Tropenhauspilze - Teil 1

Es gibt 9 Antworten in diesem Thema, welches 2.750 mal aufgerufen wurde. Der letzte Beitrag () ist von Mreul(✝).

  • Hallo zusammen,


    vor nicht allzu langer Zeit bereichtete Claudia ( Wutzi) hier von einigen Pilzen im Tropenhaus Klein Eden in Tettau. Da dort einige interessante Arten dabei waren, hab ich spontan beschlossen dort hinzufahren. Ich muss sagen, so viele Arten sind mir noch nie in einem Tropenhaus auf gleicher Fläche begegnet. Die Gewächshäuser des Bot. Gartens Bayreuth haben im Vergleich dazu im Moment zumindest relativ wenig auf einmal zu bieten.

    Insgesamt fand ich bei meinem Besuch in Tettau mindestens 11 verschiedene Arten, von denen ich 10 nachfolgend mal vorstelle, in genau der Reihenfolge wie ich sie gefunden habe. Und dabei hab ich noch nicht so intensiv gesucht wie man es hätte können. Inzwischen habe ich auch den Betreiber kontaktiert und die Genehmigung bekommen die dort vorkommenden Pilze zu erforschen.

    Dies wird also sicher nicht mein letzter Bericht von dort sein, dafür lohnen sich 120 km einfach schon mal.


    Hier also nun meine Funde, 7 davon wurden noch nie in Bayreuth gefunden, obwohl von dort mittlerweile mindestens 109 Arten aus den Gewächshäusern bekannt sind. Auffällig bei den Tettau-Funden auch, dass keine einzige Art dabei ist, die hierzulande üblicherweise im Freiland vorkommt, in Bayreuth hat man oft auch heimische Arten dabei.


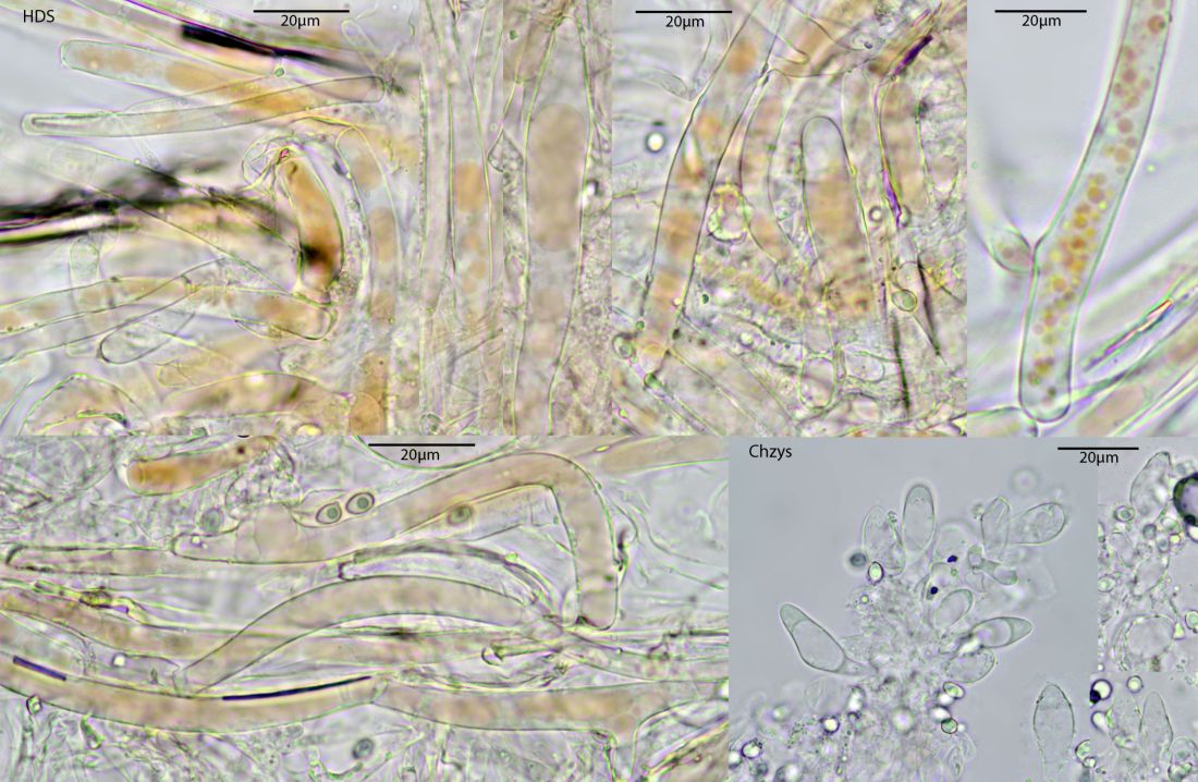
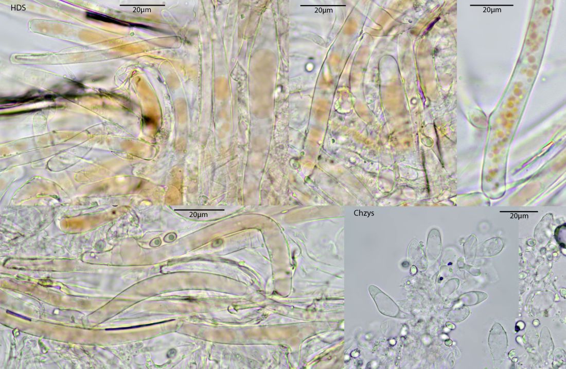
    1. Lactocollybia sp (#9290)

    Lactocollybia ist eine bei uns nicht heimische Gattung mit 19 beschriebenen Arten, die zumeist weißlich-gelbliche, kleine gestielte Fruchtkörper hervorbringt und bei und gerne mal in nassen Orchideentöpfen mit Rindenmulch auftaucht, hier war bei den Funden auch jeweils Rindenmulch beteiligt.

    Lactocollybia zeichnet sich mikroskopisch u.a. durch auffällige, in die HDS und Stieltrama eingeflochtene Gloeozystiden, sowas hat keine bei uns vorkommende Gattung zu bieten.

    Dieses Einzelexemplar wird zumindest zunächst mal unbestimmt bleiben, da seine Cheilozystiden soweit gesehen bis zur Untersuchung alle kollabiert waren, nichts desto trotz hab ich die Art so gut es geht dokumentiert, ich rechne damit, diese Art wiederzufinden.


    2. Lactocollybia sp (#9292) - cf cycadicola

    Diese schöne Kollektion wuchs unter einem Farnbüschel unbekannter Art an Rindenstückchen, die aber wahrscheinlich nicht zum Farn gehören. Auffällig sind die sehr schmalen Cheilozystiden, abgesehen davon könnte die Art zum Konzept von cycadicola passen, die Bestimmung ist hier noch im Gange. Wenn sich was tut, werde ich es hier bekannt geben.


    3. Leucoagaricus cygneus (#9295)

    Diese Art erreicht kaum 1cm Hutdurchmesser. Die meisten Exemplare wuchsen hinter einer Vitrine, aber ich fand auch ein reifes Exemplar nicht weit außerhalb davon und gehe davon aus, dass beides die selbe Art ist. Die Merkmale passen ganz zu dem, was Enrique hier als L.cygneus vorstellt, aber ganz sicher bin ich mir nicht, es ist ja immer noch auch mit Unbeschriebenem zu rechnen und makroskopisch könnte es auch was anderes Nahestehendes sein.

    Diese Exemplare im Glaskasten zeigte Claudia auch schon, hier nun ca. eine Woche später:


    4. Lepiota Leucoagaricus sp ("rubrostriatus") (#9294)

    Für mich der beste Fund dieses Tages, eine Art benennen kann ich hier zwar nicht, aber der Pilz ist sehr attraktiv. Wird bei Gelegenheit mal zum Sequenzieren verschickt. Hut bis 2 cm Durchmesser.


    5. Gymnopus luxurians

    Hatte ich erst nicht als solchen erkannt, siehe Antworten von Schupfnudel und mir unten. Erinnerte optisch erst mal an eine Inocybe, bloß mit sehr hellen Lamellen und es ist tatsächlich ein Weißssporer, der auch einen Sporenabdruck lieferte. Mit Gröger lande ich da bei Gymnopus und es sollte, obwohl ich die Art vom Hut her eigentlich anders kenne, dann G. luxurians sein.

    Mikromerkmale auffällig unauffällig, nur Cheilozystiden recht spärlich vorhanden, HDS deutlich inkrustiert, sonst nichts wirklich auffällig.


    Im nächsten Teil folgen dann noch einige weitere Arten, die alle auch einen Artnamen haben (einer als Aggregat), aber die spannendsten sind trotzdem immer die, die sich nicht unmittelbar benennen lassen.


    Link zu Teil 2.


    Viele Grüße

    Matthias

    Je intensiver man sich mit Pilzen beschäftigt, desto komplizierter wird es, sie zu bestimmen.

    2 Mal editiert, zuletzt von Mreul(✝) ()

  • Hi.


    Schöner Bericht und interessante Funde.


    Der Rübling kann nicht einfach Collybiopsis (formerly Marasmiellus/Gymnopus) luxurians sein?


    LG.

    Posts sind nicht als Essensfreigabe zu verstehen. :-]
    93 Chibs - APR-Gebühr 2024 = 83 Chibs

  • Hallo Matthias, ein schöner Bericht. Da ich mit tropischen Arten absolut keine Erfahrung habe, war mir in Tettau gar nicht bewusst, dass es sich um etwas Besonderes handeln könnte. Umso mehr freuen mich deine Fundbestimmungen.

    Lieben Gruß


    Claudia


    ...leben und leben lassen... ;)


    Hier im Forum gibt es grundsätzlich keine Verzehrfreigaben.

    Pilzsachverständige findest du hier.

  • Hallo Matthias!

    Wie gewohnt bestens dokumentierter und recherchierter Bericht. Toll, was Du alles gefunden hast. Ich bin gespannt, wie es gleich in Teil zwei weitergeht und was Du bei Deinen nächsten Besuchen dort noch alles finden wirst.

    Liebe Grüße,

    Tuppie

  • Hallo zusammen,


    danke an alle für Eure Rückmeldungen.


    Hallo Schupfi,


    ich hab nochmal verglichen und denke Du hast Recht mit luxurians. Die Art kenne ich aus Bayreuth, allerdings hat mich die Makroskopie hier sehr irritiert, so eine Hutform und -oberfläche ist mir noch nicht untergekommen. Aber das wird bei jungen etwas trocken stehenden Exemplaren schon hinhauen. Mikroskopisch passt es ja, die Zystiden kenn ich etwas anders, zahlreicher, apikal gern gegabelt, aber auch das mag bei den jüngeren Exemplaren hier eben noch so aussehen. Und sonst passt ja vom Standort, Stiel und Mikroskopie alles. Danke für den Hinweis.


    Viele Grüße,

    Matthias

    Je intensiver man sich mit Pilzen beschäftigt, desto komplizierter wird es, sie zu bestimmen.

  • Hallo Hans,


    ich hab schon auch damit gerechnet, dass da Leucoagaricus rauskommt, aber auch da finde ich keine Art mit solchen Merkmalen. Ich hab als Name Lepiota sp gewählt, weil ich meine in der HDS meine ein paar Schnallen gefunden zu haben, wenn auch selten, Keimporus seh ich auch keinen eindeutigen, auch wenn manche Sporen wie zu sehen oben etwas verdickt-ausgezogen sind. Also da mag auch gut und gerne am Ende Leucoagaricus sp rauskommen, auf eine Art komm ich in beiden Gattungen nicht.


    Edit: Hab nochmal mit meinen Dokumentationen von anderen Lepiota und Leucoagaricus-Arten verglichen, da sind bei Lepiota die Schnallen in der HDS und das Fehlen des Keimporus schon eindeutiger zu sehen als hier. Das was ich hier als Schnallen gesehen habe könnten auch andersartige Auswüchse sein, die dann zufällig ähnlich aussehen, so selten wie das zu finden war. Außerdem sah ich z.B. bei dem recht ähnlichen Leucoagaricus rubroconfusus auf manchem Bildern noch weniger was nach Keimporus aussieht als hier. Dagegen ist auf dem Bild in Melzers hier zumindest bei manchen Sporen ein klar abgesetzter Keimporus zu sehen, d.h. das sollte wirklich eine Leucoagaricus-Art sein, die ins Umfeld von rubrotinctus geht. Letzterer müsste größere Sporen haben, rubroconfusus kenn ich mit größeren Cheilos und die HDS sieht etwas anders aus, auch die Pigmentierung, ich sah da nie solche Vakuolen wie hier. Makroskopisch ist die Färbung hier auch eher Richtung rosarot. Und ein paar andere kürzlich beschriebene Arten mit roten Tönen sehen auch immer etwas anders aus.


    Viele Grüße

    Matthias

    Je intensiver man sich mit Pilzen beschäftigt, desto komplizierter wird es, sie zu bestimmen.

    Einmal editiert, zuletzt von Mreul(✝) ()

  • Hallo Matthias,


    und wenn die Cheilos kleine Kristalle haben sollten, dann könntest du mal mit Leucoagaricus aurantioruber vergleichen (hier gibt es die dazugehörige Arbeit).


    VG : Thorben

  • Hallo Hans,


    war aber ne sehr gute Idee mich da nochmal drauf zu bringen und die Merkmale nochmal genau abzugleichen. Bin mir inzwischen sicher, dass es ein Leucoagaricus ist.


    Hallo Thorben,


    Vielen Dank für den Link, die Arbeit kannte ich noch nicht. Allerdings halte ich meinen Fund nicht für aurantioruber, zum einen fehlen solche Kristalle, auch die Sporen sind bei mir etwas kleiner und schmäler. Die nahestehendste Art, die ich kenne ist aktuell L. rubroconfusus, den ich aus Bayreuth kenne, siehe mein Kommentar oben. Vielleicht ist es doch der, aber sieht auch makroskopisch schon anders aus finde ich.

    Dann gibt's an roten Arten noch lahorensis, der hat aber klar größere Sporen: https://www.ingentaconnect.com…0000130/00000002/art00027

    Und noch lahorensiformis, dessen Sporen kommen hin, aber da sind die Cheilos wieder anders gezeichnet und makroskopisch sieht der auch klar stämmiger aus: https://www.researchgate.net/p…_species_of_Leucoagaricus

    Und hier gibt's noch eine Reihe roter Arten:https://www.researchgate.net/p…ITH_RED-BROWN_BASIDIOMATA


    Bleibt spannend, ich denk mit ner Sequenzierung lässt sich dann mehr sagen, ob das doch zu einer der bisher genannten Arten passt, zum Glück sind ja zu allen diesen Arten Sequenzen verfügbar, jedenfalls die, die ich nachgeschaut hab.

    Vielleicht taucht die Art auch nochmal auf. Und am Exsikkat schau ich nochmal die HDS eines anderen Exemplars an, vielleicht gibt's da Hinweise auf die rubroconfusus-Struktur.


    Viele Grüße,

    Matthias

    Je intensiver man sich mit Pilzen beschäftigt, desto komplizierter wird es, sie zu bestimmen.