Saccobolus beckii?
- Hagen Graebner
- Erledigt
Es gibt 16 Antworten in diesem Thema, welches 5.011 mal aufgerufen wurde. Der letzte Beitrag () ist von nobi_†.
-
-
Hallo Hagen,
zu den Cracks gehöre ich zwar nicht, aber Saccobolus beckii hatte ich schon öfters. Ist meiner Einschätzung nach einer der häufigeren Saccoboli/Saccobolüsser. Mit so groben Placken als Ornament kommt da kaum was anderes in Frage, und wenn die SPorengröße noch dazupasst dann würde ich den als gesichert ansehen.
beste Grüße,
Andreas
-
Hallo Hagen,
da bin ich ganz bei Andreas. Zu Saccobolus beckii passt auch das Vorkommen auf erzgebirgischem Rehdung, da die Art a) ihre Hauptverbreitung in eher bergigen Regionen hat und sie b) eine starke Affinität für Cervidendung (Reh, Hirsch) hat, an dem mir bis auf ganz wenige Ausnahmen alle meiner mehr als 30 Funde dieser Art gelangen.
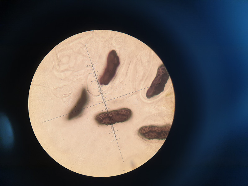
Die Fremdspore ist interessant.
Aufgrund der Größe im Vergleich zu den Clustern sowie Anzahl und Form der Zellen ist das ziemlich sicher Sporormiella octonalis.
Vielleicht entdeckst Du ja noch ein paar schwarze Pünktchen auf dem Substrat und mit etwas Glück ist dann diese Sporormiella dabei.
LG, Nobi
-
Danke Euch ! War das erste Mal, dass ich die Gelegenheit hatte, in unsrem eigenen Wald was einzusammeln, ich behalte das im Auge. Sporormiellas finde ich schwierig zu entdecken.
-
zu den Cracks gehöre ich zwar nicht,
Na Andreas - jetzt stellst Du Dein Licht aber arg unter den Scheffel, Du hast wahrscheinlich schon mehr über Pilze wieder vergessen als viele von uns gelernt haben ...
-
Die Fremdspore ist interessant.
Aufgrund der Größe im Vergleich zu den Clustern sowie Anzahl und Form der Zellen ist das ziemlich sicher Sporormiella octonalis.
Vielleicht entdeckst Du ja noch ein paar schwarze Pünktchen auf dem Substrat und mit etwas Glück ist dann diese Sporormiella dabei.
Ich hab noch mal gesucht und konnte in der Tat kleine Pyrenos finden, die dann die vorhergesagt Sporormiella octonalis waren.

-
Hammerfund, Hagen und schön, dass Du dran geblieben bist!

Sporormiella octonalis ist nicht häufig, und hat sie nicht wunderschöne Sporen!
Ich freu' mich mit.
Apropos Häufigkeit.
Ob die Art wirklich selten ist?
Die wenigen Funde bei Pilze-Deutschland.de gelangen dort, wo die "Dungpilz-Cracks" wohnen bzw. aktiv sind.

Leider fehlen da meine sächsischen Funde. Das muss ich noch klären.
LG, Nobi
-
Tolle Funde Hagen! Mir fehlen beide noch, vor allem die Sporormiella steht auch auf meiner Wunschliste
.Liebe Grüße,
Florian
-
Hallo Florian,
die Sporormiella octonalis suchst Du am besten an älterem Rinderdung, am besten etwas naturbelassen.
Daran gelangen mir mehr als die Hälfte meiner Funde. (Ist übrigens ein interessantes Substrat und kann sehr artenreich sein!)
Nur ausnahmsweise fand ich sie an Hase, Hirsch, Reh, Schaf oder Ziege.
Viel Glück,
Nobi
-
Wow, was für ein interessanter Beitrag ! Bin immer wieder erstaunt, was man hier alles lernen kann!
1. Nobi - aus einer EINZELNEN Spore ne Art herauszulesen! Wie krass ist das denn bitte!

2. hab ich erstmals was von Cerviden gehört und mich jetzt erstmal belesen, auch wenn ich nicht alles kapiert hab.....(Geweih und Hornträger? hee? Das sind die Dinger auf den Köpfen von Wild, was ist jetzt was? Trughirsche? heeee?
)Ihr seid echt der Hammer ! Und soviele Pilze wie Andreas wieder vergessen hat, werd ich wohl nie in meinen Schädel bekommen! "Bin kein Crack...!" jaja Tiefstapler!

Danke auf alle Fälle für den tollen Beitrag!
-
Hi Hagen,
auch von mir Herzlichen Glückwunsch zum tollen Sporormiella-Fund.
l.g.
Stefan
-
1. Nobi - aus einer EINZELNEN Spore ne Art herauszulesen! Wie krass ist das denn bitte!
Jedenfalls kein Hexenwerk, liebe Schwarzhex!

Wenn Du Hunderte Sporormiellen unterm Mikro hattest, bekommst du ein Gefühl für die Arten.
Zumal Sporormiella-Sporen einfach zu erkennen sind und sie zudem charakteristische Merkmale haben.
Ist übrigens eine meiner Lieblingsgattungen, wo ich bereits 35 Arten entdecken konnte.
2. hab ich erstmals was von Cerviden gehört und mich jetzt erstmal belesen, auch wenn ich nicht alles kapiert hab.....(Geweih und Hornträger? hee?
Genau!
In dem Fall Geweihträger, also in unseren Breiten Rehe, Dam- und Rothirsche, gelegentlich auch ein Elch.
Also, denen wächst jährlich ein neuer "Kopfschmuck" im Gegensatz zu den Hornträgern, die lebenslang mit ihrem Gehörn klarkommen müssen.
LG, Nobi
-
Hi,
auch von mir Glückwunsch zum Sporormiellafund.
Auf einen mehr als vierzelligen Fund muß ich wohl noch warten.
Beste Grüße
Martin
-
Danke Euch . Es war übrigens Rehkacke, die schon etwas länger da gelegen hatte.
-
Apropos Häufigkeit.
Ob die Art wirklich selten ist?
Ich glaube, das ist bei fast allen Dungpilzen so. Es schauen zu wenig Leute hin.

-
Hallo zusammen,
zu den Cracks gehöre ich zwar nicht,
Na Andreas - jetzt stellst Du Dein Licht aber arg unter den Scheffel, Du hast wahrscheinlich schon mehr über Pilze wieder vergessen als viele von uns gelernt haben ...
also das bezog sich auf das Thema, nämlich Dungpilze, und darf schon so stehen bleiben. Was diese (und leider auch noch viele weitere) Pilzgruppen betrifft, da nehm ich die halt auch eher so gelegentlich mit und sie gehören bestimmt nicht zu den Gruppen in denen ich tiefer drin bin. Drum auch immer mal wieder eine Anfrage von mir dazu hier im Forum oder bei AscoFrance. Und freue mich dann, dass es die richtigen Cracks gibt, die mir dann über die eine oder andere Hürde helfen.
beste Grüße,
Andreas
-
Auf einen mehr als vierzelligen Fund muß ich wohl noch warten.
Naja, die sind nunmal deutlich seltener als die vierzelligen Sporormiellas, Martin.
An Substraten wie Hase, Kaninchen, Hirsch oder Reh finde ich die vielzelligen Arten am häufigsten.
Die 7-zellige Sp. heptamera ist nach meinen Beobachtungen eine klassische und nicht seltene Art an Hasendung.
Die 8-zellige Sp. octomera findet man ebenfalls regelmäßig an den genannten Substraten.
Interessant ist die 7-zellige Sp. vexans, die ich fast ausschließlich von Frühjahrsfunden an Hirsch und Reh kenne.
Die sollte eigentlich ab März an den entsprechenden Losungen zu entdecken sein, wo sie idR nur bis Anfang Juni vorkommt.
Ich drücke Dir fest beide Daumen

, dass es bald mit einer vielzelligen Sporormiella klappt.Und freue mich dann, dass es die richtigen Cracks gibt, die mir dann über die eine oder andere Hürde helfen.
Und ich freue mich auf Deine Anfragen, die immer interessant sind! Gern mehr davon, Andreas.
Liebe Grüße,
Nobi
