Jajajaja! Sarcoscypha sp. - Prachtbecherlinge wiedergefunden und erste Gehversuche mit Mikro

Es gibt 25 Antworten in diesem Thema, welches 8.429 mal aufgerufen wurde. Der letzte Beitrag () ist von Habicht (†).

  • Hallo Ihr Lieben!


    Heute war ich wieder in meinem Wald, um den Becherling vom letzten Wochenende wiederzufinden.

    An der Stelle war allerdings kein Becherchen mehr zu finden. :(


    Aaaaber: direkt an der Stelle, an der ich mein Fahrrad abstellte waren die ersten Drei, die mir entgegenlächelten. :) Also habe ich ein paar Bilder geschossen. Leider konnte ich das Substrat nicht mehr identifizieren. Sie wuchsen auf Holz, aber ob es nun Weide oder Hasel war, konnte ich nicht erkennen.







    "Ooooh, Becherchen!!!"


    Den einzigen der drei wunderschönen knallroten Sarcoscypha, den ich hier sofort ausschließen würde wäre der Lindenholz-Prachtbecherling, S. jurana. Einfach schon aufgrund des Habitats (allerdings hatte ich einal das Vergnügen, eine wundervolle Stelle S. jurana gezeigt zu bekommen, danke PiWo!). Dann bleiben für mich nur noch S. coccinea, der Scharlachrote und S. austriaca, der Österreicher übrig.


    Und jetzt wird es schwierig...


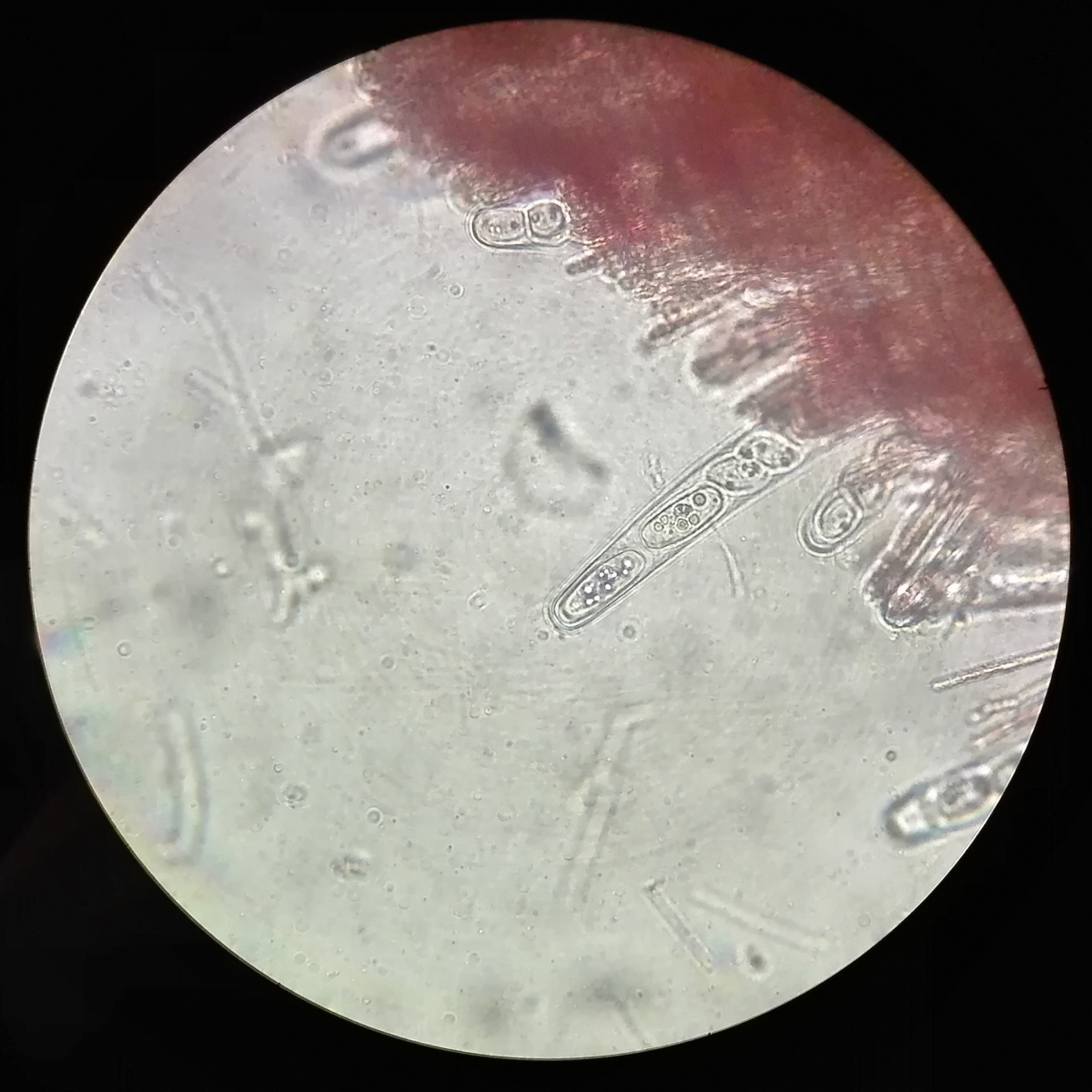
    Da hilft wohl nur das scharfe Glas. Und jetzt kommt Ihr ins Spiel: hier sind meine ersten - meine ALLERERSTEN - Mikro-Bilder von diesem schönen Pilz. Leider kann ich bisher keine Sporengrößen messen. Aber die Haare auf der Außenseite der kleinen Schüsselchen sollen doch auch typisch sein, nicht?





    Bei S. coccinea sollen sie glatter sein und bei S. austriaca krauser. Oder doch nicht?


    Nun ja, hier die Bilder ==21




    Mit dem Mikro habe ich ja eigentlich andere Dinge vor, aber man kann ja auch mal ein bisschen an den Pilzen herummikroskopieren, nicht!?


    Ich hoffe, ich habe Euch mit noch einem Bericht über rote Becher nicht gelangweilt. Schön, wenn der eine oder die andere mitgestromert ist. Vielleicht bekomme ich ja auch noch ein paar Bestimmungstipps. :)


    Und mit einem echten Siebenpunkt und diesem freundlichen Sarcoscypha verabschiede ich mich für heute. Und ja, der sah wirklich so aus, ich habe nichts arrangiert. Als er mich so anlächelte, war der Tag doch gleich gerettet. :)



  • Hallo Tuppie,

    mit den kleinen quietschten Bechern kannst Du niemanden langweilen. Die kann frau sich immer wieder mit Begeisterung ansehen. Ihre inneren Werte kann ich nicht beurteilen, aber das wird garantiert gleich jemand von den Profis tun.

    Siebenpunkte hatte ich ewig nicht. Dafür aber Marienkäferchen von null bis 30? Punkten zu Hunderten in allen Jalousiekästen, auf Fensterbrettern, überall an der Hauswand, auf Tischen, Tellern ...

    Danke fürs Zeigen.

    Lieben Gruß


    Claudia


    ...leben und leben lassen... ;)


    Hier im Forum gibt es grundsätzlich keine Verzehrfreigaben.

    Pilzsachverständige findest du hier.

    • Offizieller Beitrag

    Hi,


    dann erstmal herzlichen Glückwunsch zum Mikro. ==Gnolm8 Scheint eine gute Optik zu haben. Deine Präparate sind für das "erste Mal" sehr gut. Da ist viel "learning by doing" und "try and error" dabei. Bestimmte Fehler muss man halt machen, das gehört dazu. ==Gnolm19==Gnolm8


    Dann zur Sarcoscypha: Coccinea ist das nicht; dafür sind die Haare zu kraus. Jurana schließt du aus, da bleibt nur noch austriaca, die häufigste Art übrig. Von der Ferne kann ich das aber nicht bestätigen, dafür fehlt mir die Erfahrung mit S. jurana.


    Darf ich mal fragen, was du mit dem Mikro machen willst, wenn nicht Pilze mikroskopieren?


    Ansonsten frag ruhig, wenn du Fragen hast. Mikroanfängerfragen sind hier immer gern gesehen, wie du ja weißt.


    l.g.

    Stefan

    Risspilz: hui; Rissklettern: bisher pfui; ab nun: na ja mal sehen...


    Derzeit so pilzgeschädigt, das geht auf keine Huthaut. :D


    Meine Antworten hier stellen nur Bestimmungsvorschläge dar. Verzehrsfreigaben gibts nur vom PSV vor Ort.

  • Hallo Stefan!

    Danke für Deine Einschätzung.

    S. jurana kann ich wohl sicher ausschließen, da dort kein Lindenholz vorhanden ist und auch die Umgebung nicht stimmt (es ist nunmal kein Schluchtwald).

    Dann habe ich das mit den Härchen doch richtig erinnert, die krauseren gehören zu S. austriaca.


    Zum Mikro: Ich hab vor, mich ein wenig mit Flechten zu befassen und außerdem meine Sand-Sammlung mikroskopieren. Und zum Dritten bin ich noch auf der Suche nach einem Zeichenokular oder einem Zeichentubus, damit ich Bilder von den Objekten malen kann. :)

    • Offizieller Beitrag

    Flechten sind gut; sind aber auch Pilze. :)


    Ansonsten wenns dich mal packt und du einen "richtigen" Pilz wieder ansehen willst, weißt du ja, wo du Hilfe bekommst. :)


    l.g.

    Stefan


    P.S. Sand ist Blöd. Dadurch gehen immer die Dechgläschen kaputt. ==Gnolm7==Gnolm10

  • Hallo Claudia!

    Eigentlich richtig, von den kleinen Schönheiten bekommt man nicht wirklich je genug. :) Und die asiatischen Marienkäfer sind mittlerweile überall zu finden. Die importierten Käfer bzw. ihre Larven sind die stärksten Konkurrenten der heimischen Käferchen.

  • Hallo Tuppie,

    Glückwunsch zu den ersten Gehversuchen mit dem Mikro. Die Haare lassen keinen anderen Schluss als S. austriaca zu, da bei den beiden übrigen bei uns vorkommenden Arten die Haare nie so stark gekräuselt sind. S. jurana erkennst Du an zwei großen Tropfen in jeder Spore.

    LG Karl

  • Hallo Karl!

    Danke für die Glückwünsche. :) Und auch für den Hinweis mit den Öltröpfchen. Ich fand es wirklich spannend, dass ich die einzelnen Sporen und die Härchen so gut erkennen konnte. Aber sicher gehören diese Pilze eher zu den einfacheren, was das Mikroskopieren anbelangt, oder?!

  • Hai Schwesta, toll, daß du nun doch das Mikroskopieren angefangen hast! Wolltest du doch nie...wenn ich da ältere Posts richtig erinnere! Gnihihii, scheint doch fesselnd genug zu sein, daß es dich nun doch gepackt hat...bin gespannt, auch auf Flechten- und Sandfotos! :gschock:==Gnolm11

    Pilzige Grüße,

    Grüni/Kagi ==12


    117 Pilzchips


    (120PC Stand 07.01.24 -15PC Einsatz APR 2024 = 105PC +4PC Platz 9 APR 2024 +3PC Gnolmhessisch-Bonus +3PC für Sozialphahl= 115PC Stand 05.01.2025 -15PC Einsatz APR 2025 = 100PC +3PC 1. Rätzler über die Mitte +3PC Am nächsten an Schnapspunktzahl 222 +2PC 1500. Beitrag im Rätzelthread +3PC Selbsteinschätzung +3PC Bonus Bunte Gratulations-Lobhudelei +3PC Sondierungsphahl Salate = 117PC Stand 10.01.2026)


    –––––•~•–––––•~•–––––•~•–––––•~•–––––•~•–––––•~•–––––•~•–––––•~•–––––•~•–––––


    Meine Zeichnungen und Fotos sind außerhalb dieses Forums
    nicht ohne meine vorherige Genehmigung zu verwenden!


    Grünis/Kagis verrückte Pilzwerkstatt

    Pilze an ungewöhnlichen Orten finden!

  • Hallo Claudia!

    Eigentlich richtig, von den kleinen Schönheiten bekommt man nicht wirklich je genug. :) Und die asiatischen Marienkäfer sind mittlerweile überall zu finden. Die importierten Käfer bzw. ihre Larven sind die stärksten Konkurrenten der heimischen Käferchen.

    Ja, das ist leider so. Letztes Jahr habe ich mir einen Moment die Gretchenfrage gestellt, ob wir die ebenso nützlichen Einwanderer ausrotten sollten, weil es Nahrungskonkurrenten sind. Hab mich natürlich dagegen entschieden. Die können ja auch nix dafür.

    Lieben Gruß


    Claudia


    ...leben und leben lassen... ;)


    Hier im Forum gibt es grundsätzlich keine Verzehrfreigaben.

    Pilzsachverständige findest du hier.

  • Hallo Tuppie,

    S. jurana erkennst Du an zwei großen Tropfen in jeder Spore.

    LG Karl


    Servus Karl,


    da ziehe ich nicht mit dir mit, das mit den zwei großen Tropfen kann auch S. austriaca,




    @Liabe Tuppie,


    freit mi, dass du dir Kleinstrukturen vorknöpfst. Mikroskopische, in den anderen bist du eh schon immer Spitze gewesen,


    LG

    Peter

    "Die, die Kriege von oben führen sind feige Schreibtischtäter, die nicht wissen wie schrecklich Krieg ist".

    Quelle: "Masters Of War", Bob Dylan

  • Servas, liabs Habichterla!


    Nun, ich weiß noch nicht, wie tief ich mich da wirklich reinknien werde... aber zwischendurch juckts mich bestimmt in den Fingern, das scharfe Glas zu bemühen. :)

  • Servus Karl,


    da ziehe ich nicht mit dir mit, das mit den zwei großen Tropfen kann auch S. austriaca,

    Hallo Peter,

    Vitale Sporen von S. austriaca haben viele kleine Tropfen. Diese können zu einem oder auch zwei Tropfen kollabieren und alle möglichen Zwischenstufen zeigen, wie auf Deinem Bild. Bei vitalen Sporen von S. jurana sind regelmäßig zwei Tropfen vorhanden.


    LG Karl

  • Tuppie

    Hat den Titel des Themas von „Jajajaja! Sarcoscypha sp. - Praxhtbecherlinge wiedergefunden und erste Gehversuche mit Mikro“ zu „Jajajaja! Sarcoscypha sp. - Prachtbecherlinge wiedergefunden und erste Gehversuche mit Mikro“ geändert.
    • Offizieller Beitrag

    Servus!

    Du wirst staunen aber es gibt jemanden, der vergoldet Strukturen kleinster Dinge unter dem Elektronenmikroskop. Aber wie der das macht weiß ich auch nicht. Einen Pinsel nutzt er wohl nicht.

    Ist das eine Haifischmade? Also genauer gesagt, ein Nachkomme von Hagob Saldaldian Smeik?
    Oder vielleicht ein Schüler von ihm?



    LG, Pablo.

  • Ich glaube, diesen Mikroskop-Gold-Künstler hab ich mal im Fernsehen gesehen.

    Es war dieser Mann: https://de.wikipedia.org/wiki/willard_wigan

    Pilzige Grüße,

    Grüni/Kagi ==12


    117 Pilzchips


    (120PC Stand 07.01.24 -15PC Einsatz APR 2024 = 105PC +4PC Platz 9 APR 2024 +3PC Gnolmhessisch-Bonus +3PC für Sozialphahl= 115PC Stand 05.01.2025 -15PC Einsatz APR 2025 = 100PC +3PC 1. Rätzler über die Mitte +3PC Am nächsten an Schnapspunktzahl 222 +2PC 1500. Beitrag im Rätzelthread +3PC Selbsteinschätzung +3PC Bonus Bunte Gratulations-Lobhudelei +3PC Sondierungsphahl Salate = 117PC Stand 10.01.2026)


    –––––•~•–––––•~•–––––•~•–––––•~•–––––•~•–––––•~•–––––•~•–––––•~•–––––•~•–––––


    Meine Zeichnungen und Fotos sind außerhalb dieses Forums
    nicht ohne meine vorherige Genehmigung zu verwenden!


    Grünis/Kagis verrückte Pilzwerkstatt

    Pilze an ungewöhnlichen Orten finden!

    Einmal editiert, zuletzt von Grüni/Kagi ()

  • So, um das Thema mal wieder auf die Pilze zu bringen, poste ich hier noch Zühlis Post aus dem "Verwechslungs-Thread" Sarcoscypha sp.: Achtung, Verwechslungsgefahr! (den leider fast niemand anschaut...)


    Ein bisschne stolz bin ich schon.

  • Liabe Tuppie,


    da hast Du allen Grund, stolz au Dich zu sein. Mächtig, nicht nur ein bisschen, ==Gnolm7


    Den erst vierten S. austriaca für Deine Region gefunden zu haben soll erst der Anfang für Dich sein. Ich denke es wird Dir auch bald einmal ein Erstfund gelingen. Muss man halt dran/- und a bissale kritisch bleiben. Und die Konkurrenz ist, wie Harald schrieb, überschaubar.

    Für dass Vermessen mikroskopischer Details braucht es ein Okularmikrometer um schlappe € 13,59. Und natürlich ein Objektmikrometer, dass ich Dir schicken könnte.


    @ Servus Karl,


    auf Deiner Kollage sind' reinrassig, die Sporen von S. jurana.

    Die diskutierten wir fast zeitgleich mit Gernot, Sarcoscypha jurana - Funga Austria


    Auf Gernot's Aufnahme sind nicht nur Sporen mit zwei Öltropfen zu sehen, da sind's die Ausnahme. Da er alle Merkmale einbezieht gibt es an seiner Bestimmung abba nix zu deuteln.


    LG

    Peter


    "Die, die Kriege von oben führen sind feige Schreibtischtäter, die nicht wissen wie schrecklich Krieg ist".

    Quelle: "Masters Of War", Bob Dylan

  • Ach, liabs Habichterla!


    Es gibt noch so vieles, das ich für das Mikro anschaffen kann. :) :sun: Ich fange aber immer erst mal langsam an. Eine Staubschutzhülle habe ich selbst genäht, aus Wachstuch.


    So ein Okularmikrometer werde ich mir bestellen. Und nehme auch gerne Dein Angebot für das Objektmikrometer an. Den Umgang muss ich dann demnächst lernen.


    Am Wochenende ging mir wegen der sch... Migräne leider ein Zeichenokular für 44 Euro durch die Lappen, sehr ärgerlich. Die sind wohl sonst teurer.

    Aber auch in einem Jahr oder so wird sich so etwas noch finden, dann frage ich mal bei den netten Nachbarn im Mikro-Forum nach.


    Muss jetzt auch erst mal wieder etwas sparen :) bald gibts vielleicht Kurzarbeit, wer weiß, was kommt.

  • Hallo Peter,

    danke für den Link. Ich habe inzwischen mal meine Aufzeichnungen verschiedener Funde durchgesehen und bei S. austriaca ähnliche Sporen wie auf Deinem Bild dabei, aber durch die Haare ist S. austriaca ja ausreichend characterisiert.

    LG Karl