Hallo zusammen,
am Samstag war ich im Rotbachtal unterwegs in der Hoffnung, daß dort nach dem Regen der letzten Woche die Pilze nur so sprießen würden. Das war jetzt nicht unbedingt der Fall, aber ein paar nette Funde gab es dann doch:
1. Puccinia difformis ex Galium aparine. Auf der Phytotagung hatte mir Jule noch gesagt, daß es sich lohnt, einen Blick auf Galium aparine zu werfen, wenn das am Wegrand meterhoch wuchert. Und in der Tat fand sich der Rost dann mit einem Griff.
2. Pucciniastrum circaeae ex Circaea lutetiana
3. Maramius rotula
4. Chlorociboria aeruginascens
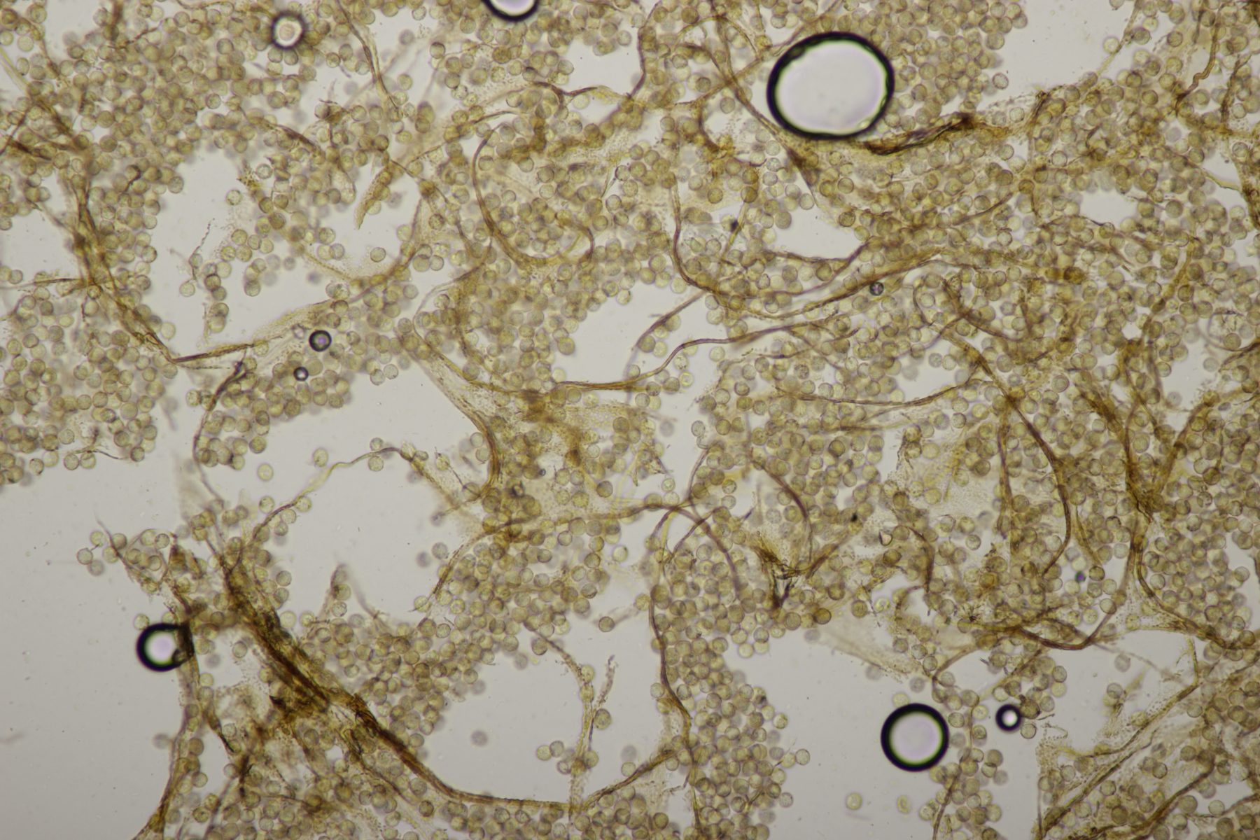
5. Tylopilus felleus
Huthaut
Röhren
Sporen
6. Fuligo septica agg.
7. Ein Schleimpilz auf Nadelholz, wo die Sporen nur zur Hälfte ornamentiert waren
8. Fuligo septica agg.
9. Ein Filzröhrling unter Buchen. Rote Punkte waren leider keine zu finden. Das Schnittbild entstand direkt nach dem Schnitt aber auch nach 10 Minuten war keine Verfärbung zu erkennen.
Huthaut
Sporen
Röhren
10. Russula violeipes: Huthaut
11. Cantharellus cibarius
12. Amanita rubescens
13. Uromyces rumicis ex Rumex obtusifolius
Rumexfrüchte sind schon sehr fotogen!
Björn
