Oh ja, das scheint es sein zu können. Ich werde mal etwas die Literatur durchstöbern. Danke!
Beiträge von Oliver
-
-
Hi,
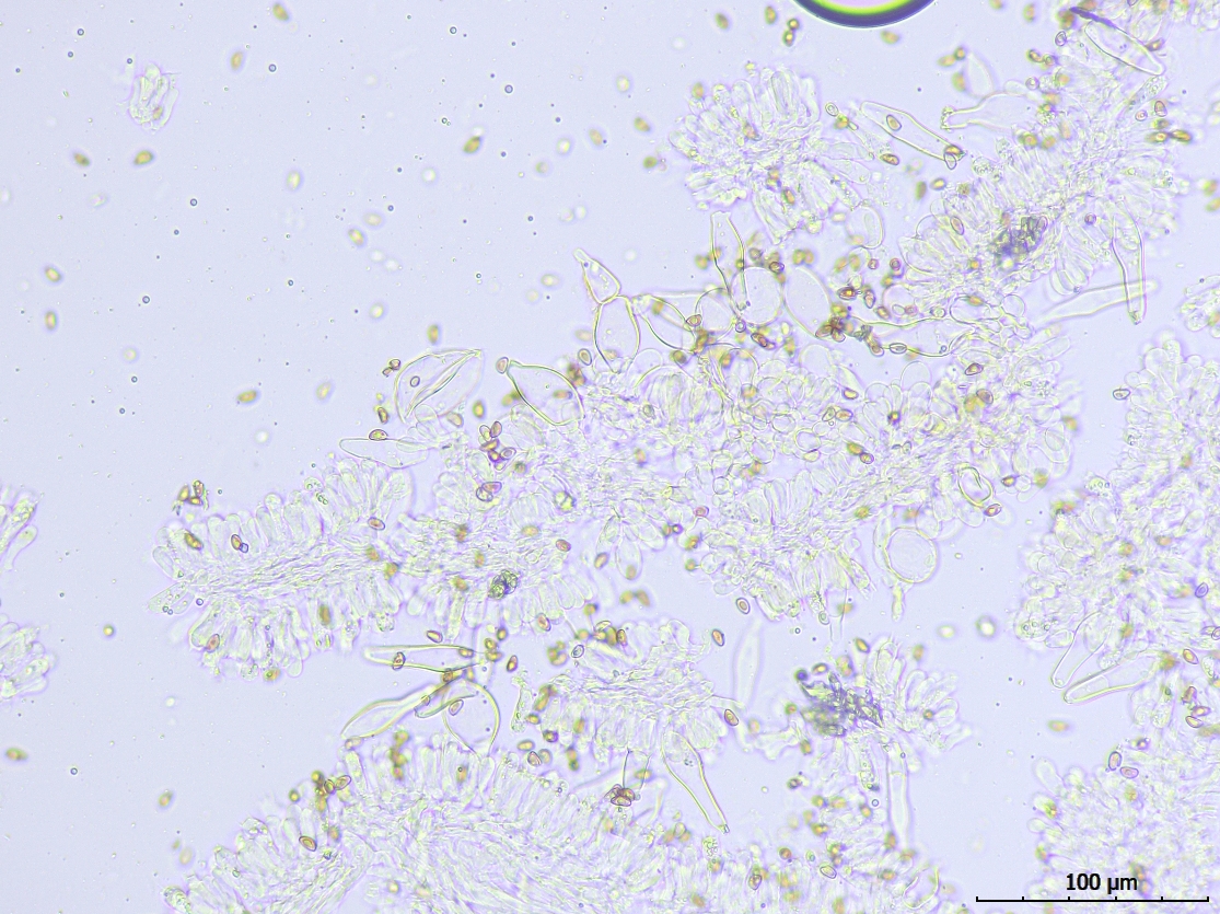
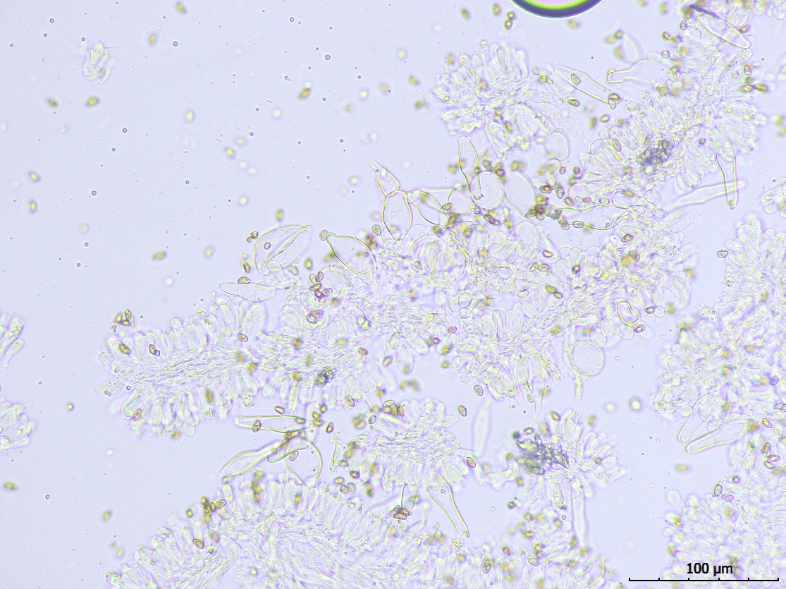
das könnte auch eine Orthotrichum sp. sein, zumal das Moos auf Holunder wuchs, was mit Orthotrichum häufig der Fall ist. Octospora affine kenne ich und ich habe Zuhause auf dem Moos keine Becher mehr gefunden, aber ich schaue nochmal nach. Mir geht es aber eher um diese weißen Auswüchse. Ist das überhaupt etwas mykologisches? Zum Moos wird es wohl nicht gehören.
LG
Oliver
-
Hallo zusammen,
ich habe hier kleine weiße Fäden auf Pulvigera lyellii gefunden und vermute, dass das etwas pilzliches ist. Jedoch stehe ich auf dem Schlauch und kann leider auch keine Sporen ausmachen. Vielleicht kann ja trotzdem irgendjemand dazu was sagen?
1.
2.
3.
4. in Lugol
5. in Kongorot
6.
7.
Viele Grüße
Oliver
-
Danke Ditte, für die Einordnung. Ich werde den Fund mal als I. glabripes wegpacken, aber wenn ich dazu kommen sollte, etwas zu sequenzieren, dann würde ich das gegenchecken.
Grüße
Oliver
-
Hallo Martin,
danke für die ausführlichen Erklärungen. Ich kenne die Website, hab sie aber beim Bestimmen noch nicht benutzt und mich erst auf den Wirth fokussiert. Dass die Flechten das ganze Jahr lang zu finden und bestimmbar sind, ist wirklich echt gut.
Schön, dass es sich wirklich um C. fimbriata handelt. Cladonien sind echt schön. Ich werde es mir nicht als Ziel setzen, die alle richtig zu bestimmen - was teilweise ja gar nicht möglich ist - aber ich möchte in Zukunft definitiv auch mal TLC ausprobieren. Aber erstmal möchte ich es nur mit Reagenzien und dem Mikro probieren.
Grüße
Oliver
-
Hallo Peter,
hast du die Huthaut denn mit Sulfovanillin angefärbt? Manche Täublinge haben Dermatozystiden, die echt schwer als solche zu erkennen sind, weil sie nicht großartig verdickt oder stark lichtbrechend sind. Ich hab die bei meinen ersten Täublingsbestimmungen bei manchen Arten einfach übersehen, wenn ich nur mit Kongo gefärbt habe.
Grüße
Oliver
-
Hallo zusammen,
vielen Dank Martin, für deine ausführliche Antwort. Beim Fotografieren der Flechten wusste ich noch nicht so ganz, worauf es ankommt und mir fehlt wohl auch ein wenig das nötige know-how um so feine Sachen mit meiner Kamera zu fotografieren. Ich habe aber jetzt einige Aufnahmen mit dem Handy am Bino gemacht und die Funde nochmals angeschaut sowie einige Test ordentlich wiederholt. Markschnitte brauchen etwas Übung...
2) Kein schönes Präparat, aber das sollte aussagekräftig genug sein um Xanthoriicola physicae zu bestätigen
3) Mark: K+ gelb->rot, C-, KC-, Sorale: K+ gelb
Der etwas hellere Rand auf der Unterseite und die kurzen bzw noch nicht gewachsenen Rhizine haben mich irritiert
4) Mark: K-, KC+ und C+ orange/rot
P. subrudecta scheint also richtig zu sein
5)
7) Chemie genau wie bei 3), aber die Rhizinen sind gegabelt, was mich irritiert. Kann das P. sulcata? Hab ich bei 3) nicht beobachtet, aber die soll ja sehr variabel sein
9) Ist das regulär/"staubig" genug für C. fimbriata?
Auch dir Thorben vielen Dank. Ja, ich kenne das Werk und habe auch rein geguckt. Da ich aber noch nie etwas mit Hyphomyceten zu tun hatte, habe ich mich mit dem Hauptschlüssel schwer getan und hab es mit den Schlüsseln nach Flechtengattungen/-familien probiert. Trichonectria kommt aber auf vielen verschiedenen Flechten vor und wird dort deshalb gar nicht gelistet, warum ich nicht auf die Gattung gekommen bin.
Ich bin mir jetzt ziemlich sicher, dass es sich um T. rubefaciens handelt. Die Konidien waren bei mir alle unseptiert. Sie haben die richtige Maße und Form und sie kommt auf der richtigen Flechte vor. Nichts anderes kommt da in Frage.
Die Flechten und Flechtenparasiten haben was. Ich muss nur lernen, wie ich sowas kleines besser fotografieren und präparieren kann. Bei den Großpilzen darf man ja etwas gröber sein und es gelingt trotzdem oft gut.
Vielen Dank euch beiden
Oliver
-
Hallo zusammen,
ich war am Freitag dem 28.11.2025 im Asbachtal in Velbert. Da habe ich mir neben paar Pilzen auch endlich mal Flechten mitgenommen. Ich habe mich mit Flechten bis dato noch nie beschäftigt, fand sie aber immer sehr faszinierend. In diesem Winter nehme ich mir die Zeit, sie mir endlich mal genauer anzugucken. Ich hoffe, ihr könnt mir bei den Bestimmungen helfen.
1. Xanthoria parietina kannte ich schon (als einzige Flechte)
2. Xanthoriicola physicae hat mir boccaccio mal vorgestellt
3. Diese Flechte habe ich mal Cetrelia olivetorum agg. genannt. Schwarze Rückseite mit unverzweigten Rhizinen, wobei zum Rand hin keine Rhizinen vorhanden waren und die Rückseite braun war. I-, KC-, ex. Quercus
KC- spricht anscheinend für C. cetrarioides/monachorum
4.
5. Melanohalea elegantula, K-, C-, KC-, I-, ex. Quercus
6. Phlyctis argena ex. Carpinus
7. Ich glaube, dass das Hypotrachyna sinuosa ist, die zugegebener Maßen, auch schon bessere Tage gesehen hat. K+ rot? (im Querschnitt wurde ein dünner Streifen orange/rot, aber das meiste färbte sich gelb), C-, Thallus K+ gelb
8. Darauf befand sich auch eine Anamorphe
Sporen: 26.9±2.9 x 3.7±0.5
9. Cladonia fimbriata
Ich bin gespannt, ob ich mit meinen Bestimmungen richtig liege und ob mir jemand mit der Anamorphe Nr. 8 helfen kann. thorben96 vielleicht?
Grüße
Oliver
-
Hallo Björn,
da hast du natürlich recht. Ich denke, auf Linux kann man ja Wine oder so benutzen, womit ich aber keine Erfahrung habe und vielleicht lohnt sich der Aufwand gar nicht.
Gruß
Oliver
-
Hallo Schupfi,
kannst du dir nicht einfach den Maximalwert mit max() angeben lassen in der Spalte A?
Gruß
Oliver
-
Hallo zusammen,
die automatische Berechnung der Quotienten und der Standardabweichung ist praktisch, aber ich benutze ein Programm, was mMn die anderen Schritte praktischer gestaltet.
Ich benutze Micam, welches automatisch eine Tabelle Länge und Breite führen kann und das insbesondere über mehrere Bilder, sodass ich mehrere hintereinander machen kann und alles in eine Liste eintragen kann. Zusätzlich lädt das Programm auch automatisch neu geschossene Bilder mit der DSLR ins Programm, wenn die Bilder in einem bestimmten Ordner abgespeichert werden. So kann ich auslösen, messen, ein neues Bild machen und das ganze von vorne. Die Daten kann man dann exportieren und könnte sie dann diesem Skript unterziehen.
Science4all - Microscopy and Photography
Ich kann dieses Programm nur wärmstens empfehlen, weil man damit einen wirklich schnellen Workflow mit einer DSLR hinbekommt, wenn man beim Mikroskopieren gleichzeitig messen will. Im Nachhinein messen geht natürlich auch. Für mich ist zusätzlich ein Vorteil, dass sich die Bilder nicht automatisch speichern (kann man so einstellen, ist nicht default) und ich von mehreren Bildern zum Messen einige wenige selbst abspeichern kann, wenn sie mir gefallen, und die anderen direkt gelöscht werden.
Ich werde mir aber das Skript angucken und wahrscheinlich anfangen, das zu benutzen.
Sehe ich richtig, dass nur die einfache Standardabweichung angegeben wird und nicht die doppelte? 2 Sigma macht bei 30 Messungen ja sowieso nicht viel Sinn.
Grüße
Oliver
-
Hallo zusammen,
boccaccio hat recht, Eisensulfat bekommst du (unter Normalbedingungen) nicht geschmolzen und du hast einfach entweichendes Kristallwasser beobachtet.
Ich denke, einen Kristall zu züchten wäre definitiv am einfachsten. Entweder einen Einkristall größer züchten oder Kristalle an einem Pfeifenreiniger (die zum Basteln) züchten. Warum willst du es dir so schwer machen?
Ganz andere Idee: nachfüllbare Aquarellpinsel; also Pinsel mit einem Wassertank.
Klar, hast du das Eisensulfat dann wieder in Lösung, aber da kann auch nichts so richtig verschütten und wenn du den Deckel ab machst, pinselst du kurz über den Pilz. Kannst ja jetzt auch jede Saison eine neue Lösung ansetzen. Ggf. klebt man das Reservoir ab, damit es Licht geschützt ist, aber wenn der Pinsel in Tiefen eines Rucksacks gelagert wird und nur kurz das Tageslicht sieht, wird das ja auch klappen.
Gruß
Oliver
-
Hallo Reinhard,
da spricht in meinen Augen nichts dagegen. Den würde ich auch so nennen.
Grüße
Oliver
-
Hallo zusammen,
auf Amazon sind wohl zeitweise auch Pilzführer erschienen, die anscheinend gänzlich von einer KI erstellt wurden. Das geschah im Selbstverlag bzw über Amazon direkt. Allein das ist schon eine Katastrophe, aber wenn so etwas über einen Verlag publiziert wurde, ist das noch schlimmer. Gibt es wenigstens einen Hinweis darauf, dass Bilder KI generiert wurden? Selbst wenn sie richtig wären, finde ich es wichtig, dass sowas gekennzeichnet wird.
Grüße
Oliver
-
Hallo Raphael,
Rhodocybe klingt gar nicht mal so schlecht, ich hätte die nicht so früh ausschließen sollen. Ich werde mir den nochmal genauer angucken und sollte ich mal was sequenzieren, wird der sequenziert.
LG
Oliver
-
Hallo Raphael,
nein, so sah es nicht aus. Alles inklusive der Sporen hatte diese hellbraune Färbung, was aber wohl keine Dextrinoität darstellt, sondern einfach die Färbung des Melzers Reagenz. Keine Struktur hat stärker darauf reagiert.
Ich würde so gerne wissen, was das ist. Das Sporenpulver war schon hellbraun, ob die einen rosa Unterton hatte, kann ich nicht sagen. Ist mir nicht aufgefallen, aber mittlerweile halte ich die Möglichkeit offen, aber das gibt mir auch keine Idee, was das sein könnte.
Gruß
Oliver
-
Hallo Tonio,
schön ist Phasenkontrast alle mal, besser ist mMn dann nur noch DIK. Ich habe zwei Phasenkontrast Objektive und das nötige Equipment, benutze es aber so gut wie nie.
Du hast aber Recht, praktisch könnte das auf jeden Fall sein, jedoch habe ich bei einer Sache bedenken. Wie sind die Strukturen dann zu beurteilen? Ich kenne das von verschiedenen Großpilzgattungen (Basidiomycota insbesondere), dass bestimmte Färberverfahren genutzt werden, um Strukturen zu beurteilen. Ich frage mich, ob Phasenkontrast das Ergebnis verfälschen würde. Wenn ich z.B. etwas durch den Phasenkontrast besser erkenne und es dann anders bewerte, als mit einer Färbung. Ich sage nicht, dass das unbedingt der Fall sein muss, aber das kam mir zumindest in den Sinn.
Darüber hinaus sehe ich aber auch eher Vorteile beim Phasenkontrast, jedoch sind Pilzmikroskopiker ja oft ziemlich grob (mir inklusive). Für uns ist die Mikroskopie meistens nur ein Mittel zum Zweck, deshalb sind solche Verfahren wohl so gut wie nicht verbreitet zumindest bei uns Hobby Mykologen.
Wie bist du denn schlussendlich zum Phasenkontrast gekommen? Hast du neues Equipment gekauft oder dann doch was gebrauchtes gefunden, was taugt?
Grüße
Oliver
-
Hallo Bläuling,
danke für das Lob. Ich gucke mir gerne an, wie andere ihre Funde präsentieren und lasse mich davon inspirieren, wenn es mir gefällt.
Keulen sind schon ganz cool. Ich hoffe, deine Sequenzierung wird aufschlussreich. Ich bin dabei zu überlegen eine ganze Reihe an Pilzen in einem Batch mal sequenzieren zu lassen, weil sich mit der Zeit doch so einiges ansammelt, was sich zu sequenzieren lohnen würde.
Grüße
Oliver
-
Hallo Karl,
danke für denien Bestätigungen. Sprichst du von Krefeld? Den würde ich ja gerne mal besuchen, schade, dass es jetzt schon am frieren ist.
Grüße
Oliver
-
Hallo zusammen,
Raphael, das ist ja cool, dass das der Pilz auf deinem Profilbild ist. Ich tu den Pilz dann mal als P. gordonii im Sinne der FNE6 ab. Ja, Nr. 7 ist komisch für eine Lepista. Unter Melzers reagierte alles ein wenig dextrinoid. Welche Vermutung hättest Du denn?
Danke, Harald. Das ist G. fimbriatum, da hast du natürlich Recht. Schön, dass ich mit P. pallescens richtig liege.
Grüße
Oliver
-
Hallo zusammen,
am 12.11.2025 war ich in Wanne-Eickel auf dem Waldfriedhof insbesondere um die Paragalactinia sucosella (hier mein erster Fund) wiederzufinden, in der Hoffnung, ich könnte schönere Fotos machen.
1. Pluteus pallescens (kann das jemand bestätigen oder hat eine bessere Idee?) zuehli Climbingfreak
Sporen: 7±4.6 x 5.6±0.3 Q: 1.3±0.1
HDS: 60±30 x 35±10
CheiloZ.: 55±20 x 23.8±9
PleuroZ.: 50±7.5 x 27.5±4.6 Q: 1.8±0.6
2. Geastrum fimbriatum
G. triplex3. Humaria haemisphaerica
4. Ganz jung und lange tote Schwefelporlinge
5. Octosporopsis nicolai ex. Lunularia cruciata
6. Psathyrella gordonii (Bitte um Bestätigung. Es gibt sehr "dickfleischige" Belege unter diesen Namen wie hier aber auch "dünnfleischige" Belege, wie hier, die mit der Beschreibung in FNE6 übereinstimmen. Mein Fund scheint den dünnfleischigen identich zu sein...) Clavaria
Sporen: 9.6±1.3 x 5.3±0.5 Q: 1.8±0.2
CheiloZ.: 32.9±9 x 10±3.1 Q: 3.3±1
PleuroZ.: 55.1±6.5 x 14.4±2.2 Q: 3.9±0.8
CauloZ.:
Nr L W Q 1 52 15,1 3,44370860927152 2 44,9 16 2,80625 3 40 9,8 4,08163265306123 4 29,6 11,5 2,57391304347826 5 37,9 12 3,15833333333333 6 40,4 8,8 4,59090909090909 HDS:
Velum:
7. Wahrscheinlich eine Rhodocybe sp.
8. Paragalactinia sucosella. Leider nur eine mikrige Kollektion. Ich habe sie erst übersehen. Gut, dass ich zum Schluss ein zweites Mal zur Fundstelle ging
9. Inocybe obscuroides wuchs in der Nachbarschaft
10. Das ist wohl I. glabripes mit diesen kleinen Sporen. Zystiden scheinen auch zu stimmen. Was meinst du Ditte ? Wuchs bei Quercus, Rhododendron und entfernter Acer; oberes Stieldrittel bereift, Geruch nicht wahrnehmbar, Stielbasis nicht verdickt; Viele Parazystiden und teilweise septierte Zystiden
Sporen: 7.3±0.9 x 4.5±0.5 Q: 1.6±2.5
CheiloZ.: 41.7±13.4 x 16±5.3 Q: 2.8±1.1
PleuroZ.: 52±15 x 13.4±4.1 Q: 3.9±0.6
CauloZ.: 46.3±11.4 x 14.1±3 Q: 3.5±1.4
Grüße
Oliver
-
boccaccio ja, ich war mir echt unsicher ob es Cheilos sind oder nicht, war mir aber nicht ganz sicher, ob es Basidiolen sind. Die sahen ziemlich aufgebläht aus.
Wolfgang P. verstehe. Also so ein helles braun zählt dann noch nicht? Gut zu wissen
-
Hallo zusammen,
dann wird das wohl H. pratensis sein und nicht H. berkeleyi. Wie unterscheiden die sich? Laut Literatur soll H. berkeleyi ja einfach nur heller sein.
boccaccio ich hab auch nur die beiden Frk gefunden, sonst keine weiteren H. miniata. Die Entoloma sagt dir nichts?
Gruß
Oliver
-
Hallo zusammen,
zumal man Pilze ja nicht nur färbt, um die Strukturen besser zu sehen, sondern auch, um gewisse Reaktionen zu testen wie z.B. Dextrinoidität. Wobei Phasenkontrast an sich aber eine schöne Sache sein kann.
Ich persönlich habe gute Erfahrungen damit, gebrauchte Mikroskope bzw. Mikroskopteile zu kaufen. Ich habe bis jetzt aber nur in Deutschland gekauft; auf (ehemals ebay) Kleinanzeigen und im Mikroforum. Besonders das Mikroforum ist mMn eine gute Anlaufstelle für sowas.
Gruß
Oliver
-
Hallo Lütte,
abwegig ist das nicht. Auf den Wiesen gibt es beide Arten. Ich finde es echt nicht einfach, die auseinander zu halten. Vielleicht sind das auch einfach trockene C. pratensis.
Ich hab mitbekommen, dass die Keulen in Bearbeitung sind. Ich wollte sie nir aber trotzdem mal anschauen und sie zumindestens unter den alten Namen einordnen, wenn möglich. Ich bin gespannt, was uns da in Zukunft so offenbart wird.
LG
Oliver
