Halde Hoppenbruch 13.11.2022

Es gibt 11 Antworten in diesem Thema, welches 2.262 mal aufgerufen wurde. Der letzte Beitrag () ist von boccaccio.

  • Hallo zusammen,


    am letzten Sonntag ging es mit dem APR beim strahlendem Sonnenschein zu einer Exkursion auf die Halde Hoppenbruch. Das Wetter hatte auch etliche Neulinge angelockt, so daß wir mit geschätzt 25 Leuten loszogen. Aber neben vielen Teilnehmer:innen gab es auch etliche Pilze:


    1. Puccinia phyllostachydis ex Phyllostachys sp. Der einzige bekannte Fundort dieses Pilzes, der an den septierten Paraphysen der Uredien gut erkennbar ist.


    2. Tomentella bryophila, leicht kenntlich am amyloiden Apikulus


    3. Lindtneria panphyliensis (oder eben L. bryophila, wenn man beides zu einer Art zusammenwirft)


    4. Phallus impudicus


    5. Hypomyces stephanomatis an Geoglossum cookeanum. Normalerweise ist der Pilz an Humaria zu finden.


    6. Geoglossum cookeanum


    7. Eine Helvella... früher hätte man einfach H. lacunosa dazugesagt.


    8. Erysiphe syringae-japonicae ex Ligustrum vulgaris


    9. Helvella crispa


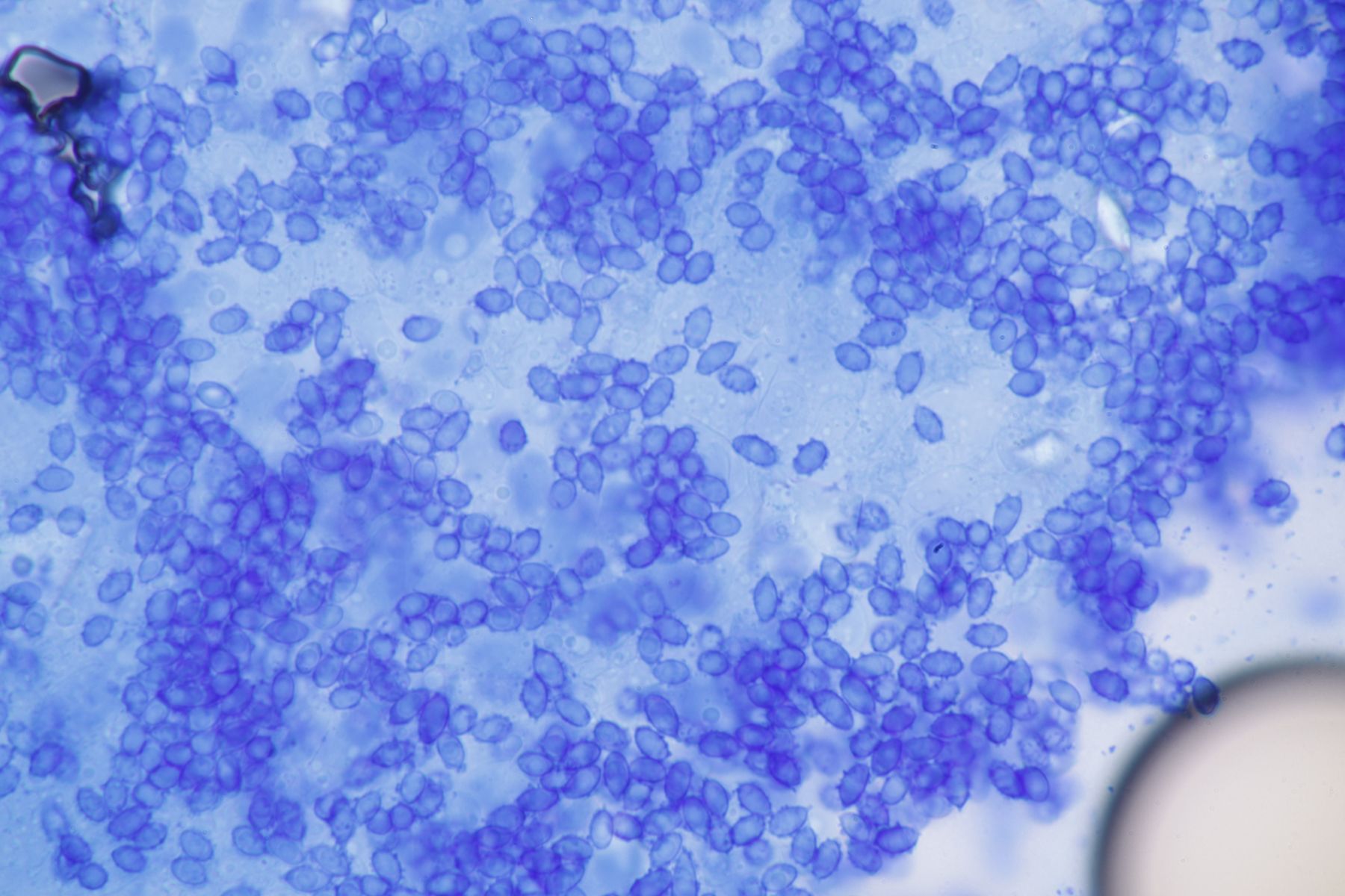
    10. Hier haben wir im Feld gerätselt, was das für seltsame Stäublinge sein mögen. Mikroskopisch zeigte sich dann ein Capillitium ohne Poren und Septen, mit Paracapillitium untermischt, dazu praktisch glatte Sporen ohne Pedicel von 3,1-3,8 µm Durchmesser. Also Apioperdon pyriforme.


    11. Eine Teilnehmerin fand dann diesen Käfer mit Beauvaria bassiana


    12. Sawadaea bicornis ex Acer pseudoplatanus für Tuppie


    13. Mytilinidion decipiens


    Björn

  • Hallo Björn,

    Eine Helvella... früher hätte man einfach H. lacunosa dazugesagt.

    das einzige was mich hier stört ist der extrem helle Stiel. Die sieht aus wie eine Kreuzung aus H. lacunosa und H. crispa. Nennen wir sie einfach Helvella crispanosa g:D .


    VG Jörg

  • Hi Björn, dann sind sie für H. lacunosa sStr zu breit und ich würde (nach Skrede 2020 wie drüben erwähnt) H. fuscolacunosa auch in Betracht ziehen. Mit der Farbinterpretation des Hymeniums tue ich schwer und habe zudem das Gefühl dass die Farbe stark abhängig von der Feuchtigkeit ist. LG Ingo

  • Hallo Björn,

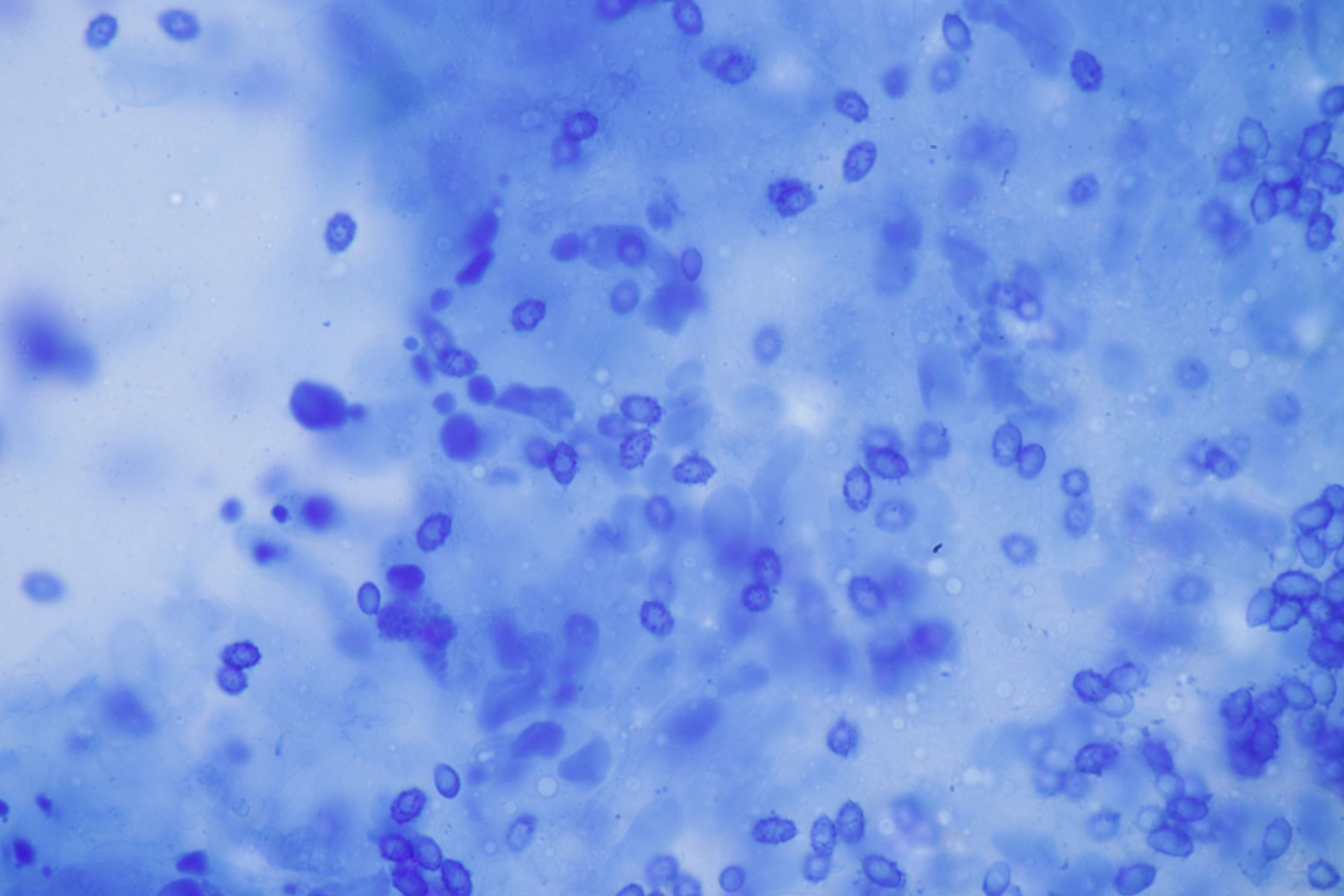
    5. Hypomyces stephanomatis an Geoglossum cookeanum. Normalerweise ist der Pilz an Humaria zu finden.

    Nicht nur normalerweise, sondern er kommt bisher nur an Humaria vor ^^

    Und genau das hat mich stutzig gemacht, weshalb ich mir die Chlamydosporen genauer angeguckt habe.

    Deine Chlamydosporen sind stachelig und die von Hypomyces stephanomatis sind glatt, daher ist es nicht die H. stephanomatis.

    Hast du einen Beleg von dem Fund gemacht ? Das ist verdammt wichtig, denn ich glaube, dass der Fund etwas besonderes ist.


    VG : Thorben

  • Hallo zusammen,


    Helvella fuscolacunosa paßt zumindest von der Sporengröße her ganz gut. Aber irgendwie werde ich mit den Helvellas nicht so richtig warm...


    Ja, ich hab den Hypomyces noch und kann den gerne mal eintüten.


    Björn

  • Hallo Björn,


    ich habe jetzt in der Literatur gesucht und kann nichts passendes finden.

    Auf jeden Fall ist der Fund etwas besonderes.

    Du könntest das Westerdijk Fungal Biodiversity Institute anfragen, ob diese deinen Fund bearbeiten würden.

    Ich schicke dir dazu gleich eine PN.


    VG : Thorben

  • Helvella fuscolacunosa paßt zumindest von der Sporengröße her ganz gut. Aber irgendwie werde ich mit den Helvellas nicht so richtig warm...

    Hallo,

    Ingos und Dein Fund wären Erstfunde für Deutschland. Vielleicht ist die Art gar nicht selten, sondern einfach nur verkannt?


    Ich fänd's gut wenn Frau Skrede die bestätigen kann, dann sollten sie auch für die Kartierung gemeldet werden.


    Ingos Fruchtkörper lag jetzt wohl 'ne Weile rum, für eine Sequenzierung wäre rasches Trocknen nach der Ernte besser.


    Gruß,

    Wolfgang

  • Hallo Wolfgang und Björn, ich hatte Frau Skrede angeschrieben und den FK für evtl weitere Instruktionen erstmal gekühlt. Nachdem ich bisher leider keine Antwort erhalten habe, entschied ich mich heute ihn besser zu trocknen. An der Stelle standen bestimmt noch 10 weitere rum, aber heute hat es draufgeschneit.

    Mal sehn ob sie sich noch meldet. Wenn sie die Belege haben möchte können wir sie gerne auch zusammen nach Norwegen schicken.

    Lg Ingo