Liebe Pilzfreunde,
diesen Risspilz habe ich eher zufällig gestern beim Joggen gesehen und konnte es nicht lassen, zwei Fruchtkörper mitzunehmen. Sie wuchsen gesellig mit bis zu 10 Fruchtkörpern an einem Seitenrand eines Feldweges, der von diversen Sträuchern und Laubbäumen bewachsen ist. (Eiche, Birke, Kirsche, Buche)
Leider sind die Fotos farblich nicht so gut, da ich nur ein Handy dabeihatte. Zuhause gabe ich noch weitere Fotos gemacht, sind aber verwackelt, Eins füge ich trotzdem an, da die Farben besser dem Pilz entsprechen. (letztes Foto)
Bei meiner Bestimmung komme ich auf Inocybe adaequata und wollte fragen, ob das passt.
Die Größe war so zwischen 6X3 cm.
Der Geruch leicht süßlich nach Honig.
Der Stiel war weiß-ockerlich-gelb, wobei die Basis leicht gebogen und leicht angeschwollen ist. Bereift war er nur oben.
Am Hut konnte man neben dem ockerlichen Braun leichte Rottöne feststellen.
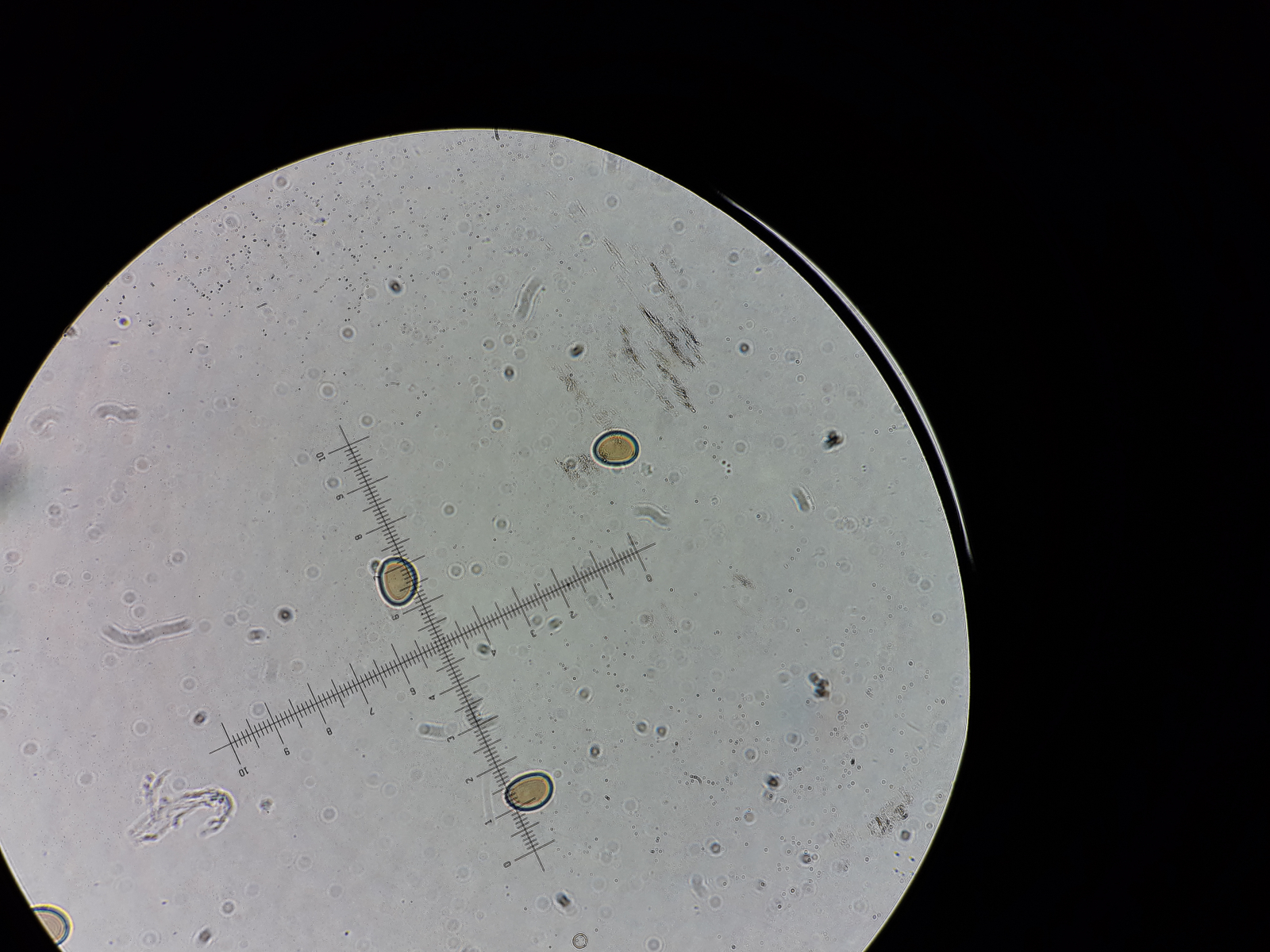
Die Sporenmaße sind: 10-12Xca.7.
Zu Inocybe adaequata fand ich bei Ludwig eine etwas erstaunenswerte Information zur Essbarkeit. Ich zitiere mal: "Bisher die einzige Risspilzart, die als absolut ungiftig und sehr schmackhaft eingestuft werden kann. […] Der Pilz ergibt ein sehr zartfleischiges, spargelähnliches Gericht,..."
Nicht, dass ich auf die Idee käme, den zu essen, aber wisst ihr etwas darüber? Würde mich schon interessieren.
Liebe Grüße
Matthias
Lamellenschneide (400)
Lamellenschneide (1000)
Lamellenschneide (1000)
Kaulozystiden (400)
