So, hier noch ein Pilzchen aus dem Garten,
entpuppte sich unter dem Mikroskop schnell als Conocybe, da lecythiforme Cheilozystiden (s. Bilder). Ansonsten gestaltet sich die Bestimmung schwer:
Sehr kleiner Fruchtkörper (0,5cm) , blass, milchkaffeeartig, eher nicht gerieft.
Vorkommen: Gartenwiese, ungedüngt. Gesellig zu zweit ![]()
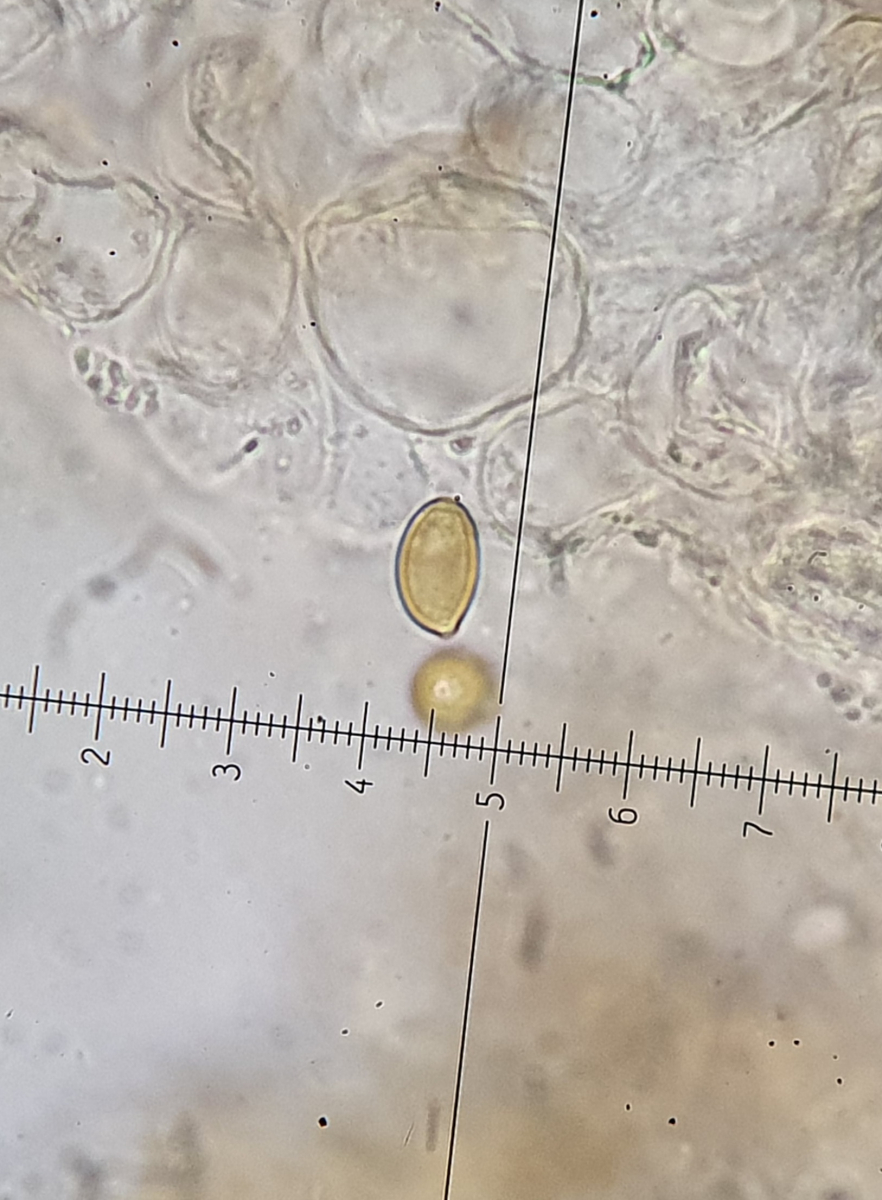
Mikromerkmale: Sporen 10x5(6)µm mit Keimporus, relativ dickwandig, in KOH aus meiner Sicht rotbraun (siehe Bilder)
Basidien 4-sporig
Cheilos und Kaulozystiden lecythiform (siehe ebenfalls Bilder), Kopf wenige µm, Körper etwa 7µm
Zudem auch an Stielbekleidung aus meiner Sicht keulige Elemente mit Schnalle an Basis (vereinzelt)
dicke und dünnere Stielhyphen, letztere auch mit Schnallen.
Tja, für Conocybe juniana sind nach Ludwig die Cheilos und deren "Köpfe" viel zu klein; Ochrostriata passt von Hut und Kaulozystiden nicht. Hellere Arten wie pseudocrispa haben 2-sporige Basidien und scheiden daher aus. C. subpubescens kommt den Mikromerkmalen nahe, sollte aber nicht im Garten wachsen, wenn ich das richtig lese. Für den würde aber die Rötung der 0,8µm dicken Sporenwand in KOH sprechen.
Habt ihr noch Ideen?
Beste Grüße Sebastian
