Inocybe spec.

Es gibt 2 Antworten in diesem Thema, welches 1.991 mal aufgerufen wurde. Der letzte Beitrag () ist von Sebastian_RLP.

  • Hallo zusammen,


    anbei eine Inocybe. Mit der Bestimmung tue ich mich schwer. Von den Merkmalen wäre ich bei der UG inocybe (Glattsporer).


    Leider waren die Fruchtkörper nicht mehr ganz frisch, als ich sie bekommen habe. Auch zu Begleitbäumen kann ich leider nichts sagen.


    Der größte FK ist etwa 6cm groß. Der Hut ist hellgrau, in der Mitte zart bräunlich (alt?).


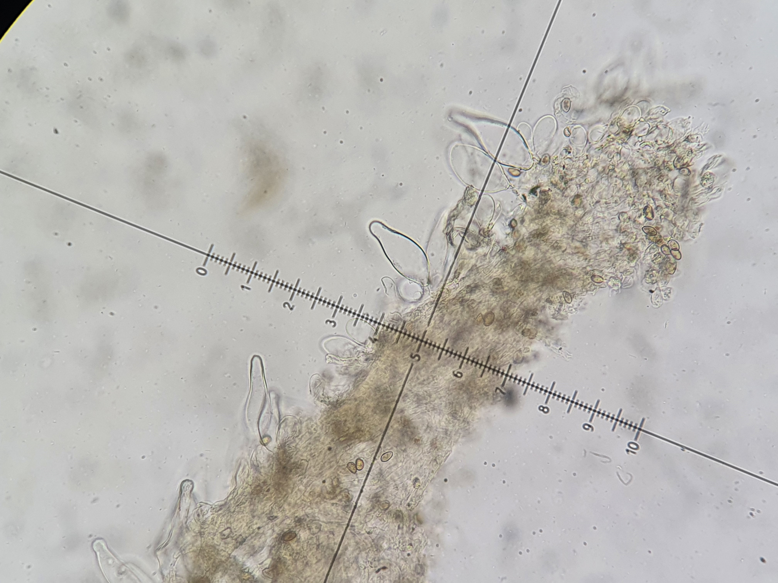
    Die Sporen sind glatt. 8x4,5. Spannend sind Cheilo und Pleurozystiden. Beide zahlreich. Häufig nicht beschopft. Vereinzelt mit kristallschopf, selten sehr ausgeprägt. Viel häufiger glatt. Cheilos sehr variabel in Länge und Breite. Am Fuss Schnallen.

    Auch Kaulos sehr variabel: zylindrisch, fusiform, teils septiert(?) bzw. Zweiteilig. Kaulos bis etwa Stielmitte.


    Geruch nach Reiben deutlich spermatisch.


    Ich hoffe trotz fehlender Angaben können die Experten vielleicht genaueres sagen Ditte  Climbingfreak


    LG Sebastian


    Cheilos


    Pleurozystiden: Wurzeln in Trama


    Kaulozystiden



    Fruchtkörper

  • Grüß dich, Sebastian, das dürfte schlicht Inocybe sindonia sein. Längliche Zystiden, recht kleine schmale Sporen, heller Hut. Plus Jahreszeit. Passt alles zusammen.

    Bei Fichte?

    Herzlich Ditte

  • Ach, den hatte ich tatsächlich im Auge, allerdings war ich mir sehr unsicher wegen der Färbung der Stielspitze. Aber die Fruchtkörper sind leider auch schon etwas älter gewesen. Super, das freut mich jetzt. Da werden auch bei Ludwig diese unterschiedlichsten Zystiden nämlich genauso beschrieben. Toll. Danke.


    Die Begleitbäume kann ich leider nicht sagen, da ich den Pilz nicht selber gefunden, sondern gebracht bekommen habe. Ich höre aber nochmal nach, ob der Überbringer sich erinnert.


    LG Sebastian