Hi.
Das war neben einem Täubling heute der einzige verwertbare Fund. Der Rest war weggetrocknet.
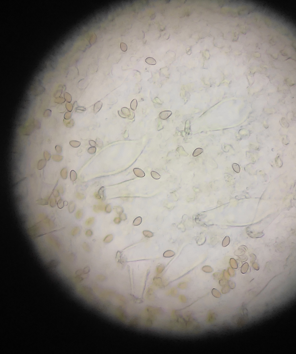
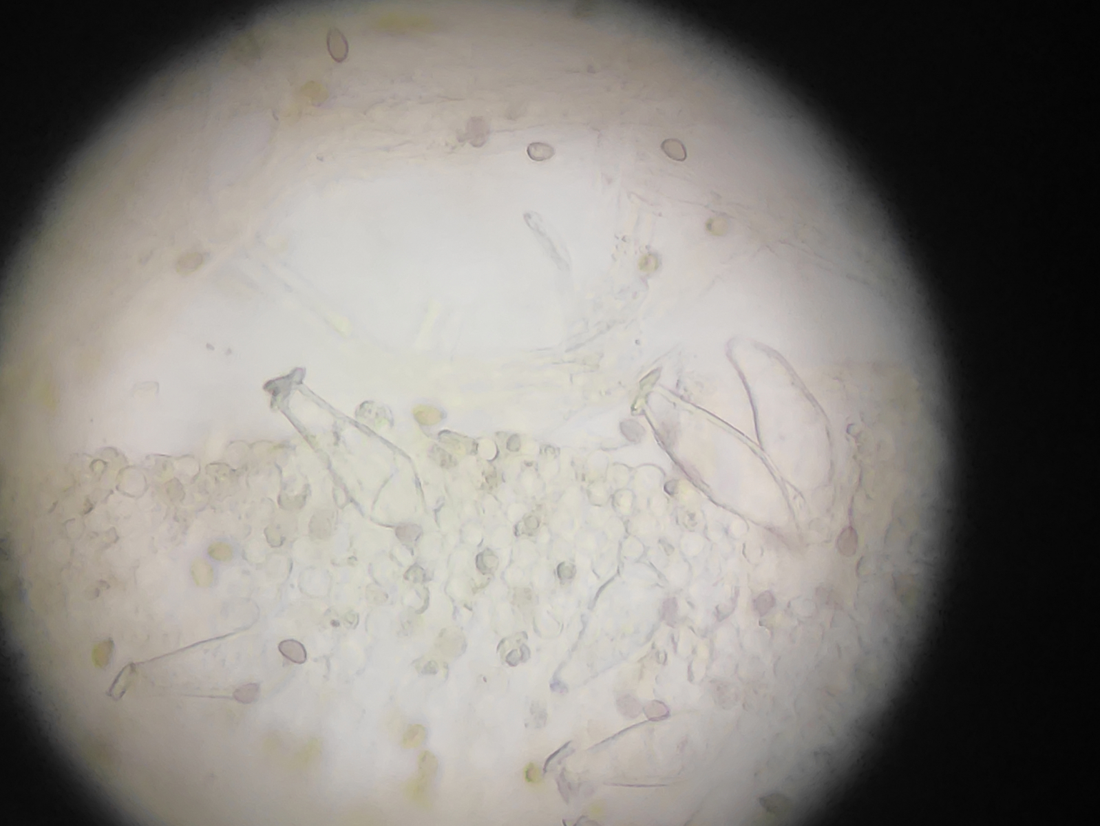
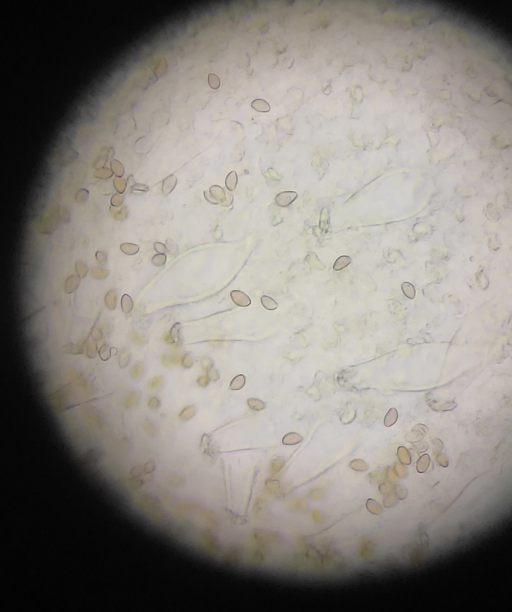
Ich habe nicht viel Ahnung, bin jetzt aber in der Inocybe mixtilis-Gruppe rausgekommen, wegen den gelblichen Farben und der deutlich gerandeten Knolle.
Könnte das hinkommen?
Fundort war sandig/lehmiger trockener Boden in der Laubstreu. Hauptsächlich Traubeneiche (darunter in der Laubstreu standen sie) und Pappel. Vereinzelt Amerikanische Linde und Birke im weiteren Umkreis.
Geruch vlt. ein wenig spermatisch, aber nicht so extrem unangenehm wie manch andere.
Habitat:
Jung mit weißem Stiel:
gerandete Knolle:
Älteres Exemplar mit gelblichem Stiel:
Könnte das in die richtige Richtung gehen?
Danke!
LG.
