Hallo zusammen,
Anfang Oktober war der APR ja noch auf Tour im Siegerland und Sauerland unterwegs. Dabei ging es dann unter anderem auch auf eine Wacholderheide in Elspe, die im Sommer über mit Schafen beweidet wird. Da sich am Horizont ja schon ein zweiter Lockdown abzeichnete, habe ich dann einfach mal ein Döschen voll Schafdung eingesteckt. Eigentlich dachte ich ja, daß sich da in der trockenen Dose erstmal nicht viel tut, aber Pustekuchen. ein Kontrollblick heute zeigte, daß sich da durchaus schon Pilze gebildet haben. Also kommt das ganze jetzt in die feuchte Kammer und wird beobachtet. Im Folgenden mal die drei ersten Pilze, die ich mir angeschaut habe:
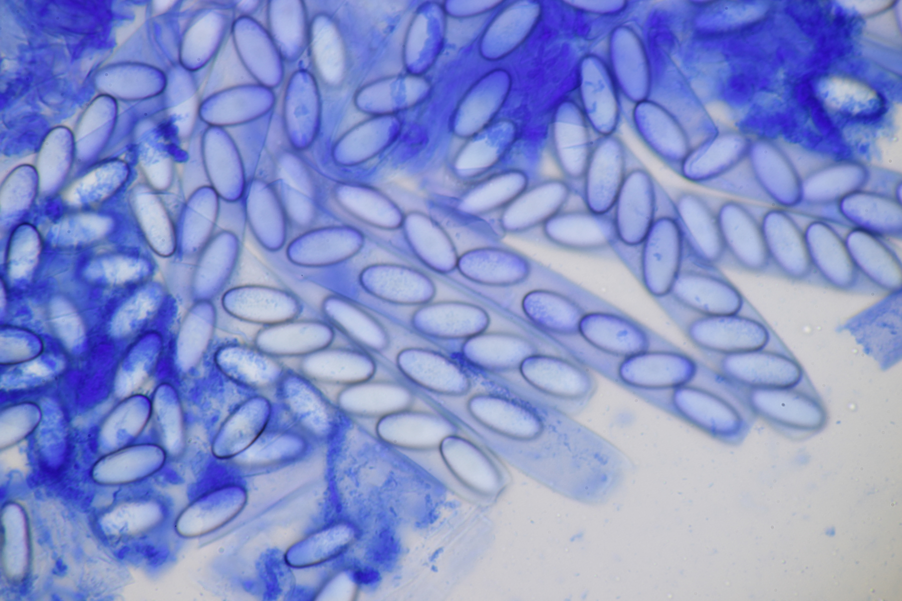
1. Den würde ich bei Schizothecium oder Podospora verorten. Die Sporen messen (17.9+-0.6) µm x (9.9+-0.3) µm, Q=1.8+-0.1 bzw. (17.1-19.2) µm x (9.3-10.5) µm, Q=1.6-1.9. Leider komme ich da beim Schlüsseln auf keinen grünen Zweig... man merkt, daß ich schob länger nicht mehr nach Dungpilzen geschaut habe :-\
2. Der zweite Pilz hat riesige Sporen: (48.4+-2.3) µm x (27.5+-1.1) µm, Q=1.8+-0.1 bzw. (43.9-51.6) µm x (24.7-28.8) µm, Q=1.6-1.9. Das Perithecium hatte keine auffälligen Haare o. ä., die Asci sind 4-sporig
3. Der dritte Pilz hat auch sehr große Sporen: (46.2+-1.1) µm x (25.0+-0.8) µm, Q=1.8+-0.1 bzw. (43.6-47.6) µm x (23.3-26.5) µm, Q=1.7-2.0. Dazu zeigten sich dann mit etwas Tinte sehr lange Anhängsel. Bei einer Spore konnte ich ein über 300 µm langes Anhängsel auf einer Seite beobachten. Auf der anderen Seite war es geschützt ähnlich lang, ließ sich aber nicht so gut ausmessen. Dazu kommen hier noch septierte, steife Haare am Perithecium. Auch hier sind die Asci 4-sporig.
Da ich bei allen drei Funden irgendwie gerade nicht zu einem Ergebnis komme, bin ich über jeden Input dankbar.
Björn
