Lengericher Osning 10.11.2024

Es gibt 14 Antworten in diesem Thema, welches 2.258 mal aufgerufen wurde. Der letzte Beitrag () ist von JanMen.

  • Hallo zusammen,


    da eine Reihe von Pilzfreunden am letzten Wochenende einen Pilzkurs am Heiligen Meer besucht hat, haben wir uns am Sonntag in Lengerich zum Besuch einiger Magerrasen auf Kalk verabredet. Das hat sich auf jeden Fall gelohnt, da wir einige tolle Funde machen konnten.


    1. Scutellinia barlae wuchs stellenweise massenhaft auf dem kalkhaltigen Lehmböden


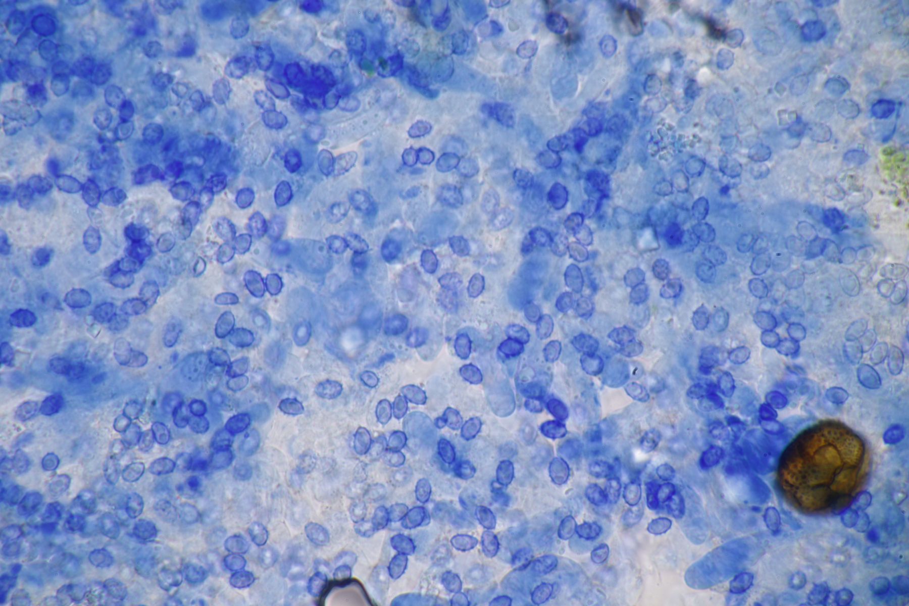
    2. Hygrocybe mucronella mit Sporen von 7.5+-0.5 µm x 4.6+-0.3 µm, Q=1.6+-0.1, 6.6-8.6 µm x 4.3-5.2 µm, Q=1.4-1.9


    3. Auch immer wieder in großen Gruppen zu finden: Geoglossum cookeanum


    4. Phyllactinia orbicularis ex Fagus sylvatica


    5. Sistotrema confluens


    6. Das Highlight des Tages und ein Erstnachweis für NRW: Eine violette Ramariopsis


    7. Tulostoma brumale


    8. Lindtneria bryophila


    9. Hypocopra merdaria


    10. Tomentella bryophila

  • Hallo Björn,


    so viele tolle Sachen hast du wieder gefunden!


    Zu dem Kreiselförmigen Schütterzahn habe ich eine Frage: Den habe ich erst einmal gefunden und erst im Nachhinein irgendwo gelesen, dass der gerne bei Espen vorkommen soll - was bei meinen der Fall war. War das bei deinem Fund auch so? Roch er für dich nach Vanille?


    Beste Grüße

    Sabine

    100 Startguthaben minus APR-Gebühr 2024 = 90 + 3 (drittschnellstes Jokerverballern 2024) = 93 + 10 (dritter Platz APR 2024) = 103 minus 15 für APR 2025 = 88 + 2 (Nannettes Zwischenrätsel als 11. gelöst) = 90 + 6 (6. Platz Platzierungswette APR 2025) = 96

  • Hallo Sabine,


    ganz sicher kann ich es nicht sagen, aber ich meine schon, daß beim Schütterzahn auch Espen wuchsen. Den Geruch würde ich aber definitiv nicht als Vanille bezeichnen, sondern eher sehr unangenehm nach Desinfektionsmittel (Betaisodona).


    Björn

  • Gratulation zum Erstnachweis Björn-> violette Ramariopsis

    BG Andy

  • Hallo Björn,

    besonders Deine Mikros (natürlich nicht nur ) begeistern mich immer wieder !!!
    Ob die violette Ramariopsis ein Erstfund für NRW ist, muss die Sequenzierung zeigen. R. pulchella wurde von L. Krieglsteiner im Nationalpark Eifel gefunden, was natürlich nichts an einem tollen Fund ändert. Die Funde von Ingo Blaue Winzlinge: Ramariopsis pulchella fehlen noch auf PD.
    Hast Du die H. mucronella mit den neu beschriebenen Arten verglichen? Hygrocybe mucronella and two new speciesVol14Art18.pdf Vielleicht hast Du ja einen Erstnachweis für Deutschland. ==Gnolm7

    LG Karl

  • Hallo Karl,


    also wenn ich mir Ingos Bilder anschaue, die ja sehr dem, was bei Franchi und Marchetti abgebildet ist, entsprechen, kann ich mir nicht vorstellen, daß das was Tanja in Lengerich und an anderen Stellen aus den Kalkmagerrasen zieht. Aber warten wir mal die Sequenzierung ab.


    Was H. mucronella angeht, scheint H. mucronella s. str. am besten zu passen. Ich hatte meinen Fund aber auch bei inaturalist eingestellt und Filip Fuljer aus Bratislava hat Interesse bekundet, den Fund zu sequenzieren.


    Björn

  • Vielen Dank, Björn, für deine Zusatzinfo:

    ganz sicher kann ich es nicht sagen, aber ich meine schon, daß beim Schütterzahn auch Espen wuchsen. Den Geruch würde ich aber definitiv nicht als Vanille bezeichnen, sondern eher sehr unangenehm nach Desinfektionsmittel (Betaisodona).

    Für mich schließt sich "Vanille" und "sehr unangenehm" nicht aus 😂 - mein Exemplar roch für mich definitiv unangehnem.


    Aber wie Betaisodona riecht, weiß ich leider nicht. Ich vermute jedenfalls, dass du das flüssige Mittel meinst, und das hatte ich noch nie, sondern nur die Salbe, die vermutlich anders riecht.


    Beste Grüße

    Sabine

    100 Startguthaben minus APR-Gebühr 2024 = 90 + 3 (drittschnellstes Jokerverballern 2024) = 93 + 10 (dritter Platz APR 2024) = 103 minus 15 für APR 2025 = 88 + 2 (Nannettes Zwischenrätsel als 11. gelöst) = 90 + 6 (6. Platz Platzierungswette APR 2025) = 96

  • Ob die violette Ramariopsis ein Erstfund für NRW ist, muss die Sequenzierung zeigen. R. pulchella wurde von L. Krieglsteiner im Nationalpark Eifel gefunden, was natürlich nichts an einem tollen Fund ändert.

    Hallo Karl, hallo Björn,


    ich würde bei der lila Koralle eher an Ramariopsis bizzozeriana denken, dazu gibt es in der Genbank aber derzeit noch keine Vergleichssequenz.

    Siehe

    zobodat.at/pdf/Z-Pilzkunde_38_1972_0023-0031.pdf


    Nicht nur bei mir hatte Pablo Alvarado übrigens Probleme bei der ITS von Ramariopsis, was wohl an seinem Standardprotokoll zur Bearbeitung der Proben liegt. Andere Labore hatten mit den gleichen Proben kein Problem, auch ging bei alvalab die LSU.


    Vermutlich wird AlexanderK großes Interesse an der Probe haben.


    Grüße,


    Wolfgang

  • Hallo zusammen,


    hier mal ein Foto der Ramariopsis pulchella (bizzozeriana ?), die ich Anfang Oktober bei der Mahd eines Bielefelder Kalkmagerrasens finden konnte.



    Es besteht zwar eine gewisse Ähnlichkeit mit der bei https://www.pilze-schleswig-ho…Oehe%20-%20Endfassung.pdf abgebildeten R. bizzozeriana bzw. ein deutlicher Unterschied zu meinem Fund aus dem Vorjahr (siehe Blaue Winzlinge: Ramariopsis pulchella ), dies könnte aber auch schon an den jeweiligen Fundumständen liegen (Wachstum im tiefen Gras versus Wachstum in kurz gehaltener Rasenfläche).


    Ein Exsikkat schicke ich bei Interesse gern an Alexander Karich. Meinen Fund aus dem Vorjahr (aus dem mageren "Blumenrasen" meines Gartens) hat er schon.


    Alle Hygrocybe mucronella, die ich in diesem Jahr (nach dem Erscheinen der Arbeit von F. Fuljer et al., siehe https://www.pilzforum.eu/attac…ew-speciesvol14art18-pdf/ ) bisher untersucht habe, erwiesen sich als Hygrocybe mucronella s. str., auch die, bei denen ich aufgrund der makroskopischen Merkmale dazu geneigt war, sie für Hygrocybe amara zu halten.


    LG Ingo

  • Hallo,


    mir ging es mit meinen wenigen H. mucronella Funden genau so wie Ingo es beschreibt.


    Die Ramariopsis aus der pulchella/crocea-Gruppe scheinen ein gutes Jahr zu haben. R. crocea war eine der häufigsten dieses Jahr und eine R. cf. bizzozeriana konnten wir auch finden. Ich habe bereits eine brauchbare Sequenz von Ingos R. pulchella erhalten und werde voraussichtlich demnächst auch die meiner R. cf. bizzozeriana haben. Dann weiß hoffentlich ich ob es sich lohnt weitere Belege aus dieser Gruppe zu sequenzieren.

    Ich bin auch dazu geneigt, dass es sich evtl. um ein und dieselbe Art handeln könnte, und die hellen einfach nur weniger Pigment ausbildeten weil sie tiefer im Gras wuchsen, so wie bereits Ingo das vermutete. Aber die Variabilität in Ramariopsis ist so vielfältig, dass es mich auch wundern würde, wenn gerade in dieser Gruppe nur zwei "klare" Arten vorhanden sind. Also hebt bitte gern eure Belege auf und ich melde mich in ein paar Wochen.


    LG und danke fürs an mich Denken!

    Alexander


    PS Tanja bzw. Eno werden mir voraussichtlich auch einen Beleg von R. pulchella und R. bizzozeriana zukommen lassen. Beide wuchsen eng beieinander.

  • Hi Björn,


    tolle Dokumentation von sehr interessanten Arten.

    Ab und zu besuche ich auch die Gegend rund um Lengerich, um auf verschiedenen Wiesen zu gucken.

    Die Scutullinia kommt mir auch sehr bekannt vor und findet sich auch auf den Kalkgebieten im grenznahen Niedersachsen.

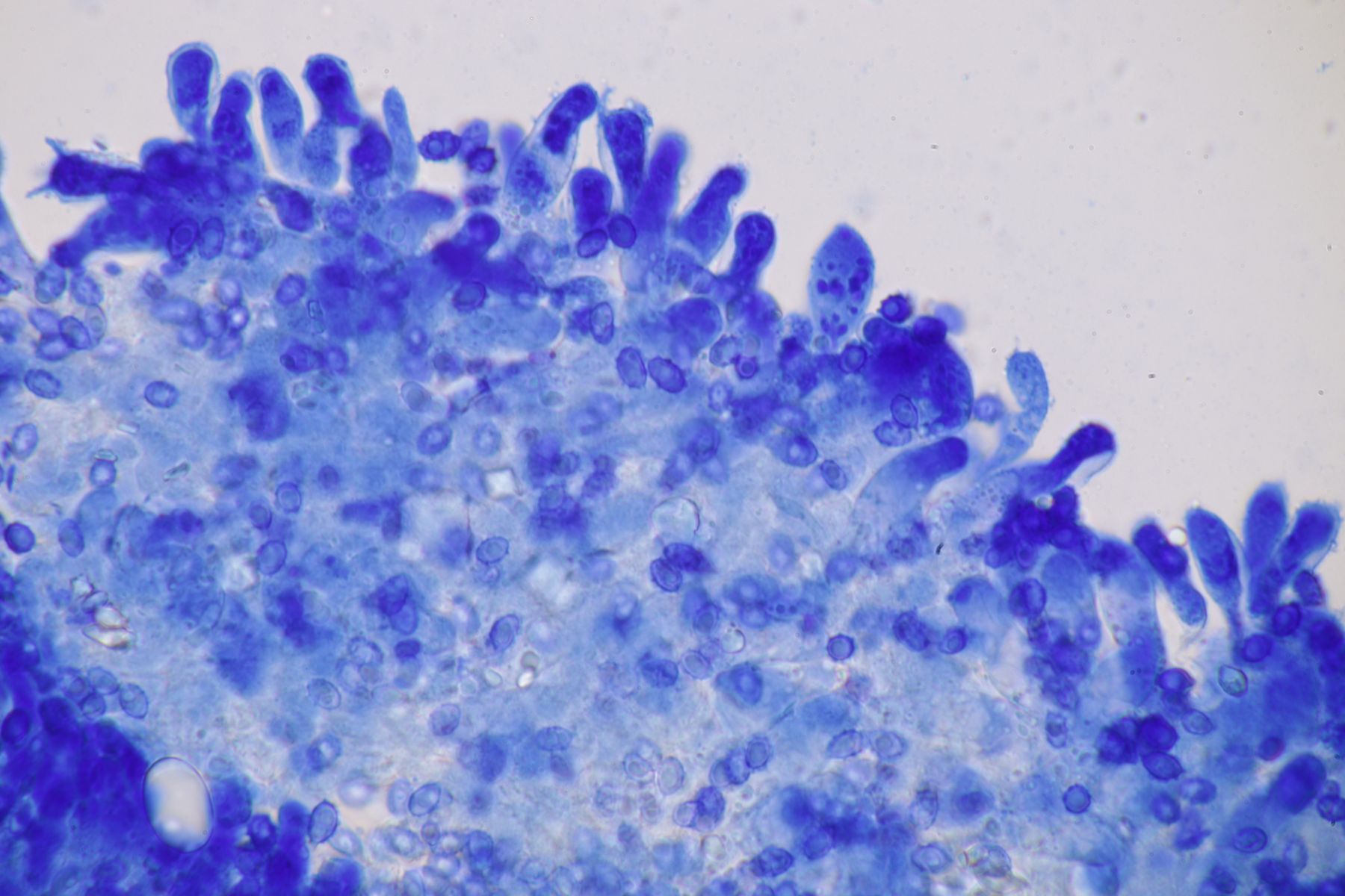
    Ich habe damals schon große Schwierigkeiten gehabt der Art einen Namen zu geben, da ich mich nicht zwischen S. minor und S. barlae entscheiden konnte.

    Ich hatte mich dann , dank dieses Forums für S. minor entschieden (Scutellinia minor?)

    Neben vielen globosen Sporen, fanden sich immer wieder einige subglose.

    Egal, welche Art es nun ist, auf jeden Fall ein hübscher und toller Fund :)


    Beste Grüße

    Martin

  • Hallo Martin,


    ich war auch mit Björn in Lengerich und nachdem unsere Pilzfreundin Tanja den Fund bei ihrem ersten Besuch bereits als S. barlae festgemacht hatte, haben Björn und ich das nach unseren Untersuchungen bestätigt. S. minor und S. barlae sind definitiv schwierig zu trennen. Ich bin diesem Schlüssel hier gefolgt (https://ascomycete.org/Portals…Org%2011-06%20297-308.pdf) und habe die rein globosen Sporen (bei meiner Kollektion), die konstant kurzen Haare und die recht einheitlich großen Warzen als Bestimmungsmerkmale zur Abgrenzung genutzt.


    Beste Grüße
    Jan-Arne


    Im Forum gibt es keine Verzehrfreigaben, nur Hilfestellungen zu eigenständigen Vergleichen!


    Meine Homepage mit Kurzportraits von Pilzen und Tieren: fungaundfauna