Entoloma spec.

Es gibt 7 Antworten in diesem Thema, welches 1.978 mal aufgerufen wurde. Der letzte Beitrag () ist von Wolfgang P..

  • Hallo zusammen,


    ich habe gestern (15.10.2021) einen Rötling gefunden. Leider nur einen einzelnen Fruchtkörper.

    Ich habe ihn auf einer Dachterrasse der Ruhr-Universität Bochum gefunden zwischen viel Moos und anderem Kleinzeugs.


    Hut: 4cm d; braun; radialfaserig;

    Stiel: 5cm lang; 5mm d; befasert


    1

    2


    HDS:

    3 Skalpschnitt, hyphige Hutoberfläche (40x)

    Ich konnte keine Schnallen finden, doch aber ziemlich schmale Hyphen oder anderweitiges, das inkrustiert ist (?)

    4 (450x)

    5 (1000x)

    Stiel:

    6 keine Schnallen sichtbar (450x):

    6 inkrustierte Haare, die mehrfach septiert sind, habe ich wohl gefunden (450x):


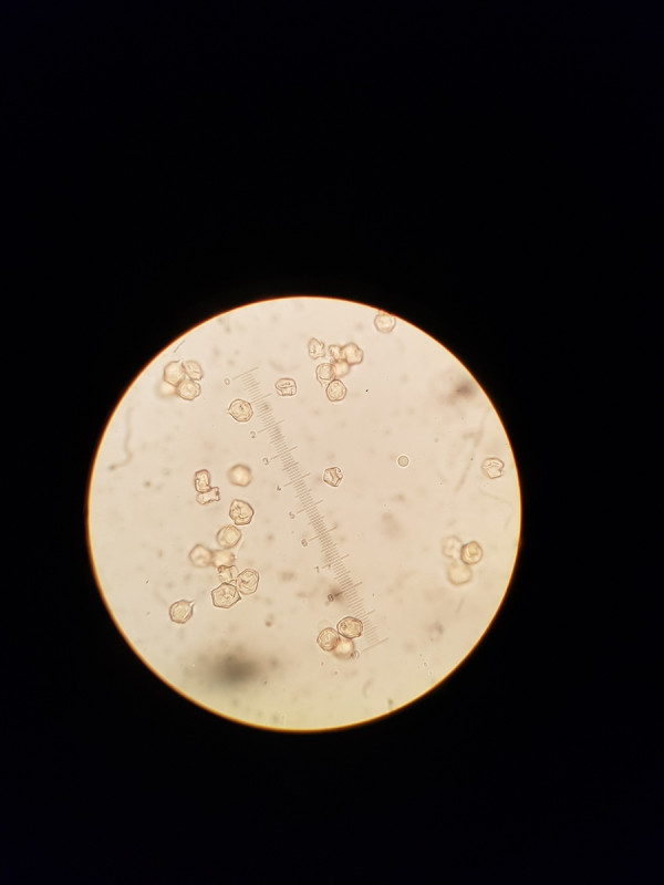
    Die Sporen sind heterodiametrisch (ich hoffe, das stimmt):

    7 in Wasser (1000x)

    8 in Melzer (1000x)


    Die Messungen der Sporen: 6,7 - 7,7 -10 x 5,9 - 6,4 - 7,2; Q: 1,2


    # Länge Breite Q. Fläche (L*B)

    [µm] [µm] [µm²]

    ---------------------------------------------------

    1 7,44 6,49 1,15 48,29

    2 8,18 6,12 1,34 50,06

    3 7,45 6,22 1,2 46,34

    4 7,11 6,2 1,15 44,08

    5 10,01 7,16 1,4 71,67

    6 7,93 6,77 1,17 53,69

    7 7,65 6,12 1,25 46,82

    8 8 6,35 1,26 50,8

    9 6,89 6,52 1,06 44,92

    10 7,46 6,5 1,15 48,49

    11 6,89 5,94 1,16 40,93

    12 7,65 6,52 1,17 49,88

    13 7,61 5,89 1,29 44,82

    ---------------------------------------------------


    min 6,89 5,89 1,06 40,93

    max 10,01 7,16 1,4 71,67

    mittel 7,71 6,37 1,21 49,29


    9 Und zuletzt das, was Cheilozystiden sein könnten. Ich bin mir unsicher


    Ich in ziemlich ratlos und hoffe, dass ihr mir helfen könnt. Ich komme mit dem Gröger zu E. romagnesii, was nicht sein kann, da ich nichts braunes in der HDS - mikroskopiert in Wasser - finden kann.


    Viele Grüße und Danke im Voraus

    Oliver

  • Hallo Björn,


    leider habe ich den Anfängerfehler gemacht, nicht zu riechen. Heute und gestern Abend roch er aber nach nichts. auch zerrieben roch er nicht. Die Mikromerkmale werde ich vergleichen.


    LG Oliver

  • Hallo Oliver,

    ältere Einzelfruchtkörper sind nicht bestimmbar, nicht nur bei Entoloma. Da ist momentan ohnehin fast gar nichts bestimmbar, bis hoffentlich 2022 ein genetisch gestütztes Artkonzept veröffentlicht wird.


    Aber wenn Du schon Entolomen mitnehmen willst: die Gattung hat es mikroskopisch leider in sich, ich denke es ist eine der schwersten. Deine Beobachtungen sind daher leider teilweise nicht für die Bestimmung nutzbar.


    Schnallen muss man bei Entoloma an jungen Basidiolen suchen. Lichtbrechende Körnchen machen keine inkrustierten Hyphen, beides zu unterscheiden gelingt manchmal nur beim Spiel mit der Kondensorblende. Pigmentierung kann man nicht in Kongo beobachten.


    Bitte nicht persönlich nehmen, sondern als konstruktive Anregung.


    Grüße,


    Wolfgang

  • Hallo Wolfgang,


    ich nehme das keinesfalls persönlich und freue mich sogar.

    Ich hab heute (16.10.2021) schon einmal eine Lichtbrechung als Inkrustation interpretiert. Mir ist bewusst, dass ich noch wenig Erfahrung habe und manches falsch interpretiere. Deshalb bin ich aber hier.


    Ich habe Schnallen an den Basidien und Basidiolen gesucht und nichts gefunden, würde mich darauf nicht verlassen. Da müsste ich nochmal nachgucken. Ich dachte aber, es würde nicht schaden, Schnallen woanders auszuschließen. Guckt man bei Rötlingen nur an den Basidiolen nach Schnallen?


    Schade, dass der wohl unbestimmbar bleibt, aber mir war mit dem Kauf des Mikroskops schon bewusst, dass ich damit nicht alles lösen werde. Zur Zeit nehme ich verschiedenste Pilze mit, um mir diese anzugucken und durch amateurhaftes Schlüsseln die Gattung und die typischen Merkmale kennenzulernen, sowie das Mikroskop know how zu stärken.


    Das war meine erste Entoloma. Vielleicht wird die nächste etwas :S


    LG

    Oliver

  • Ich habe Schnallen an den Basidien und Basidiolen gesucht und nichts gefunden, würde mich darauf nicht verlassen. Da müsste ich nochmal nachgucken. Ich dachte aber, es würde nicht schaden, Schnallen woanders auszuschließen. Guckt man bei Rötlingen nur an den Basidiolen nach Schnallen?

    Hallo Oliver,

    es gibt etliche Arten, bei denen Schnallen nur an den Basidiolen zu finden sind. Ebenso gibt es Arten, die Schnallen im gesamten Frk. haben, was durchaus bestimmungsrelevant sein kann oder eben Arten völlig ohne Schnallen. Einen Namen habe ich für Deinen Fund ebensowenig wie Wolfgang.
    E. sericeum würde ich ausschließen (Sporenquotien praktisch nie über 1,2) und deutlicher inkrustiertes Pigment in der HDS.

    LG Karl