Hoi Murph,
auch mich hat Dein Beitrag motiviert, in Moospolster zu starren
- bisher ohne Erfolg,aber ich bleibe dran.
Gibt ja schlimmeres, als hübsche Moose unter der Stereolupe zu betrachten ![]()
LG
Andreas
Es gibt 67 Antworten in diesem Thema, welches 21.204 mal aufgerufen wurde. Der letzte Beitrag () ist von Murph.
Hoi Murph,
auch mich hat Dein Beitrag motiviert, in Moospolster zu starren
- bisher ohne Erfolg,aber ich bleibe dran.
Gibt ja schlimmeres, als hübsche Moose unter der Stereolupe zu betrachten ![]()
LG
Andreas
Jetzt seid Ihr gefragt nobi_†, Climbingfreak und alle anderen Pilzfreunde, die neuerdings in Moospolster starren
- wir schaffen es, diesen kleinen Becherling aus seinem Schicksal der Unterkartierung herauszuführen
Also, da bleibe ich auf jedem Fall dran, lieber Murph!
Ich habe mich erst wieder vor kurzem auf die Suche gemacht, trotz optimalem Wetter (Regen) leider noch ohne Erfolg.
Aber ich bleibe natürlich am Ball und bin optimistisch.
Liebe Grüße
Nobi
Alles anzeigenHallo zusammen,
...ich hab heute auch mal versucht, im Moos auf Holunder etwas zu finden.. hat natürlich nicht geklappt.
Ich hab allerdings von Moos auch nur sehr begrenzt Ahnung. Ist das hier überhaupt das richtige Moos?
Das Wetterchen heute war ja traumhaft
Mal schauen, irgendwann findet mich das Becherchen. Holunder gibt es hier ohne Ende!
Viele Grüße,Carina
Das Moos ist ganz einfach zu erkennen, insbesondere an dünneren Zweigen. Man muss die kleinen Moosbüschel etwas auseinanderziehen, sonst sieht man ihn kaum. O.affinis ist wohl der mit Abstand häufigste Moosbecher von allen. Ich hatte noch keine Lokalität, wo er nicht vorkam. Regional kann das natürlich auch anders sein.
Alles anzeigenHallo nochmal,
habt Ihr diesen Beitrag von Chris77 gelesen? Er hat den Becherling gefunden
Jetzt seid Ihr gefragt nobi_†, Climbingfreak und alle anderen Pilzfreunde, die neuerdings in Moospolster starren
- wir schaffen es, diesen kleinen Becherling aus seinem Schicksal der Unterkartierung herauszuführen
Ich suche auch weiter, aber zur Zeit stürmt es hier an den Wochenenden
Liebe Grüße
Murph
Hallo Murph,
bisher bei mir Fehlanzeige, trotz intensiver Suche...
l.g.
Stefan
Hallo Ralf,
...danke für die Fotos vom Moos!
Ich muss gestehen, dass ich die Unterschiede zu meinem Moos noch nicht so deutlich finde, aber das liegt an meinem ungeübten Auge und dem fehlenden Wissen,
aber ich arbeite daran ![]()
ich werde beim nächsten Mal im Wald mal die Augen offen halten und schauen, ob ich das richtige Moos finde!
Liebe Grüße,
Carina
Alles anzeigenHallo Ralf,
...danke für die Fotos vom Moos!
Ich muss gestehen, dass ich die Unterschiede zu meinem Moos noch nicht so deutlich finde, aber das liegt an meinem ungeübten Auge und dem fehlenden Wissen,
aber ich arbeite daran
ich werde beim nächsten Mal im Wald mal die Augen offen halten und schauen, ob ich das richtige Moos finde!
Liebe Grüße,
Carina
Schau mal genau hin. Dein Moos wächst polsterförmig, flächig. Das andere bildet richtige runde Bommeln an den Ästen.
Alles anzeigenAlles anzeigenHallo Ralf,
...danke für die Fotos vom Moos!
Ich muss gestehen, dass ich die Unterschiede zu meinem Moos noch nicht so deutlich finde, aber das liegt an meinem ungeübten Auge und dem fehlenden Wissen,
aber ich arbeite daran
ich werde beim nächsten Mal im Wald mal die Augen offen halten und schauen, ob ich das richtige Moos finde!
Liebe Grüße,
Carina
Schau mal genau hin. Dein Moos wächst polsterförmig, flächig. Das andere bildet richtige runde Bommeln an den Ästen.
Das hab ich gesehen, aber ans Moos ansich (die Morphologie der einzelnen Ministängel ansich) sieht sich für mich ziemlich ähnlich... Weisst du was ich meine?
Wächst das richtige Moos denn bevorzugt an dünnen Ästen oder klettert das auch Stämme von Bäumen hoch? Weil wenn es das tut, dann sieht es optisch wieder anders aus, oder?
Wie gesagt, ich muss mein Auge schulen ![]()
Wie heisst denn das richtige Moos? Vielleicht kann ich dann mal im Internet suchen nach Charakteristika etc..
Danke nochmal, ich komme mir ein bisschen vor wie ein Blinder unter Sehenden 😅
Alles anzeigenAlles anzeigenHallo zusammen,
...ich hab heute auch mal versucht, im Moos auf Holunder etwas zu finden.. hat natürlich nicht geklappt.
Ich hab allerdings von Moos auch nur sehr begrenzt Ahnung. Ist das hier überhaupt das richtige Moos?
Das Wetterchen heute war ja traumhaft
Mal schauen, irgendwann findet mich das Becherchen. Holunder gibt es hier ohne Ende!
Viele Grüße,Carina
Das Moos ist ganz einfach zu erkennen, insbesondere an dünneren Zweigen. Man muss die kleinen Moosbüschel etwas auseinanderziehen, sonst sieht man ihn kaum. O.affinis ist wohl der mit Abstand häufigste Moosbecher von allen. Ich hatte noch keine Lokalität, wo er nicht vorkam. Regional kann das natürlich auch anders sein.
Hallo Ralf, danke für die Gebrauchsanweisung. Hab sie genau da entdeckt, wo Du sie verortet hattest.
Das hab ich gesehen, aber ans Moos ansich (die Morphologie der einzelnen Ministängel ansich) sieht sich für mich ziemlich ähnlich... Weisst du was ich meine?
Wächst das richtige Moos denn bevorzugt an dünnen Ästen oder klettert das auch Stämme von Bäumen hoch? Weil wenn es das tut, dann sieht es optisch wieder anders aus, oder?
Wie gesagt, ich muss mein Auge schulen
Wie heisst denn das richtige Moos? Vielleicht kann ich dann mal im Internet suchen nach Charakteristika etc..
Danke nochmal, ich komme mir ein bisschen vor wie ein Blinder unter Sehenden 😅
Um so einen einzelnen Moosstängel zu unterscheiden braucht es schon etwas "Auge". Das Moos heißt Orthotichum affine. Ja, es wächst auch an und auf dickeren Ästen und Stämmen. Dann kann man es verwechseln. Aber an dünnen Ästen wächst es eben unverwechselbar puschelig. Wie auf meinem Foto. Darauf würde ich mich bei der Suche konzentrieren. Gerne an Holunder, aber auch an anderen Ästen.
Danke Ralf!
Ich werde Ausschau halten ![]()
Das Pompon-Moos!
Danke, daß ich nun auch einen Namen dafür habe!
Ich hatte es in meinem Bericht vom Würzberg gezeigt. (❄️ Grünis Winterspaziergang am Würzberg ☀️) Wenn ich wieder da hin komme, schau ich mal nach den Winzi-Pilzen darin - am besten mit der Lupe!
Hallo Ihr Lieben,
hier ist ja noch viel passiert! Ich finde das echt super und freue mich total, was für ein schöner Thread entstanden ist! ![]()
auch mich hat Dein Beitrag motiviert, in Moospolster zu starren
- bisher ohne Erfolg,aber ich bleibe dran.
Gibt ja schlimmeres, als hübsche Moose unter der Stereolupe zu betrachten
Cool, vielleicht ist es noch nicht das richtige Moos?
Das Moos ist ganz einfach zu erkennen, insbesondere an dünneren Zweigen. Man muss die kleinen Moosbüschel etwas auseinanderziehen, sonst sieht man ihn kaum. O.affinis ist wohl der mit Abstand häufigste Moosbecher von allen. Ich hatte noch keine Lokalität, wo er nicht vorkam. Regional kann das natürlich auch anders sein.
Vielen Dank für die vielen Informationen und die schönen Fotos vom Moos.
Eine Frage an Dich (natürlich auch alle anderen Wissenden): Bis wann lohnt es sich, nach dem Becher zu gucken?
Ich habe mich erst wieder vor kurzem auf die Suche gemacht, trotz optimalem Wetter (Regen) leider noch ohne Erfolg.
Aber ich bleibe natürlich am Ball und bin optimistisch.
bisher bei mir Fehlanzeige, trotz intensiver Suche...
Hallo Ihr Beiden, hat der kleine Kerl eventuell ein Problem mit Sachsen?
Kann doch nicht sein, dass ausgerechnet Ihr den nicht findet... ![]()
Hab sie genau da entdeckt, wo Du sie verortet hattest.
Hast Du ihn auch gefunden?
Wenn ich wieder da hin komme, schau ich mal nach den Winzi-Pilzen darin - am besten mit der Lupe!
Gib bitte Bescheid, ob Du etwas entdeckt hast ![]()
Ich wünsche Euch allen viel Erfolg bei der Suche
.
Eigentlich wollte ich mich ja in eine Pilzpause bis nach den Morcheln zurückziehen. Mir ist aber noch ein kleiner relativ unbekannter Pilz eingefallen, den ich schon immer mal finden wollte. Vielleicht belästige ich Euch doch noch mit einem neuen Beitrag - sollte ich Erfolg haben ![]()
Liebe Grüße
Murph
Vielen Dank für die vielen Informationen und die schönen Fotos vom Moos.
Eine Frage an Dich (natürlich auch alle anderen Wissenden): Bis wann lohnt es sich, nach dem Becher zu gucken?
Ich finde ihn eigentlich ganzjährig mit Schwerpunkt September - April. Allerdings ist es wohlwichtiger, dass das Moos lange genug feucht ist, was in dieser Zeit eher der Fall ist als in den Sommermonaten.
Hallo Ralf,
vielen Dank für die Info. Dann haben wir ja noch ein bisschen Zeit zum Weitersuchen ![]()
Liebe Grüße
Murph
Hallo Murph, ja, ich habe den Winzling auch gefunden, aber auf meinen Handyfotos sind nur Griesskörner zu sehen. Ich muss mal welche nach hause mitnehmen und unter der Stereolupe fotografieren.
Hallo Claudia,
herzlichen Glückwunsch ![]()
Mit dem Handy ist das bestimmt schwierig, denn sie sind ja wirklich lütt. Holger hat mit dem Handy im Wald einen Glückstreffer gelandet - hätten wir alle nicht geglaubt.
Leider kann ich heute nicht raus - hier regnet es ohne Pause und der Sturm soll auch noch kommen
.
Darum werde ich mich nachher an einen kleinen Beitrag setzen. Es gibt schon wieder von einem Erstfund zu berichten ![]()
Liebe Grüße
Murph
Hallo Ihr Alle !
Wunderbar, was sich hier für ein toller Thread entwickelt hat !![]()
Seit Murph´s Beitrag glotzen wir hier auch jeden bemoosten Ast an
. Leider ohne Erfolg. Aber ich hab grad gelesen, dass wir auch das falsche Moos im Visier hatten.
An welchem Holz wächst das gesuchte Becherchen denn noch? Holunder hab ich gelesen. Auch an Birke? Hab ich hier viel.... Regen ist hier kein Problem, alles ist klitschenass ![]()
Wir nehmen jedenfalls alles unter die Lupe was uns Holziges in Auge sticht
Und wir werden ihn finden !!!!![]()
LG Sandra
Hallo Sandra,
ich habe ja noch nicht die Erfahrung. Das Moos habe ich schon an diversen Laubholz gefunden: an liegenden Eschen mit Becherlingen, weiterhin habe ich das Moos an Weide, Pappel, Hainbuche und Eiche gesehen - da habe ich allerdings nicht nach den Bechern geguckt.
Andreas (mollisia) hat ziemlich zu Anfang von diesem Thread auch schon auf andere Holzarten hingewiesen. Das Moos scheint nicht so wählerisch zu sein. ![]()
Viel Spaß und Erfolg bei der Suche. Ich drücke die Daumen! ![]()
Liebe Grüße
Murph
Hallo Ihr Lieben,
ich war heute auf einer kleinen Runde im Wald. Dort habe ich richtig viel „Puschelmoos“ entdeckt.
Sofort habe ich an all diejenigen gedacht, die eventuell noch auf der Suche nach dem „richtigen“ Moos sind. Guckt Euch diesen Holunder an. Überall ist das Moos zu sehen.
Und dann habe ich mir einen Ast mal genauer angesehen. Das Moos war schon älter.
Tja, was soll ich sagen – da ist er auch schon… ![]()
Ich wünsche allen, die noch auf der Suche sind, viel
Erfolg. Ich drücke Euch allen fest die Daumen. ![]()
Liebe Grüße
Murph
Hi,
bei mir liegts daran, dass ich das Moos nicht, bzw. nur in sehr kleinen Polstern in meiner Umgebung habe, bzw. bisher finden konnte. Ich hielt bis vor kurzem Brachythecium rutabulum, das hier überall wächst, für Orthotrichum affine. Inzwischen bin ich schlauer.
l.g.
Stefan
Hallo Ihr Alle !
![]()
![]()
![]()
![]()
Ich glaub ich hab ihn !!!!! Juhuuuuuuuuuuuuuuuuuuuuuuuuu!
Heut nach 3 Std Wanderung hab ich alles Puffelmoos mitgenommen und ich bin, glaub ich, fündig geworden!
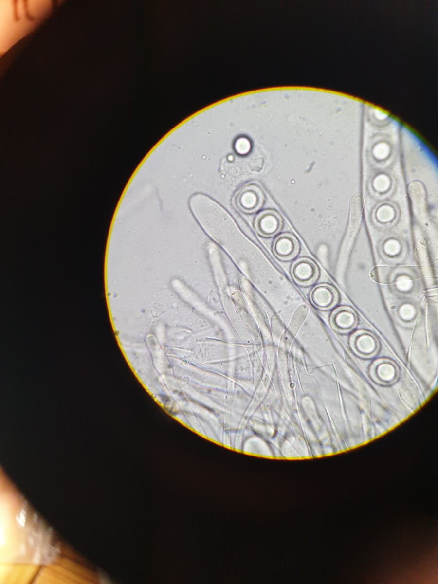
Ich häng mal Bilder an, von der Stereolupe (Ausleihe vom Verein, bin mit den Bildern nicht so zufrieden) und unterm Mikro, leider ohne Baumwollblau (
warum war ich zu geizig das zu holen ?) Bitte haut mich nicht
, hab nur das Handy um die Fotos zu machen....
in Melzer , irgendwie warzig ?
Was denkt Ihr ? Bin ich auf der richtigen Spur?
Freu mich so doll, dass ich vor zittrigen Fingern gar kein richtiges Präparat anfertigen konnte ![]()
Das wäre das 1. Mal, dass ich gezielt sowas suchte und auch fand.
PS: mollisia Ich brauch ne bessere Stereolupe, wär schön wenn wir uns mal kurzschließen könnten, bräuchte ein bisschen Hilfe bei der Auswahl.
LG Grüße
die voll glückliche Sandra
Hallo zusammen,
zu meinem Erstaunen habe ich gesehen, dass es noch keinen Fundpunkt am linken Niederrhein gibt, obwohl das mögliche Vorkommen und das Moos bei den Pilzfreunden der Umgebung bekannt ist. Verbreitung Octospora affinis Benkert & L.G. Krieglst. 2006
Seit gestern ist das anders ![]()
Octospora affinis 03.03.2020 Dilborn bei Brüggen MTB 4703,3
LG Karl
O.K.
Erst Sandra und nun auch noch Du!![]()
Wird Zeit, dass wir Sachsen nachziehen...Schaun wir mal, was die nächsten Tage so bringen. Am Wetter kann es nicht liegen.
Liebe Grüße
Nobi
Hallo in die Runde,
ist das toll, dass dieser Thread noch so lebendig ist!
Heut nach 3 Std Wanderung hab ich alles Puffelmoos mitgenommen und ich bin, glaub ich, fündig geworden!
...
die voll glückliche Sandra
Deine Freude ist echt ansteckend. Ich freue mich richtig doll mit Dir mit! ![]()
Trotzdem hatte ich lustiges Kopfkino: ich habe Dich nach 3 Stunden Wanderung mit Taschen voll Moos nach Hause kommen sehen - und mir dann vorgestellt. wie Dein Arbeitsplatz aussieht ![]()
zu meinem Erstaunen habe ich gesehen, dass es noch keinen Fundpunkt am linken Niederrhein gibt, obwohl das mögliche Vorkommen und das Moos bei den Pilzfreunden der Umgebung bekannt ist. Verbreitung Octospora affinis Benkert & L.G. Krieglst. 2006
Seit gestern ist das anders
... ein wahrer Fall von Nachbarschaftshilfe? ![]()
bei mir liegts daran, dass ich das Moos nicht, bzw. nur in sehr kleinen Polstern in meiner Umgebung habe, bzw. bisher finden konnte.
Ich habe überlegt, ob ich irgendwelche Gemeinsamkeiten bei meinen paar Fundorten feststellen kann. Leider ist mir nichts schlaues eingefallen. Ich habe die Becherlinge an recht feuchten Standorten gefunden (allerdings auch an relativ trockenen) ![]()
Wird Zeit, dass wir Sachsen nachziehen...
Ich freue mich schon auf Eure (und nicht nur Eure) Erfolgsmeldung ![]()
Liebe Grüße
Murph
Alles anzeigenHallo Ihr Alle !
Ich glaub ich hab ihn !!!!! Juhuuuuuuuuuuuuuuuuuuuuuuuuu!
Heut nach 3 Std Wanderung hab ich alles Puffelmoos mitgenommen und ich bin, glaub ich, fündig geworden!
LG Grüße
die voll glückliche Sandra
Die Namen für das Moos werden ja immer besser! Ich hatte zuerst "Pompon-Moos", dann gab es "Puschelmoos" und Sandra hat es jetzt liebevoll "Puffelmoos" getauft! Das wird sicherlich auch im Gewächshaus des Hauses Hufflepuff gezüchtet...
