Hallo zusammen,
auch wenn ich ja durchaus öfter mal in der Eifel unterwegs bin, hatte ich es bis jetzt nie geschafft mal zur Wiesenpilzzeit dort eine Runde zu drehen. Das hat sich letzten Sonntag geändert. Morgens ging es früh um 6 aus dem Haus und mit der DB ganz bequem bis in die Eifel, wo ich dann geschlagene drei Stunden auf einer Wiese zubrachte, bevor es dann mit vollem Sortimentsköfferchen wieder zurück nach Duisburg ging.
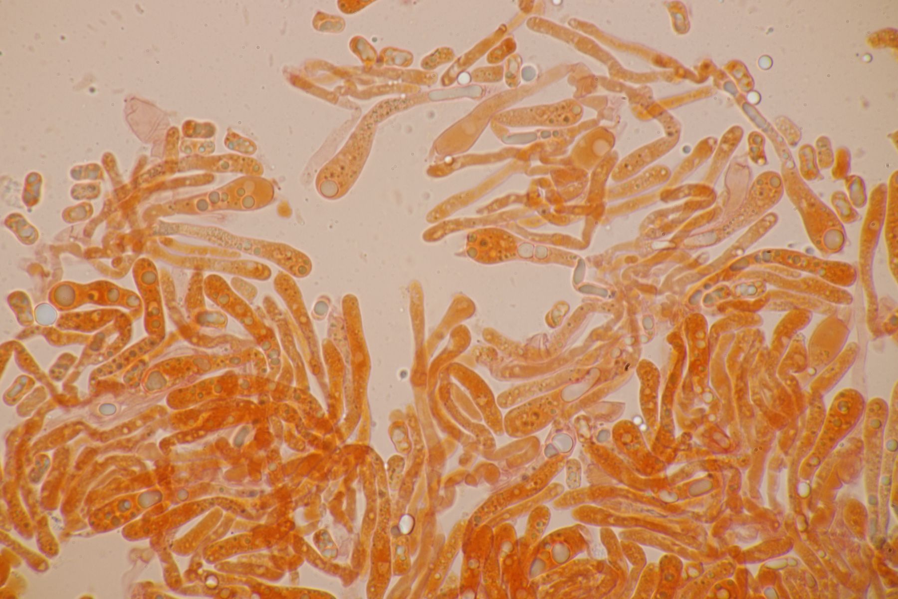
1. Melampsoridium betulinum ex Betula sp.
2. Am Straßenrand auf dem Weg zur Wiese: Bolbitius titubans
3. Coprinus comatus
4. Cuphophyllus virgineus
5. Cystoderma amianthinum
6. Schleimiger Hut, langzellige Lamellentrama, Sporenmaße 7.8+-0.4 µm x 4.7+-0.3 µm, Q=1.6+-0.1, 6.8-8.6 µm x 4.3-5.3 µm, Q=1.4-1.8, Stielspitze z.T. schwach bereift bringt mich zu Hygrocybe chlorophana
7. Hygrocybe coccinea
8. Entoloma porphyrophaeum
9. Hier stehe ich auf dem Schlauch: Eigentlich sieht das ja schon nach einer Lepista aus, aber die Sporen sind im Abwurf rein weiß, weder amyloid noch dextrinoid und mikroskopisch auch in BWB glatt.
10. Gliophorus psittacinus
11. Cuphophyllus pratensis
12. Gliophorus irrigatus
13. Entoloma conferendum
14. Ramariopsis robusta
15. Nochmal Hygrocybe coccinea
16. Mit Wanzengeruch: Hygrocybe quieta
17. Leider nur ein Einzelexemplar: Hygrocybe punicea
18. Im angrenzenden Fichtenwald Hygrophorus pustulatus
19. Chromocyphella muscicola
20. Daedaleopsis confragosa
21. Irgendwie wirken mir diese Teile viel zu kräftig und stämmig für Cuphophyllus virgineus und auch der spitz gebuckelte Hut will nicht so recht passen. Kann das Cuphophyllus fornicatus sein?
Björn
