Gregarious specimens scattered on a clump of woody stalks (I dont know what!) in a damp area. Rather small fungus, gills free, rim darkens with age. No spore print or micro... hope it is not essential for this one.
Tricholoma sp.?
- Steve_mt
- Erledigt
Es gibt 13 Antworten in diesem Thema, welches 4.343 mal aufgerufen wurde. Der letzte Beitrag () ist von Steve_mt.
-
-
Hi,
it is definitely not a Tricholoma. Spore print would be helpful.
best regards
Stefan
-
Hello,
no chance for anything without micros.
The fruitbodies are dried up, and its not even certain wether the gills are free or not, may be its just the dryness that makes them disrupt from the stipe. If they are realy free, than its a Pluteus species.
all the best,
Andreas
-
Hi, Steve!
A view at the spores and the hymenial cystidia would at least reveal the genus.
My guess would be Inocybe, but we'll see...Lg; Pablo.
-
Sorry for sending you crap data and non-representative photos here. I try to retrieve a specimen from the collection box, keeping my finger crossed the specimens are still intact and will follow up. I am quite sure the gills are free - I add few more photos. Its habit and colours (overall) reminds me in Pluteus nanus
-
Yes, now I think so too that it is a Pluteus. You should check the cap cuticle=Pileipellis too.
Regards
Stefan
-
-
Specimens found, rather workable, I follow up. I am thinking Pluteus nanus for the small size and already found it in three locations in Gozo (kinda frequent).
-
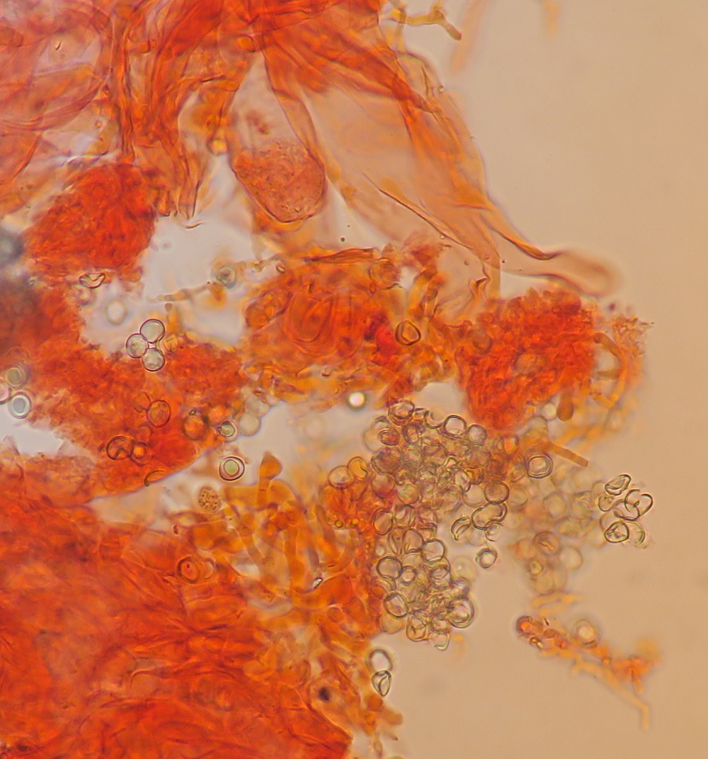
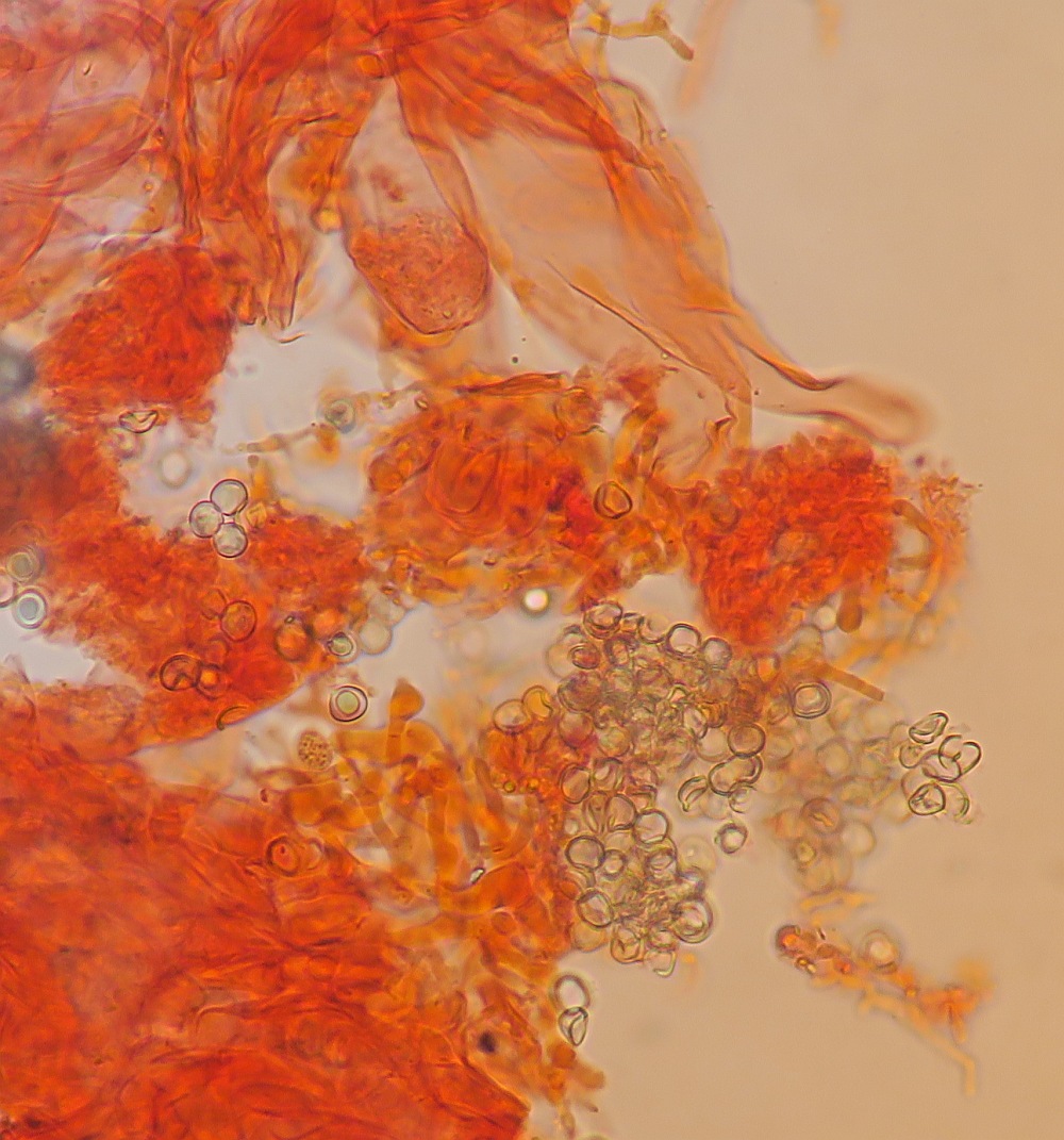
So what we have... The pileipellis is composed of a cellular hymeniderm made of subspherical to broadly pear-shaped cells, with a smooth surface, while the spores, copious, are subspherical, with a central oil drop, eccentrical apiculum and measuring 6-7.5um approx.
-
Hello Steve,
cuticule should be prepared as a thin cut, because there are also some species with mixed cuticule, means hymeniforme plus short cystidoid elements. E.g. Pluteus podospileus is one of these and it looks fairly similar to your collection.
Nevertheless, macroscopically I think yours indeed is Pluteus nanus, especially as I have seen no flocci on the stipe in your foto, and the grey lower part of the stipe also is typical for P. nanus.
all the best,
Andreas
-
'Evening!
So, I have to admit: my guess was completely wrong.

But that's entirely not the fault of Your documentation, Steve. Those LBMs are just too challenging for macroscopic determination.
Nice, so it's a Pluteus.
LG; Pablo.
-
Thank you everyone for your help and contribution to my post


I was analysing Vellinga 1990 monograph and I am very confident that my material showed here and others from Gozo refers to P. nanus. This is what I wrote at taxonomic comment:
Taxonomic notes: Three small Pluteus species that are morphologically similar to Pluteus nanus are P. thomsonii (Subsect. Eucellulodermini); P. podospileus Sacc. & Cub and P. romellii Britz. (Sacc.) (Subsect. Mixtini). According to Vellinga & Schreurs (1985), the latter subsection is characterised by a pileipellis made up of a mixture of two types of cells: sphaeropedunculate and elongated fusiform or conical hyphae, twice the length of the former. Besides that, P. thomsonii exhibits mucronate cheilocystidia and a strong venose character on its pileus, whereas P. podospileus is macroscopically characterised by a brown floccosity or punctuations on the stipe. P. romellii has a similar pilleipellis to P. nanus, but has a distinct pale or chrome yellow colour throughout most of the stipe, sometimes also seen in the lamellae (Vellinga, 1990). Two forms of P. nanus are given in Vellinga (1990), of which distinction is based on the stipe’s colour and its fine floccose coating. The stipe's reduced floccosity and its light colour turning gray only at the base, assigned the examined material to forma nanus rather to forma griseopus (P.D. Orton) Vellinga. P. nanus and P. griseopus P.D. Orton were previously treated as separate species, but P. griseopus was judged to have minor artificial differences only in the colour of the stipe and so it was demoted to a forma by Vellinga & Schreurs (1985)
-
Hello,
I think you mixed up the sections: thomsonii and podospileus belong to Mixtae, whereas romellii is an Eucellulodermi.
Phlebophorus would be even more similar to your collection, as romellii has a yellow stipe and phlebophorus is colourless to slightly greyish or yellowish-greyish
all the best,
Andreas
-
Yes you are right I interchanged the subsections by careless mistake. I will check and probably include the fourth. Thank you so much!
