Dreierlei vom Schaf

Es gibt 25 Antworten in diesem Thema, welches 9.825 mal aufgerufen wurde. Der letzte Beitrag () ist von nobi_†.

  • Hallo zusammen,


    Anfang Oktober war der APR ja noch auf Tour im Siegerland und Sauerland unterwegs. Dabei ging es dann unter anderem auch auf eine Wacholderheide in Elspe, die im Sommer über mit Schafen beweidet wird. Da sich am Horizont ja schon ein zweiter Lockdown abzeichnete, habe ich dann einfach mal ein Döschen voll Schafdung eingesteckt. Eigentlich dachte ich ja, daß sich da in der trockenen Dose erstmal nicht viel tut, aber Pustekuchen. ein Kontrollblick heute zeigte, daß sich da durchaus schon Pilze gebildet haben. Also kommt das ganze jetzt in die feuchte Kammer und wird beobachtet. Im Folgenden mal die drei ersten Pilze, die ich mir angeschaut habe:


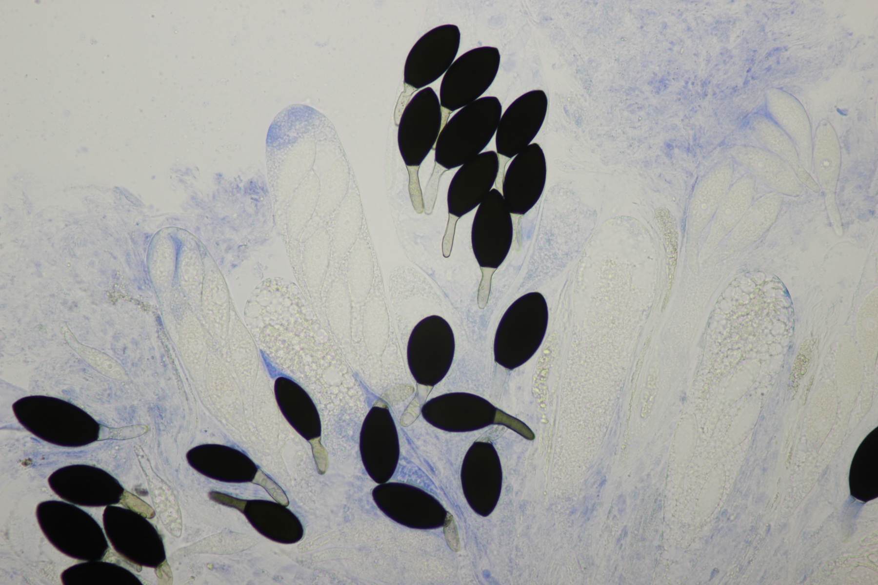
    1. Den würde ich bei Schizothecium oder Podospora verorten. Die Sporen messen (17.9+-0.6) µm x (9.9+-0.3) µm, Q=1.8+-0.1 bzw. (17.1-19.2) µm x (9.3-10.5) µm, Q=1.6-1.9. Leider komme ich da beim Schlüsseln auf keinen grünen Zweig... man merkt, daß ich schob länger nicht mehr nach Dungpilzen geschaut habe :-\


    2. Der zweite Pilz hat riesige Sporen: (48.4+-2.3) µm x (27.5+-1.1) µm, Q=1.8+-0.1 bzw. (43.9-51.6) µm x (24.7-28.8) µm, Q=1.6-1.9. Das Perithecium hatte keine auffälligen Haare o. ä., die Asci sind 4-sporig


    3. Der dritte Pilz hat auch sehr große Sporen: (46.2+-1.1) µm x (25.0+-0.8) µm, Q=1.8+-0.1 bzw. (43.6-47.6) µm x (23.3-26.5) µm, Q=1.7-2.0. Dazu zeigten sich dann mit etwas Tinte sehr lange Anhängsel. Bei einer Spore konnte ich ein über 300 µm langes Anhängsel auf einer Seite beobachten. Auf der anderen Seite war es geschützt ähnlich lang, ließ sich aber nicht so gut ausmessen. Dazu kommen hier noch septierte, steife Haare am Perithecium. Auch hier sind die Asci 4-sporig.


    Da ich bei allen drei Funden irgendwie gerade nicht zu einem Ergebnis komme, bin ich über jeden Input dankbar.


    Björn

  • Hallo Hagen,


    für Nr. 1 und den Verdacht auf Podospora/Schizothecium habe ich Doveri "A bibliography of Podospora and Schizothecium" (2008) benutzt. Bei den anderen beiden habe ich mangels Idee zu einer Gattung noch gar nichts geschlüsselt, da wäre aber dann der dicke Doveri meine erste Anlaufstelle.


    Björn

  • Ich versuch immer mit Watling-Richardson wenigsten in die Gattung zu kommen und nehm mir dann den Doveri oder Monographien, so ich die habe. vergleich die dritte mal mit Podospora australis, das ist aber nur so ein Gedanke, der mir grad durchs Hirn schießt.

    Schizothecium mengt der Dottore ja bei podospora rein... (dein erster)

  • Schizothecium mengt der Dottore ja bei podospora rein... (dein erster)

    Hat er später - zu Recht! - wieder auseinander gemengt!

    Ich melde mich morgen nochmal zum Thema.


    LG, Nobi

    Hier geht es zu meinen Themen.

    -------------------------------------------------------------------------------------------------------------------------------------------------------------------------------------------------------

    Chips: 72

  • Hallo zusammen,


    bei Nummer 3 habe ich mit Podospora australis verglichen. Was mich stutzig machte: Doveri schreibt von "geringelten" Anhängseln. Die konnte ich bei mir jetzt nicht sehen. Aber zum Glück schreibt er auch weiter unten, daß Arnium arizonense ein Verwechslungskandidat ist, der sich durch büschelige Haare unterscheidet. Und das paßt jetzt deutlich besser, denn da braucht es keine Ringel an den Anhängseln und Haarbüschel hab ich auch (also ich nicht, aber der Pilz :D). Ich hab heute auch noch mal ein paar (hoffentliche bessere) Fotos geschossen, aber die kommen frühstens morgen.


    Björn

  • Sorry, total offtopic:


    (Hallo Björn!

    Es ist ja nicht so, als hätte ich nicht gewusst, dass es in Deinem Bericht um Copros geht. Aber bei dem Titel musste ich unwillkürlich an das Angebot auf einer Speisekarte denken.. hihihi)

  • Sorry, total offtopic:


    (Hallo Björn!

    Es ist ja nicht so, als hätte ich nicht gewusst, dass es in Deinem Bericht um Copros geht. Aber bei dem Titel musste ich unwillkürlich an das Angebot auf einer Speisekarte denken.. hihihi)

    Haha... Tuppie, auch mein erster Gedanke heute Morgen

    Grüße aus dem Moseltal

    Marco
    ----------------------------------------------------------------------------
    Wenn das Leben Dir einen Korb gibt... geh Pilze sammeln. ==18

  • Hallo Björn,


    1. Schizothecium vesticola

    3. Arnium arizonense

    2. vermutlich wie 3. mit reduzierten bzw. fehlenden Haaren. Im Ascus glaube ich die arniumtypischen Anängsel an den unreifen Sporen erkennen zu können.


    LG, Nobi

    Hier geht es zu meinen Themen.

    -------------------------------------------------------------------------------------------------------------------------------------------------------------------------------------------------------

    Chips: 72

  • Hallo zusammen,


    erstmal wieder herzlichen Dank an Nobi für das Bestimmen der Pilze. Ich habe festgestellt, daß ich Schizothecium vesticola sogar schon mal hatte. Also hätte ich den ja eigentlich wiedererkennen dürfen.... und Arnium arizonense scheint ein netter Fund zu sein. Der fehlt bei Pilze-Deutschland nämlich noch für NRW.


    Ansonsten war der Titel natürlich mit Absicht gewählt. Aber es tut sich auch noch weiter etwas auf dem Schaf, also werde ich hier in den nächsten Tagen wohl noch einen größeren Becherling und Tintlinge ergänzen können.


    Björn

  • Hallo zusammen,


    das Schaf macht weiter ;) Mit den Tintlingen habe ich zwar bis jetzt noch kein Glück gehabt, die sind entweder noch nicht aufgeschirmt oder schon hinüber, wenn ich gerade mal reinschaue. Aber es gab eine Peziza und einen Thecotheus, die ich Euch zeigen möchte.


    Schon vor ein paar Tagen hatte ich mir diese relativ Peziza angeschaut, die aber auch über Tage hinweg nicht weiter gewachsen ist. Die Sporen messen (19.8+-0.7) µm x (10.2+-0.4) µm, Q=2.0+-0.1 bzw. (18.6-21.0) µm x (9.3-10.9) µm, Q=1.8-2.1. Ich hatte die Sporen erst für glatt gehalten, aber mit Baumwollblau zeigte sich teilweise doch ein Hauch von Ornament. Bei den warzigen Pezizas lande ich mit Doveri aber keinen Treffer. Also ist das Ornament vielleicht nicht real? Dann ginge meine Tendenz zu Peziza fimeti. Was meint Ihr?


    Heute habe ich dann diesen Thecotheus erwischt. Die Sporen messen (32.4+-1.0) µm x (14.3+-0.9) µm, Q=2.3+-0.1 bzw. (30.2-34.9) µm x (12.7-15.5) µm, Q=2.1-2.5. Damit lande ich bei Thecotheus holmskjoldii. Geht ihr da mit?


    Björn

  • Hallo zusammen,


    das Schaf hat den nächsten Ascomyceten produziert, diesmal aus der Gattung Saccobolus. Zunächst habe ich nur einen winzigen Fruchtkörper gefunden. Nachdem ich ihn auf dem Objektträger hatte und das Deckgläschen aufgelegt hatte, war zwar ein sehr hübsches Präparat zu erkennen, aber leider zogen binnen Sekunden einige störende Luftblasen heran. Also einfach mal mit dem Radiergummi etwas geklopft.... das Ende vom Lied: Das schöne Präparat war Murks, weil die Sporencluster und teilweise auch die Sporen gelitten haben und alles wild zerstreut war. Zum Glück ergab genauere Nachsuche dann noch einen Fruchtkörper, der zwar ein nicht ganz so hübsches Präparat ergeben hat, aber die wichtigsten Eigenschaften sollte man trotzdem erkennen.


    Die Sporen sind jung hyalin, dann violett und am Ende braun-violett. Sie messen ca (20-22) µm x (8-9) µm, sind überwiegend feinwarzig, teilweise auch mit etwas gröberen Warzen und weisen vereinzelt auch Risse auf. Mit van Brummelen lande ich wegen der gelben Paraphysen in der Sect. Saccobolus und dort dann mit der Sporengröße bei Saccobolus citrinus. Was sagen die Experten?



    Björn

  • Hallo Björn,


    ich merke gerade, dass ich mich zu Deinen letzten drei Funden noch nicht geäußert habe.

    Das will ich sofort nachholen, immerhin möchte ich Dich ja auch motivieren, weiter mit diesen Substratspezilisten zu arbeiten. ;)

    Du wartest ja sicher auf eine Reaktion und diese hast Du Dir mit den schönen Portraits auch verdient!


    Fangen wir mit der Peziza an.

    Peziza fimeti ist meiner Meinung nach korrekt bestimmt. Lange geisterte eine kleinsporige und eine großsporige Peziza fimeti durch die Literatur.

    Inzwischen ist die kleinsporige Sippe wohl als P. alcis (im Norden) bzw. P. varia "enttarnt" worden. Siehe auch folgende Studie.

    Peziza fimeti with notes of P. varia_Medardi et al., Mycotaxon 121, 2012.pdf


    Thecotheus holmskjoldii ist ebenfalls korrekt. Die Art bevorzugt nach meinen Beobachtungen Schafdung und ist recht verbreitet.

    Bei Reife zeigen die Sporen ein feinwarziges Ornament, schön zu sehen in BWB.


    Auch Saccobolus citrinus hast Du richtig bestimmt. Typisch sind neben den von Dir genannten Merkmalen u.a. die schlanken Cluster.

    Gern kommt übrigens ein paar Tage nach dem Erscheinen von citrinus noch S. minimus.

    Also, falls Dir kleinere Apos auffallen, kann es nicht schaden, sie nochmals unters Mikroskop zu legen.

    Zum Vergleichen an dieser Stelle das fantastische Portrait von Matthias zu dieser Art.


    Schöne Funde und alles richtig bestimmt!:thumbup:

    Weiter so! Du weißt ja, Winterzeit ist Dungpilzzeit.


    LG, Nobi

    Hier geht es zu meinen Themen.

    -------------------------------------------------------------------------------------------------------------------------------------------------------------------------------------------------------

    Chips: 72

  • Hallo Nobi,


    wie immer vielen Dank für dein Feedback zu meinen Funden. Es freut mich natürlich enorm, daß ich hier gleich drei mal richtig gelegen habe. Das Portrait von Matthias ist wieder einmal ganz großes Kino! Was S. minimus angeht, werde ich mal die Augen offen halten, so lange er nicht viel kleiner ist als S. citrinus....der ist ja auch schon nicht groß.


    Ich würde sogar noch weiter gehen und sagen, daß man in Corona-Zeiten immer einen gewissen Dungvorrat im Haus haben sollte. Man weiß ja nie, wie sich die Situation weiter entwickelt und wenn es mal zu einem strengen Lockdown kommen sollte, hat man dann immer noch eine Beschäftigung im Haus ;)


    Björn

  • Hallo Björn,

    Was S. minimus angeht, werde ich mal die Augen offen halten, so lange er nicht viel kleiner ist als S. citrinus....der ist ja auch schon nicht groß.

    Zu S. minimus hab ich natürlich auch schon ein Portrait erstellt, sogar neuer als das von citrinus: Saccobolus minimus

    Bei den letzten Bildern unten siehst du den direkten Größenvergleich mit citrinus, also der ist schon noch etwas kleiner, aber wer citrinus findet, kriegt minimus auch. Da ist dilutellus z.B. deutlich härter zu finden, da noch kleiner und nicht gelb gefärbt. Zudem durfte ich den von Mausdung runterpulen.


    Viele Grüße,

    Matthias

    Je intensiver man sich mit Pilzen beschäftigt, desto komplizierter wird es, sie zu bestimmen.

  • Hallo zusammen,


    Nobis Hinweis auf Saccobolus minimus hat sich direkt bezahlt gemacht. Der erste Fruchtkörper, den ich heute augegabelt habe, war direkt ein Volltreffer!


    1. Saccobolus minimus mit Sporen von (12-13) µm x (5-6) µm


    2. Nochmal der Thecotheus holmskjoldii, aber nicht reif.


    3. Saccobolus citrinus war dann heute auch noch mal zu finden.


    4. Und dann war am Ende auch noch mal wieder ein Pyrenomycet dran. Die Sporen messen (29-33) µm x (17.5-20) µm und würde zu Podospora tendieren. Leider konnte ich die Caudae nicht gescheit sichtbar machen. Bei einer Spore hatte ich den Eindruck, als gäbe es oben an der Spore eine Hand voll Caudae, die quasi wie ein Wischmopp aussehen. Aber ob die Spore jetzt zum gezeigten Pilz gehört ist nicht sicher. Auffällig sind noch die Haare um das gesamte Perithecium herum. Beim Schlüsseln lande ich aber - wieder mal - im Nirgendwo. Nobi, hast Du da eine Idee zu?


    Björn

  • Nobis Hinweis auf Saccobolus minimus hat sich direkt bezahlt gemacht. Der erste Fruchtkörper, den ich heute augegabelt habe, war direkt ein Volltreffer!

    :) Klasse! Und Glückwunsch zum schönen Fund, Björn!

    Die Art ist deutlich seltener als S. citrinus (vielleicht aber wegen seiner Winzigkeit auch oft übersehen?)

    Matthias hat ja sein Portrait dieser Art weiter oben bereits verlinkt! Sehr schön da auch der makroskopische Vergleich zu citrinus.:thumbup:

    Zum Bezahlen kommen wir, wenn wir uns endlich einmal persönlich kennenlernen! Ich bestell' schon mal ein Trappistenbier. ^^


    Es geht übrigens noch kleiner bei den "Gelben".;)

    Siehe Saccobolus minimoides.


    Bei einer Spore hatte ich den Eindruck, als gäbe es oben an der Spore eine Hand voll Caudae, die quasi wie ein Wischmopp aussehen

    Podospora passt schon mal.:thumbup:

    Mit den genannten "Wischmopp-Caudae", der Sporengröße und ~form und den behaarten Perithecien lande ich bei Podospora communis.

    Deren Anhängsel sind recht schnell vergänglich und man findet die Art oft ohne Caudae.

    Also, ich kann mir trotz fehlender Caudae keine andere Species vorstellen.


    Liebe Grüße,

    Nobi

    Hier geht es zu meinen Themen.

    -------------------------------------------------------------------------------------------------------------------------------------------------------------------------------------------------------

    Chips: 72

    Einmal editiert, zuletzt von nobi_† ()

  • Hallo Nobi,


    ist S. minimus wirklich seltener als S. citrinus? Bei Pilze-Deutschland gibt es für S. minimus sogar etwas mehr Funddaten (195 vs. 152 für S. citrinus). Wobei beide Verbreitungskarten ganz klar die Verbreitung von Dungpilzfreunden zeigen :D


    Und vielen Dank für die Bestimmung der Podospora. Irgendwie tue ich mich in der Gattung nach wie vor noch ziemlich schwer. Aber der Doveri-Schlüssel ist ja auch so unendlich lang und wenn man dann mit vergänglichen Anhängseln zu kämpfen hat, wird es halt nicht leichter.


    Björn

  • ist S. minimus wirklich seltener als S. citrinus?

    Da bin ich jetzt von meinen und den sächsischen Funden ausgegangen.

    Laut Mykis stehen 41 Nachweisen von S. citrinus lediglich 20 von S. minimus entgegen. Das deckt sich mit meinen Beobachtungen.

    Leider sind die Daten in Pilze-Deutschland noch nicht eingepflegt. Da muss ich mich mal kümmern.

    Aber der Doveri-Schlüssel ist ja auch so unendlich lang...

    Am besten bestimmt man die einheimischen Podospora-Arten mit dem "Lundqvist".

    Da ist der Schlüssel noch überschaubar!

    Lass es mich wissen, falls Du das Buch nicht hast.


    LG, Nobi

    Hier geht es zu meinen Themen.

    -------------------------------------------------------------------------------------------------------------------------------------------------------------------------------------------------------

    Chips: 72

  • Hallo zusammen,


    das Schaf hat Ende letzter Woche mal wieder eine neue Podospora ans Tageslicht befördert.


    Das erste Exemplar hat Sporen von (43.8+-2.1) µm x (26.4+-1.8) µm, (39.9-46.5) µm x (23.1-30.0) µm, Pedicel (22.5-25.5) µm x (6-8) µm. Leider habe ich hier keine Aufnahmen des Peritheciums gemacht. Anhängsel waren leider auch nicht erkennbar - ich fürchte, ich hab mal wieder etwas zu stark gedrückt.


    Also am nächsten Tag vom gleichen Köttel noch mal ein Perithecium geschnappt. Diesmal waren die Sporen deutlich größer (48.1+-4.4) µm x (26.5+-2.3) µm, (41.3-56.6) µm x (22.8-33.5) µm, Pedicel (19.5-31) x (6.5-9.5)


    Und vom gleichen Tag noch ein dritter Fruchtkörper, diesmal mit extremer Vorsicht behandelt, so daß auch Anhängsel am Kopf der Spore und unten am Pedicel sichtbar wurden. Hier messen die Sporen (49.3+-2.5) µm x (26.9+-2.0) µm , (44.8-53.5) µm x (24.0-32.5) µm


    Jetzt stellen sich natürlich 2 Fragen: Ist alles die gleiche Art? Ich könnte mir vorstellen, daß Perithecium 1 einfach noch nicht ganz reif war und die Sporen deshalb etwas zu klein geraten sind. Dann wäre noch zu klären, welche Art. Die Anhängsel auf dem vorletzten Bild lassen mich an P. intestinaceum denken, aber dafür sind die Sporen etwas zu klein. Andererseits paßt P. fimiseda auch nicht und die Arten unter 10. im Lundqvist-Schlüssel haben dann deutlich kleinere Sporen. Also doch P. intestinaceum?


    Björn

  • Hallo Björn,


    auch wenn die Sporen von Podospora intestinacea durchaus etwas größer werden können, kann ich mir nichts anderes vorstellen.

    Charakteristisch sind u.a. das relativ kurze, gedrungene Pedicel und die +/- wenig aufgeblasenen apikalen Caudae.

    Man findet die Art, vermutlich wegen ihrer Komplexität, nur an altem Dung bzw. nach längerer Reifung in Feuchter Kammer.

    Mit Abstand am häufigsten fand ich die Art bisher an Pferdedung, gelegentlich auch an Rinderdung. Sowie je einmal an Schaf- und Hirschlosung.


    Ich kenne sowohl "kleinsporige" Aufsammlungen (Sporen 40-54 x 23-30 µm) als auch solche mit Sporen bis 65 x 28 µm.

    Gerade bei den großsporigen "Podosporas" ist die Sporengröße offensichtlich recht variabel.


    Schön, dass Du an den Dungi-Fungis dranbleibst!


    LG, Nobi

    Hier geht es zu meinen Themen.

    -------------------------------------------------------------------------------------------------------------------------------------------------------------------------------------------------------

    Chips: 72

  • Hallo Nobi,


    wieder einmal vielen Dank für dein Feedback zu deinem Fund. Mit so einem geduldigen und erfahrenen Mentor in der Hinterhand macht es Spaß, sich immer weiter mit den kleinen Dungi-Fungis zu befassen.


    Was genau meinst du mit der Komplexität von P. intestinacea? Daß es sich um eine relativ großsporige Art handelt, die entsprechend Zeit braucht um ihre Fruchtkörper hervorzubringen? Und heißt es im Umkehrschluß auch, daß ich nach P. intestinacea nicht mehr mit vielen weiteren Arten rechnen sollte?


    Björn