Landschaftspark Duisburg 10.11.2019

Es gibt 6 Antworten in diesem Thema, welches 5.050 mal aufgerufen wurde. Der letzte Beitrag () ist von Wutzi.

  • Hallo zusammen,


    am letzten Sonntag gab es beim APR mal eine Heimspiel-Exkursion für mich. Es ging in den Landschaftspark Duisburg, genauer gesagt auf das Gelände der ehemaligen Zeche Friedrich Thyssen 4/8. Das hat sich dann auch mehr als gelohnt, gab es doch zahlreiche verschiedene Arten zu bestaunen, darunter auch einige eher seltene Funde.


    1. Inocybe geophylla und Inocybe lilacina


    2. Tulostoma brumale


    3. Deconica montana


    4. Macrotyphula fistulosa


    5. Macrotyphula fistulosa und Macrotyphula juncea


    6. Lactarius turpis


    7. Boletus edulis


    8. Cyathus olla


    9. Arrhenia rickenii


    10. Omphalina pyxidata


    11. Stemonitis axifera mit seltsamen Befall


    12. Arcyria stipata


    13. Noch mal die ominöse Ceriporia von letzter Woche. Da muß ich noch mikroskopisch reinschauen, vielleicht gibt es ja mittlerweile Sporen.


    14. Catinella olivacea


    15. Hypomyces aurantius


    16. Artomyces pyxidatus

    Landschaftspark-0041.jpg


    17. Atheniella flavoalba


    18. Helvella crispa in Christkind-Form


    19. Marasmius bulliardii


    20. Hohenbuehelia petaloides agg


    21. Peziza sp.

    Landschaftspark-0060.jpg

    Landschaftspark-0084.jpg


    22. Noch mal eine Kollektion Rötlinge, die wieder ein Fall für den anderen Björn sind


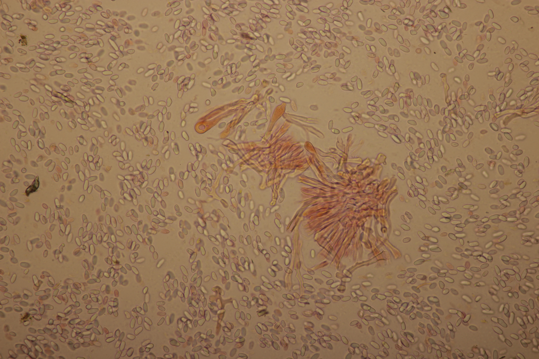
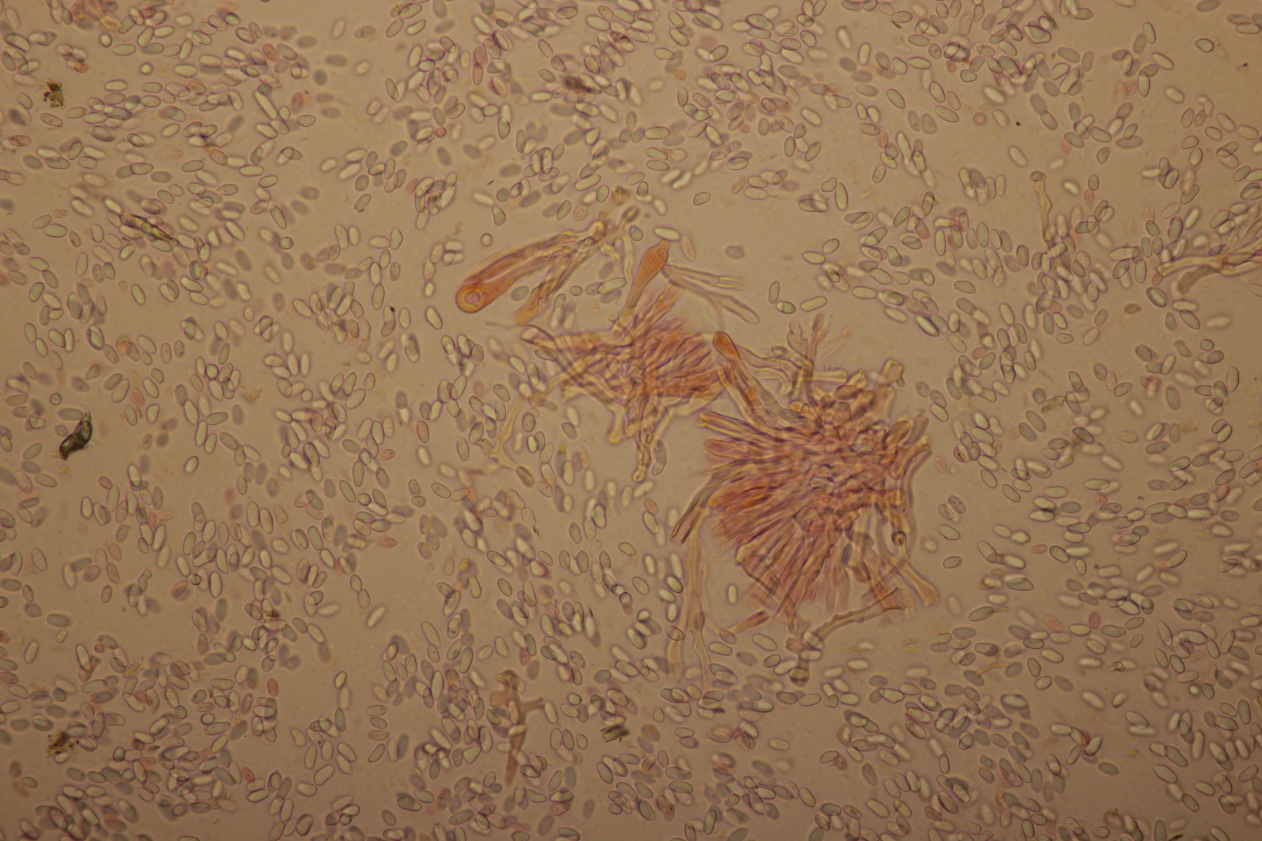
    23. Omphalina pyxidata

    Sporengröße (7.7+-0.6) µm x (4.7+-0.4) µm, Q=1.6+-0.2

    Landschaftspark-0094.jpg


    24. Crucibulum laeve


    25. Ein dünnschaliger Kartoffelbovist ohne Stiel und mit netzartigem Ornament auf den Sporen. Da lande ich dann bei Scleroderma bovista


    26. Eindrücke von der Landschaft im Landschaftspark


    Björn

  • Hallo Björn,

    wie immer viele interessante Pilze, die Nr. 10 (Omphalina pyxidata) sieht aber mehr nach der hellbraunen Variante von Gamundia striatula aus, diese parasitiert auf Schildflechten (siehe dein Foto) und gleicht in dieser Beziehung Arrhenia peltigerina.

    Beste Grüße

    Ingo

  • Servus Björn,

    was ist aus der Peziza (nr.21) geworden?

    Ist die violett?

    Wuchs sie auf ner Brandstelle + wie sind die Sporenmasse?

    Sieht auf jeden Fall spannend aus.


    Noch eine Frage zu Tulostoma brumale:

    Ist das die einzige Art mit diesen verdickten Septen ?


    Grüße

    Felli

  • Hallo zusammen,


    den Hinweis auf die Gamundia habe ich mal an den anderen Björn, der die mit nach Hause genommen hat, weitergeleitet.

    Wegen Zeitmangel hat sich bei der Peziza noch nicht viel getan. Ralf hatte mir nur auf FB gesagt, daß ich zu viel BWB benutze. Da werde ich also bei Gelegenheit noch mal ran in der Hoffnung, daß ich dann das Sporenelement besser beurteilen kann. Ansonsten habe ich gerade die Sporen vermessen und komme auf (17.6+-0.8) µm x (9.3+-0.3) µm. Standort war einfach auf dem relativ mageren Boden am Wegrand. Wirklich violett war sie nicht, wobei im Braunton schon ein leichter violetter Hauch vorhanden sein mag. Gilbende Milch oder dergleichen gab es nicht.


    Björn

  • Hallo Björn, die Christkind-Lorchel ist ja wirklich ein Sensationsfund. Ich liebe solche Exemplare.

    Lieben Gruß


    Claudia


    ...leben und leben lassen... ;)


    Hier im Forum gibt es grundsätzlich keine Verzehrfreigaben.

    Pilzsachverständige findest du hier.