Inocybe mit kleinen Sporen

Es gibt 18 Antworten in diesem Thema, welches 6.498 mal aufgerufen wurde. Der letzte Beitrag () ist von Ditte.

  • Liebe Pilzfreunde,

    momentan treffe ich ständig auf Risspilze, weshalb ich gerne zu einem dritten Exemplar eure Meinung hören würde.

    Mit seinen kleinen Sporen dachte ich, dass er recht einfach zu bestimmen sein müsste, aber weit gefehlt. Einiges passt dann immer irgendwie nicht. Ich weiß jetzt nicht, ob die Infos und Fotos für eine Bestimmung ausreichen, aber ich versuche es mal.:)

    Gefunden habe ich ihn vorgestern am Straßenrand in einer Gras- und Moosschicht bei Eiche im Brachter Wald. Eiche dürfte auch der einzige mögliche Baumpartner sein.

    Die Breite war um die 2-3 cm und die Größe um die 4 cm.

    Geruchlich konnte ich nicht viel feststellen, meine aber, am Stiel etwas Fruchtiges festgestellt zu haben.

    Der Stiel war zumindest bis ins untere Drittel bereift, vom unteren Drittel stammt die Aufnahme der Kaulozystiden.

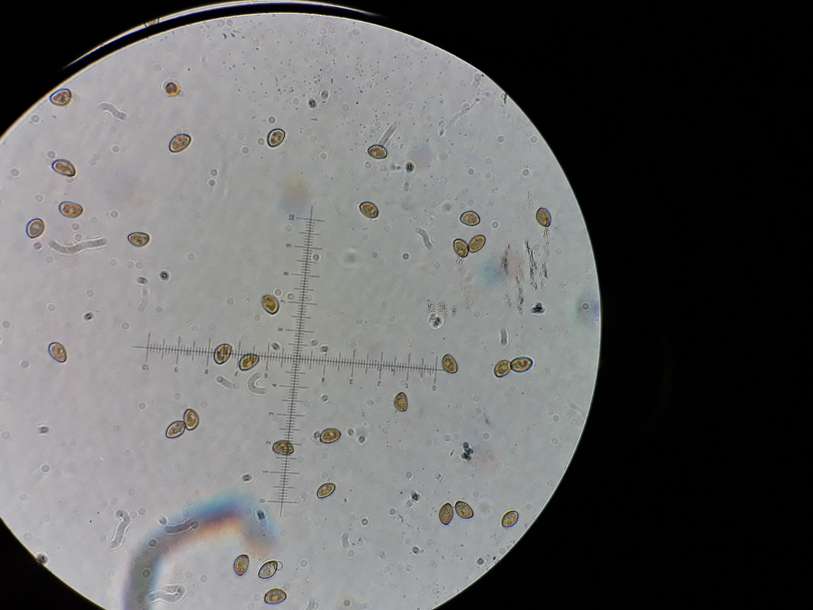
    Die Sporenmaße gingen von 6,2-7,5X4,1-4,7.

    Die Cheilozystiden waren recht schütter verteilt und immer mal wieder mit kleinen Parazystiden untermischt.

    Mein Favorit wäre momentan Inocybe albomarginata, der allerdings spermatisch riechen soll.

    Ein zweiter für mich möglicher Kandidat wäre Inocybe pelargonium, wobei mir da die Sporen zu klein vorkommen.

    Schon einmal vielen Dank und liebe Grüße

    Matthias

    Lamellenschneide (400)

    Lamellenschneide (1000)

    Pleurozystiden (1000)

    Kaulozystiden (400)

    Kaulozystiden (400)

  • Grüß dich, Matthias, das ist sehr wahrscheinlich , gut zu erkennen an diesen oft apfelkernförmigen kleinen dicken Sporen. Inocybe pelargonium hat niemals so einen rotbraunen Hut, die ist meist ockerlich mit Orange-Anteil und hat sowohl andere Zystiden als auch anders geformte Sporen. Ich häng dir mal ein typisches Foto von I. pelargonium an. Ach so, und die riecht eben auch nach Pelargonie.

    Herzlich, Ditte

  • Ich versteh das nicht, warum das Bild nun mittendrin ist, statt unten dran, wieso und von meinem Text was fehlt...Also es ist plötzlich der Name der Art weg: Inocybe pseudoreducta, nämlich, das wurde verschluckt, warum auch immer...

  • Hallo Ditte,

    super, vielen Dank für deine Bestimmungshilfe. Ja, auf deinem Foto kann man schon gut den Unterschied zu "meinen" Pilzen feststellen. Makroskopisch und mikroskopisch passt Inocybe pseudoreducta wirklich gut. Bei meinen Bestimmungsversuchen bin ich sogar auch auf ihn gestoßen. Er wird bei Ludwig als Verwechslungsmöglichkeit zu Inocybe albomarginata geführt. Nur habe ich ihn direkt ausgeschlossen, ohne ihn mir makroskopisch anzuschauen, da bei Ludwig "viel" größere Sporenmaße angegeben waren. (Ich habe das Buch gerade nicht bei mir, aber ich meine, dass er dort etwas von 8-10 schreibt.)

    Liebe Grüße

    Matthias

  • Hi, also die Art hat überwiegend sehr kleine Sporen. Viele unserer Kollektionen sind sequenziert und die ITS ist mit der des Holotyps übereinstimmend, daher sind meine Angaben abgesichert. Die Sporen "können" zwar bis 10 µm gehen, aber im Schnitt sind sie nur um gerade mal 8 µm lang. Das ist einer der Gründe, warum ich Mittelwertangaben für unverzichtbar halte - das sieht man in diesem Fall sehr deutlich.

    Herzlich Ditte

  • Vielen Dank, Ditte, für die Aufklärung.

    Da werde ich in Zukunft etwas kritischer lesen. Ich hatte die Angaben "8-10" als Maximalwerte verstanden und mir den Mittelwert so bei 9 gedacht, weshalb ich Inocybe pseudoreducta gar nicht in Betracht gezogen habe. Ohne deine Hilfe wäre ich sicherlich nicht auf diese Art gekommen.:)

    Liebe Grüße

    Matthias

  • Servus beinand,


    wie unterscheidet sich dann I. pseudoreducta von I. albomarginata? Ich habe diese kleinen apfelkernförmigen Sporen mit Q-Wert kleiner/gleich 1,5 bislang immer als typisches Kennzeichen von I. albomarginata aufgefasst.

    Zum Beispiel:

    foto-084.JPG

    foto-085.JPG

    foto-086.JPG

    foto-090.JPG

    Maße: 7,6 x 5,1 (6,6-8,7 x 4,7-5,4), Q=1,49 (1,35-1,71)


    Link zur Doku


    Liebe Grüße

    Hias

  • Lieber Hias, also das sieht mir nach pseudoreducta aus - auf die Entfernung. Ich hab kürzlich den Holotyp der albomarginata untersucht, die hat schmalere Sporen. Ich häng mal ein Foto von Sporen und einer Kollektion an - wenn ich das hinkriege...

    Sei lieb gegrüßt! Ditte

  • Hallo zusammen,

    das ist wirklich sehr interessant. Dann würde die Unterscheidung also hauptsächlich über die Sporen passieren? Sehe ich das dann richtig, dass, Ditte, nach deiner Untersuchung des Holotyps von I. albomarginata, Ludwig bei seiner Darstellung von Inocybe albomarginata eigentlich Inocybe pseudoreducta darstellt? Denn seine Darstellung der Sporen zeigt diese etwas dicklichen apfelkernartigen Strukturen.

    Liebe Grüße

    Matthias

    • Offizieller Beitrag

    Hi,


    ich hab bisher in den Thread geschwiegen. Auf jeden Fall hat sich daraus eine spannende Diskussion entwickelt, der ich gerne weiter folge. ==Gnolm7


    Herzlichen Dank euch allen dafür


    Stefan

    Risspilz: hui; Rissklettern: bisher pfui; ab nun: na ja mal sehen...


    Derzeit so pilzgeschädigt, das geht auf keine Huthaut. :D


    Meine Antworten hier stellen nur Bestimmungsvorschläge dar. Verzehrsfreigaben gibts nur vom PSV vor Ort.

  • Ja, die Sporen bei Ludwig sprechen dafür, dass er da die pseudoreducta abgebildet hat. Da die beiden Arten meist miteinander vermischt wurden, kann seine Beschreibung eben auch eine Mischbeschreibung sein, ich hab sie mir noch nicht genau angeschaut. Jedenfalls sehen die Arten aber auch makroskopisch unterschiedlich aus, siehe meine Fotos. So sieht die Hutoberfläche von pseudoreducta nie aus - jedenfalls alle meine Kollektionen nicht. Teilweise sahen Fruchtkörper von Kollektionen der albomarginata, die ich zusammen mit Eef Arnolds in Drenthe gefunden habe, für uns beide zunächst aus wie Ritterlinge.

    Albomarginata scheint mir seltener als pseudoreducta zu sein, die eine häufige Art ist. Die albomarginata habe ich bisher nur in Parkgelände gefunden - in Drenthe wuchs sie im Park eines Krankenhauses.

    Liebe Grüße Ditte

  • Hallo Ditte,

    vielen Dank für deine weiteren Ausführungen. Ist ja ein wirklich spannendes Thema. Den Ritterlingshabitus, von dem du bei I. albomarginata schreibst, kann man ja gut auf deinem Foto nachvollziehen. Und die Hutoberfläche von "meinen" Pilzen sieht dann doch recht unterschiedlich aus. Ich muss sagen, dass mich die Risspilzwelt immer mehr fasziniert. :)

    Liebe Grüße

    Matthias

  • Servus beinand,


    hier noch eine für mich typische "I. albomarginata", die dann sicher auch I. reducta heißen muss:

    foto-404.JPG

    foto-406.JPG

    foto-407.JPG

    Sporen: typisch gedrungen amygdaloid bis apfelkernförmig (oder eher wie Hanfsamen), nie eingedellt, Apex sehr variabel gerundet bis konisch, Maße: 7,3 x 5,0 (6,5-8[9] x 4,5-5,5), Q=1,46 (1,30-1,64)

    Link zur Doku


    Wie konnte es passieren, dass Stangl und Glowinski (1981) in Karstenia 21 Sporenmaße von 9-11.5 x 5.5-6 µm für den Holotypus von I. pseudoreducta angegeben haben? Bei meinen 5 Kollektionen von I. "albomarginata" liegt die mittlere Sporenlänge maximal bei 7,8, sonst auch deutlich darunter. Alle Funde stammen aus Wäldern (Alpen und Voralpenland) mit Tanne und Fichte, nur die hier als Erstes vorgestellte Kollektion wuchs vorwiegend bei Laubbäumen (Eiche, Birke, jungen Buchen und jungen Fichten).


    LG

    Hias

    • Offizieller Beitrag

    Jetzt reichts mir, wenn ich denn Beitrag erstelle und dann auf "Antworten" klicke, wird der Beitrag zeitgleich erstellt und wieder gelöscht.

    Ich kann gerne einen der beiden Beiträge wieder reaktivieren, wenn du es willst.

    • Offizieller Beitrag

    Servus!


    ich hab' mal den ersten Beitrag wieder hergestellt, Matthias!

    Was da wohl wieder scheif gegangen ist... Diese Forensoftware hat schon so ihre kleinen Macken manchmal.
    Das hatte jetzt nichts mit >so ner Meldung hier< zu tun, Matthias?



    LG, Pablo.

  • Danke für die Wiederherstellung!

    Es gab keinerlei Fehlermeldung vor der Löschung. Nachdem ich auf "Antworten" geklickt hatte, erschiend der Beitrag erst gar nicht, sondern wurde zeitgleich als gelöscht angezeigt.


    Beste Grüße

    Hias

  • Grüß dich, Hias, ich hab dir darauf gestern ja schon privat geantwortet. Damit das aber hier nicht so im Raum stehen bleibt: Ich kann mir nur vorstellen, dass in der Probe auf 2-sporige Basidien zurückgehende Sporen enthalten waren. Allerdings ist schon ziemlich seltsam, dass die Sporen erst bei 9 µm anfangen, und die Sporenform, die die gezeichnet haben, sieht auch anders aus - eben nicht so knubbelig. Ich hab den Typus noch nicht untersucht, bislang gibt es nur eine Holotypsequenz. Ich hoffe, wir können den Typus demnächst ausleihen, dann wird man sehen....


    Deine beiden Funde, auch das schrieb ich dir schon, sind meiner Meinung nach pseudoreducta, oder vorsichtiger ausgedrückt, die Art, die zur Holotypsequenz gehört. Ob reducta damit identisch ist, muss ich erst noch prüfen, den Typus hab ich untersucht, aber noch nicht ausgewertet.


    Herzlich! Ditte