Gerade noch entdeckt ...
- Sebastian_RLP
- Erledigt
Es gibt 13 Antworten in diesem Thema, welches 2.813 mal aufgerufen wurde. Der letzte Beitrag () ist von Sebastian_RLP.
-
-
-
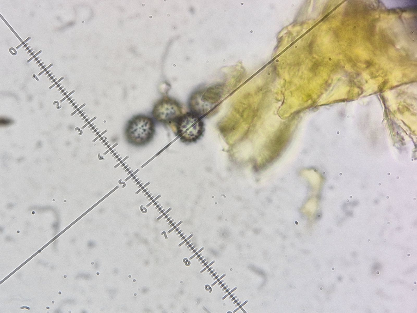
GriasDi Sebastian,
schaut nach R. olivacea aus.
An liabn Gruaß,
Werner
-
Die Vermutung geht natürlich stark in Richtung R.o.
Grüße Axel
-
Super, danke. Werde ihn mir noch genauer anschauen ...
LG Sebastian
-
-
Hallo Sebastian,
da bin ich ganz der Meinung meiner Vorredner mit R. olivacea.
Optik vom Pilz passt, Phenol passt, HDS mit kurz septierten und blasigen Haaren passt auch und die gelblichen Lamellen lassen schon ein dunkleres SpP erahnen.Das passt 1:1 ...
Nicht ganz mit einer Angabe von "Guajak negativ", die sollte bei R. olivacea schon positiv ausfallen ist aber hier in diesem Fall nicht absolut nötig.
Dies kann bei schlechter oder alter Konsistenz des Pilzes vorkommen. Fällt halt nur auf und macht stutzig.
Danke Dir für das zeigen.

Grüsse
claus
-
Servus Claus, also der ist am Stiel schon umgeschlagen in ein blasses Grün, aber erst nach ich sag mal über 10sek.
LG Sebastian
-
Mit positiv meinte ich ja auch einen blau/grünen Farbumschlag innerhalb 10sek. Alles was darüber ist, oder bis 10sek. keine Raktion zeigt, ist negativ. Positiv oder negativ ist sowieso nicht so ideal, idealerweise notiert man "0, +, ++, +++" (wobei ich hiermit genauso gemeckert hätte)
Schieben wir es einfach auf den Zustand des Pilzes und gut.
LG
claus
-
Hallo Claus, ja tatsächlich ist das negativ. Habe es heute morgen nochmal an beiden Stielen getestet und es passiert noch weniger ...
Nach 30sek
Nach 4 Minuten
Das wäre dann 0 oder.
Ein Trockenschaden ist ja zu erkennen an dem Pilz. Mir fehlt da die Erfahrung, wie stark sich das auswirken kann/darf.
Hatte auch vermutet, dass dies hier vielleicht gar keine so große Rolle spielt, da die Guajakreaktion z.B. in MXM gar nicht erwähnt wird, gleichzeitig der Phenolreaktion nach verschiedenen Quellen offenbar eine überragende Bedeutung zukommt.
Das Guajak ist jedenfalls frisch, Anbruch 04/22
LG Sebastian
-
was wisst ihr zum Speisewert dieser Art. Ich habe den schon oft gegessen, da er bei uns häufig ist????
-
Hallo larchbolete, ich verstehe die Frage bzw. dein Ansinnen nicht recht. Tatsächlich habe ich die Art erst einmal gefunden und diese noch nie verspeist. Er soll essbar sein, zum Wert müsstest du doch was sagen können, wenn du ihn schon so oft verspeist hast?
LG Sebastian
-
die Art steht bei der DGFM auf der Liste mit uneinheitlich beurteiltem Speisewert. Gelegentlich soll sie gastrointestinale Beschwerden verursachen.
-
Hier gefunden und mal grob übersetzt:
Die Russula olivacea ist ein umstrittener essbarer Pilz. Früher galt er als ausgezeichneter essbarer Pilz, aber Fälle von Toxizität beim Verzehr von rohem, ungekochtem oder gefrorenem Pilz haben einige Verwirrung gestiftet. Aus diesem Grund ist die Sammlung weniger erfahrenen Personen nicht zu empfehlen, die sie vorbehaltlos mit congeners eduline [?] Arten verwechseln könnten; Wenn es jedoch gesammelt wird, sollte es nur nach sorgfältigem Kochen verzehrt werden. Außerdem ist Russula nicht leicht zu bestimmen. Von manchen wird er zu den Pilzen mit ausgezeichnetem Geschmack gezählt."
