Hallo liebe Foris,
innerhalb von einer Woche (Sonntag und Donnerstag) hatte ich die Gelegenheit, ein tolles Gebiet zu begehen.
Das Gebiet ist durchzogen von feuchten Gräben und einer hohen Schlucht, in der ein Bächlein fließt.
Das Mikroklima ist feucht und kühl.
Asbald zeigten sich die ersten Pilze...
Sonntag
1) Leotia lubrica mit Befall
2) Helvella elastica
3) Helvella macropus
4) Roridomyces roridus
5) Adelphella babingtonii
6) Und das Highlight des Tages - Clavaria rosea!
Angespornt vom Fund der Clavaria fuhr ich am Donnerstag noch einmal da hin. Trotz der 28 Grad war es im Wald angenehm kühl, nur die Mücken extrem lästig.
Auf allen Vieren, schlammig von Kopf bis Fuß suchte ich die matschigen Wegränder und Böschungen ab.
Da wird man schonmal von neugierigen Spaziergängen beäugt und gefragt, was man denn da tue.
Zu Antworten, "Ich habe meinen Verstand verloren und suche ihn gerade. Wollen Sie suchen helfen?" fand wohl nur ich so witzig.
Donnerstag
7) Geoglossum umbratile
8) Direkt zwischen den Geoglossum diese Clavaria, die ich nach Franchi & Marchetti als Clavaria californica geschlüsselt habe.
Weiße FK mit stacheligen Sporen hat sonst nur Clavaria aculeata, hier sind die Stacheln aber viel länger.
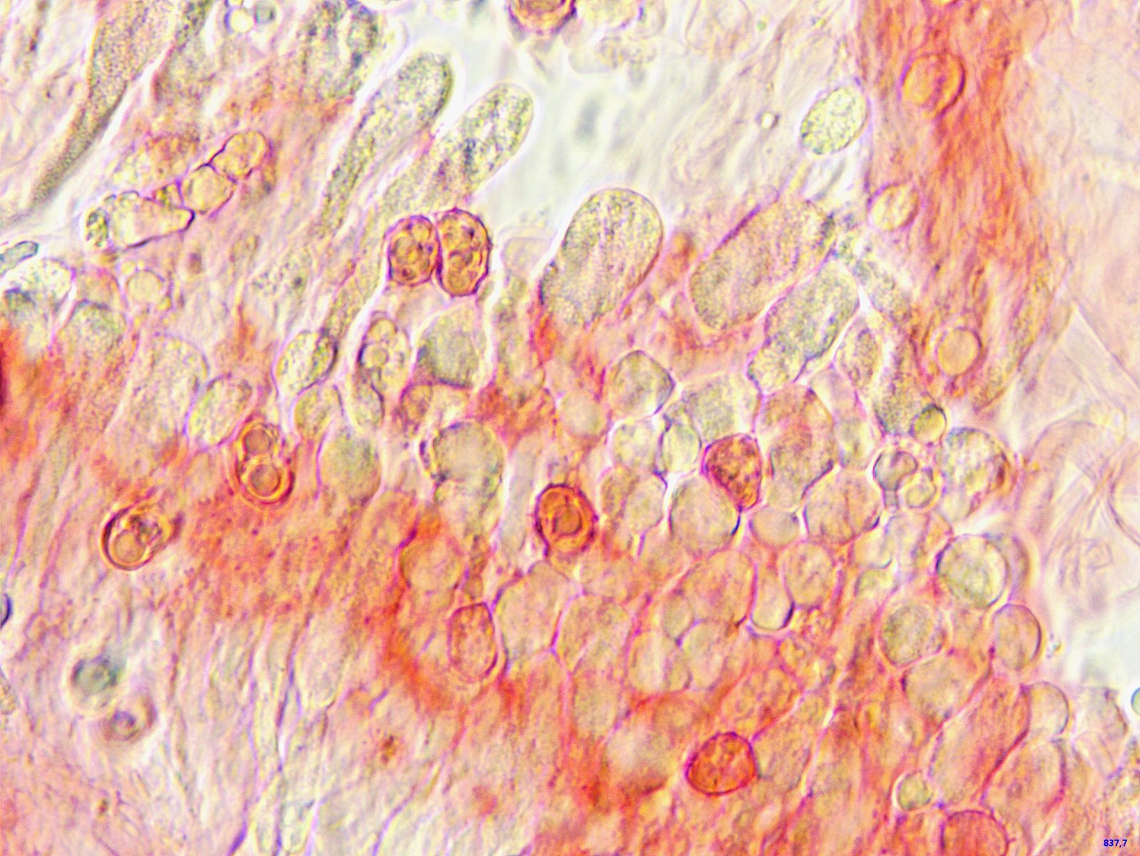
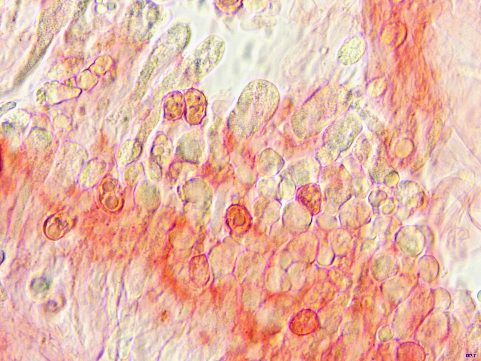
Befallsbild:
9) Einen halben Meter darunter: Clavaria flavipes, det. Karl Wehr.
Offenkundig sind diese mit irgendetwas befallen, das diese Sporen produziert. Kugelrund, um 20 Mikrometer Durchmesser.
Das Präparat wirkte gelatinös, keine Basidien oder Sporen zu finden.
Vielleicht findet sich ja jemand, der diesen Befall kennt.
10) An einem kleinen Rinnsal mit Ahorn, Clavaria falcata.
An CHEGD-Fungi zähle ich (nicht alles fotografiert) also:
Hygrocybe conica s.l.
Entoloma incanum
Entoloma incarnatofuscescens
Clavaria rosea
Clavaria californica
Clavaria flavipes
Geoglossum umbratile
Ich werde auf jeden Fall den Wald weiter beobachten und ihn dieses Jahr noch mehrmals besuchen, auch wenn er 2h von mir entfernt ist. Ich habe aber Familie nur 10 Minuten entfernt!
11) Ionopezia ionella
12) Paragalactinia succosa
13) Paragalactinia michelii
14) Hier habe ich Peziza depressa im Sinn, bin mir aber nicht sicher.
15) Geopora cervina
16) Hier vermute ich Helvella ephippium, die habe ich aber noch nicht geschlüsselt, genau wie die nachfolgene Art.
17) Helvella sp.
Nicht hier aufgezählt sind außerdem zahlreiche Leistlinge, Cortinarien und noch ein paar alltägliche Ascos, wie Humaria.
Das würde den Rahmen sprengen.
Ich hoffe es war Interessantes für euch dabei,
LG
Elisabeth
