Hallo,
heute habe ich eine Lepiota gefunden, bei der ich nicht weiterkomme.
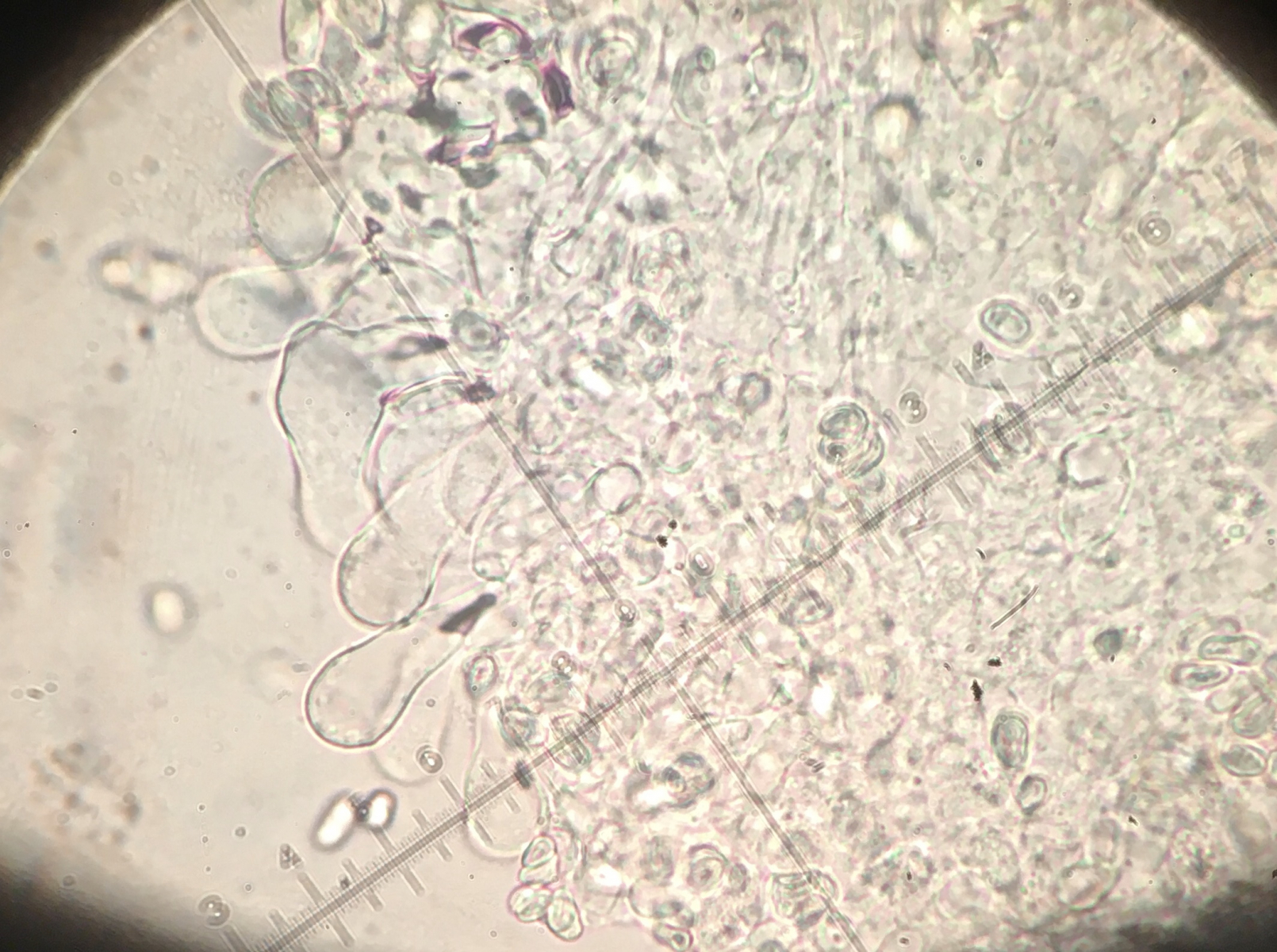
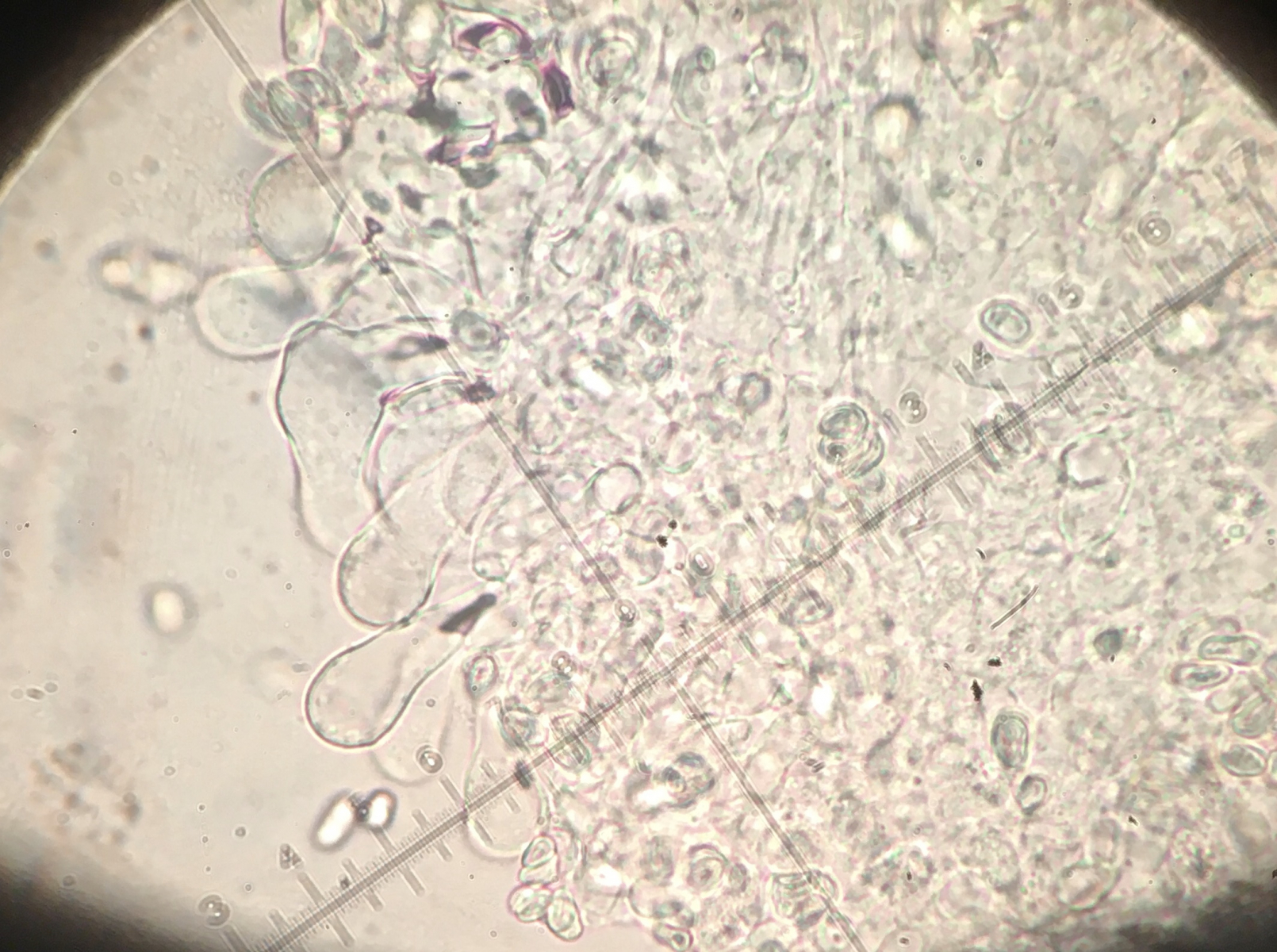
Die Sporen sind oval und messen 6-7,5 x 3-4,5, cheilozystiden waren nicht oder wenn, dann nur sehr spärlich vorhanden. Ich habe Mikrobilder gemacht, da könnten zystiden abgebildet sein, aber ich bin mir bei der Deutung nicht sicher.
Könnt ihr mir da bitte weiterhelfen?
LG
romana
