Hi.
Heute konnte ich diesen Winzling im Auwald an einem alten Totholzstumpf finden (Laubholz).
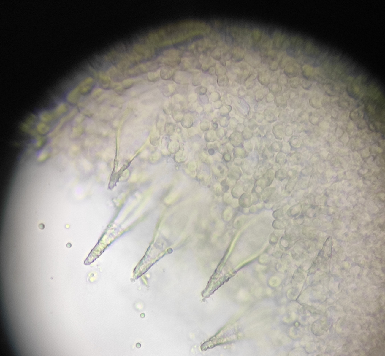
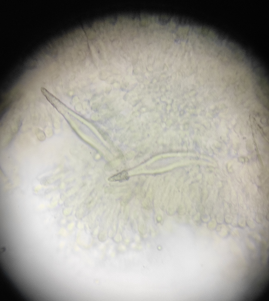
Ich vermute es ist eine Hohenbuehelia, aber ich habe nicht viel Erfahrung mit denen.
Die gelatinöse Schicht unter der Huthaut ist ca. 0,7mm dick. Wegen der bin ich bei der Gattung gelandet. Sporenabwurf läuft, mal gucken ob die schon absport.
Bin ich da in der richtigen Gattung? Im speziellen würde mir ja Hohenbuehelia mastrucata ganz gut gefallen, aber ich weiß nicht ob ich den makroskopisch schon so nennen darf. ![]()
LG,
Schupfi
