollektion finden.

    Auffallend: Junge FK haben sehr variable Zystiden, ältere FK fast nur ausgeprägt kopfige.




    Gruss Raphael

  • Clavaria

    Hat den Titel des Themas von „Schwieriger LBM -> Lacrymaria cf. glareosa“ zu „Schwieriger LBM -> Lacrymaria glareosa“ geändert.
  • Hallo zusammen


    Falls es noch jemanden interessiert: Die Bestimmung als Lacrymaria glareosa wurden inzwischen durch eine Sequenzierung bestätigt.


    Viele Grüsse

    Raphael