Hallo zusammen
Ich habe am Freitag drei schöne Gruppen von Leptonien gefunden. Nun bilde ich mir ein, ich hätte sie bestimmt, aber gut möglich dass ich daneben liege.
Vielleicht kann ja hier jemand etwas dazu sagen.
Habitat war ein montaner Mischwald (Fichten, Kiefern, einzelne Lärchen, Birken, Erlen)
1) Entoloma exile
Die wuchsen im Waldrand im hohen Gras
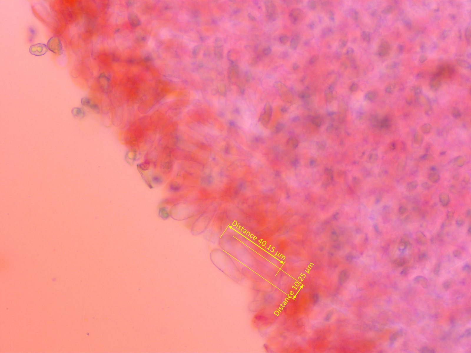
Sporen bis ca. 11.5 µm lang
Cheilozystiden keulig, LS heterogen
HDS: Intrazellulär pigmentiert, am Rand eine Kutis, zur Mitte eher ein Trichoderm.
Die HDS-Endzellen sind breiter als z.B. Noordeloos es angibt.
Weitere Angaben:
- Keine Schnallen gefunden (nirgends)
- Geruch unauffällig, schwach
- Basidien 4-sporig
[trennlinie][/trennlinie]
2) Entoloma cf. asprellum
Hier störe ich mich etwas an der Stielfarbe, da ist zu wenig blau drin. Allerdings scheint das alleine kein sicheres Merkmal zu sein.
Der Rest passt ganz gut, geschlüsselt nach Gröger (mit FE5 klappte es irgendwie nicht).
Allenfalls könnte es auch E. longistriatum sein, dafür scheint mir der Hut aber zu schwach und zu kurz gerieft zu sein.
Sporen bis 10.5 µm lang
Lamellenschneide ohne Cheilozystiden (habe mehrere Präparate gemacht)
HDS in der Mitte trichodermal mit intrazellulärem Pigment, zum Rand hin eine Kutis
Weitere Angaben:
- geruchlos
- keine Schnallen
- Basidien 4-sporig
[trennlinie][/trennlinie]
Dann der schwierigste Fall. Da meint man so ein markanter Rötling sei einfach zu bestimmen...
Entoloma cf. fulvoviolaceum
Eigentlich glaube ich selber nicht daran, weil diese Art so selten ist. Aber ich lande sowohl bei Gröger als auch in der FE5 bei dieser Art.
Vermutlich bin ich da irgendwo falsch abgebogen...
Sporen bis 12.5 µm lang
HDS fast trichodermal, zum Rand hin weniger abstehend, aber nirgends eine Kutis
Intrazellulär pigmentiert
Lamellenschneide heterogen, Cheilozystiden schwer zu finden aber stellenweise vorhanden.
Weitere Angaben:
- Keine Schnallen
- Basidien 4-sporig
- Geruch im Schnitt mehlig
Noordeloos beschreibt die Art mit orangebraunem Hut, gemäss dem folgenden Paper ist die Farbe aber sehr viel variabler:
(PDF) Entoloma fulvoviolaceum Noordel. & Vauras - not previously reported from Norway
Dort sind auch Kollektionen abgebildet, die meinem Funde farblich sehr nahe kommen.
Gruss Raphael
