Hallo Ihr Lieben!
Heute war ich wieder in meinem Wald, um den Becherling vom letzten Wochenende wiederzufinden.
An der Stelle war allerdings kein Becherchen mehr zu finden. ![]()
Aaaaber: direkt an der Stelle, an der ich mein Fahrrad abstellte waren die ersten Drei, die mir entgegenlächelten.
Also habe ich ein paar Bilder geschossen. Leider konnte ich das Substrat nicht mehr identifizieren. Sie wuchsen auf Holz, aber ob es nun Weide oder Hasel war, konnte ich nicht erkennen.
"Ooooh, Becherchen!!!"
Den einzigen der drei wunderschönen knallroten Sarcoscypha, den ich hier sofort ausschließen würde wäre der Lindenholz-Prachtbecherling, S. jurana. Einfach schon aufgrund des Habitats (allerdings hatte ich einal das Vergnügen, eine wundervolle Stelle S. jurana gezeigt zu bekommen, danke PiWo!). Dann bleiben für mich nur noch S. coccinea, der Scharlachrote und S. austriaca, der Österreicher übrig.
Und jetzt wird es schwierig...
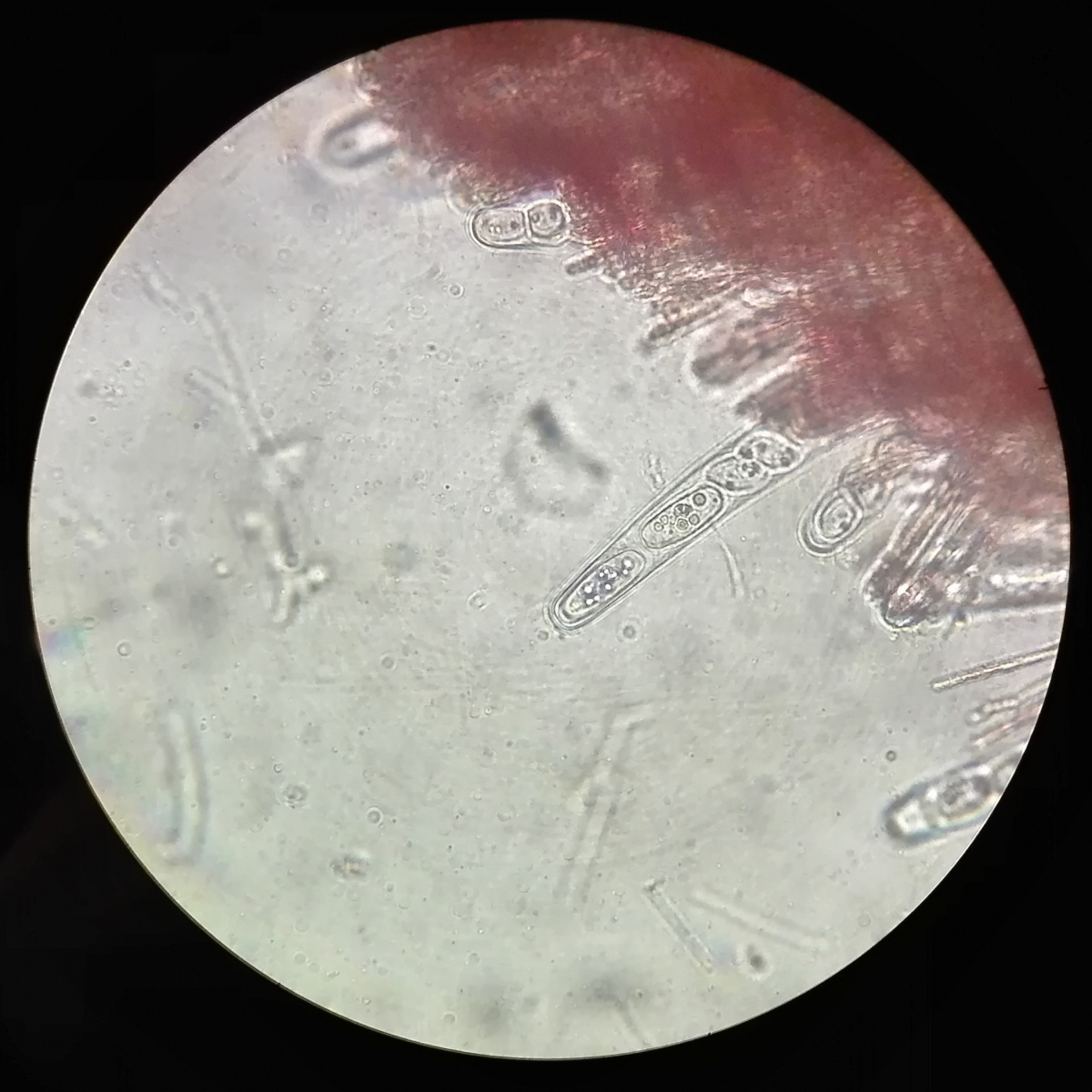
Da hilft wohl nur das scharfe Glas. Und jetzt kommt Ihr ins Spiel: hier sind meine ersten - meine ALLERERSTEN - Mikro-Bilder von diesem schönen Pilz. Leider kann ich bisher keine Sporengrößen messen. Aber die Haare auf der Außenseite der kleinen Schüsselchen sollen doch auch typisch sein, nicht?
Bei S. coccinea sollen sie glatter sein und bei S. austriaca krauser. Oder doch nicht?
Nun ja, hier die Bilder ![]()
Mit dem Mikro habe ich ja eigentlich andere Dinge vor, aber man kann ja auch mal ein bisschen an den Pilzen herummikroskopieren, nicht!?
Ich hoffe, ich habe Euch mit noch einem Bericht über rote Becher nicht gelangweilt. Schön, wenn der eine oder die andere mitgestromert ist. Vielleicht bekomme ich ja auch noch ein paar Bestimmungstipps. ![]()
Und mit einem echten Siebenpunkt und diesem freundlichen Sarcoscypha verabschiede ich mich für heute. Und ja, der sah wirklich so aus, ich habe nichts arrangiert. Als er mich so anlächelte, war der Tag doch gleich gerettet. ![]()
