Hallo,
ich versuche gerade einen Tintling zu bestimmen, den ich im Oktober am Wechsel auf einer Almwiese gefunden habe.
Nach makroskopischer Recherche dachte ich, es könnte Coprinopsis filamentifera sein, doch dazu passen die mikroskopischen Merkmale nicht. Dann zog ich Coprinopsis lagopus in Betracht, aber auch da passen die Sporen nicht. Jetzt weiß ich nicht mehr weiter…
Die Pilze waren relativ klein, ca. 5 cm hoch und sind fein behaart/bereift oder wie man da sagt.
Die Sporen messen 11,5 - 13 x 6 -7 und sind im Schnitt fünf- oder sechseckig.
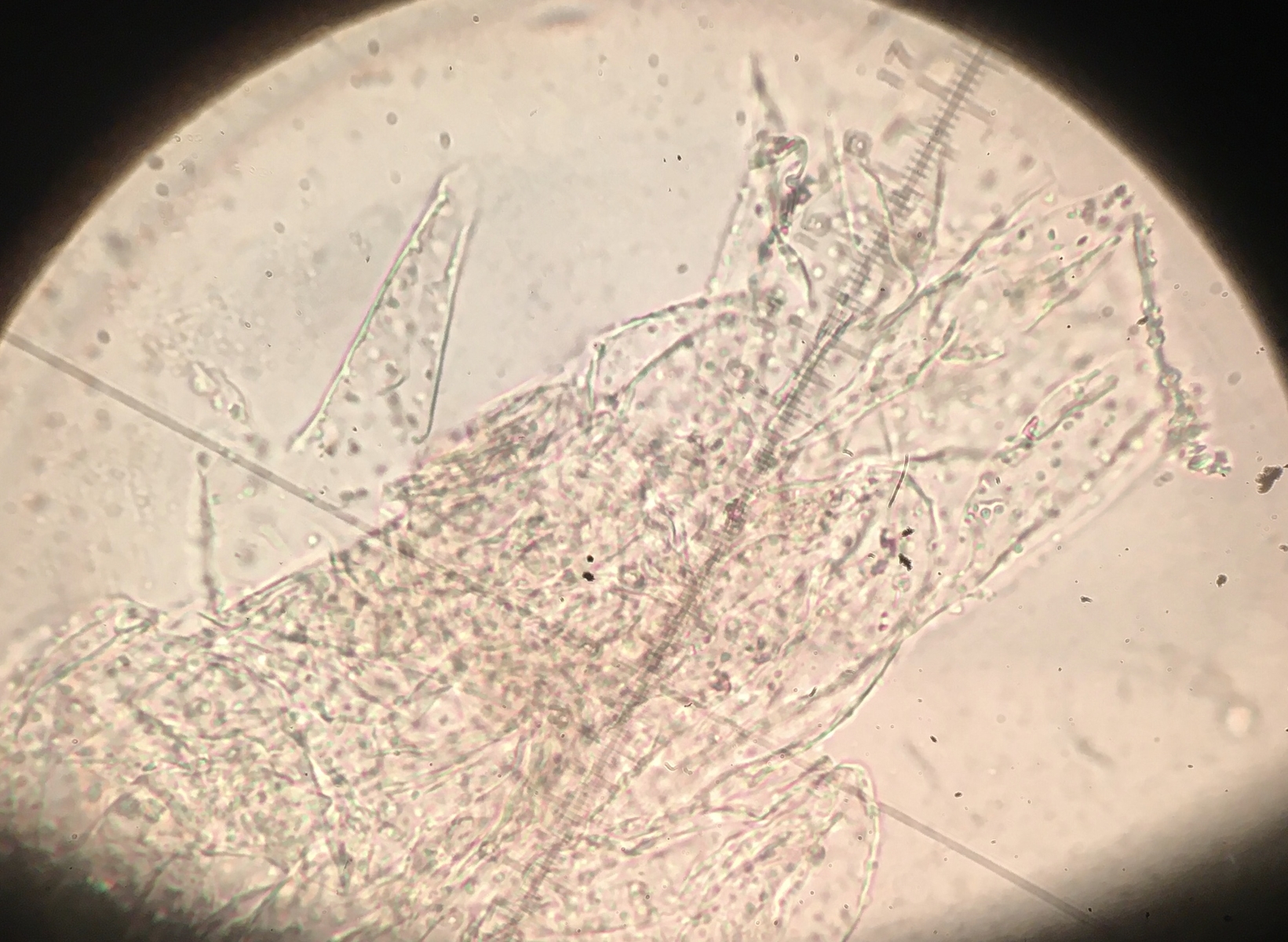
Die Zystiden sind sehr groß, sie messen 100 x 33-40.
Das Velum besteht großteils aus kugeligen Zellen, die interessanterweise genoppt sind.
Ich hoffe, hier findet sich jemand, der mir bei der Bestimmung helfen kann!
LG
romana
