Hallo,
Auch wenn die Hauptsaison sich bereits dem Ende neigt, konnte ich die vergangenen Tage ein paar schöne Funde machen. Immerhin muss man sagen, nach dem bei uns extrem schlechten Oktober hatte ich fast die Hoffnung aufgegeben. Um so mehr freut es mich gleich drei persönliche Erstfunde verbuchen zu können.
#1 Gurkenschnitzling Macrocystidia cucumis - Ein Kandidat der Gruppe: Noch nie gefunden, aber gleich erkannt. Für den Gurkengeruch braucht man viel Fantasie finde ich. Wenn dann eher Essiggurkenwasser mit einer fischigen-tranige Komponente. Und der Duft geht nur schwer von den Fingern ab.![]()
#2 Kaffeebrauner Gabeltrichterling Pseudoclitocybe cyanthiformis - Auf einem Komposthaufen im Wald in großer Anzahl.
#3 Leberbrauner Milchling Lactarius hepaticus - Hiervon steht mein Hauswald zurzeit voll, wenn auch nicht so viel wie die letzten Jahre.
#4 Gift-Häubling Galerina marginata s.l. - Auch zur Zeit zahlreich vertreten.
#5 Starkriechender Körnchenschirmling Cystoderma carcharias - Gleich neben den Häublingen. Können erstaunlicherweise ziemlich kräftig werden.
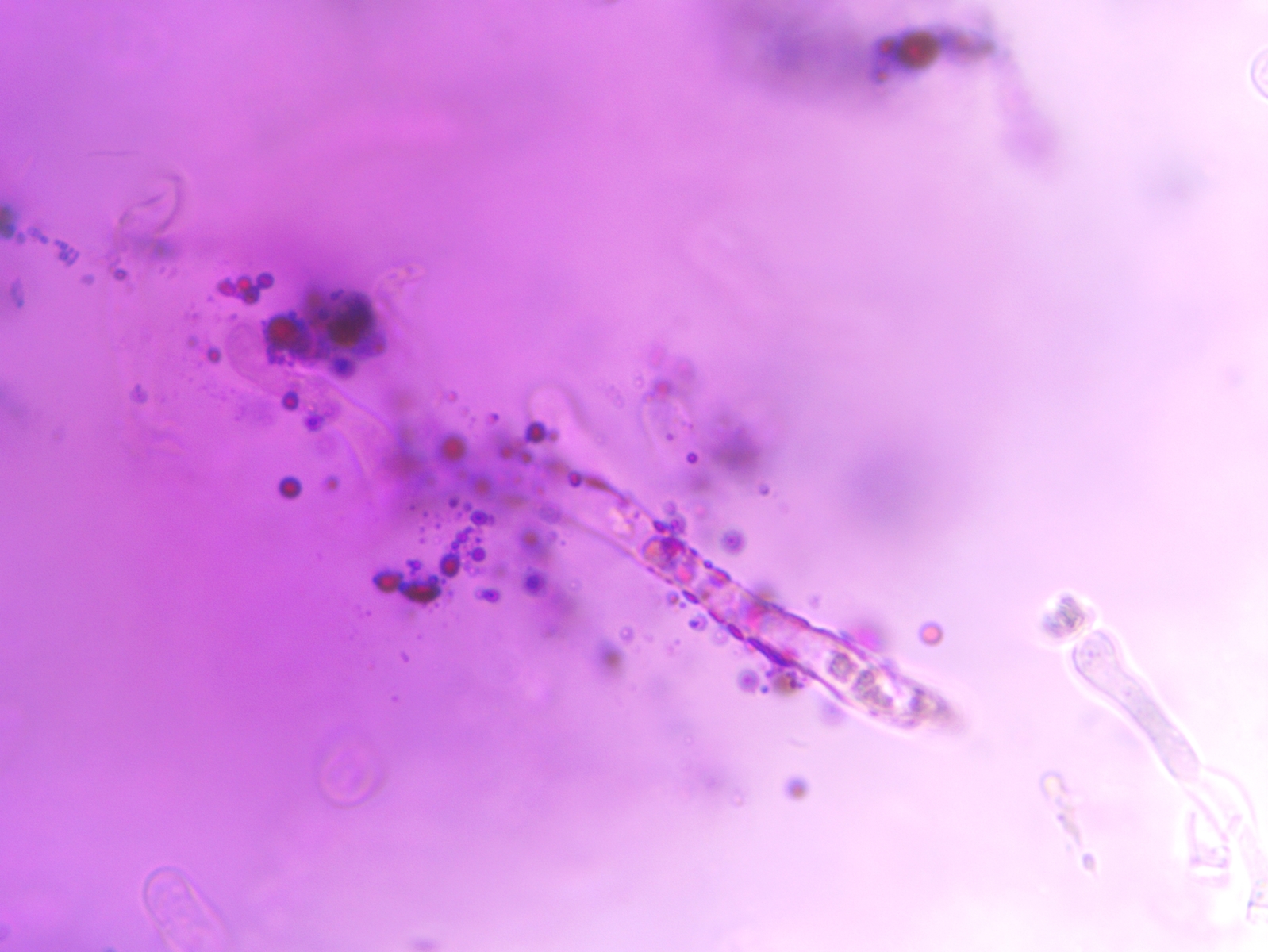
#6 Grünverfärbender Täubling Russula olivascens - Milder, kleiner Täublinge im Nadelwald mit sehr dunklem Sporenpulver (dotter-orange IVe) und grünem Hut.
Zur Bestimmung wichtig sind die schmalen, inkrustierten Primordialhyphen und keulig, kopfigen Haarendglieder.
#7 Lilastiel-Rötelritterling Lepista personata - Noch ein toller Erstfund, der Roten Liste. Auf einer Rasenfläche in einem Vorgarten in Form eines halben Hexenrings. Leider hatten die Fruchtkörper bereits Frost abbekommen, sonst hätte ich einen einzelnen mal probiert. Erschreckend schnell verliert der Pilz die lila Farbe am Stiel, welcher dann nur noch graubraun daherkommt.
Ich hoffe die kleine Vorstellung hat euch gefallen.
LG Thiemo
