Hallo Christopher,
Drüslinge essen? Habe ich einmal probiert und fand die Konsistenz sehr unangenehm. Wie sind da deine Erfahrungen?
Viele Grüße,
Florian
Hallo Christopher,
Drüslinge essen? Habe ich einmal probiert und fand die Konsistenz sehr unangenehm. Wie sind da deine Erfahrungen?
Viele Grüße,
Florian
Hallo Bernd,
Wie sicher bist du dir denn mit den Sporenmaßen? Der Rest passt nämlich gut zu Cheilymenia stercorea.
Liebe Grüße,
Florian
Eine Peziza, vermuten würde ich hier Peziza vesiculosa.
Schlimme Nachrichten, die du uns da bringst lieber Peter! Leider hat es bei mir nie mit einem persönlichen Treffen mit Nobi geklappt, im vergangenen Herbst spielte bereits die Gesundheit nicht mehr mit
. Ich werde seine Hilfsbereitschaft, seine wunderbaren Beiträge in diesem Forum und sein unschätzbares Wissen insbesondere über die coprophilen Pilze sehr vermissen! Er hinterlässt eine riesige Lücke in unseren Reihen
.
Hi Leon,
herzlich Willkommen im Forum! Mit Heidearten solltest du dich ja inzwischen Bestens auskennen
. Freue mich auf die nächste gemeinsame Exkursion!
Liebe Grüße,
Florian
Hi Marco,
mit den Maßen, losen Sporenclustern und gelbem Paraphyseninhalt hätte ich auch keinen anderen Vorschlag. Finde die Gattung aber durchaus nicht ganz einfach und die Art habe ich selbst noch nicht gefunden.
Liebe Grüße,
Florian
Hallo Marco,
wie groß sind denn die Sporen?
Liebe Grüße,
Florian
Hallo zusammen,
auf Dungproben aus der Heide fanden sich drei Arten, die ich nicht sicher bestimmt bekomme und daher bitte Hilfe bräuchte:
1. Eine Chaetomium (oder eine verwandte Gattung) auf Birkhuhn. Die Fruchtkörper sind etwas länglich und dicht mit gräulichen Haaren überzogen. Die Haare sind mikroskopisch rau, unverzweigt und teils korkenzieherartig aufgerollt. Die Mikromerkmale finde ich ansonsten so bemerkenswert, dass ich darauf hoffe, dass die Art bestimmbar ist: Die Asci sind zylindrisch und die Sporen haben eine sehr auffällige Form, die ich als limoniform betrachten würde. Gemessen habe ich die reifen Sporen mit 10, - 11,3 x 6,8 - 8 µm.
2. Eine Hypocopra auf Schaf, bei der ich bei der Bestimmung zwar auf den Namen Hypocopra rostrata gekommen bin, laut Peter soll das aber eine andere Art sein. Die Sporen sind spitz zulaufend und einzellig, sie messen 28 - 30 x 12,5 - 14 µm. Die Keimspalte habe ich mit 14,3 - 15 µm Länge gemessen. Der Porus reagiert blau mit IKI.
3. Eine Sporormiella, ebenfalls auf dem Schaf. Die war tief im Substrat versenkt und daher ein Zufallsfund, den ich versehentlich angestochen habe, so dass ich kein Makrobild dazu habe. Die Sporen sind 4zellig und tief septiert, die Maße betragen 67 - 69 x 13,8 - 14,3 µm. Die Keimspalte würde ich als leicht schräg bezeichnen, wobei sie oben und unten jeweils deutlich abknickt. Die Endzellen sind spitz zulaufend. Die Asci messen 200 - 210 x 25 - 28 µm, haben eine kurze kräftige Ascuswurzel und die Sporen liegen darin recht kompakt in im Mittelteil teils leicht versetzten 3-4er Reihen. Mir würde für den Fund der Name Sporormiella systenospora gefallen, jedoch mit leichter Unsicherheit bei der Bestimmung.
Vielemn Dank und liebe Grüße,
Florian
Hallo Sven und Nobi,
vielen Dank für euren Input! Podospora intestinacea habe ich hier regelmäßig, allerdings immer mit wesentlich größeren Sporen. Soweit ich weiß hatte auch Peter auf seinen Kollektionen eine kleinsporige Art, die P. intestinacea ähnelte und ich habe gerade festgestellt, dass ich ihn damals sogar per WhatsApp danach gefragt habe, ob das seiner Kollektion entspricht. Ich werde wohl langsam vergesslich...
Liebe Grüße,
Florian
Hallo Reinhard,
ja, da kommen einige Stunden zusammen, viel Arbeit macht bei mir vor allem auch das Bearbeiten der Bilder (zurechtschneiden, Weißabgleich etc.), da ich nur mit dem Handy durchs Okular fotografieren kann (was mal einfacher war, als die Handys noch nicht 3-4 verschiedene Linsen hatten).
Wie die Verbreitung erfolgt kann ich dir leider nicht genau sagen, auf Wikipedia steht zwar ein bisschen was dazu: https://en.wikipedia.org/wiki/Coprophilous_fungi, aber ich gehe mal davon aus, dass da viel noch nicht erforscht ist.
Hallo Björn,
ich bin gespannt, was bei dir noch kommt! Rind ist immer etwas Glückspiel bei mir, auf manchen Proben kommt wenig, auf anderen geht dafür die Post ab. Generell sammel ich immer relativ viel Probenmaterial ein und behalte nach einer Weile dann nur noch die besten Proben.
Liebe Grüße,
Florian
Hallo Sven,
vielen Dank für deine Antwort! Die Größe der Perithecien kann ich mit meinen Mitteln leider nicht vernünftig bestimmen. In dem Fall konnte ich auch die Caudae nicht sichtbar machen, auf dem letzten Bild der beste Versuch mit Tinte. Leider blieb es auch bei einem Perithecium.
Bei den Sporenmessungen habe ich reife Sporen gemessen, allerdings vermeide ich extreme Ausreißer, bei denen ich den Verdacht habe, dass sie aufgrund der Kultivierungsbedingungen oder der Präparation unnormale Maße haben könnten. Bedenke aber bitte, dass die Bilder auch täuschen können, nachdem ich nicht so einfach stacken kann und daher nicht alle Sporen in der Bildebene liegen.
Die Pedicele habe ich mit 24 - 26 x 11 - 12 µm gemessen.
Wenn es mit den Angaben nicht für einen Namen reicht ist das auch in Ordnung, Ideen sind aber sehr willkommen, auch zum Abgleich falls ich die Art nochmal sehe.
Vielen Dank und liebe Grüße,
Florian
Die Sporenanzahl bekommst du meiner Meinung nach gut raus in dem du eine Ascusprobe unterm Mikroskop langsam eintrocknen lässt. Dabei wird der Ascus platt gequetscht und man kann die Sporen dann auf einer Ebene zählen.
Messungen der Asci bekommen dann aber eine ganz andere Dimension die in keinem Schlüssel enthalten sind
Danke für den Tipp, das werde ich bei nächster Gelegenheit testen!
Liebe Grüße,
Florian
Hallo Harzi,
ich sehe hier auch mehr als 64 Sporen pro Ascus. Mit 128 Sporen/Ascus, den steifen Haaren, schwarzen Perithecien und der Sporengröße sollte das Podospora setosa sein.
Wirklich zählen kann man die Sporen ab einer gewissen Anzahl an Sporen/Ascus nur schwer bis gar nicht, das geht eigentlich nur über Abschätzen, wobei die Anzahl der Sporen pro Ascus im Regelfall immer verdoppelt werden kann (4 --> 8 --> 32 --> 64 --> 128 --> 256 --> 512,....).
Liebe Grüße,
Florian
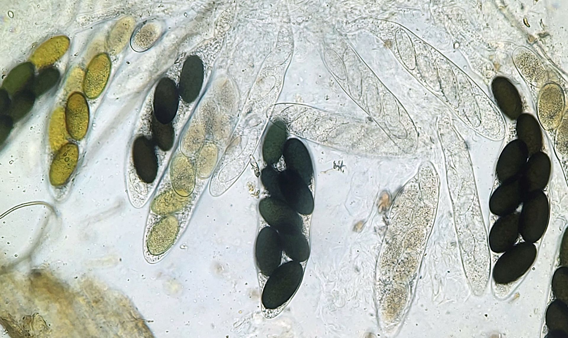
Liebe Pilzfreunde,
hier kommt nun der versprochene Bericht zu den Dungpilzen vom Kartierungstreffen im NSG Lüneburger Heide. Das Treffen fand statt, um im Kerngebiet der Heide möglichst viele Arten zu erfassen, was wiederum in Schutzkonzepte einfließen soll. Beteiligt waren dabei verschiedene Spezialisten für Artengruppen, die dabei von besonderer Relevanz sind (u.a. Wiesenpilze, Brandstellenbewohner und Dungpilze). Der Teilnehmerkreis, der sich besonders mit Dungpilzen beschäftigt beschränkte sich dabei krankheitsbedingt auf Peter, Eike und mich. Isngesamt konnte ich im Nachgang auf meinen Proben nun 46 verschiedene Arten bestimmen, wobei sich einige weitere Arten (insbesondere der Gattung Hypocopra) leider nicht sicher bestimmen ließen. 14 Arten fanden sich darunter, die ich zuvor noch nicht zu Gesicht bekommen hatte. Anbei möchte ich in alphabetischer Reihenfolge einige besondere Arten zeigen:
Den Start macht ein Pilz, von dem sich leider nur ein einziges, recht fettes Apothecium mit einer gelblichen Färbung auf einer Probe fand, die ich leider nicht sicher einer Tierart zuordnen konnte. Mit dem auffälligen Ornament, sowie der Sporengröße (17 – 17,5 x 9 – 9,5 µm) landete ich mit Peters Hilfe bei Ascobolus rhytidiosporus, einer Art, die ich bisher erst einmal finden konnte.
Weiter geht es mit einigen Arten der tollen Gattung Delitschia:
Der erste Fund war gleich ein echter Knaller! Makroskopisch zeigten sich auf Pferdedung behaarte Perithecien, mikroskopisch dann leicht schräg septierte Sporen mit Maßen von 37 – 41 x 17 – 19 µm. Dies führt dann beim Schlüsseln genau zu Delitschia chaetimoides! Auf Pilze Deutschland ist die Art bisher erst zwei mal eingetragen, beide Funde von Sven Heinz, der die Art auch im Boletus vorgestellt hat. Die Art wurde wohl auch weltweit bisher erst einige wenige Male gefunden.
Der zweite Fund dann auf Rinderdung, ebenfalls mit schräger Septierung und Sporengrößen von 49 – 52 x 18 – 18,5 µm. Die Art hatte ich bereits in der Heide nachgewiesen, aber dennoch war der Wiederfund eine große Freude: Delitschia intonsa
Die nächste Art der Gattung war tatsächlich wieder neu für mich. Schmale, tief septierte Sporen um die 20 x 4,8 µm führen direkt zu Delitschia leptospora. Der Wirt war ebenfalls eine Probe vom Rind.
Als nächstes dann eine Art, die eigentlich zu den häufigeren Arten der Gattung gehört, die ich aber bislang noch nicht sauber im Gebiet nachweisen konnte, von ein paar einzelnen Sporen abgesehen. Auf Pferd und mit Sporen um die 13 x 4,8 µm ist das Delitschia marchalii.
Bei der nächsten Art war ich sehr vewirrt. In dichtem Gewirr aus Haaren auf einer Probe vom Pferd fand ich ein Perithecium mit recht großen Sporen von 45 – 47 x 22 – 24 µm, bei dem ich zunächst nicht einmal sauber auf eine Gattung kam. Da ich keinerlei Anhängsel nachweisen konnte, erinnerten mich die Sporen am ehesten an die Gattung Sordaria, aus der aber keine Art mit solch großen Sporen bekannt ist. Arnium war dann die nächste Eingebung und Peter hatte schließlich die zündende Idee: Echria (ehemals Arnium) macrotheca! Ebenfalls keine häufige Art und ein Perser.
Ebenfalls neu für mich und die Heide war dann der nächste Fund auf Rinderung: Kleine Kleistothecien mit langen, apikal eingerollten Haaren, sowie Sporen von 4 -5 x 3,5 – 4 µm führen zu Kernia nitida!
Der nächste Fund dann mit einem „cf“: Kleistothecien mit kleinen Clustern aus rundlichen Sporen (Durchmesser um die 2,5 µm) passen wohl ganz gut zu Nigrosabulum globosum. Kann die Art bestätigt werden?
Dann eine Art auf Rind, die in Deutschland bisher nur von unseren Funden an diesem Standort bekannt ist und die ich hier im Forum bereits vorgestellt hatte. Bislang hatten wir die Art allerdings nicht in so üppigem Aufkommen, so dass ich gerne ein paar weitere Bilder von Pleophragmia ontariensis zeigen möchte:
Ebenfalls nicht häufig ist dieser schöne Podospora, die auf Rind und auf Pferd ein üppiges Vorkommen zeigte: Podospora austrohaemisphaerica
Dann wieder ein echter Knaller: Auf Dung vom Birkhuhn zeigte sich eine Podospora, die mit nur vier Sporen pro Ascus überraschte. Die recht kleinen Sporen mit 31 – 32 x 16 – 17 µm führen im Schlüssel direkt zu Podospora comata! Die Art wurde zwar im Forum schon gezeigt, allerdings ist sie womöglich aus Deutschland noch nicht bekannt:
Peter fand dann überraschend einen Hasenköttel mit einer Art, die bisher aus dem Gebiet noch nicht bekannt war: Poronia ericii! Zusammen besuchten wir dann am Folgetag eine weitere interessante Stelle, an der wir nach einigem Suchen dann ein größeres Vorkommen der Art an mehreren Köddeln feststellen konnten:
Bereits seit einigen Jahren aus dem Gebiet bekannt und mit üppigem und nahezu ganzjährigem vorkommen an Pferdedung ist die Schwesterart Poronia punctata. Interessant war, dass wir die Art dieses mal nicht nur auf dem Dung der dort vorkommenden Wildpferde (Dülmener) fanden, sondern auch an „normalem“ Pferdedung.
Etwas Kopfzerbrechnen bereitete mir der folgende Fund, da ich die Art bisher nicht mit so losen Sporenclustern gesehen hatte. Die Sporenmaße passen allerdings und Björn bestätigte, dass die Art auch mal dergestellt auftreten kann: Saccobolus depauperatus
Ein weiterer persönlicher Erstfund gelang mir dann auf Rind: Ein Shizothecium mit mehr als 8 Sporen pro Ascus! Mit den 32 Sporen gelangt man dann zu Shizothecium dakotense:
Einige Sporormiella-Arten fand ich dann auch noch, wobei es ein paar Arten gab, die für mich neu waren, bzw. generell auch nicht häufig zu finden sind:
Eine Sporormiella mit sehr hübschen Sporen (31 – 35 x 8 µm) fand ich auf Rind und konnte die Art mit Sporormiella cymatomera ansprechen:
Ein besonders schöner Fund gelang mir dann auf Pferd. Bislang hatte ich erst eine Art mit mehr als 4 Zellen pro Spore gefunden (Sporormiella affinis), dies ist nun Nummer 2: mit 7 Zellen pro Spore hört die Art auf den Namen Sporormiella heptamera
Ebenfalls ein Perser für mich und mit sehr hübschen Sporen zeigte sich auf Rind die Art Sporormiella longisporopsis:
Und last but not least findet sich inzwischen auf dem Rinderdung eine Art, die ich ebenfalls noch nicht hatte und die mit spektakulären Sporen aufwartet: Zygopleurage zygospora! Die Art kommt auf den Proben inzwischen relativ üppig vor.
Das war es nun erst einmal von den Proben, ich hoffe, dass sich im Lauf der kommenden Woche noch der ein oder andere interessante Fund zeigt, dann werde ich hier gerne ergänzen.
Liebe Grüße,
Florian
Zitatund dabei die spannenden Pilzchen zu erschnuppern
Björn
Ich habe mir sagen lassen, das macht beim Dung vom Fischotter besonders viel Freude
.
Liebe Grüße,
Florian
Super Björn! Die Art habe ich auch dabei, allerdings auf Pferd. Auf deinen Bildern sieht man die Keimspalten sehr schön, mit was für einer Kamera machst du deine Mikrobilder?
Liebe Grüße,
Florian
PS. Florian1986
Gibt es denn gar nichts berichtenswertes bzw. zeigbares vom Lüneburger Heide Treffen?
Peter war jedenfalls recht angetan und ich wäre sehr interessiert.
Lieber Nobi,
oh doch, das gibt es reichlich! Es braucht leider nur noch ein wenig Zeit, insbesondere das Bearbeiten der Bilder. Um die Spannung etwas zu erhöhen: bei den Dungproben bin ich derzeit bei 39 Arten, davon hatte ich 11 vorher noch nie selbst gesehen!
Liebe Grüße,
Florian
Hallo Björn,
Danke für die schönen Bilder! Sehr schade, dass du nicht dabei sein konntest, hoffentlich ergibt sich bald mal eine Gelegenheit. Für den Fischotter war ich nicht mutig genug, aber Karl meinte, du würdest das durchziehen
.
Liebe Grüße,
Florian
Hallo Nobi,
schade! Mangels Alternativen würde ich die Bilder bei mir mit einem großen "cf" unter dem Arbeitsnamen Cercophora sordarioides ablegen und hoffen, die Art nochmal mit intakten Asci wiederzufinden. Übrigens fand ich auf der gleichen Aufsammlung auch Pleophragmia ontariensis wieder, allerdings auch nicht mehr ganz frisch. 2 Wochen eher (vor dem Frost) wäre vermutlich optimal gewesen...
Liebe Grüße,
Florian
Hallo zusammen,
auf stark veralgtem Rinderdung aus der dem NSG Lüneburger Heide zeigt sich eine Cercophora, die mir bei der Bestimmung Kopfschmerzen bereitet. Kopfschmerzen, weil sie so reif ist (das Problem hätte man sonst oft gerne), dass in all meinen Präparaten keine Asci mehr zu finden sind. Eine Besonderheit bringt sie jedoch mit, die die Bestimmung eventuell doch möglich macht: Der Sporenkopf ist bei den reifen Sporen konstant septiert. In der mir zur Verfügung stehenden Literatur stieß ich auf drei Arten, die von den Merkmalen her in Frage kämen:
- Cercophora mirabilis --> Da passt u.a. die Sporengröße nicht
- Cercophora areolata --> Da passt die Sporengröße, allerdings sollte das Pedicel deutlich kürzer sein
- Cercophora sordarioides --> Das passt für mich am Besten, auch das Vorkommen auf Rinderdung ist als Merkmal beschrieben
Kann ich die Art so festmachen, oder habe ich etwas übersehen?
Die Sporenmaße betrugen 15,5 - 17,3 x 9,4 - 9,8, das Pedicel maß ich mit 36 - 37 x 4,0 - 4,3
Vielen Dank und liebe Grüße,
Florian
Hallo Nobi,
Danke für die Infos! Das klingt wirklich nach einer guten Stelle. Podosordaria tulasnei ist hier vergleichsweise häufig (bzw. auch einfach sehr auffällig), die beiden anderen Arten fehlen mir noch
.
Liebe Grüße,
Florian
Hallo Nobi,
vielen Dank für das Feedback! Sporormiella affinis macht tatsächlich noch mehr Sinn, das erklärt dann auch die Abweichung in der Sporengröße. Du hast diese Art auch schon gefunden oder? Auf welchem Substrat hattest du deine(n) Fund(e)?
Liebe Grüße,
Florian
Liebe (Dung)pilzfreunde,
heute hatte ich das Vergnügen, in der Kernzone der Lüneburger Heide einige Dungproben sammeln zu dürfen. Mit fachkundiger Begleitung ging es schnell zu den interessantesten Stellen und ich bin für die kommenden Wochen ausreichend mit Arbeit versorgt
. Ein besonderes Highlight waren für mich die Hinterlassenschaften vom Birkhuhn, die ich bislang noch nicht untersuchen durfte. Gleich das erste Perithecium offenbarte dann einen echten Kracher: Meine erste Sporormiella mit 8-zelligen Sporen! Und damit nicht genug, es scheint sich auch noch um eine echte Besonderheit zu handeln: Bei der Bestimmung lande ich bei Sporormiella platymera! Die Art wurde bisher einmal im Forum gezeigt: HIER, dort allerdings mit deutlich längeren Sporen. Meine Messungen betrugen 80 - 84 x 13 - 15 µm. Könnt ihr mir die Bestimmung trotzdem so bestätigen?
Vielen Dank und liebe Grüße,
Florian
