Exidiopsis sp.
- Maren
- Erledigt
Es gibt 8 Antworten in diesem Thema, welches 5.359 mal aufgerufen wurde. Der letzte Beitrag () ist von Maren.
-
-
Hallo, Maren!
Trotz der Farbe würde ich da wohl Exidiopsis effusa anpeilen. Wenn nicht frisch, dann ist die halt auch nicht immer schön rosa. Sporen dürften so einigermaßen passen, wobei das Umfeld dieser Gattung ((und auch die Arten der Gattung selbst) meines Wissens einigermaßen schlecht aufgelöst sind. Soll heißen: Da scheint es einiges zu geben, was nicht wirklcih solide definiert ist, und teilweise ist wohl auch nicht ganz klar, welche morphologischen Merkmale wie viel Aussagekraft besitzen.
Außer Stückwerk (Einzelveröffentlichungen, kaum wirklich zusammenhängende Studien) gibt es da meines Wissens keine belastbare Überarbeitung neueren Datums.
Was ein grund wäre, warum ich von den Heterobasidiomyceten aus der Gruppe nach einigen unbefriedigenden erfahrungen derzeit die Finger lasse.
LG, Pablo.
-
Danke dir Pablo, wenn man die Farbe ignoriert, kommt effusa tatsächlich in Betracht.
Die Gruppe ist wirklich schlecht bearbeitet, es gibt wenig Schlüssel und auch keine zufriedenstellende Literatur.
Gruß, Maren
-
Hallo Maren!
Ich hätte Zweifel, dass der Fruchtkörper auf Bild 1 dazugehört. Hast du die auch unter dem Mikro gehabt?
VG Ingo W
-
Hallo Ingo,
das war der gleiche Zweig, aber bisher hatte ich sie noch nicht unterm Mikro. Ich schau aber noch mal, jetzt wo du es sagst ...
Gruß, Maren
-
Servus Maren,
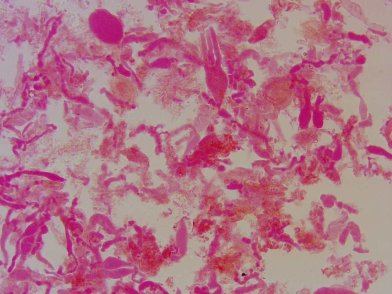
ich meine, Zystiden zu erkennen. Du solltest sowas m.M.n. lieber erstmal in Wasser anschauen und nicht so extrem quetschen. So gehen die Zusammenhänge verloren.Exidiopsis effusa kann ich mir hier gar nicht vorstellen. Die Farbe passt nicht, die Fruchtkörperdicke passt nicht, die Zystiden passen nicht... die Frage ist, ob Dikaryophysen auftreten, wie dieses aussehen, ob der Stiel der jungen Basidien später noch ein Septum bekommt, sodass die Hypobasidien dann sitzen, ob die Zystiden farblos sind oder leicht gelblich gefüllt.
So kann ich aber leider aus der Ferne nicht helfen. Falls du einen Beleg hast, kann ich ihn mir gerne ansehen. Im Moment bin ich aber dabei, Altlasten aufzuarbeiten, da bei mir einiges liegengeblieben ist (ich wollte im Winter vieles machen, musste dann aber erstmal pausieren). Falls Interesse besteht, würde ich dir im Laufe des Frühlings Bescheid geben - dann könnte ich das Ding ausführlich analysieren.
Liebe Grüße,
Christoph
-
Hallo Christoph,
vielen Dank für das Angebot , das ich gerne annehme. Ich habe einen ähnlichen oder den gleichen Pilz am letzten Wochenende in einer ganz anderen Ecke von Schleswig-Holstein wiedergefunden und stehe mit dem gleichen Problem da.
Liebe Grüße
Maren
-
Servus Maren,
super, da freue ich mich schon. Ich gebe dir Bescheid, wenn ich wieder richtig Zeit habe. Zum Glück geht uns das ja nicht laufen - gut, dass man Pilze trocknen kann.


Liebe Grüße,
Christoph
-
Die Pilze sind unterwegs ... dankeLiebe Grüße
Maren
