Grüsse aus den Bergen

Es gibt 7 Antworten in diesem Thema, welches 4.179 mal aufgerufen wurde. Der letzte Beitrag () ist von Matthias.

  • Hallo zusammen


    Ich habe eine Woche Ferien :ghurra:


    Wie überall sonst machen auch hier die Pilze im Moment eine Pause.

    Also bleibt mir nur die Flucht in die Höhe. Dort gibt es auch nicht viel aufgrund der Trockenheit, aber immerhin etwas.


    Heute gab es einen kurzen Ausflug auf die Täschalp, ca. 2200 m.ü.M.


    Zunächst gab es ein paar Boviste. Aufgrund des alpinen Standortes dachte ich sie seien interessant - waren sie nicht.


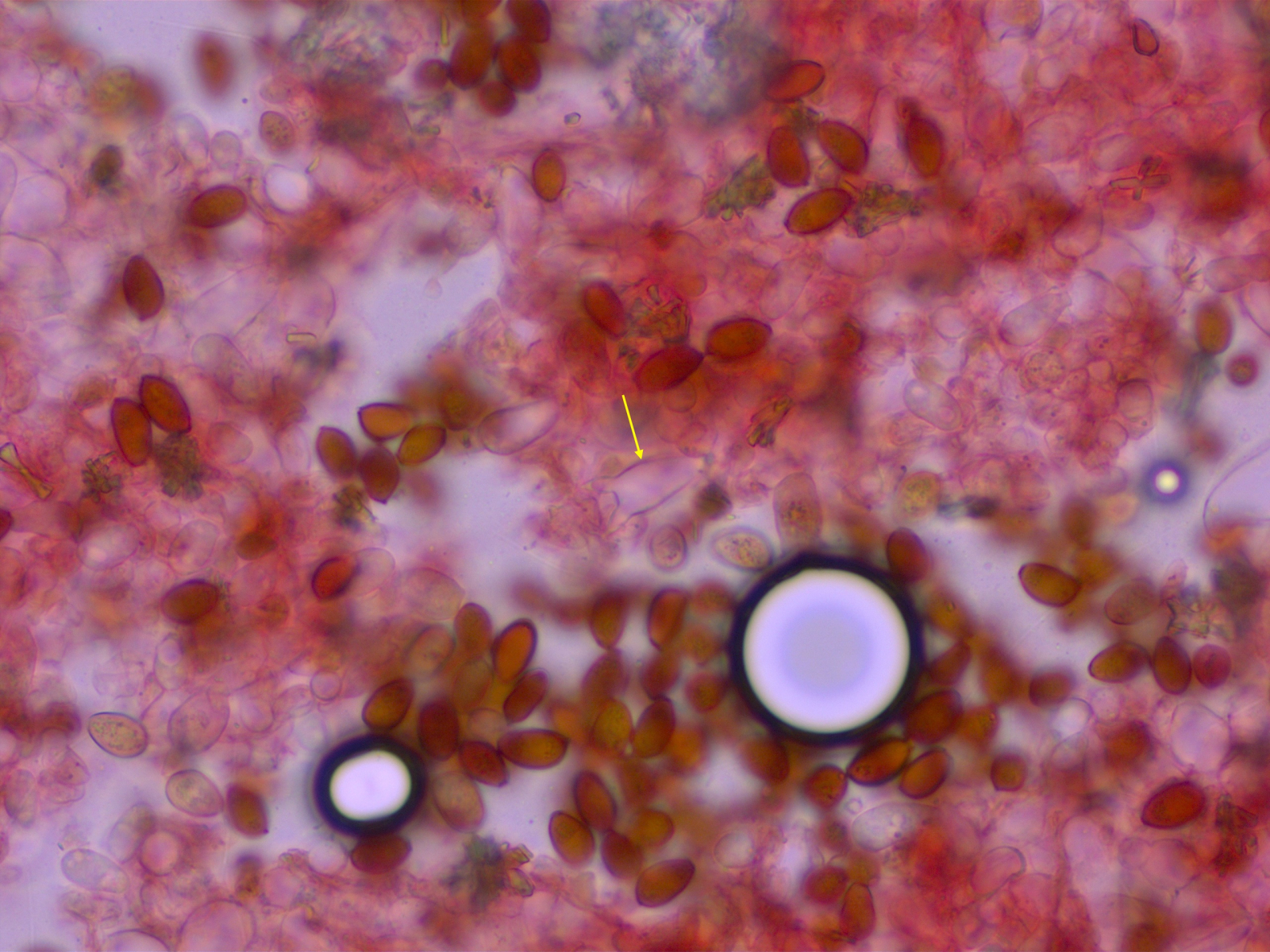
    Dann ein Risspilz. Mit dem struppigen Hut hatte ich schon den Verdacht, dass es Richtung Inocybe lacera gehen wird. Und tatsächlich:


    Und schliesslich noch ein Samthäubchen. Das wuchs in einem Bachbett auf einem Streifen mit Pioniervegetation.

    Auch hier kam nichts aufregendes bei raus.


    Abends gab es noch einen Spaziergang im Wald. Ich hatte kaum Hoffnung irgendwas zu finden, aber doch, es gab eine Lorchel.

    Sie wuchs in einem Bachbett kurz über dem Wasser. Die Gruppe um D. confusa ist sehr verworren (geradezu konfus) und die letzte Publikation 2019 wenig hilfreich, ich meine aber dass die Bestimmung stimmt.


    Und weil es so wenig Pilze gab, hier noch ein paar Blumenbilder aus dem Bergfrühling (nicht alle von heute):

    Europäische Trollblume - Trollius europaeus


    Stängelloser Enzian - Gentiana acaulis agg.


    Buchsblättriges Kreuzblümchen - Polygaloides chamaebuxus


    $

    Mehl-Primel - Primula farinosa


    Alpenglöckchen - Soldanella alpina


    Hohe Schlüsselblume - Primula elatior


    Alpen-Pestwurz - Petasites paradoxus

    Frühlings-Enzian - Gentiana verna

    Alpen-Anemone - Pulsatilla alpina


    Gelbe Alpen-Anemone - Pulsatilla alpina ssp. apiifolia


    Gruss Raphael

  • Hallo Tuppie


    Sowohl als auch - von zu Hause bin ich oft in den Bergen unterwegs, diese Woche haben wir ein Apartment kurz vor Zermatt gemietet.

    Das Mikroskop kommt immer mit, solange ich in kein Flugzeug steigen muss.


    Lg, Raphael

  • Hallo,

    tolle Bilder! Wenigstens hast du ein paar Pilzchen gefunden ! Sogar noch eine Lorchel, das ist doch schon was.#

    Auch die Blumen sind schön anzuschauen. Kannst du sie benennen? Ich mag am liebsten die kleinen Violetten, die aussehen wie Feenhüte !

    Danke fürs Mitnehmen

    :)

    Liebe Grüße aus dem Vogtland

    die Schwarzhex

    :gwinken: Sandra

    (PC 100 - 10 (fürs APR 2020) = 90 - 15 (APR 21) = 75-10 (APR22) = 65 + 7 (APR 22 Auflösung) - 5 (Rätsel-Gedicht)= 67 - 10 (APR 23) = 57 + 5 Gnanzierung = 62 - 10 (Ast-Wette gegen Björn) = 52 - 10 (APR 24)- 1 (legaler Bestechungsversuch im Vorfeld des APR zugunsten GI)= 41 + 21 (Thorwulf Spende)= 62 + 38 (Hannes2 Spende) = 100 PC :gbravo: + 3 Gnolmengastfreundlich = 103-15 (APR 25) = 88+ 1 Nannettenrätsel=89 + 3 Jammerei auf hohem SchwarzhexxNiveau = 92+ 3 (Platz 20 APR25)=95

  • Hallo,

    tolle Bilder! Wenigstens hast du ein paar Pilzchen gefunden ! Sogar noch eine Lorchel, das ist doch schon was.#

    Auch die Blumen sind schön anzuschauen. Kannst du sie benennen? Ich mag am liebsten die kleinen Violetten, die aussehen wie Feenhüte !

    Danke fürs Mitnehmen

    :)

    Ich habs probiert, siehe oben - Pflanzen sind nicht wirklich meine Stärke, aber das hier sind ja alles recht triviale Arten.

    Für die wissenschaftlichen Namen musste ich meine App befragen ;)


    Heute war ein recht ertragloser Tag, nur diese beiden:


    Bonomyces sinopicus


    Calvatia utriformis


    Gruss Raphael

  • Hallo Raphael, was für eine tolle Alpenlandschaft mit diesen so hübschen Blumen. Da wär ich auch gern gewesen!

    Ja, der Risspilz ist sicher nicht lacera, sondern helobia.Diese breiten abgestumpften Sporen sind nie lacera.

    Herzlich, Ditte

  • Und schliesslich noch ein Samthäubchen. Das wuchs in einem Bachbett auf einem Streifen mit Pioniervegetation.

    Auch hier kam nichts aufregendes bei raus.

    Servus Raphael,


    in meinen oberbayerischen Sammelgebieten ist C. siliginea nicht häufig, ich hab sie nur einmal auf einer mageren Schotterheide gefunden.


    Grüße

    Hias