Lepiota

Es gibt 16 Antworten in diesem Thema, welches 3.212 mal aufgerufen wurde. Der letzte Beitrag () ist von Schupfnudel.

  • Hi.


    Noch einer von heute, der mir neu ist.


    Diese Lepiota stand am Friedhof.


    Habitat


    Auffällig ist der braune Nippel - bei dem jungen als Papille, bei dem älteren abgeflacht.




    Dünne, weiße Rhizomorphen.


    Cortina-artiges Velum



    Geruch unbedeutend, Hutdurchmesser gut 4cm.


    Sporenabwurf läuft, ich denke mal der muss unters Mikro?

    Aber vlt. hat ja schon jemand eine Idee.


    LG,

    Schupfi

    Posts sind nicht als Essensfreigabe zu verstehen. :-]
    93 Chibs - APR-Gebühr 2024 = 83 Chibs

  • Hallo,


    muss mikroskopiert werden, aber auf jeden Fall einer aus der Gruppe mit den spindeligen Sporen. Möglicherweise oreadiformis.


    beste Grüße,

    Andreas

  • Hallo,

    Sieht aus wie mein Fund von gestern.

    Lepiota oreadiformis ist da auch mikroskopisch rausgekommen.

    Gruß

    Norbert

    ------------------------------------------------------
    Pilzchips = 100 -5 APR 2015 +12 APR 2016 = 107 -7 Für APR 2017 = 100 + 5 APR 2018 =105 +5 APR 2019 =110+6 APR 2020=116+5+4 APR2021=125

    -15 für APR 2022 = 110. -15 für APR 2024 = 95 +5 APR2024 Platz und einschätzung = 100

    Pilzbestimmung im Netz ist keine Essfreigabe

    ------------------------------------------------------

  • Hi.


    Danke euch beiden.


    Spindelförmig ist das gleiche wie fusiform? Muss das in der FN danach schlüsseln.


    Sieht jedenfalls spindelförmig aus und die sind auch recht groß (400x):


    IMG_20210717_171549.jpg


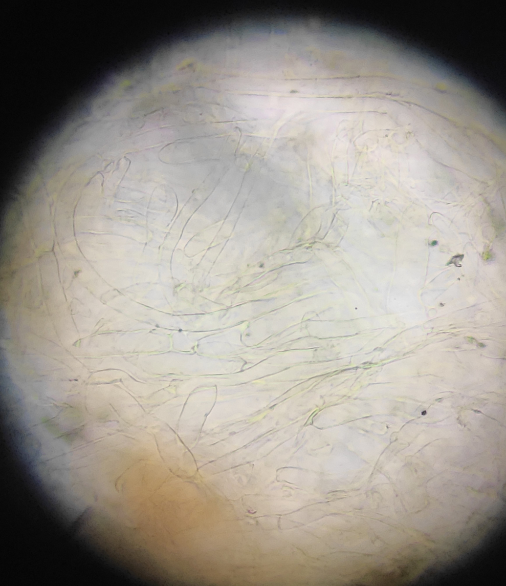
    Mit der HDS habe ich so meine Probleme. Das ist irgendwie noch alles chaotisches Wirr-Warr für mich. Ich weiß da nicht richtig was relevant ist.


    HDS-Haare zum Teil auch recht lang. Sind die septiert? L. oreadiformis soll keine septierten Elemente haben laut Ludwig.



    Das da mittig könnte eine Schnalle sein...



    Schicht darunter. Ist das jetzt ein "pileipellis of elongate cells" oder "pileipellis of elongate cells intermixed with clavate cells"?

    Ich komme zwar in dem Fall wegen der spindeligen Sporen auch so weiter, aber so ums zu Verstehen...





    Worüber hast du deinen Fund festgenagelt, Norbert?


    Danke!


    LG,

    Schupfi

  • Hi,

    Worüber hast du deinen Fund festgenagelt, Norbert?

    Na ja, es wurde ja vorgeschlagen.

    Da habe ich die Sporen angeschaut , Form und Größe passten , Dextrinoid waren sie auch.

    Dann verglich ich noch die Cheilos , passten optisch.

    Habitus und Fundort passten auch.

    Das hat mir dann gereicht.

    Gruß

    Norbert

    ------------------------------------------------------
    Pilzchips = 100 -5 APR 2015 +12 APR 2016 = 107 -7 Für APR 2017 = 100 + 5 APR 2018 =105 +5 APR 2019 =110+6 APR 2020=116+5+4 APR2021=125

    -15 für APR 2022 = 110. -15 für APR 2024 = 95 +5 APR2024 Platz und einschätzung = 100

    Pilzbestimmung im Netz ist keine Essfreigabe

    ------------------------------------------------------

    • Offizieller Beitrag

    Hi,


    ich sehe hier auch L. oreadiformis; aus meiner Sicht ist der schon fast makroskopisch anzusprechen; mit dem glatten Hut und den dickeren Lamellen...


    l.g.

    Stefan

    Risspilz: hui; Rissklettern: bisher pfui; ab nun: na ja mal sehen...


    Derzeit so pilzgeschädigt, das geht auf keine Huthaut. :D


    Meine Antworten hier stellen nur Bestimmungsvorschläge dar. Verzehrsfreigaben gibts nur vom PSV vor Ort.

  • Hallo Schupfi,

    um bei Huthaut-Präparaten nicht nur ein Wirrwarr zu sehen, brauchst Du einen echten Radialschnitt.

    Das ist von der Präparationstechnik schon schwierig. Manche Leute nehmen zwei Rasierklingen zum Schneiden und nehmen das Stück zwischen beiden Klingen. Ich habe auch schon ein Stück eingefroren und dann unter dem Bino geschnitten ( zum Einfrieren unter dem Bino kauft man ein Peltier-Element, das man auf eine Aluplatte klebt, und eine regelbare Gleichstromquelle im Elektronikhandel).

    Momentan experimentiere ich damit, an der gefühlt immer gleichen Stelle 20-30 radiale Schnitte zu setzen, und dann mit der Pinzette ein paar Fädchen rauszuziehen und unter dem Mikro bei kleiner Vergrößerung noch ohne Deckglas zu gucken, ob was brauchbares dabei war.

    Grüße,


    Wolfgang

  • Hi.


    Vielen Dank an alle für die Antworten. Dextrinoidität habe ich am Abwurf noch getestet, das passt auch.

    Momentan experimentiere ich damit, an der gefühlt immer gleichen Stelle 20-30 radiale Schnitte zu setzen, und dann mit der Pinzette ein paar Fädchen rauszuziehen und unter dem Mikro bei kleiner Vergrößerung noch ohne Deckglas zu gucken, ob was brauchbares dabei war.

    Das kann ich mal probieren, Danke für den Tipp. Vermutlich ist meine Schnitt-Technik einfach Mist. Man liest ja immer wieder wie schwierig so ein dünner Radialschnitt sein soll, von daher sind meine Versuche vermutlich einfach nicht dünn genug. Die Idee mehrere Versuche zu machen und erstmal grob zu schauen ist aber nicht schlecht. Mal gucken ob ich damit was besseres hinbekomme.


    Den Pilz würde ich dann jetzt als L. oreadiformis ablegen. :)


    LG,

    Schupfi

    Posts sind nicht als Essensfreigabe zu verstehen. :-]
    93 Chibs - APR-Gebühr 2024 = 83 Chibs

  • hallo Schupfi,

    gönne Dir auf jeden Fall eine ganz neue Rasierklinge, und "Schneiden" bedeutet Ziehen ohne Druck. Einfach nur Drücken würde man "Spalten" nennen, und das dafür geignete Werkzeug eine Axt.^^


    Viel Erfolg!


    Wolfgang

  • Hi Wolfgang,


    ich hab's eben nochmal fix versucht, aber so richtig dolle war's auch dieses Mal nicht. Das hier war vlt. noch der beste Versuch.



    Mehr Zeit hab' ich jetzt erstmal nicht leider.


    Danke nochmal für die Tipps. :)


    LG.

    Posts sind nicht als Essensfreigabe zu verstehen. :-]
    93 Chibs - APR-Gebühr 2024 = 83 Chibs

  • Hallo Schupfnudel,

    fusiform = spindelförmig.

    Wegen der Zellen in der Pileipellis: ich denke, es geht da um die Endzellen und vielleicht noch die zwei, drei darunter. Aus einem guten Mikrobild müsste eindeutig zu erkennen sein, was die letzten drei Endzellen sind, aber das erkenne ich hier nicht, da liegt alles kreuz und quer. Ich glaube daher, es ist bei dir kein Problem der Dicke des Schnittes, sondern eines der Bildauswahl und der Interpretation..

    FG

    Oehrling

    PSVs dürfen weder über I-Net noch übers Telefon Pilze zum Essen freigeben - da musst du schon mit deinem Pilz zum lokalen PSV!

  • Hi Oehrling,


    ja, das war mir tatsächlich nicht bewusst, dass da explizit die Endzellen gemeint sind, die direkt unter der Hutoberfläche sind. Die Ausschnitte sind dann vermutlich aus zu tiefen Schichten.


    Danke für den Hinweis und die Bestätigung des Sporenformnamens. :)


    LG,

    Schupfi

    Posts sind nicht als Essensfreigabe zu verstehen. :-]
    93 Chibs - APR-Gebühr 2024 = 83 Chibs

  • Vielleicht meldet sich auch nochmal zuehli zu Wort, der hat viel Erfahrung mit der Lepiota-Mikroskopie, weitaus mehr jedenfalls als ich.

    FG

    Oehrling

    PSVs dürfen weder über I-Net noch übers Telefon Pilze zum Essen freigeben - da musst du schon mit deinem Pilz zum lokalen PSV!

  • Achherrjeh, jetzt muss ich mir ja den ganzen Thread durchlesen... :P


    Gut, davon abgesehen, dass ich hier auch ohne Mikroskopie den oreadiformis sehe (der wächst in meinen Gefilden wie Unkraut), ist neben der Sporenform und -größe hin und wieder mal die Struktur der HDS wichtig.

    Wolfgang hats ja eigentlich erklärt, wie es geht. Ich schaffe es, mit einer Rasierklinge einen schönen Radialschnitt aus dem Hut zu schneiden. Gerade z.B. bei Dachpilzen ist die HDS wichtig, damit fängt die Bestimmung an.

    Aber man muss dann eben auch die Hutdeckschicht - also die oberste Schicht, mit evtl. Unterlagen - sehen und interpretieren. Ist halt nicht immer so einfach, wie's geschrieben wird und bedarf einiger Übung und Erfahrung.

    Bei den Lepioten kommt man in einigen Fällen aber auch schon mal allein über die Sporen in die Nähe einer Bestimmung.


    Beste Grüße

    Harald

  • Hallo,


    wenn man in etwas weiß was man sucht und wie das etwa aussehen könnte, dann reicht bei Lepiota auch ein einfaches Zupfpräparat aus der HDS. DIe Huthauthaare oder Endzellen sind deutlich anders geformt als der ganze Hyphensalat drunter. Man muss nur was aus den farbigen Bereichen der HDS nehmen, nicht etwa aus den Rissen dazwischen, sonst hat man Huttrama.


    beste Grüße,

    Andreas

  • Hallo ihr beiden,


    Danke auch an euch für die Tipps. Ich werde weiter üben und auch ein Zupfpräparat kann ich natürlich mal probieren. :)


    LG,

    Schupfi

    Posts sind nicht als Essensfreigabe zu verstehen. :-]
    93 Chibs - APR-Gebühr 2024 = 83 Chibs