Liebe Pilzefreunde
in Folge will ich euch ein paar Funde aus dem Winter vorstellen, es macht Spaß danach zu suchen.
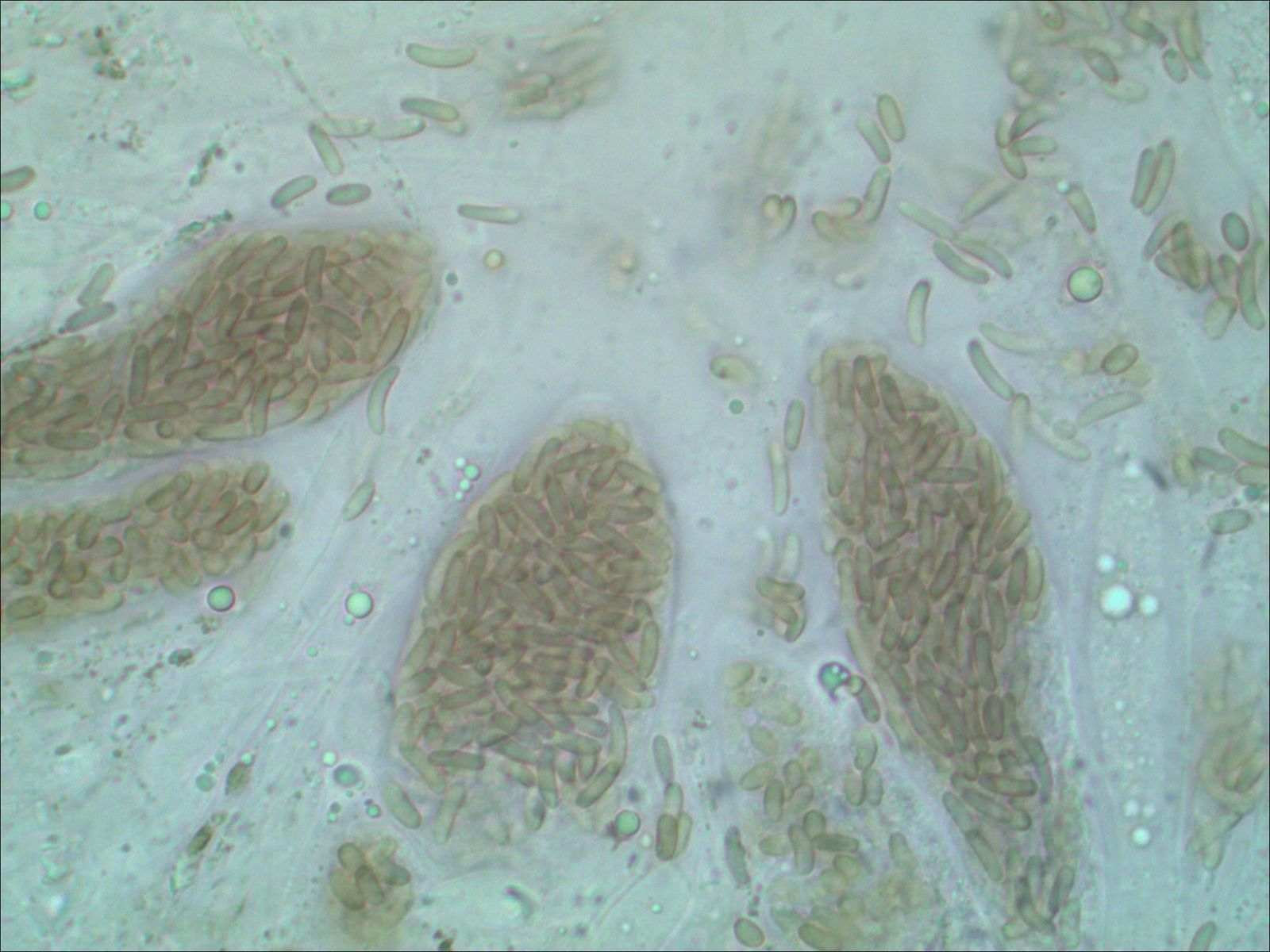
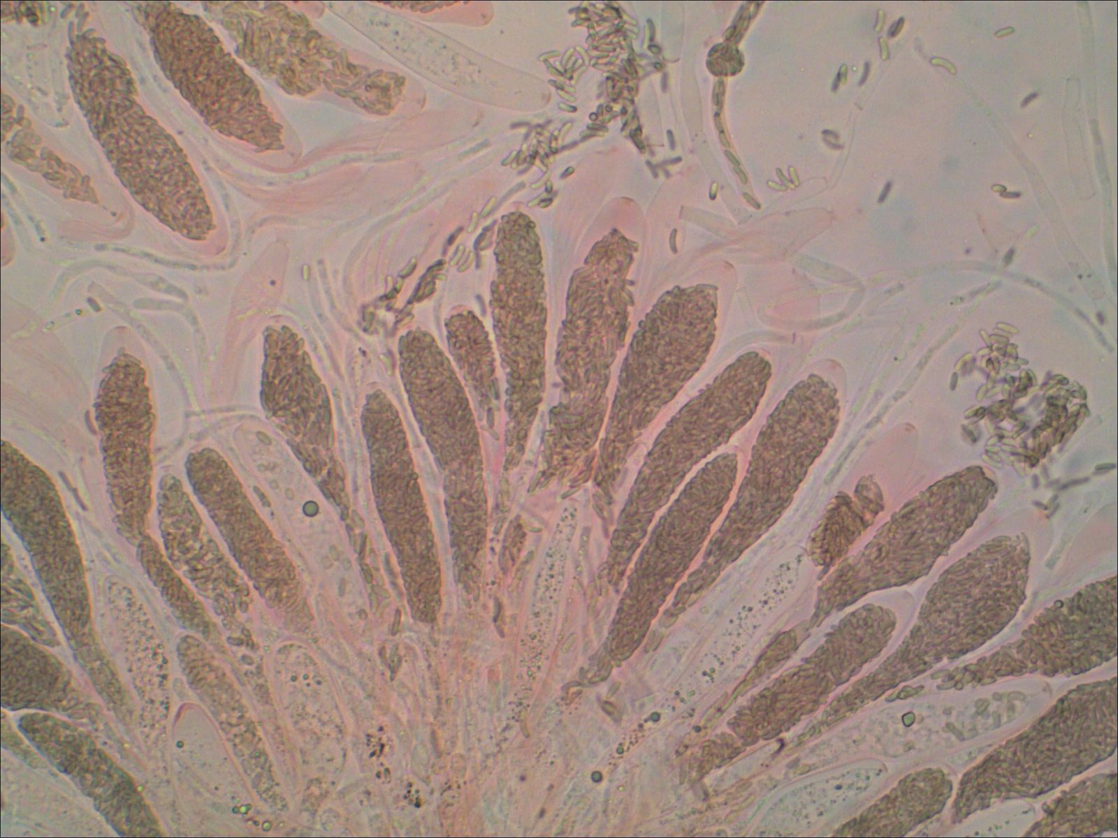
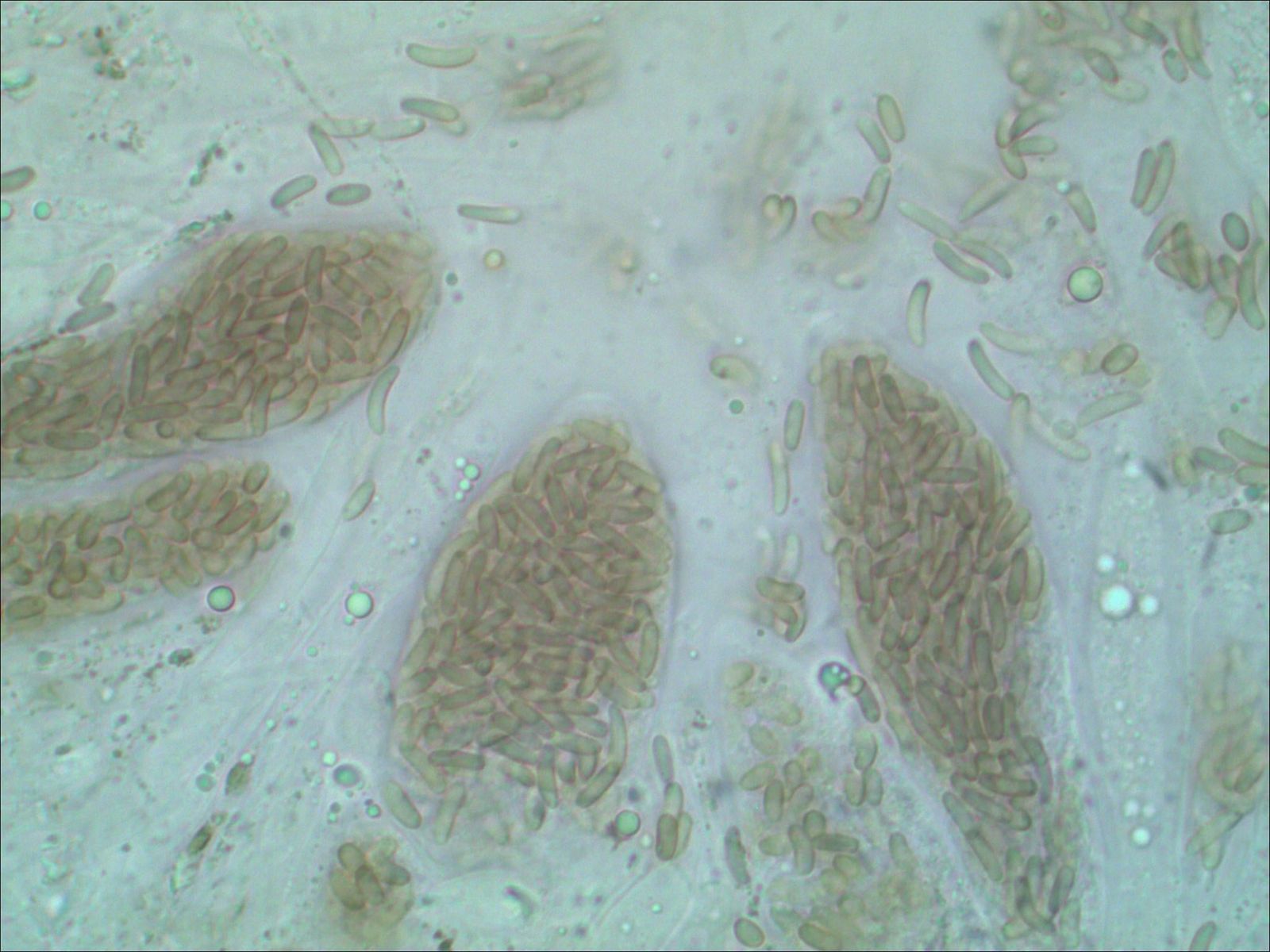
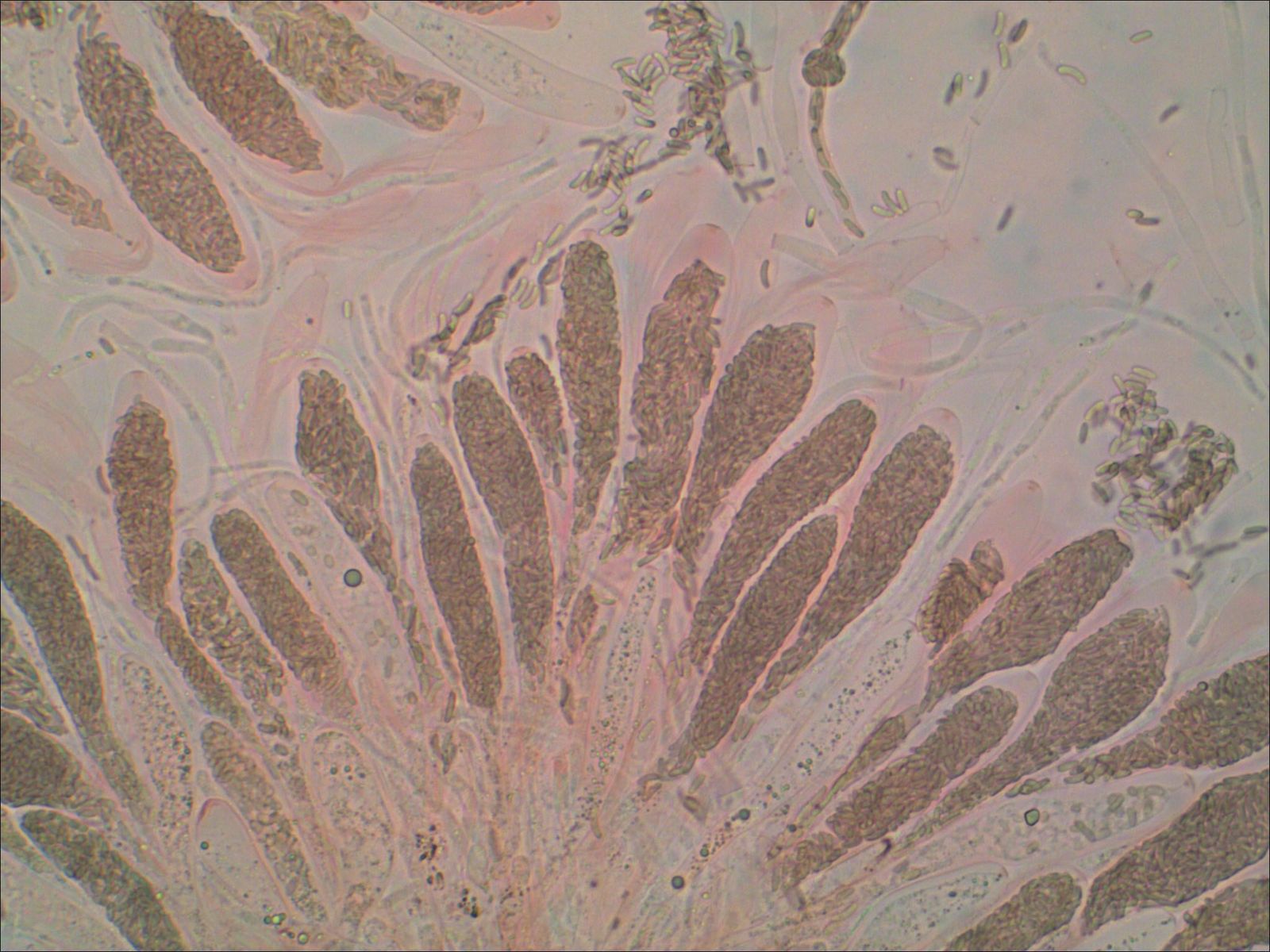
Dazu braucht man nur ein gutes Auge, scharfe Rasierklingen und ein Mikroskop, los gehts: ![]()
Lopadostoma turgidum Januar 2022 Thale an Rotbuche
Diaporthe oncostoma 09.01.2022 Quedlinburg an Robinia
Massaria inquinans Quedlinburg 09.01.2022 an Ahorn
Dictyoporthe bipapillata 16.01.2022 Harzgerode Ost
Splanchnonema pupula 16.01.2021 Harzgerode an Ahorn
Pleomassaria carpini 22.01.2022 Ballenstedt Siebersteinstal
