Hallo,
Heute auf einer Wiese diese Pilze gefunden.
Hut : bis 8cm breit , creme , Mitte leichter bräunlicher Buckel.
Stiel : bis 8cm lang , 1cm dick , hohl.
Lamellen : weiß
Für mich geruchlos.
Sporenstaub : weiß mit ganz schwachem rosa Hauch.
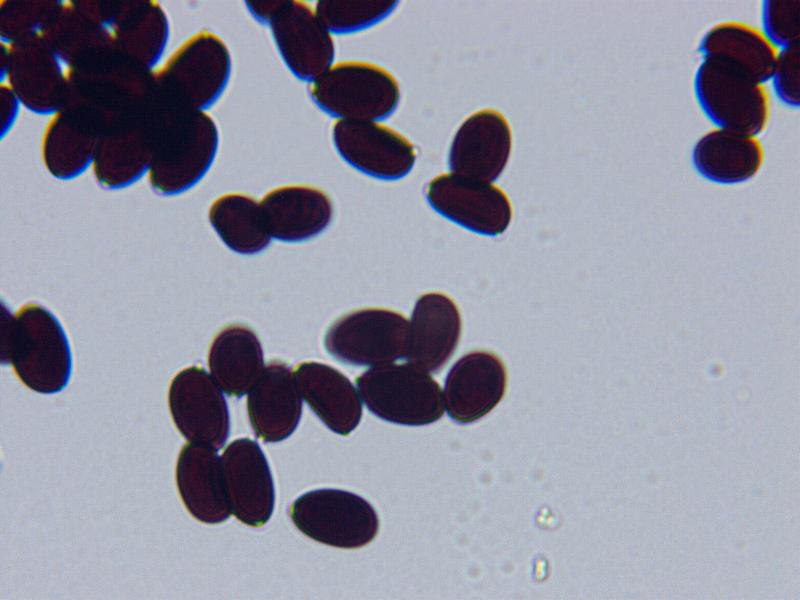
Sporen 13,5-15,5 X 8-9,7µm , stark dextrinoid.
Bei meiner Suche bin ich erst an Lepiota alba hängengeblieben , die Sporenmaße könnten stimmen.
Bei Suche sowohl auf einer italienischen als auch auf einer Schweizer Seite hatten dort
die Sporen allerdings eine etwas andere Form (eine Seite etwas mehr zugespitzt).
Was habe ich nun da gefunden ?
Grüße
Norbert
und mit Melzers (sieht so schwarz aus , ist aber braun)
