Servus beinand,
ich habe mich heute das allererste Mal an die Gattung Thelebolus herangewagt, da in meiner Kartierungsfläche in Rothschwaig Hasenköttel lagen - und ich auf einem mit der Lupe etwas sehen konnte...
Ich fand rötlichbraune und fast schwarze Kügelchen, die an der Substratoberfläche (rötlichbraun) bzw. teils etwas eingesenkt waren (schwärzlich):
Ich fange mit dem rotbräunlichen Pilz (Thelebolus 01) an:
Sporen (gemessen 10 Stück in den Asci): 7,0-7,7-8,5 x 3,75-4,1-4,25 µm (auf Viertelmikrometer gerundet); Q = 1,6-1,87-2,1; Sporen farblos-hyalin, glatt, ohne auffallenden Inhalt.
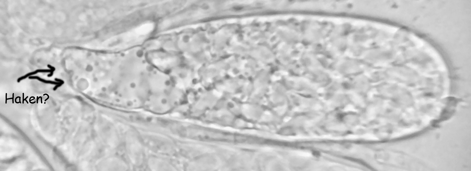
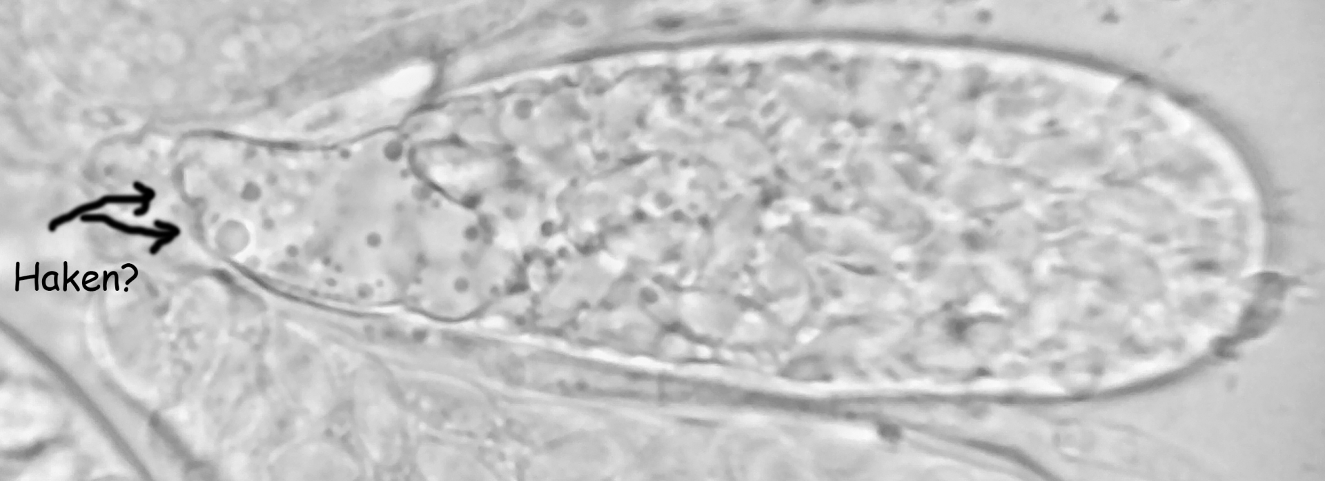
Asci mehr als 10 (14 habe ich gezählt in einem Fruchtkörper), 64-sporig (konnte man gut zählen), ca. 70-80 x 19-25 µm, ohne Apikalapparat, Wand erkennbar dickwandig, Asci iodnegativ; Ascusbasis eventuell mit Haken?!
Excipulum etwas puzzleartig, Zellen bis ca. 8 µm Durchmesser.
Geschlüsselt habe ich mit Doveri (2007): An updated key to coprophilous Pezizales and Thelebolales in Italy. Mycol. Monten. X: 55-82.
Ich habe leider keine Spezialliteratur - falls jemand Litaretur für mich hätte, wäre ich ein dankbarer Abnehmer.
Jedenfalls komme ich anhand der 64-sporigen Asci auf Thelebolus crustaceus. Was mich stört, sind die Sporen, die zu groß sind - Doveri (2007) gibt an: "Asci 64-spored, 50-70 x 20-30 μm. Spores 5.5-7 x 3.5-4.5 μm."
Die Asci meiner Kollektion sind länger (gut, nur etwas), aber die Sporen sind zu groß. Jetzt ist das nur ein Schlüssel über italienische Arten, aber Rothschwaig ist wärmebegünstigt mund rechtz trocken (das Mikroklima dort - es ist ein Magerrasen auf Kalk, sehr gut drainiert und die Sonne kann reinknallen). Jedenfalls bin ich für kritische Anmerkungen / Bestimmungshinweise dankbar.
Ich dachte erst, die dunkleren Fruchtkörper seien ältere, aber nein, da sehen die Asci ganz anders aus, fast kugelig... Also: Thelebolus 02
Asci ca. 59-70 x 55-59, vermutlich 512-sporig (jedenfalls deutlich mehr als 200 / 300, aber sicher weniger als 1000); Asci sehr deutlich dickwandig (sieht aus, als wären es zwei Wandschichten); kein Apikalapparat (wie bei Thelebolus 01); ein Ascus pro Fruchtkörper
Sporen ca. 5,5-6,25 x 2,75-3,0 µm; Q = 1,8-2,2; (war schwer zu messen, da zu viele im Ascus übereinander/untereinander, aber keine Sporen frei)
Excipulum:
Ich komme eigentlich wegen der fast kugeligen Asci, der kleinen Sporen und den einzelnen Asci auf Thelebolus stercoreus, aber da widersprechen sich die Literaturangaben von über 2000 Sporen und riesigen Asci (Doveri 2007) und teils Asci nur 256-sporig und klein, ellipsoid bis über 2000-sporig und groß (de Hoog et al. 2005 - Evolution, taxonomy and ecology of the genus Thelebolus in Antarctica. Studies in Mycology 51: 33–76. 2005). Letzteres ist für mich kaum greifbar - es scheint ein extrem variables Taxon zu sein. Jedenfalls schwimme ich hier extrem.
Auch hier wäre ich für Hilfe dankbar...
Wie gesagt: beide zusammen an Hasenkot (ich habe einen potentiellen Dunggeber auch in der Fläche erwischt...).
LG
Christoph
P.S.: sorry für die schlechte Bildqualität - ich muss per Handy durchs Okular knipsen, da ich im Moment keine andere Möglichkeit habe. Sonst zeichne ich immer, nur ersticke ich gerade in Pilzen... es wächst sooooo viel (nicht nur an Dung)
