Liebe Pilzfreunde,
momentan treffe ich ständig auf Risspilze, weshalb ich gerne zu einem dritten Exemplar eure Meinung hören würde.
Mit seinen kleinen Sporen dachte ich, dass er recht einfach zu bestimmen sein müsste, aber weit gefehlt. Einiges passt dann immer irgendwie nicht. Ich weiß jetzt nicht, ob die Infos und Fotos für eine Bestimmung ausreichen, aber ich versuche es mal.![]()
Gefunden habe ich ihn vorgestern am Straßenrand in einer Gras- und Moosschicht bei Eiche im Brachter Wald. Eiche dürfte auch der einzige mögliche Baumpartner sein.
Die Breite war um die 2-3 cm und die Größe um die 4 cm.
Geruchlich konnte ich nicht viel feststellen, meine aber, am Stiel etwas Fruchtiges festgestellt zu haben.
Der Stiel war zumindest bis ins untere Drittel bereift, vom unteren Drittel stammt die Aufnahme der Kaulozystiden.
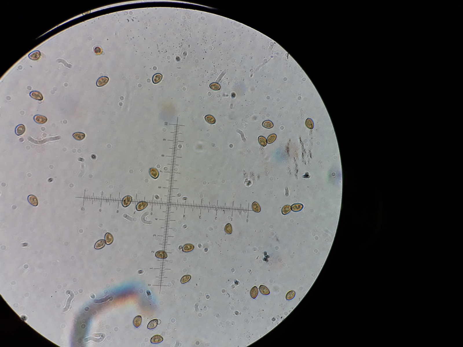
Die Sporenmaße gingen von 6,2-7,5X4,1-4,7.
Die Cheilozystiden waren recht schütter verteilt und immer mal wieder mit kleinen Parazystiden untermischt.
Mein Favorit wäre momentan Inocybe albomarginata, der allerdings spermatisch riechen soll.
Ein zweiter für mich möglicher Kandidat wäre Inocybe pelargonium, wobei mir da die Sporen zu klein vorkommen.
Schon einmal vielen Dank und liebe Grüße
Matthias
Lamellenschneide (400)
Lamellenschneide (1000)
Pleurozystiden (1000)
Kaulozystiden (400)
Kaulozystiden (400)
