Moin an alle die noch nicht im Pilzwinterschlaf sind ![]()
Ich bakam heute eine anfrage über die GIZ, jemand hätte sich in Tunesien mit Pilzen vergiftet und sei gerade in Deutschland gelandet.
Wie sich im Gespräch herausstellte, haben die Patienten bereits am vergangenen Mittwoch (30.01), diese Pilze in Tunis auf dem Wochenmarkt als „Weiße Trüffel“ gekauft und abends über nudeln gehobelt (sprich roh) verzehrt.
Nach dieser Mahlzeit bekamen sie heftige und anhaltende Brechdurchfälle. Sie ließen sich direkt vor Ort im Krankenhaus in Tunis behandeln. Da die Ärzte sich dort nicht mit Pilzen auskennen, konnte auch nicht gesagt werden um welchen Pilz es sich überhaupt handeln könnte. Interessanterweise wurde ein „Mäuse Test“ durchgeführt. Dabei wurde dieser Pilz 1:10 verdünnt und den Mäusen gespritzt. Ergebnis 3 von 5 Tieren Tot.
Folgende Symptome sind aktuell vorhanden:
- Erbrechen
- Durchfall
- Kribbeln in den Extremitäten
- Bauchschmerzen
- Hypertonie
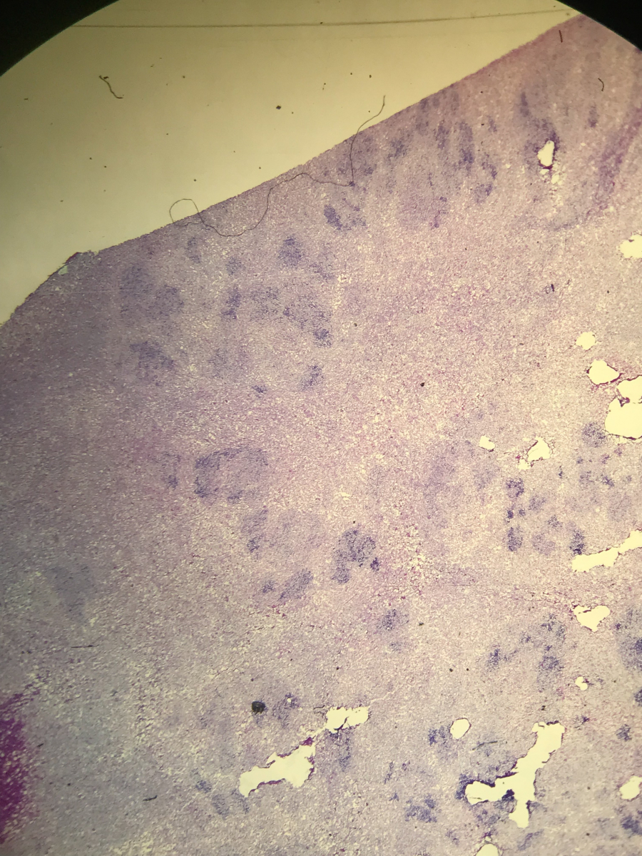
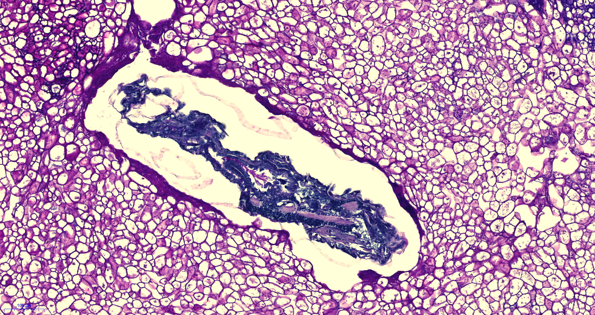
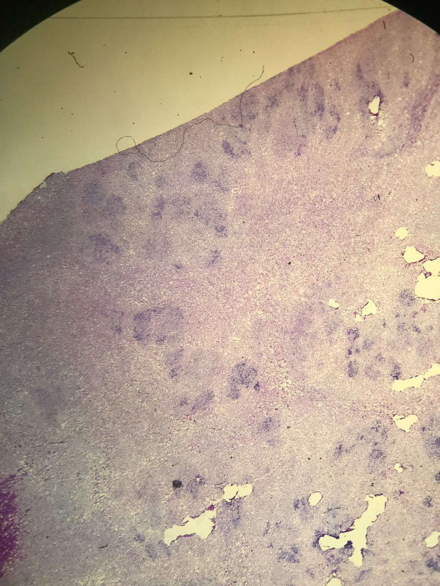
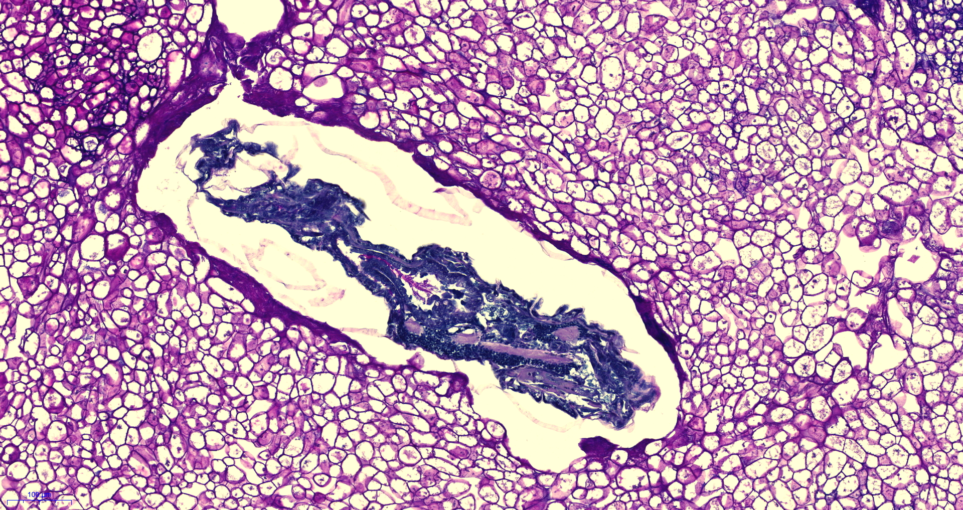
Das Material liegt mich seit knapp 2h vor und ich komme damit einfach nicht wirklich voran. Denn nicht nur das mir die passende Literatur dafür fehlt, viel schlimmer noch… Ich finde in keinem einzigen Präparat auch nur eine Spur von Sporen.
Morgen früh werde ich eine dünne Scheibe bei uns im Labor histologisch aufarbeiten… damit wir eine lichtdurchlässige Gesamtsicht erhalten ca. 1-3µm dick.
Das vorliegende Stück ist:
- ca. 30x25x8mm groß
- Peridie gelb bräunlich
- Geruch angenehm
Hat jemand eine Idee?!
Peter Reil habe ich diesen Text auch geschickt.
Viele dank schonmal!!!
Alex
