Hallo,
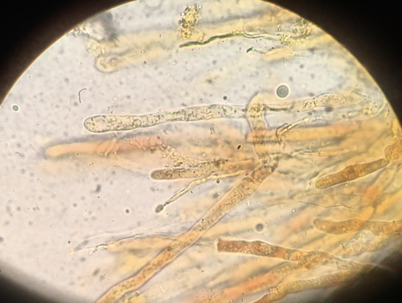
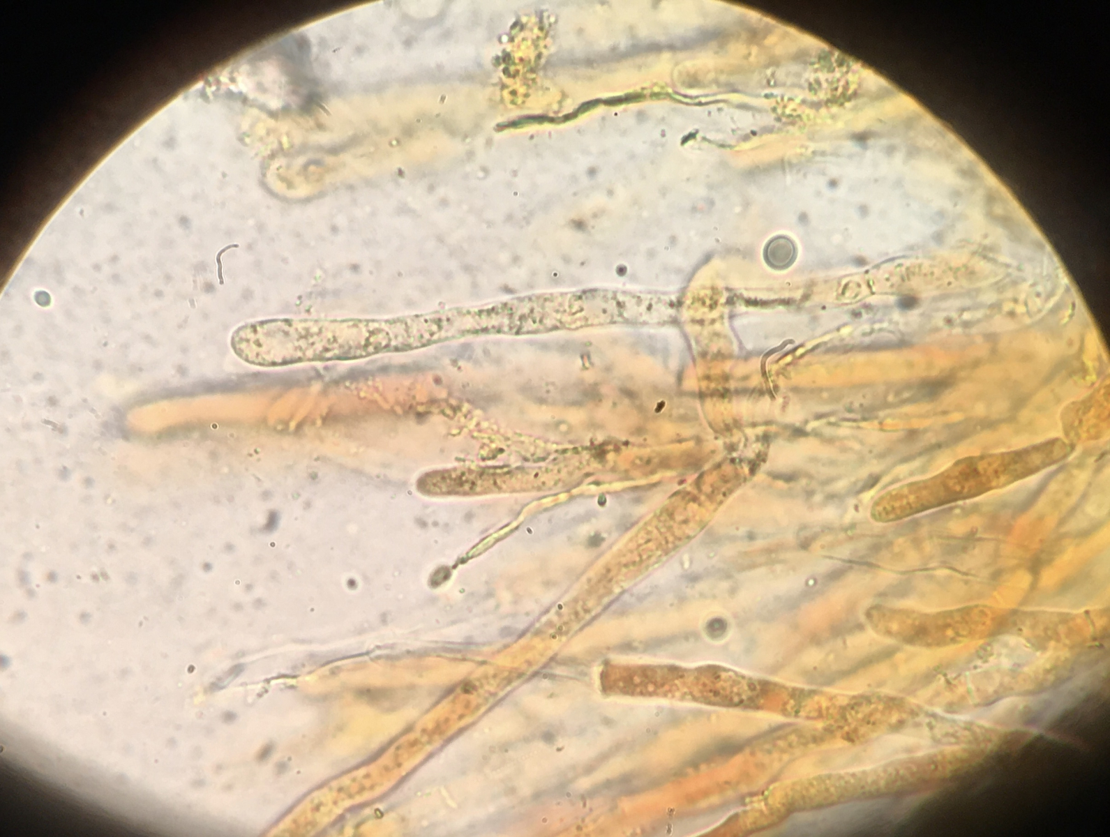
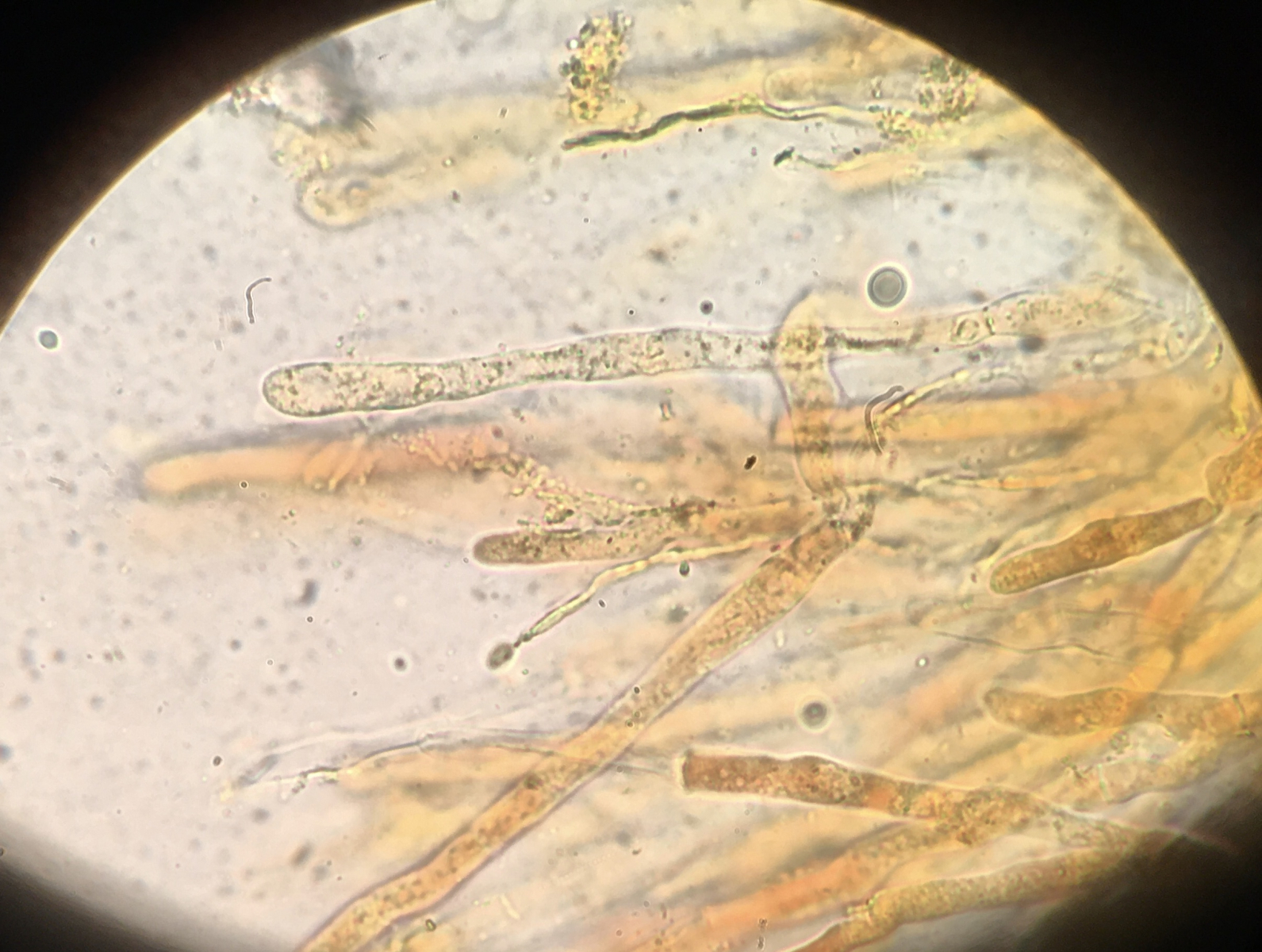
heute habe ich in der Lobau folgende Becherlinge gefunden, die ich so gar nicht zuordnen kann. Die größeren hatten einen Durchmesser von ca. 3 cm. Sie sind deutlich gestielt und hatten alle in der Erde so ein knubbeliges etwas Ding, das von Mycelfäden durchzogen war. Mikroskopie folgt demnächst. Kann mir hier jemand bei der Bestimmung helfen?
LG
romana
