Hallo Ihr Lieben!
So, nun will ich es doch mal ein bisschen angehen. Letztes Jahr habe ich mir ein altes Will-Mikroskop gekauft. (Der Thread dazu hier: Mein neues Mikro - ein paar Fragen... )
Allerdings kam, wie so oft, das Leben dazwischen und ich habe das Mikro erst einmal auf die Seite gestellt.
Nun habe ich es wieder hervorgeholt und nach ein paar Anlaufschwierigkeiten
zuerst alles mögliche daruntergeschoben, was nicht niet- und nagelfest war. Sporen von unbestimmten Täublingen, die ich mal aufgehoben hatte, weil sie so schön gelb waren. Nach einem Thread hier im Forum abgestandenes Wasser von meinem Muttertagsstrauß und noch Dinge, von denen ich nicht mehr weiß, was es war.
Fotos mache ich immer noch mit dem Handy durchs Okular, nachdem wir nun für einige Tausender eine neue Heizung einbauen lassen mussten, wird das auch noch eine Weile so bleiben. Sporen messe ich noch nicht, da mir das noch ein bisschen zu hoch ist.
Ich freue mich erst einmal an den schönen Formen, den merkwürdigen Tierchen, den Einblicken in eine fremde Welt. ![]()
Hier nun meine ersten Bilder...
01. Von diesen Tintlingen, Pferde-Mistlagerplatz
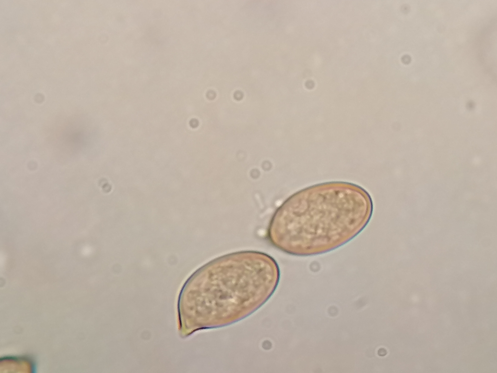
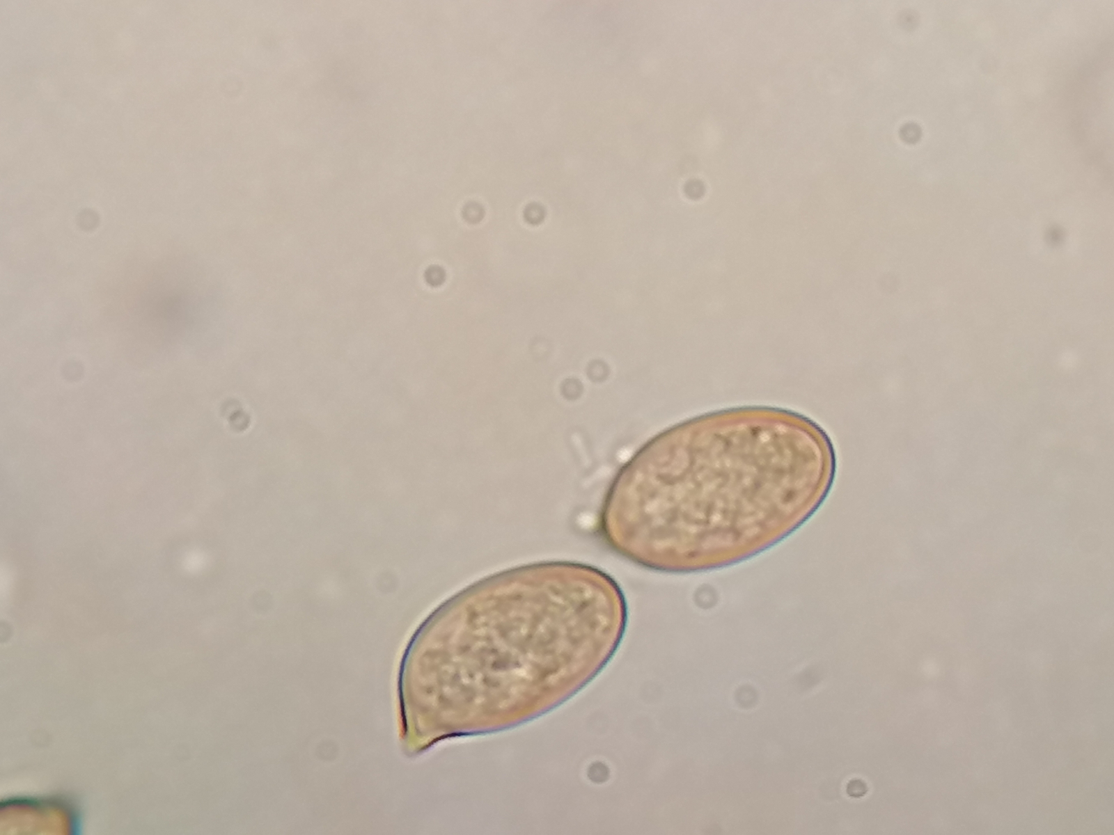
02. Auch vom Pferde-Mistlagerplatz, Großer Scheidling. Der liegt zum Aussporen.
Von der Lamellenschneide
Skalpschnitt-Versuch
03. vermutlich Buchenwald-Becherling
Buchenmischwald, Boden
Außenseite
Fruchtschicht
04. Dies sind Sporen von unbestimmten Täublingen, ja, grob, wegen der pixeligen Handykamera
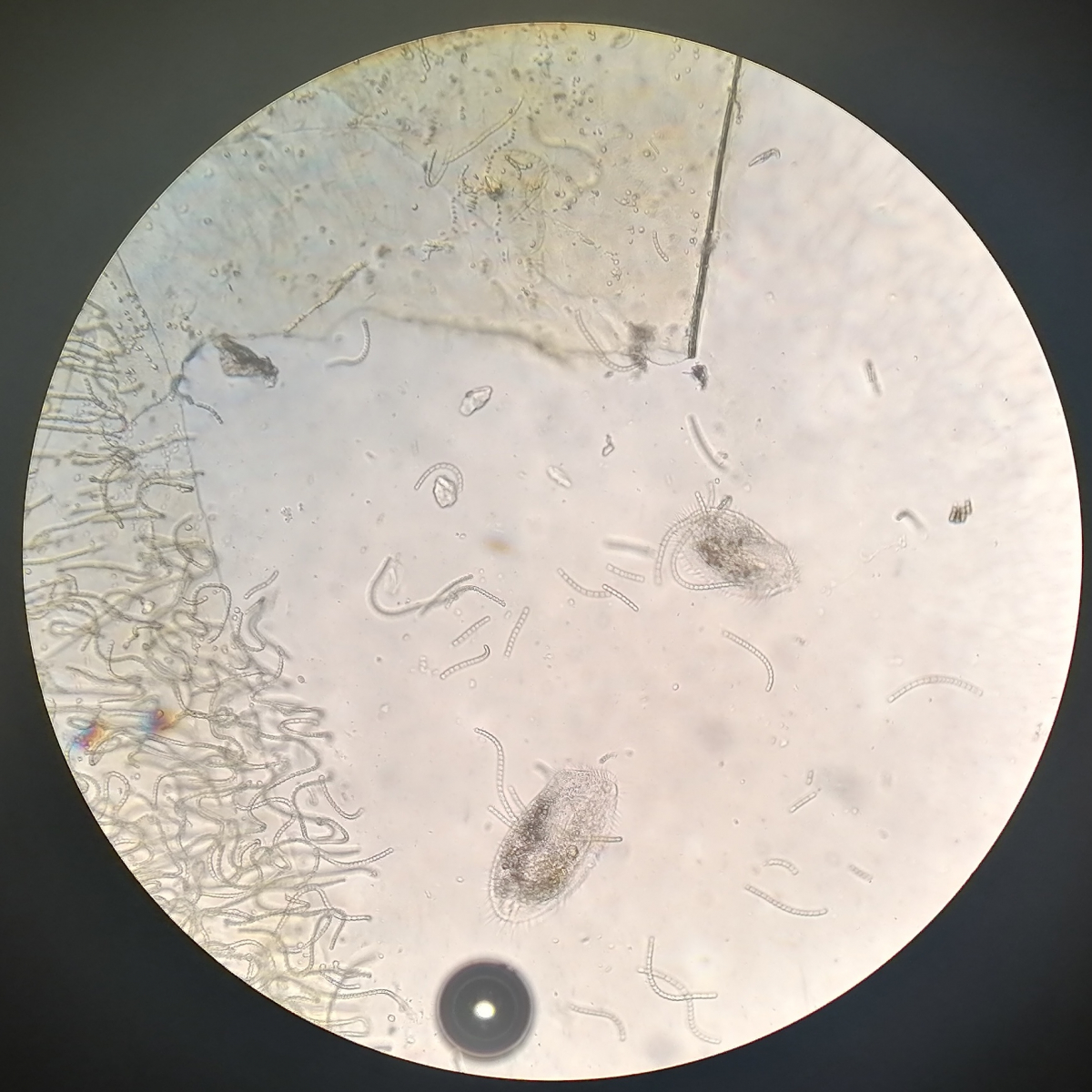
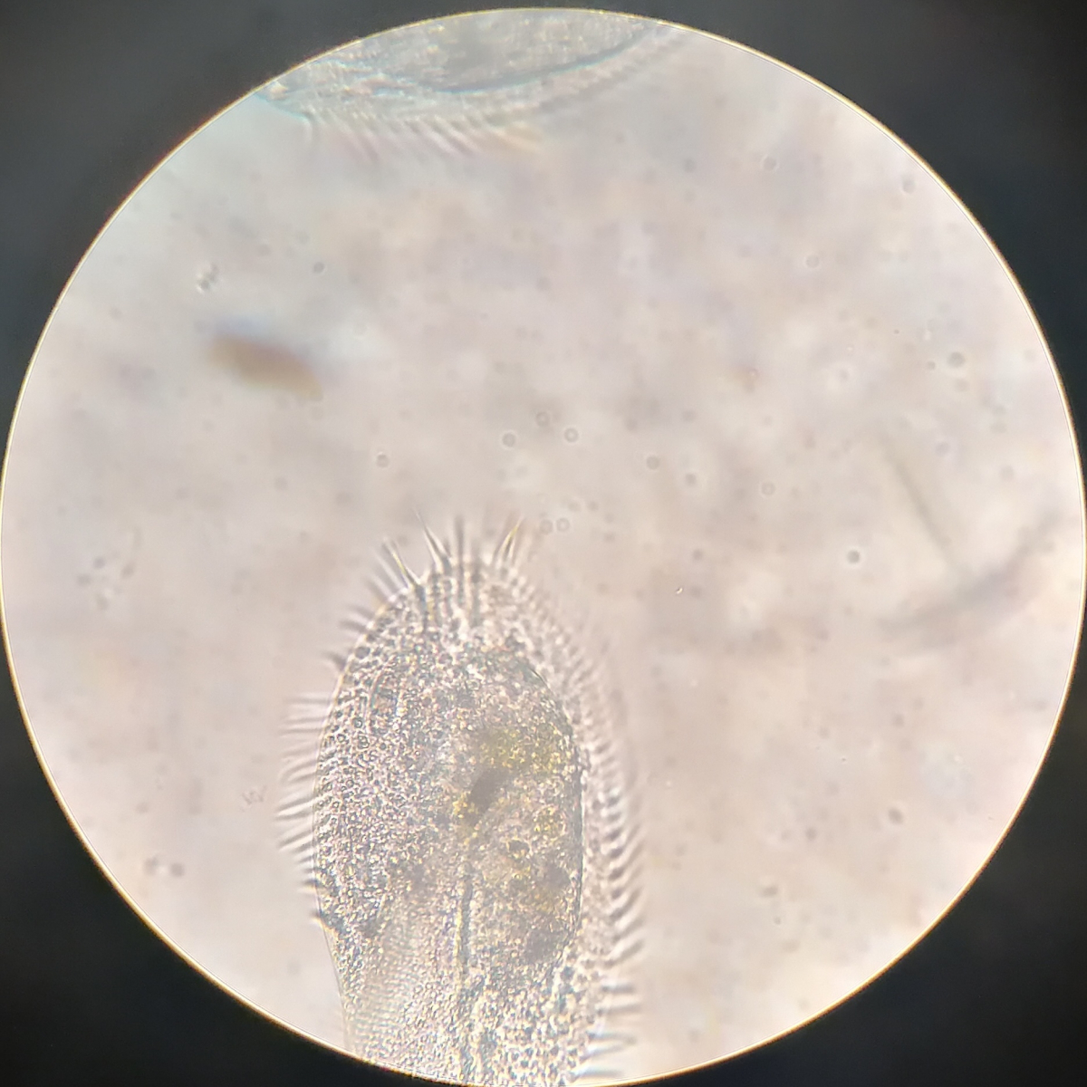
05. Blumenwasser-Bewohner beim Verzehr von Nostoc, das war mehr ein Verseheh, dass die zusammenliefen...
Dies ist keine Bestimmungsanfrage, nur eine Dokumentation der Forstschritte, die ich hoffentlich noch machen werde und gelegentliche Tipps, um ich bitten werde.
Guts Nächtle wünscht Tuppie
