Dieser porling denke ich wuchs am Nadelholz und roch fruchtig aromatisch. Hättet ihr eine Idee dazu weil das Warten aufs mikro ist echt hart lg.
Roter porling
- Cognacmeister
- Erledigt
Es gibt 25 Antworten in diesem Thema, welches 3.099 mal aufgerufen wurde. Der letzte Beitrag () ist von Cognacmeister.
-
-
Hi!
Bei diesen Farben... vergleiche mit Rhodonia placenta (nur Vermutung).Rosafarbener Saftporling – Wikipediade.wikipedia.org -
Hi!
Bei diesen Farben... vergleiche mit Rhodonia placenta (nur Vermutung).Is Handy is net so optimal is erste bild is die original Farbe is wirklich immer schwierig mit dei telefonm
-
Hi,
Wenn das 1. Bild die Originalfarbe abbildet, dann würde ich Auriporia aurulenta in den Ring werfen wollen. Ich hatte die Art schon Mal in der Hand und sie war genau so knall orange wie auf dem Bild.
l.g.
Stefan
-
Alles anzeigen
Hi,
Wenn das 1. Bild die Originalfarbe abbildet, dann würde ich Auriporia aurulenta in den Ring werfen wollen. Ich hatte die Art schon Mal in der Hand und sie war genau so knall orange wie auf dem Bild.
l.g.
Stefan
Jop des schaut net bled aus 😀 sorry für deis kack phone.
-
Alles anzeigen
Hi,
Wenn das 1. Bild die Originalfarbe abbildet, dann würde ich Auriporia aurulenta in den Ring werfen wollen. Ich hatte die Art schon Mal in der Hand und sie war genau so knall orange wie auf dem Bild.
l.g.
Stefan
Lass Mi raten diesmal kann I es nur mikroskopisch belegen.
-
Hi,
ja einerseits, wenn allerdings sich ein Experte eine Bestimmung per Bild zutraut, dann nicht.
Tomentella darf ich um deine Einschätzung bitten?
l.g.
Stefan
-
Zitat
Tomentella darf ich um deine Einschätzung bitten?Um alle Zweifel auszuräumen, würde ich hier mirkroskopieren.
LG
Frank
-
Alles anzeigenZitat
Tomentella darf ich um deine Einschätzung bitten?Um alle Zweifel auszuräumen, würde ich hier mirkroskopieren.
LG
Frank
Am Samstag sollt is mikro da sein Dan mach den als erstes danke
-
Alles anzeigenZitat
Tomentella darf ich um deine Einschätzung bitten?Um alle Zweifel auszuräumen, würde ich hier mirkroskopieren.
LG
Frank
Hast du hier eine Meinung dazu oder ist das eher nichts i dumpfbacke hab den eingefroren gehabt.
-
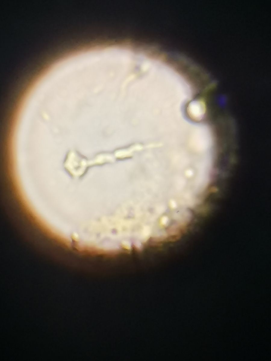
Hallo Cognacmeister,
auf deinen Bildern sieht man leider keine einzige pilzliche Struktur. Das ist alles nur Holz und Dreck.
Björn
-
Hallo Cognacmeister,
auf deinen Bildern sieht man leider keine einzige pilzliche Struktur. Das ist alles nur Holz und Dreck.
Björn
Ich würde hier jetzt bei Auriporia aurulenta sein aber i bin nur am anfang
-
Hallo Cognacmeister,
auf deinen Bildern sieht man leider keine einzige pilzliche Struktur. Das ist alles nur Holz und Dreck.
Björn
I glaub an Auriporia aurulenta aber nur glauben lg.
-
Alles anzeigen
Hi,
Wenn das 1. Bild die Originalfarbe abbildet, dann würde ich Auriporia aurulenta in den Ring werfen wollen. Ich hatte die Art schon Mal in der Hand und sie war genau so knall orange wie auf dem Bild.
l.g.
Stefan
I hab a bisel was hinzugefügt möchtest du ein wenig ein Auge daraufwerfen lg bitte die Kamera kommt bald.
-
Hallo Cognacmeister,
was du mit dem Mikroskop veranstaltest, hat alles weder Hand noch Fuß (und das hat nichts damit zu tun, daß deine Kamera noch nicht da ist). Du hast offenbar ein Präparat angefertigt, wo mehr oder weniger zufällig irgendetwas unter dem Mikroskop gelandet ist. Davon machst du dann teilweise 8 mal das mehr oder weniger gleiche Bild, was keinerlei zusätzlichen Erkenntnisgewinn bringt.
Ich würde dir dringend raten, daß du entweder einen Mikroskopierkurs besuchst oder erstmal einen für dich makroskopisch eindeutig bestimmbaren Pilz nimmst und dort dann gezielt Ausschau nach Sporen, Basidien, Zystiden etc. hältst um überhaupt erstmal ein Gespür fürs Mikroskopieren zu entwickeln.
Björn
-
GriasDi Cognac,
der Björn hat vollkommen recht.
Dein Wille und Dein Engagement ist einfach nur beeindruckend!
Aber gerade deshalb solltest Du nicht so viel Energie als "Einzelkämpfer" verschwenden.
Schließ Dich einem Pilzkundlichen Arbeitskreis, oder direkt einem Pilzkundeverein an, mach mal einen Mikroskopierkurs, und Du kommst viel schneller weiter, gerade bei Deinem Engagement, das Du zeigst.
An liabn Gruaß
Werner
-
Alles anzeigen
GriasDi Cognac,
der Björn hat vollkommen recht.
Dein Wille und Dein Engagement ist einfach nur beeindruckend!
Aber gerade deshalb solltest Du nicht so viel Energie als "Einzelkämpfer" verschwenden.
Schließ Dich einem Pilzkundlichen Arbeitskreis, oder direkt einem Pilzkundeverein an, mach mal einen Mikroskopierkurs, und Du kommst viel schneller weiter, gerade bei Deinem Engagement, das Du zeigst.
An liabn Gruaß
Werner
Danke endlich mal aufmunternde Worte aber hier in der Umgebung wird nicht viel für mich übrig sein leider also selber lernen lg.
-
Guten Tag,
ich finde Mikroskopieren schwer, vor allem am Anfang (da bin ich mehr oder weniger immer noch). Man sieht irgendetwas, weiß aber nicht, was es ist.
Ich habe es erhellend gefunden, eine dünne Scheiben vom Hut quer zu den Blättern abzuschneiden. Diese Scheibe sieht dann wie ein Kamm aus, wobei oben die durchgehende Huthaut ist und unten die abgesäbelten Lamellen hängen. Jetzt kann man sich das bei niedrigen Vergrößerungen anschauen und Schritt für Schritt stärker vergrößern.
Der Vorteil ist: man kann sich orientieren. Man weiß, was Huthaut, Hutfleisch, Lamellenfläche und Blattschneide ist. Ab welcher Vergrößerung sieht man Basidien? Sieht man die Sterigmen? Wieviele Sporen sitzen auf den Ständerzellen? Gibt es Zystiden? Wo?
Für gute Mikrobilder ist das nicht so gut, weil man viel zu viel Material auf dem Objektträger hat (man kriegt vielleicht nicht mal ein Deckgläschen draufgedrückt, ohne es zu zerbrechen). Aber zum Orientieren fand ich es nützlich.
Sporen sollte man am Anfang vor allem als Sporenabwurfpräparat mikroskopieren. Da erkennt man durch das sich wiederholende Muster klar, was die Sporen sind. Wie oft habe ich schon Luftbläschen oder Dreck für Sporen gehalten?!
Im Tintling gab es eine Serie übers Mikroskopieren: http://tintling.com/literatur/pilzbuecher_31.html. Außerdem gibt es Bücher über Pilzmikroskopie. Ehrlichgesagt bin ich mit dem allem nicht so ganz gut zurechtgekommen. Das Buch von Erb und Matheis zeigt vor allem, was man sehen kann (und ist damit schon nützlich!), aber mir wären am Anfang Schritt-für-Schritt-Anleitungen lieber gewesen, und die bietet es nicht.
Die Bemerkungen der erfahrenen Forenmitglieder, wenn man mal wieder ein mieses Bild reingestellt hat, sind schmerzhaft, aber ohne ehrliche Rückmeldung macht man nie Fortschritte.
Viel Erfolg, viel Geduld und viel Freude!

Benjamin
-
Danke endlich mal aufmunternde Worte aber hier in der Umgebung wird nicht viel für mich übrig sein leider also selber lernen lg.
Alle Pilzschulen bieten Mikroskopiekurse an, in der Regel im pilzarmen Frühjahr. 4..5 Tage im Harz, Thüringen oder Schwarzwald sind gut investiert, weil man eben in sehr kurzer Zeit sehr viel lernt. Dafür kann man auch mal diverse hundert Km fahren.
-
Ohjeeeee ceriporia melitta
-
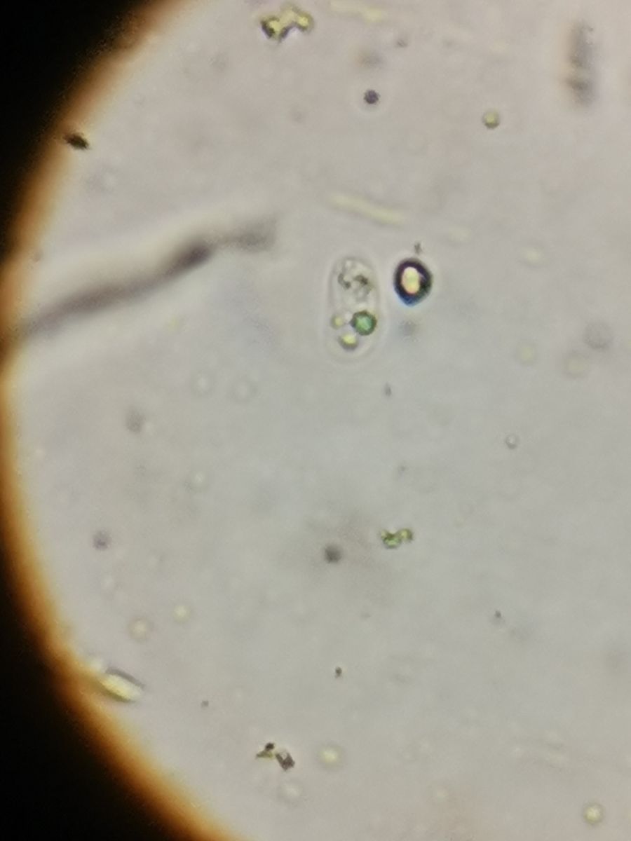
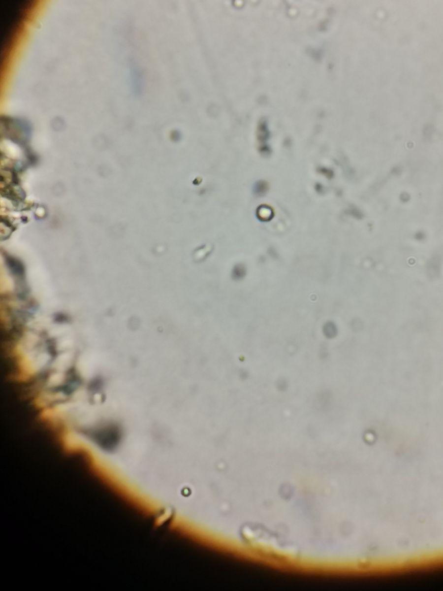
Hallo Cognacmeister,
auf deinen Mikrobildern kann ich leider auch nichts erkennen.
LG
Frank
-
Alles anzeigen
Hallo Cognacmeister,
auf deinen Mikrobildern kann ich leider auch nichts erkennen.
LG
Frank
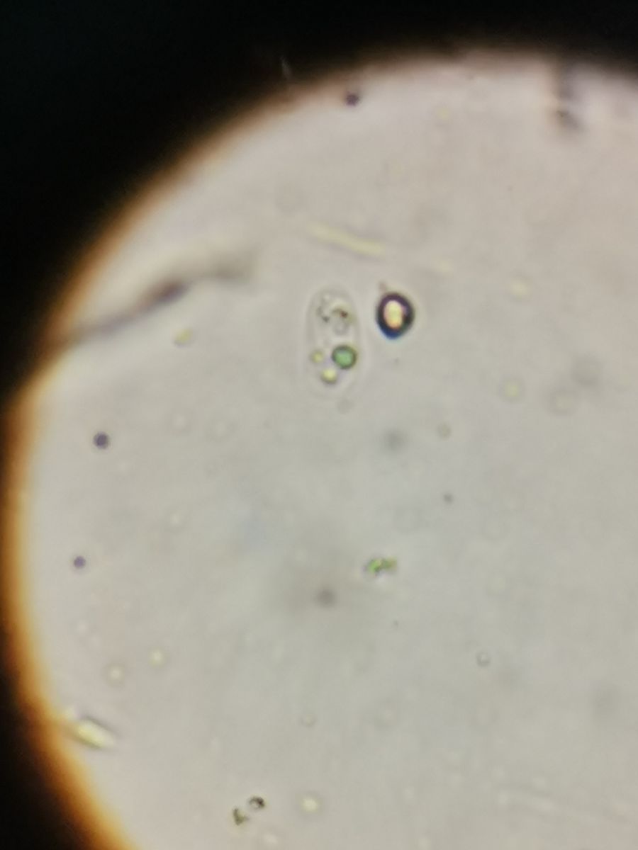
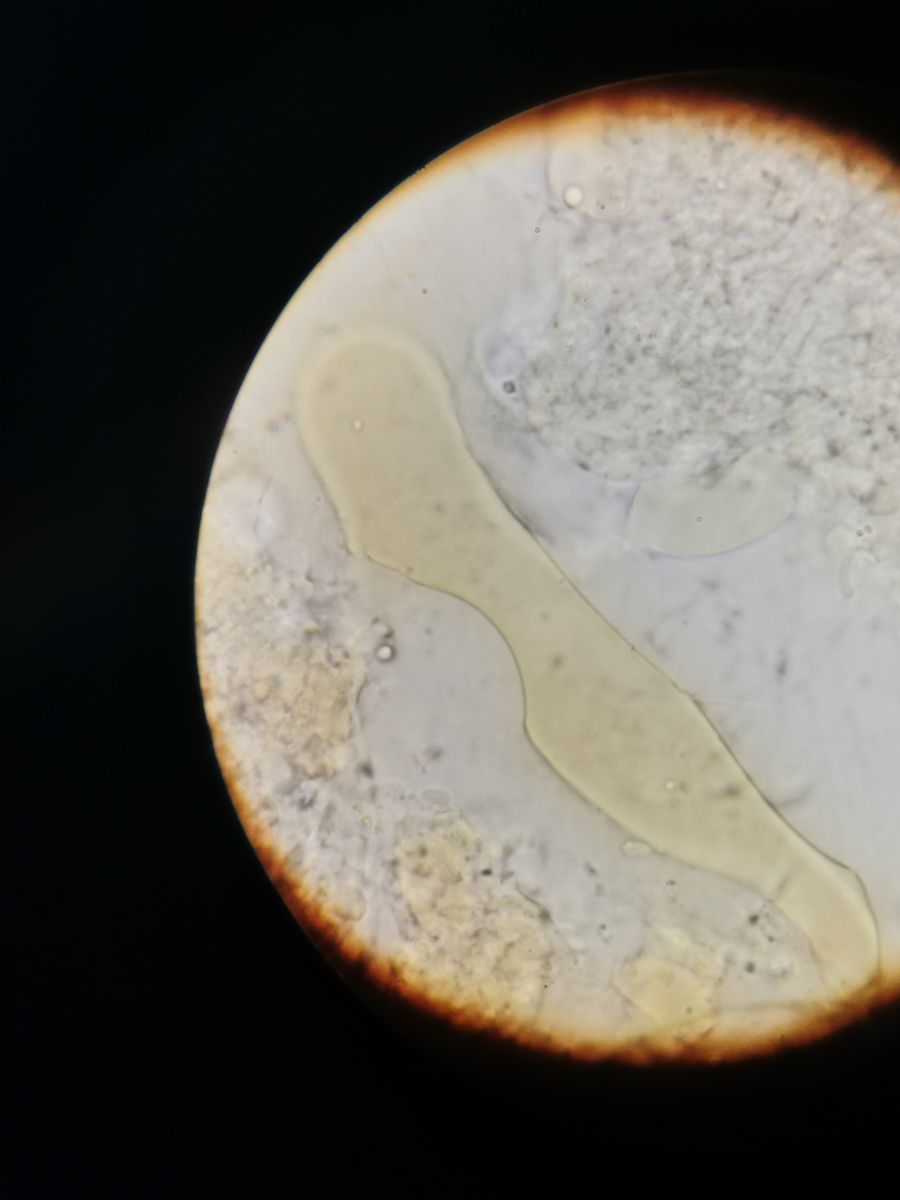
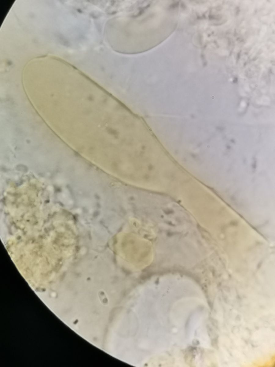
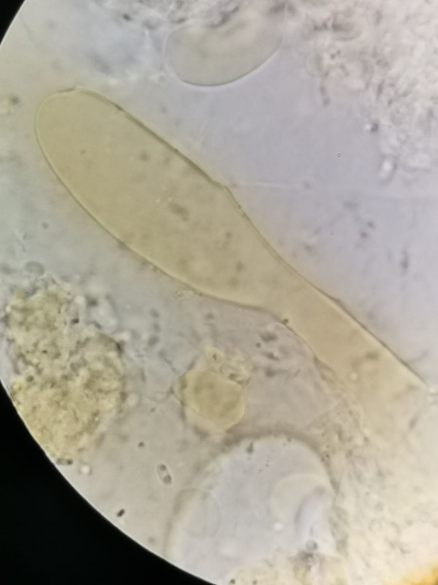
Jo passt e I muss des nochmal anständig machen. I sag mal I hab koh darauf gemacht zuerst is weinrot geworden und danach ist es gleich kollabiert. Und das eine Bild hier ist von diesem forum inklusive meiner koh Reaktion führt mich dorthin lg. Bis jetzt mal 😊
-
Hallo Cognacmeister,
auf deinen Mikrofotos kann ich nichts von einer Ceriporia erkennen. Das "Gelbliche" scheint eher eine Ölblase zu sein.
Folgende Gattungen enthalten Arten, die mit KOH rot bis violett werden (nur zur Info

Aurantiporus
Aurificaria
Auriporia
Ceriporia
Ceriporiopsis
Flaviporus
Globifomes
Hapalopilus
Perenniporia
Piloporia
Pycnoporellus
Pyrofomes
Skeletocutis
Tyromyces
LG
Frank
-
Alles anzeigen
Hallo Cognacmeister,
auf deinen Mikrofotos kann ich nichts von einer Ceriporia erkennen. Das "Gelbliche" scheint eher eine Ölblase zu sein.
Folgende Gattungen enthalten Arten, die mit KOH rot bis violett werden (nur zur Info

Aurantiporus
Aurificaria
Auriporia
Ceriporia
Ceriporiopsis
Flaviporus
Globifomes
Hapalopilus
Perenniporia
Piloporia
Pycnoporellus
Pyrofomes
Skeletocutis
Tyromyces
LG
Frank
Und kollabieren auch. Wie gesagt muss i neu machen laut deiner Expertise lg für die Infos hast du irgendwas zu melitta irgendwo lg bitte
-
