That's it. Thank you for your help, I follow some old key (like Flora Agaricina Neerlandica) and maybe some recent literature and I report my conclusions.
Beiträge von Steve_mt
-
-
basidia have this apparatus at the base, sometimes giving rise to an adjacent cheilocystidium
-
-
-
-
Yes this was for long known as Psathyrella marcescibilis, but recently the genus was split and this taxon is used:
Coprinopsis marcescibilis
-
Hello again,
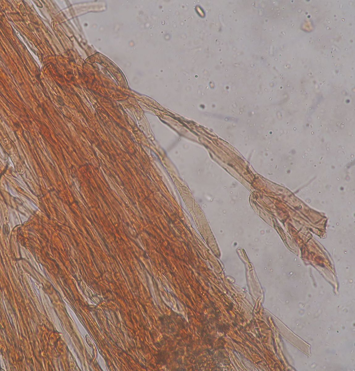
It is mushroom window in Malta (which may last for a month or two). We have a lot of Coprinellus/Coprinopsis species and I came across to this specimen strangely growing on woody remains of Atractyllis gummifera (when this thistle dries it has some soft woody remains).
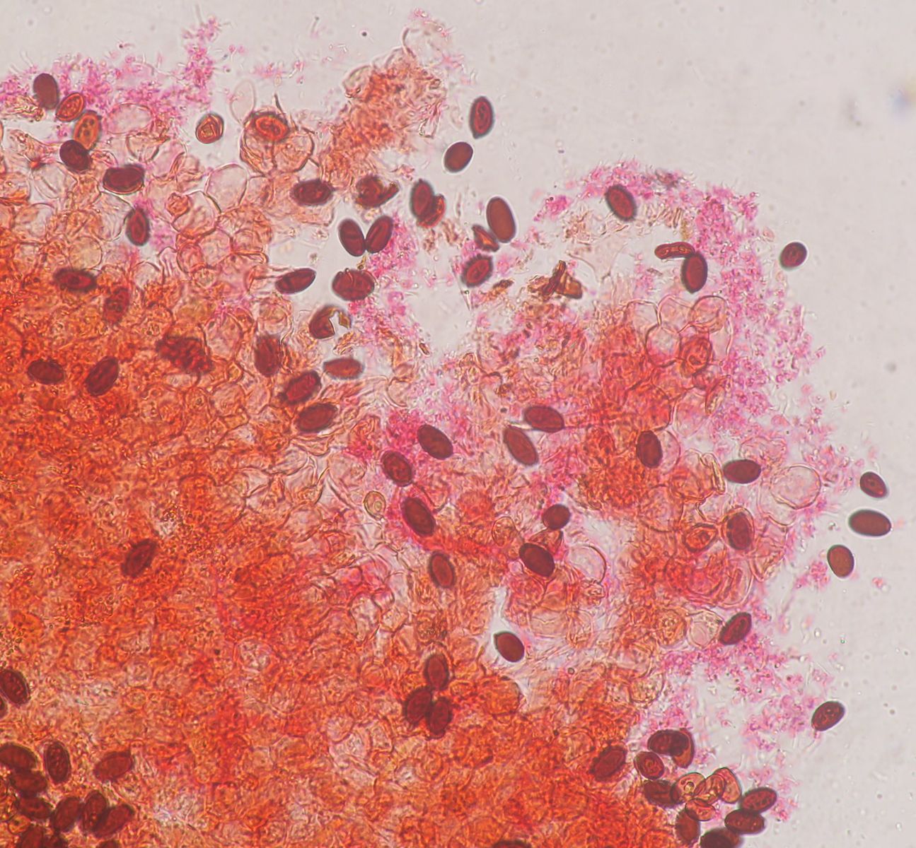
The species was slightly overmature, and there was no significant veil. The spores were large, barrel shaped with a distinctive 1.5-1.8 um germ. pore.
(10.7) 11.1 - 12.7 (13.2) × (5.5) 6.1 - 7 (7.2) µm
Q = (1.6) 1.7 - 1.9 (2) ; N = 35
Me = 12 × 6.6 µm ; Qe = 1.8
Cystidia polymorphic utriform, mostly stout and short (40-45 x 9-12 um)
I believe I saw some clamps too
Following the key by Melzer, 2019 (which as you know it is not a walk in the park) I reached Coprinopsis marcescibilis (not C. pseudomarcescibilis as this has largerer spores - 12-15um)
But comparing it to this species, my specimen does not have
- the typical bell-shaped cap but applanate,
- has a yellow hue at the center of the cap
- the stipe is not particularly with flocks
- there aren't distinct appendages on the rim, but I know this is an old specimen and can be lost
actually I think I saw a remnant appendages left (red circles).
While the micro fits ok the macro is a bit less so.
Opinions are welcomed please

-
Dear friends - thank you for helping out. I will do further tests as you kindly suggested and report back. I agree the spores are not of Clitocybe now despite the close resemblance to a C. nebularis - (I thought there are some exceptions). So good to learn this genus is always smooth-spored .
This photo somehow reveals a sinusoidal lamellar attachment (look at the right):
-
Dear friends, long time no see.
From Malta (Gozo) I encountered this grey mushroom growing in small clumps in a garden-soil in a park under Cypress trees. It is a Clitocybe (Funnel fungus) with a faint sweet-fruity scent, taste mild-mushroom at first than changes to sharp, bitter-acid....
In the lab:
Spore print pure white
Spore Size
(5.8) 6.4 - 7.3 (7.6) × (4.4) 4.6 - 5.3 (5.5) µm
Q = 1.3 - 1.5 ; N = 29
Me = 6.8 × 4.9 µm; Qe = 1.4
Spore shape: pip-shaped (like orange seeds) with what looks to be a warty surface.
I had high hopes of Clitocybe nebularis but two things are a bit off:
1. Spore width a bit too high (Q is higher for nebularis?)
2. Spores seems warty but nebularis have them smooth.
* Maybe I am sleepy right now, but spore shape is not Entolma-ish right?
.... well, Entolmas has pinkish spore prints, so cant be E.
Otherwise it is a good match.
-
The more I read the more I am getting convinced. You are free to express your opinions. Sample collected
https://ccmedia.fdacs.gov/content/download/4638/file/Inonotus%20Rickii.pdf -
Boccaccio/Bjorn
It didn't take much to realize you are on the good track!
Probably Ptychogaster cubensis the anamorph of Inonotus rickii which is already reported from Malta but lets see anamorphs of other Inonotus spp.
-
Hi everyone,
what about the anamorph of some Inonotus species?
Björn
The reproductive system suggests an anamorph, this but I never heard of an anamorph of a basidiomycete. I do some research on this suggestion which is interesting.
-
Dear all,
I am not sure it is a Melanogaster (I put the ? in the title
). Also, it is good to point out that the sporocarp was big, about 5cm across.So here are the microimages of the spores, attachment of spores to 'reproductive hyphae' and the fibrils of the cuticle coat.
The large balloon-shaped spores measures about Me = 16.3 × 10.3 µm; Qe = 1.6
The Spherical spores about 8-11 um
-
Hi, A friend of mine called me to show me a strange fungus growing in his garden on the base of the trunk of a Sambucus nigra tree.It is soft and o n slicing there is a dark brown core made of a mass of spores along a reticulate wall. It should correspond to a gasteromycete and it features some unique characters.
The spores are reddish-brown variable in size and shape (globular, lemon-shaped, egg-shaped or balloon-shaped, some with a distinct short stipe), thick-walled, smooth, not warted or spinose (as most gasteromycetes are) The spores seem to be formed via blastic-synchronous reproduction, like grapes on a bunch. The cuticle of the sporocarp is fibrous (fur-like) pale yellow ending in reddish-brown tips.
Scent mushroomy, but neither wow-pleasant nor putrid, like faint mushroom soup!
It is some sort of Melanogaster but the spores are quite weird and there seems to be no basidia involved.
I have the micrographs in the other camera and will add soon.
I was thinking something like Malanogaster
-
Last one for this weekend. A Psathyrella s.l. with pale spores (like melanthina) but the vivid caramel brown pileus is not like melanthina. Any ideas please.
Veil cylindrical encrusted with pigment
Spores pale colour, germ pore faint or non evident, size
(6.4) 7 - 8.5 (9.1) × (3.9) 4.1 - 4.7 (4.9) µm
Q = (1.5) 1.6 - 1.9 (2) ; N = 29
Me = 7.7 × 4.4 µm; Qe = 1.7
Cheilo abundant in dense clusters
-
-
A beautiful clump of Coprinellus saccharinus (or micaceus) under Ceratonia siliqua (Carob tree) in succession (on clump completely over, one old and blackened, one drying up and this last clump just in time for photographing and collecting some specimens.
Veil white and tiny made of globose elements (sometimes with a tail like a balloon).
C. micaceus is another option (maybe better for the mitriform spores ?) but the stipe was glabrous almost completely without caulocystidia but maybe wiped during handling or from old age.
Spore dimensions:
(8.4) 8.9 - 10.3 (10.6) × (5) 5.2 - 6.1 (6.3) µm
Q = (1.5) 1.6 - 1.8 (2) ; N = 31
Me = 9.5 × 5.7 µm; Qe = 1.7
-
Reminder for this survey since about the protection status of fungi in Germany (and Switzerland and Austria)
-
Dear friends from Germany,
I am member of Jonef, an organisation gathering information about the protection and information of macrofungi for European countries. We have missing data for a few countries namely Germany, so I am sharing the link for the questionnaire. It takes only 5 mins and is about asking if there is a red list or national information about the awareness and protection of macro fungi per country. If someone fills it up let me know if possible (text here or private).
Ausfüllen | National Macrofungi Information Systems Survey: A JoNeF Project Initiative
The aim is to show to the EU, what is the level of protection (and awareness) of macrofungi in each member state (which so far is low), so then we propose at an EU level for a stronger conservation effort to macrofungi (= funds for the future). We also miss feedback from Switzerland too (hence any Swiss can fill the questionnaire too). Hope we get someone to fill it. THANK YOU
One may even wish to join JoNEF as a member to be more active in this project.
Thanks
Stephen
-
I don't think there are many Mucor fans here but I went to investigate a mucor-like microfungus produced on a tomato fruit at home.
I did some background research on what Mucorales grows on tomatoes and ended with a short list of five species: Rhizopus microsporus sl, R. stolonifer , Mucor plumbeus , M. racemosus , M. piriformis .
Under the microscope, I could not see basal rhizoids (but it is also a bit hard to extract them from the mesh of mycelia, like picking a mite from Bob Marley's hair) so I am assigning this to Mucor sp.
Furthermore, I have these findings:
Sorangiophores / hyphae: straight, silvery white (semi hyaline), 20-50um wide, sometimes branching below the sporangia.
Sporangia: Rounded, slightly compressed at the base, lead-gray (with olive-green tinge when not mature) to black, (47.6) 52.6 - 127.2 (187.2) × (41.4) 45.1 - 101.8 (122.4) µm [ Me = 77.4 × 70.9 µm ]
Columella: Pyriform, broadly conical, or boxing glove shaped, 30-80um wide [ Me = 104.9 × 78.1 µm ; Qe = 1.3 ]
Zygosporangia: not seen
Spores : Variable in shape from sunspherical to broadly ovate/broadly ellipsoid to sometimes more elongated (6.9) 8.4 - 11.1 (11.9) × (6.3) 6.8 - 9.6 (10.3) [Me = 9.7 × 8.2 err ; Qe = 1.2]
My finding compares will with Mucor pyriformis found here (spores and columella quite distinct)
Mucor piriformis cf. A. Fisch. • CEMAS • Orden MucoralesAvilés (Asturias), 6-V-202o, en restos orgánicos en el interior de un frigorífico, leg. & det. E. Rubio, ERD-8340. Zygomycota,www.centrodeestudiosmicologicosasturianos.orgWhat are your opinions?
-
Hallo Steve
Agaricus devoniensis ?
LG
Thank you so much for your suggestion and sorry for the delay, I went off from fungi for a some time and forgot to check here
I was not aware of a specific Agaricus in sand dunes and I think you are correct. Everything is matching, especially the ring, the spore size is pinpoint and the mild (sourish) taste which usually bisporus don't have. Colours and size too. This is a great finding.
BIG THANK YOU
LG
Stephen
-
I have found an Agaricus sp. at a touristic sand dune which I am trying to identify from the macro and micro.
- The mushroom has a cap 9 cm across and about 12cm long, stem 2 cm diameter. Odor fungoid (mushroomy), pleasant, like edible mushrooms, a hint of aromatic (but I don't mean anise-like). Taste like button mushrooms, slightly bitter.
- Ring fleshy but with a thin outer rim.
- Gills chocolate brown, crowded
- KOH -ve on flesh and cap
- On cutting in half there was no reaction but a little redding at the flesh under the gills and cuticle.
Spores size:
(5.5) 5.8 - 6.7 (16.6) × (4.3) 4.4 - 4.9 (5.2) µm
Q = (1.1) 1.2 - 1.4 (1.7) ; N = 39
Me = 6.5 × 4.7 µm; Qe = 1.3
Sterigmata x2 (+++) and x3 (+) and x4 (++) [ plusses = estimated abundance ]
Cheilocystidia not seen but maybe not distinct or deteriorated.
I would say it is an Agaricus bisporus with spores escaping from the restaurants closeby (from delivery of fresh button mushrooms), but the x3 and x4 sterigmata are a bit off for bisporus (or they can be found too?)
-
Dear Helmut, sorry for taking so long. I had some unexpected bad news re my computer.
The Caulocystidia in young specimens are throughout most of the length somehow on the outer ribs of the stipe, however in mature specimens the stipe turns beige and the pruinosity is lost and limited at the upper 1/4th.
Now I realise that this is the new species recently described in Ditte Bandi Paper as Inocybe mecoana from Portugal and Malta!!! It is very close to I. phaeoleuca.
In a mature specimen, pruinosity of the stipe is reduced!
-
Hello, everyone, and I hope you had a good start for 2025.
I encountered a Tricholoma sp. with a dark reddish-brown cap , white gills which turn cream or pale brown on aging (due to spore cover) , and a white stipe which turns light beige with time. Spore print chocolate brown. Several specimens were under Pine or Cypress trees in a calcareous ground. I made the mistake of not smelling it!
The spores are quite large with a distinct apiculum, elliptical-phaseoliform, brown.
(10.9) 11.6 - 13 (14.5) × (5.6) 5.9 - 7 (7.6) µm
Q = (1.7) 1.8 - 2 (2.2) ; N = 39
V = (190) 221 - 334 (402) µm3
Me = 12.3 × 6.5 µm; Qe = 1.9 ; Ve = 274 µm3
The cheilocystidia are numerous, narrowly utriform (capitate?) with many horn-shaped crystals at the top.
Pileipellis with dark pigments on the walls. I saw clamp junctions too.Basidia broad, rounded apex, (2)-4 sporous.
Do I have enough information to give me a clue about the identity?
-
Alles anzeigen
Hi Steve,
This is quite a typical find among pines in the Mediterranean, I've found it abundantly in Crete as well and it seems to be one of the prominent and abundant species in the Balearic Islands as well from what I've read.
Best,
Sarah
Thank you Sarah. Here in Malta, I have not seen quite often, but then, we do not have many old forests, and many woodland areas are rather recent afforestation (planted 20-50 years ago). Anyway thanks for your observation

