Hallo zusammen,
da eine Reihe von Pilzfreunden am letzten Wochenende einen Pilzkurs am Heiligen Meer besucht hat, haben wir uns am Sonntag in Lengerich zum Besuch einiger Magerrasen auf Kalk verabredet. Das hat sich auf jeden Fall gelohnt, da wir einige tolle Funde machen konnten.
1. Scutellinia barlae wuchs stellenweise massenhaft auf dem kalkhaltigen Lehmböden
2. Hygrocybe mucronella mit Sporen von 7.5+-0.5 µm x 4.6+-0.3 µm, Q=1.6+-0.1, 6.6-8.6 µm x 4.3-5.2 µm, Q=1.4-1.9
3. Auch immer wieder in großen Gruppen zu finden: Geoglossum cookeanum
4. Phyllactinia orbicularis ex Fagus sylvatica
5. Sistotrema confluens
6. Das Highlight des Tages und ein Erstnachweis für NRW: Eine violette Ramariopsis
7. Tulostoma brumale
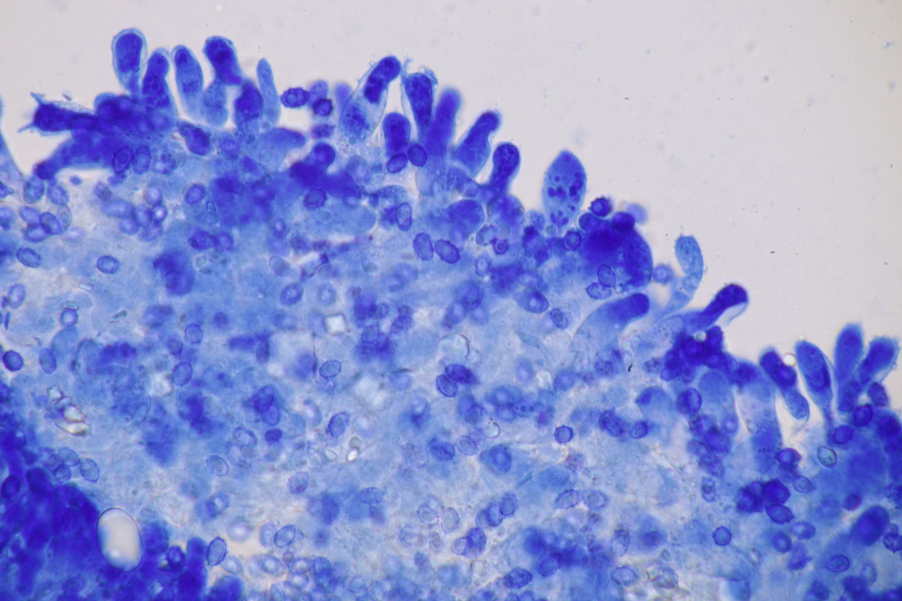
8. Lindtneria bryophila
9. Hypocopra merdaria
10. Tomentella bryophila
