Moin, ich schneide mir von „meiner“ Glucke immer ein Stück ab und lasse sie dann weiter wachsen. So hat man 2 bis drei Mal eine Mahlzeit. Übrigens hat sie immer bräunliche Ränder, wenn sie jung ist. Zuerst hielt ich das schon für Alterserscheinungen, sind aber definitiv keine. Inzwischen ist sie gleichmäßig dunkelocker gefärbt mit ein paar Gammelstellen. Definitiv nichts mehr für die Pfanne.
Beiträge von Wutzi
-
-
Hallo Andrea,
. Ich bin zwar keine Expertin, aber mir fällt spontan der Egerlingsschirmling ein. -
Climbingfreak hallo Stefan, werden diese Fragen noch überarbeitet?
Moin Peter, ich bin zwar nicht Stefan, aber da die Fragen erst vor kurzem überarbeitet wurden, kann man wohl nicht davon ausgehen.
-
Hallo Michael, das ist er. Ich finde, das ist ein richtig schöner Pilz. Der kann recht groß und imposant werden.
-
Hallo Axel, danke für den Hinweis. Ich hab ein bisschen gegoogelt, da sind Mikroaufnahmen dabei, bei denen die Vergrößerung falsch eingestellt ist. Trotzdem sollten sehr überdurchschnittlich lange Hyphen vorhanden sein . So richtig glücklich bin ich mit meinen Mikrobildern gerade nicht. Gut erkennbar sind nur die Sporen und Basidien. Ich muss mir wohl am Sonntag einen frischen Pilz holen.
-
Liebe Claudia!
Ja, ja, tolle Pilze, ja, ja, keine Entoloma
… (sorry) Aber hier ist nur einer der Star, und zwar der Salamander! Das Ist so ein supertolles Foto! 
Der ist uuunglaublich niedlich!Hallo Tuppie, danke fürs Mitkommen. Ja, der Salamander ist klasse. Der kommt aufs Bild!
Alles anzeigenHallo Claudia,
deine Funde sind eine seelige Grausamkeit für jemanden, der nicht mehr aus dem Haus kommt
aber mach ruhig so weiter. Da sehe ich wenigstens was mir alles durch die Lappen geht
.24 Ein Wiesenellerling s.o.
Da muß ich widersprechen. Das Schwärzen des Saftlings ist eigentlich gut zu erkennen.
Ich gratuliere Dir zu deinen schönen Funden
.VG Jörg
Oh, deinen Seelenfrieden wollte ich dir nicht nehmen Jörg. Sieh‘s mal so: auf diese Weise kannst du wenigstens virtuell paar Pilze gucken.
Ich seh beim Ellerling kein schwarz. Hmm. Was machen wir da nur
-
Hallo zusammen,
gestern habe ich drei "meiner" Saftlingswiesen einer Inspektion unterzogen. Schließlich werde ich in der kommenden Woche einen Wiesenpilzkurs in der Nähe besuchen und da will frau schließlich wissen, was sie erwartet.
Die gute Nachricht: Der Nachtfrost letztes Wochenende hat nicht geschadet.
Die weniger gute: die Pilze auf der beweideten Fläche sind ziemlich hinüber, ohne dass sich neue zeigen. Eine Nachricht wird auch besonders die Tuppie betrüben. Es gibt keine Enolomas mehr
. Da hat der Kursleiter Felix Hampe nächste Woche ja mal richtig Glück
.Mein Spaziergang im Nieselregen wurde vom wohl anmutigsten Feuersalamander der Nordhalbkugel eingeleitet.
1
2 Und noch eine interessante Nachricht am Rande. Die Nebelkappen waren ja eigentlich schon im September durch. Sie haben gerade ihre Renaissance. Ob daran generell etwas zum Pilzwachstum abzuleiten ist, weiß ich allerdings nicht.
3 Das ist der Rand der ersten beweideten Saftlingswiese und dem, was vom Wald noch übrig ist.
4 Am Rand bei Fichten ein besonders dicker Düsterer Röhrling, den ich für zeigenswert halte.
5
6 Völlig ausgeblasst ein ehemals Granatroter Saftling - Hygrocybe punicea
7 Reste von Zähen Saftlingen - Hygrocybe laeta neben tierischen Hinterlassenschaften. Und das war es schon auf der Weide. Dort waren letztes Jahr deutlich mehr Pilze, auch seltene Arten zu finden. Allerdings waren die Kühe auch nur weinige Wochen dort, da infolge der Dürre kein Gras wuchs.
8 Jetzt kommt ein kleines Wiesendreieck nur wenige Quadratmeter klein mit unglaublich vielen Pilzen. Ich muss mich sehr vorsehen, keine zu zertreten, wenn ich Fotos mache. Es ist nur das kleine frischgrüne Dreieck vorn. Diese Wiese wird einmal im Jahr gemäht. Der PSH (Hund)
hat hier Wiesenverbot.
9 Helmling - Mycena flavoalba
10 viele, viele bunte Pilze - jung und alt
11 Der ist unbestimmt geblieben. Eventuell könnte er zu H. subpapillata gehöre. Dazu habe ich gerade hier eine Bestimmungsanfrage gestellt.
12 ebenso
13 Granatrote Saftlinge - Hygrocybe punicea
14 Deutlich kleiner und andereFarbtöne: Kirschrote Saftlinge - Hygrocybe coccinea
15 Vermutlich Hygrocybe subpapillata - Breitblättriger Saftling (s.o.)
16 Aus der Gruppe Hygrocybe conica - Schwärzender Saftling
17 Kirschrote Saftlinge neben alten Wiesenellerlingen - Cupophyllum pratense
18 Frische Wiesenellerlinge - Cupophyllum pratense
Die Jungfernellerlinge und Rötenden Saftlinge waren nicht mehr vorzeigbar aber vorhanden. Ich erspare euch den Anblick. Ebenso mit Rücksicht auf Tuppie, die Mehlrötlingsmumie.
19 Intermezzo auf dem Weg zu Wiese 3. Vor einem Wohnhaus wachsen ebenfalls. regelmäßig Rötlinge, Saftlinge und Erdzungen. Aber gestern ließen sich nur die Schwarzen Erdzungen -Geoglossum umbratile blicken.
20 Auf Wiese 3 mitten im Ort waren dann eigentlich auch fast alle Pilze weg. Dabei gab es auf ca. 500 Quadratmetern noch vor kurzem mindestens 8 Arten Entoloma, viele Saftlingsarten, unter anderem so schicke wie Hygrocybe aurantiosplendens und anderes Kleinpilzzeug. Hier ist ein Sommerbild von dem Standort:
21 Aber es gab ganz frisch eine schöne Kollektion namenloser Trichterlinge. Ich glaube, Raphael ist ein Fan dieser Gattung. Also Clavaria, was hältst du von diesen allerliebsten Pilzen mit den deutlich wahrnehmbaren Merkmalen Lamellen - Hut - Stiel und weiß ( Ansonsten: geruchlos, geschmacklos, ratlos)
?22 Falls das eine Wiesenkoralle werden sollte, ist das die erste, die ich in diesem Jahr gefunden habe. Mit Keulen und Korallen ist nicht viel los. Karl W hatte ja versprochen, dass es nächste Woche welche geben wird. Schaun wir mal.
23 überstrahlte Jungfernellerlinge - Cupophyllus virgineus
24 Ein Wiesenellerling s.o.
25 Und guck an: Frischpilze! Viele Saftlingsbabys sind am Start. Das sieht gut aus.
Danke für's Mitkommen!
-
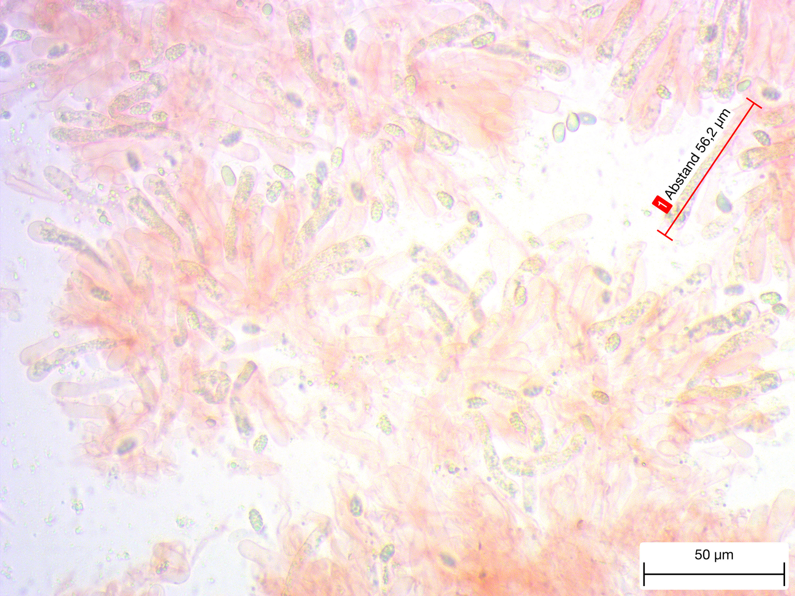
Hallo zusammen,
ein neuer Saftling auf meinen Wiesen sucht einen Namen. Ich haben ihn geschlüsselt und lande makroskopisch bei Ludwig und Boertmann bei Hygrocybe subpapillata. Bei Ludwig fand ich dann noch den Hinweis, dass H. papillata der einzige mit einer so deutlichen Papille ist. Mögliche Verwechslungspartner kommen entweder im Hochgebirge bzw. hoch im Norden vor, oder sind deutlich schleimig, oder aber völlig gelb, passen also alle nicht. Die Freude, dass sich der Pilz so einfach benennen lässt, währte trotzdem nur kurz.
Die Länge der Basidien passt nicht so recht. Meist sind 4 aber manchmal sind auch weniger als 4 Sterigmien vorhanden. Die Länge der Basidien beträgt allerdings schon ohne Sterigmien über 50 µ, sollte aber nur 30 - 40, auf jeden Fall weniger als 50 µ betragen. Ansonsten passen Sporenform, etc. gut. Eine Spore mit Öltropfen, ist deutlich länger ist als die angegebenen 10µ maximal. Vielleicht ist das eine Fremdspore? Die anderen Sporen liegen im Rahmen.
Wie ist eure Meinung zu diesem Pilz.
2- max. 3 cm Hutdurchmesser
zarter und brüchiger als beispielsweise H. coccinea
deutlich abgesetzte Papille in der Hutmitte
geruch und geschmacklos
Huthaut wachsartig bis leicht klebrig, aber nicht schleimig.
Junge FRk rot, später orange nach gelb
radialstreifig vom Hutrand her
Stiel trocken, glatt
Lamellen hell später über gelb nach orange, breit, mit Zahn angewachsen
saure Magerwiese
400 m. ü. NN
Danke fürs Nachdenken!
-
Hmm. Keine Ahnung. C. Varius kannst du relativ leicht erkennen. Wenn du ein Stück Hut vom Stiel abbrichst, bleibt da, wo die Lamellen angewachsen waren eine violette Linie stehen. Ich kenne ihn auch nicht mit so violettem Fleisch.
-
Hallo Wrestlers, ein Phlegmacium ist es schon, aber nicht C. varius. So weit ich das verstanden habe, kann man da vom Geruch her so einiges bestimmen. Habt ihr geschnuppert?
-
Moin, Anfängern rate ich, sich zunächst auf Kostproben von Täublingen zu beschränken. Wenn man da sicher ist gehts zur nächsten Gattung, bei der der Geschmack bestimmungsrelevant sein kann. Eine Hinweis für Anfänger: wenn Täublinge leuchtende Bonbonfarben, vorzugsweise in Rottönen haben, testet nur ein ganz kleines Stück. Warum, merkt man dann sehr schnell.
-
Alles anzeigen
Hallo Matthias, der Troll. hatte mich so abgelenkt, dass mir dein Hinweis entgangen ist. Die "Zwiebel" ist auch ein Rötender Erdstern hat der Finder dieser Besonderheit gesagt. Eine zweite Zwiebel liegt aufgeschnitten daneben. Die sieht man leider nicht so gut.
Hallo Claudia,
da mus der Finder sich vertan haben und hat eine Mischkollektion gesammelt.
Heinrich Dörfelt beschreibt in seinem Erdsternbuch junge Rötende Erdsterne wie folgt:
Geschlossene Fruchthörper rund, mitunter apical etwas horizontal abgeflacht, auch unregelmässiger kartoffelförmig und horizontal abgeflacht
Viele Grüsse
Matthias
Danke für den Hinweis Matthias, ich geb das mal weiter.
-
Hallo Wutzi,
in der Schale mit dem Rötendem Erdstern scheinen mit auch Halskrausenerdsterne zu liegen, die sehen jung Blumenzwiebelartig aus,
viele Grüsse
Matthias
Hallo Matthias, der Troll. hatte mich so abgelenkt, dass mir dein Hinweis entgangen ist. Die "Zwiebel" ist auch ein Rötender Erdstern hat der Finder dieser Besonderheit gesagt. Eine zweite Zwiebel liegt aufgeschnitten daneben. Die sieht man leider nicht so gut.
-
Finde ich nicht, da sich die Huthaut junger Goldröhrlinge im Gegensatz zu Kuhmaul oder Butterpilz kein bisschen abziehen lässt. Die Huthaut lässt sich erst dann abziehen, wenn die Goldröhrlinge wegen Überalterung oder Durchwässerung schon nicht mehr zum Essen taugen. Bei jungen Goldröhrlingen hilft in der Tat nur Heißwasser und Spülbürste.
FG
Oehrling
Hallo Stephan,
Genau so kenne ich das auch und finde in dem Zusammenhang die häufig gegebene Empfehlung zum Abziehen der Huthaut putzig, um die Pilze verträglicher zu machen.
-
-
-
Moin zusammen, Schlesier -also dass bei Trichterlingen das Sequenzieren zum Erfolg führt, kann ich mir auch nicht so richtig vorstellen. Da müssten ja erst mal ein paar belastbare Vergleichssequenzen vorhanden sein. Dazu müsste es Trichterlingsliebhaber geben. Die haben sich hier die letzten Jahre noch nicht geoutet. Aber wer weiß, es gibt so viele Rätselhaftes im Universum. Vielleicht gibts die doch.
Ich finde übrigens Rätseln life mit Schupfnudel ein ganz hervorragendes Format. Schupfi, such mal schon fleißig für nächste Woche.

Aber ein paar Trichterlinge für die Schupfi-Show kann ich bei Bedarf gern beisteuern. Clavaria ist ja ein guter Joker, wenn keiner eine Idee hat.
-
Das ist dann erkennbar ein weiterer Wulstling. Vermutlich ein kleiner Fliegenpilz. Wenn du ihn durchschneidest, erkennt du eine gelbrote Linie unter dem Hut.
-
Dann wird's ja heute wieder eine größere Runde

-
Dann denke ich, dass Andreas richtig liegt. Da war dann irgendwo Holz vergraben.
-
Hallo Klemens,
der Röhrling ist ein Pfefferröhrling. Beim weißen Gnubbel tippe ich zu 80%. auf einen arg mitgenommenen Bovist bzw. Stäubing. Selbst die Gattung ist für mich nicht sicher erkennbar, angesichts der Schäden, die dieser Pilz aufweist. Eine Artbestimmung dürfte da nicht mehr möglich sein.
edit: Vielleicht liegt Andreas mit dem Saftwirrling. näher dran. Kannst du die Konsistenz des Pilzes beschreiben- eher wie Gummi oder eher weicher?
-
Hm, ich hatte schon das Gefühl, dass es mit der Kochzeit bzw. der Dauer, die man sie ziehen lässt, zusammenhängt.
Moin Cratie, jetzt hab ich zwei mal je die Hälfte des Sudes getrunken und die andere Hälfte mit den Pilzen einen halben Tag stehen lassen. Da ist nichts bitterer geworden. Vielleicht wird der Tee nur bitterer vom längeren stehen, wenn die Fruchtkörper sowieso schon bitter sind.

-
Bei mir gehts nur bis 3.
und demnächst Pilz wäre m.E, der Wiesenellerling. Wenn der vorletzte weiß ist, wäre ich beim Jungfernellerling oder wenn er (nach Juchtenleder) duftet beim Juchtenellerling -
Stimmt, Stropharia. In diesem Jahr sind sie wirklich oft zu finden. Glückwunsch zum Erstfund.
-
Na dann sei mal nicht so geizig und gönn den Fotos nach der 3 noch ein paar Nummern. Da seh ich den Wiesenellerling und einen Jungfernellerling dabei und an H. coccinea hätte ich leise Zweifel.
Aber wchaun wir mal was Karl sagt. Ich hab nicht wirklich Ahnung, mag sie nur.
