Nach dem Winterschlaf

Es gibt 50 Antworten in diesem Thema, welches 14.396 mal aufgerufen wurde. Der letzte Beitrag () ist von Beorn.

  • Hallo liebe Fories,


    schon etwas länger aus, mein letzter Beitrag. Na ja, Spektakuläres werdet ihr in diesem nicht zu sehen bekommen, mir zuckt's einfach im Schreibe/- und Zeigefinger. :evil:


    Ausgangspunkt dieser Samstagstour war der Rauschelesee i[font="sans-serif"]m K[/font][font="sans-serif"]eutschacher Seental, ein beliebtes Badegewässer. Solange die Angler nicht ihre Ruten auswerfen.,[/font]


    Der erste Fund war kaum zu übersehen,


    Weiden-Feuerschwamm, Phellinus trivialis weil an einer Weide; wenn nicht an Weide, wär's der Gemeiner Feuerschwamm :whistling:


    1)



    Am Fuße dieses Weidenstammes hätte ich Weidenkätzchen-Becherlinge erwartet, gezeigt haben sich Erlenkätzchen-Becherlinge, Ciboria amentacea,


    2)



    Lustiger Baum, lustige Leut', :D



    3)



    Die habe ich mir als T. ochracea schön reden wollen, Trametes versicolor


    4)




    Panellus stipticus, Herber Zwergknäuling,


    5)



    Die winzigen Becherlinge hätte ich beinahe übersehen, Arbeitstitel Guepiniopsis buccina,


    6)




    Am selben Stamm Grünspanbecherlinge, Chlorociboria spec.,


    7)




    Buchenadernzähling, Plicatura crispa,


    8)




    9)




    Stereum subtomentosum, Samtiger Schichtpilz,


    10)


    11)




    Chondrostereum purpureum, Violetter Knorpelschichtpilz,


    12)











    Pause, wer mag holt sich ein frisches Biogetränk & einen gesunden Snack, ich genehmige mir ein Bier & Knabbergebäck :yumyum:











    Schriftflechte, Graphis scripta,


    13)




    Tabakbraune Borstenscheibe, Hymenochaete tabacina,


    14)




    Laeticorticium roseum, Rosafarbener Rindenpilz,


    15)




    Ganoderma applanatum,


    16)




    Ein Kammpilz, den bekomme ich nicht auf die Reihe. Phlebia radiata kenne ich mit Orangetönen,


    17)

     
    Pablo kennt den Kandidaten bereits, diese Aufnahme ist von heute,


    18)


    Zwei Proben habe ich mitgenommen, bin für jede Idee dankbar.



    Merulius tremellosus, Gallertfleischiger Fältling,


    19)




    Winterschachtelhalm, Equisetum hyemale,


    20)




    Diese Raupe wird uns leider nicht als Schmetterling begegnen,


    21)



    Endlich Futter, :P ,



    Flammulina velutipes, Samtfußrübling


    22)


    mit Salat alá Holler,


    23)




    Magic hat eine neue Kamera, fotografiert einen Himbeerstängel,


    24)



    irgendetwas kleines halt,


    25)



    Mal schaun, was hier fotografiert wird, vermutlich ein seltenes Moos,


    26)



    Bingo, jede Menge Moos, :thumbup:


    27)



    Schon sind wir am Ende dieser Tour angelangt, die knapp' sechs Stunden gedauert hat. Die Waldfeen & Gnolme haben uns noch einen Wegweiser bereitgestellt,


    28)


    der uns direkt zum Rosenroter Baumschwamm, Fomitopsis rosea


    29)



    geführt hat. Ein einfaches Danke dafür an die Waldfeengnolme,


    ein herzliches euch für's mitgehen,


    :)


    LG
    Peter
    P.S. Magic wird auch noch ein paar Aufnahmen einstellen, hoffe ich halt :evil:

    "Die, die Kriege von oben führen sind feige Schreibtischtäter, die nicht wissen wie schrecklich Krieg ist".

    Quelle: "Masters Of War", Bob Dylan

    Einmal editiert, zuletzt von Habicht (†) ()

    • Offizieller Beitrag

    Griaß Di, Peter!


    Was soll das heißen, nix Spektakuläres?
    Tolle Sachen habt ihr da eingefangen. Es geht ja nicht darum, ob ein Pilz nun selten, selten dokumentiert oder oft dokumentiert aber dennoch selten (weil oft fehlbestimmt) oder einfach nur häufig ist.
    Pilz ist Pilz. Und Schönheit muss nicht selten sein.


    Allerdings: Manchmal kommt beides zusammen. Dein FomRosi ist so ein Fall für mich. Unheimlich hübscher Pilz und jedenfalls bei mir sehr selten.


    An ein paar Sachen möcht ich trotzdem rumnörgeln.
    Bei dem Becherling (2) stimmt was nicht. Weder Erlenkatzenbecherlinge noch Erlenzapfenbecherlinge (sind zwei unterschiedliche Arten) können an Weide wachsen, wenn ich mich nicht irre. In solche Pilze sollte man schon mal reinlinsen. Immerhin sind die mikroskopisch echt dankbar, diese Becher.


    12: Ist doch ein Nadelholzzweig und hat Poren. ;)
    Mach da mal Trichaptum abietinum (Violetter Knorpelporling) draus.


    14: Ist doch auch Nadelholz. Den findest du in der Gattung Amylostereum (Amyloid - Schichtpilze). Frag mich nicht welche Art, alle zwei (oder drei?) verstecken sich hartnäckig vor mir.


    17 ff: Schreibe ich im Nachbarforum nachher noch was. Oder kann ich auch hier machen: Immerhin "in gebirgsnähe" wart ihr ja unterwegs. Und wenn das Substrat Nadelholz ist, steigt die Wahrscheinlichkeit für Phlebia centrifuga. Mikroskopisch müsste man da aber schon dran, fürchte ich. Da gibt es noch so eine ganze Reihe ähnliche Phlebias.
    Der an Moos (Bild 19) ist der Gleiche, denke ich. Also kein Merulius. Sieht immer etwas komisch aus, wenn so eine Phlebia Moose überwächst.


    25 dürfte Acrospermum (Flachkeulchen) sein, aber welche Art der Gattung, kann ich nicht sagen, weil da kenne ich mich nicht aus.



    LG, Pablo.

    • Offizieller Beitrag

    Hallo Peter!


    Oft machen es nicht die Funde, sondern die Art des Ablichtens. Bei dir stimmt zugegebenermaßen beides. Um einige Funde (z. B. Grünspanbecherling) werden dich einige beneiden. Ich würde gerne mal Fomitopsis rosea sehen - mein persönliches Highlight des Beitrags. :thumbup:


    25 könnte evtl. Acrospermum compressum sein. Der wäre (vom deutschen Namen ausgehend) wohl leicht mit Mikro zu bestimmen. Das ist doch ein Brennnesselstengel gewesen, oder? Falls die schwarzen Punkte spitz waren (Lupe muss her), wäre es der häufige Zugespitzte Kugelpilz.


    LG, Jan-Arne


  • ... der uns direkt zum Rosenroter Baumschwamm, Fomitopsis rosea ...


    ;( Argh!


    Funktioniert der Wegweiser noch ? Dann her damit.
    Du kokettierst schon wieder mit diesem Pilz den ich zu gerne auch mal finden möchte.


    Interessant wieviele Pilze du auf stehendem Baum gefunden hast bzw. welche daran.
    Hier muß ich mich in der Regel dabei auf umgefallene konzentrieren.

  • Hallo Habichterla!


    Na, das ist doch ein gelungener Wiedereinstieg in die Berichterstattung! Nach dem enorm langen "Nichtwinter" befinde ich mich jetzt in einer totalen Winterstarre, hab mich ein bisschen rar gmacht in letzter Zeit.
    Aber das hat jetzt hoffentlich bald ein Ende. Hast mich wieder auf die richtige Fährte gebracht, mit Deinem Bericht.

  • Hallo, liebe Pilzfreunde!


    Nachdem Habicht so voller Hoffnung ist, überwinde ich meine Ängste und tu`s.


    Ich habe bei unserem Pilzausflug auch das eine oder andere Foto (ca. 180) gemacht. Ich benutze eine Canon Eos 1100D und seit 2 Wochen eine Mikroskopkamera namens dnt DigiMicro Mobile, die mir senationelle Einblicke (bis zu 500fache Vergrößerung) verschafft. Die Handhabung muß ich noch üben, aber einige sind schon ganz gut geworden.


    Als erstes - besonders für JanMen - das fadensporige Flachkeulchen, Acrosperum compressum - auf alter Himbeere




    Vom Grünspanbecherling, chlorospenium aeruginascens gibt es auch eines



    Auch der Violettporling, trichaptum abientum gestattete tiefe Einblicke



    Ebenso der Kammpilz ,der weiterhin ein Rätsel bleibt - bis er Sporen abwirft, dann kommt vielleicht Klarheit in die Sache (oder noch mehr Verwirrung ;) )



    Der Weidenfeuerschwamm, Phellinus trivialis (warum trivialis, meiner Meinung sensationell und überhaupt nicht trivial) muß aufgrund seiner Größe mit der Canon vorlieb nehmen - jedem Pilz, was für ihn am besten ist.



    Nun noch 3, die Habicht nicht eingestellt hat.


    Ein Grünerlenzystidenrindenpilz, Peniphora aurantiaca





    Ein Marasmius spec. - immer wieder eine Freude in der "falschen" Jahreszeit sowas zu finden
               


    und ein noch unbekannter Becherling auf Weide, vielleicht ist er schon jemanden bekannt - bin für Hilfe immer dankbar



    Zum Entspannen einmal etwas ohne Pilz



    Das war`s für heute,vielleicht demnächst mehr -


    LG Magic

    • Offizieller Beitrag

    Hallo, Magic!


    Willkommen im Forum! Schön, daß du den Weg hierher gefunden hast, nachdem der Peter schon einiges von dir erzählt hat. Ganz im Positiven Sinne. Das bestätigt sich durch die schönen Aufnahmen von interessanten Pilzen zum Einstand. :thumbup:


    Ich drücke mal die Daumen, daß sich bei der Phlebia noch reife Sporen finden. Sieht echt interessant aus.


    Der unbekannte Becher an Weide, saß der zufällig an dünnen Ästchen?
    So ein wenig erinnert der makroskopisch an Lachnella alboviolascens. Wäre dann ja ein Ständerpilz und kein Asco. Kann aber freilich auch was Anderes sein.



    LG, Pablo.

  • Hallo Peter!

    Zitat


    Weiden-Feuerschwamm, Phellinus trivialis weil an einer Weide; wenn nicht an Weide, wär's der Gemeiner Feuerschwamm


    Sagt wer???


    Zitat


    Am Fuße dieses Weidenstammes hätte ich Weidenkätzchen-Becherlinge erwartet, gezeigt haben sich Erlenkätzchen-Becherlinge, Ciboria amentacea,


    Und das habt ihr wie festgestellt?
    So von weitem betrachtet sieht das doch schon ziemlich nach den weiblichen Fruchtständen der Weide aus, das ja bekanntlich das Substrat von Ciboria caucus ist.


    Zitat


    Stereum subtomentosum, Samtiger Schichtpilz,


    Das ist der Striegelige Schichtpilz (Stereum hirsutum). Der Samtige wächst nicht so wellig am Hutrand, nicht so wirr am Substrat (viel schöner waagerecht und die Hüte fast paralel zueinander) und ist nicht striegelig auf dem Hut.
    Beim jungen Fruchtkörper sieht man auch das Gelb der Fruchtschicht, das nicht zum Samtigen passt.


    12 und 14 hat Pablo schon gesagt, wobei ich die 14 am ehesten für Amylostereum areolatum (Fichten-Amyloidschichtpilz) halte.


    Dafür glaube ich dir aber sofort die 15, also den Rosafarbenen Rindenpilz (Laeticorticium roseum).


    Hallo Magic!

    Zitat


    Acrosperum compressum - auf alter Himbeere


    Also wenn das der Stängel von oben von Peter ist, dann glaube ich das nicht mit der Himbeere.


    Zitat


    Der Weidenfeuerschwamm, Phellinus trivialis (warum trivialis, meiner Meinung sensationell und überhaupt nicht trivial) muß aufgrund seiner Größe mit der Canon vorlieb nehmen - jedem Pilz, was für ihn am besten ist.


    Ob der nich eher einen roten Rand hat? Irgendwie glänzt es dort und das Substrat sieht wie Fichte aus.


    Zitat


    Ein Grünerlenzystidenrindenpilz, Peniphora aurantiaca.....


    Kann also nicht Peniophora incarnata (Fleischroter Zystidenrindenpilz) sein, weil....???


    Beim grauscheibigen Becher würde ich nie gegen Pablos Tipp wetten, weil er wahrscheinlich recht hat.


    VG Ingo W

    ________________________________________________________________
    "Pilz nur von oben ist wie Käfer nur von unten"

    145-15 (Teilnahme APR 2023) = 130+3 (10. Platz) = 133+3 (Unbewusst-Phal) = 136+5 (Lupus-Wette-APR-Sieger=ü300) = 141+5 (GnE-Gewinnsteuer-APR23) = 146+7 (Phalplatz 1) = 153-20 (Teilnahme APR 2024) = 133+5 Honorar APR = 138+8 (APR-Treppchenwette 2.Pl.) = 146+4 (APR-Früh-Joker-Bonus 1.Pl.) = 150+15 (Phalprämierung 2. + 5. Pl) = 165-20 (Teilnahme APR 2025) = 145+4 (8. Pl. APR2025) = 149+3 (GnE-Prozent-Gewinnabstaube) = 152+9 (2.Platz Phalprämierung) = 161


    Link: Gnolmengalerie

    Link: Auflösung APR 2025

    Link: Nanzn 2025

    Link: APR 2025


  • Hallo, Pablo!


    Danke für die nette Begrüßung.


    Habe auch schon einiges von dir gelesen, super Aufklärungsquoten hast du.


    Die Phlebia ziert sich noch ein bißchen - ich weiß aber, wo sie wächst........... ;)


    Der Becherling saß auf dem Weidenstamm direkt unter dem Feuerschwamm. Die Rinde ist durch eine Verletzung dort nicht vorhanden - also blankes Holz.


    LG Magic
    [hr]


    Hallo Ingo!


    Zu dem Kätzchenbecherling : Das Erlenkätzchen ist auf dem Foto von Peter beim kleineren der Becherlinge zu sehen. Vielleicht stellt Peter eine Vergrößerung davon ein.


    Zur Himbeere und Weide: Wir hatten das Glück einen der führenden Botaniker Kärntens beim Ausflug dabeizuhaben, das nutze ich beinhart aus und nagle ihn bei Substraten fest. Übernehme sein Wissen bei 100% Aussagen :)


    Grünerlenzystidenrindenpilz: Wurde von mir mikroskopiert - die Merkmale wie Sporen, Septen usw. passen genau. Leider kann ich mit meinem Mikroskop nicht fotogrphieren um den Beweis einzustellen - ist die nächste Anschaffung, das Digitalmikroskop, wird aber noch etwas dauern.


    Wetten ist nicht so meins - bin schon zu lange pilzmäßig unterwegs. Pilze sind selbstständige Wesen - alles ist möglich ist mein Motto.


    LG Magic



  • Griaß di, Pablo,


    danke für deine netten Zeilen und Korrekturen :)


    (2) ist ein Erlenkätzchen, vom Wind zum Stamm der Weide verfrachtet. Auf dieser Aufnahme sieht man das Substrat besser.


    1)



    Winfried hat als Biologe auch Lebensraumaufnahmen gemacht, Erlen gibt's in unmittelbarer Nähe bis zum Abwinken,


    2)



    12) werde ich ändern,


    14) So wie oben, ABER: ein genialer Erstfund für mich, eine verblüffende Art. Wie die sich vermehrt, das ist schon krass 8|
    https://de.wikipedia.org/wiki/Braunfilziger_Schichtpilz
           
    17) In Gebirgsnähe waren wir nicht, der FO ist in 15 Autominuten erreichbar. Allerdings haben wir in Klagenfurt öfter eine längere Inversionswetterlage. Die Phlebia habe ich getrocknet, die ist morgen dran. Schau ma amol, was rauskommen wird. Das Substrat kriegen wir raus, ich werde Winfried eine Aufnahme schicken.


    19) Wäre eigentlich ein feiner Rätselpilz für's APR :evil:


    Im 123 habe ich ja nur Nahaufnahmen gemeinsam von Phlebia und Merulius gezeigt, wahrscheinlich bringst du die deshalb in Verbindung.


    Ein wenig weiter Abstand vom Motiv,


    3)



    25) Flachkeulchen hat Magic gefunden, ich wär auf den Himbeerststängel raufgelatscht. Stängel & Keulchen, beide sind auf
    meiner Ignorierliste gelandet.


    LG
    Peter




    Ich würde gerne mal Fomitopsis rosea sehen - mein persönliches Highlight des Beitrags. :thumbup:



    Hallo Jan-Arne,


    Fomitopsis rosea würdest du gerne in Natura sehen? Herbei mit dir & bring bitte gleich ein paar Fories mit,


    :evil:


    LG
    Peter





    Der funktioniert noch :whistling: Sieben Meter Wegweiser, willst echt? Weiter per PN....
    Einfacher wäre eine Fahrgemeinschaft mit Jan-Arne, mietet euch einen Zwanzigsitzer...


    Gut beobachtet, die stehenden Bäume haben mehr geliefert, :thumbup:






    Hast mich wieder auf die richtige Fährte gebracht, mit Deinem Bericht.



    Liebe Tuppie,


    schön, dass ich Dich wieder auf die richtige Fährte gebracht habe. Damit meinst du sicher den Zwanzigsitzer. Ob Jan-Arne oder doch Mausmann Buchungen entgegennehmen wird ist noch nicht fix.


    Fagus am Besten bei beiden,


    ;)


    LG
    Peter





    Hallo Ingo,


    1) sagt keiner. Habe ich bei Wolfgang so heraus gelesen, "der gemeine Feuerschwamm kann auch an Pappel und Obstbäumen vorkommen". Pappelfeuerschwamm & Obstbaumfeuerschwamm gibt's also auch, :evil:


    2) Das hat mich total verwirrt, Erlenkätzchenbecherling am Stamm einer Weide. Eine Aufnahme dazu habe ich schon oben eingestellt, die Erklärung auch.


    3) Stereum subtumentosum, eine zugeschnittene Aufnahme, die zeigt Eis und keine striegelige Oberfläche.




    12) wird korrigiert



    14) auch. Da war ich zuvor auf Schnüffeltour, u.a. auch auf deiner HP. Substrat ist Fichte, danke für deine Bestimmung :thumbup:


    LG
    Peter




    Mit Leuten wie Euch möchte ich auch gerne mal unterwegs sein.



    Hallo klüppli,


    wir würden dich auch gerne zu einer Tour mitnehmen.
    Fährst selber nach Kärnten oder kommst mit dem Zwanzigsitzer? Angeblich sind in diesem Bus nur noch 5 Plätze frei 8|


    LG
    Peter

    "Die, die Kriege von oben führen sind feige Schreibtischtäter, die nicht wissen wie schrecklich Krieg ist".

    Quelle: "Masters Of War", Bob Dylan

    Einmal editiert, zuletzt von Habicht (†) ()

  • Hallo Peter!

    Zitat


    3) Stereum subtumentosum, eine zugeschnittene Aufnahme, die zeigt Eis und keine striegelige Oberfläche.


    Glaube ich dir nicht.
    Hutform passt nicht und Eiskristalle gibt es nicht nur dort, wo die filzige Zone der Hüte ist. Im Hintergrund siehst du sogar die knallgelbe Farbe der Fruchtschicht eines aufgestellten Hütchens.


    Zitat


    1) sagt keiner. Habe ich bei Wolfgang so heraus gelesen, "der gemeine Feuerschwamm kann auch an Pappel und Obstbäumen vorkommen". Pappelfeuerschwamm & Obstbaumfeuerschwamm gibt's also auch, Freebsd


    Finde ich irgendwie unlogisch, was du schreibst: weil der Gemeine Feuerschwamm (welcher ist jetzt der Gemeine? Trivialis oder igniarius?) auch andere Substrate besiedelt, kann also Phellinus igniarius nicht an Weide wachsen?


    VG Ingo W

    ________________________________________________________________
    "Pilz nur von oben ist wie Käfer nur von unten"

    145-15 (Teilnahme APR 2023) = 130+3 (10. Platz) = 133+3 (Unbewusst-Phal) = 136+5 (Lupus-Wette-APR-Sieger=ü300) = 141+5 (GnE-Gewinnsteuer-APR23) = 146+7 (Phalplatz 1) = 153-20 (Teilnahme APR 2024) = 133+5 Honorar APR = 138+8 (APR-Treppchenwette 2.Pl.) = 146+4 (APR-Früh-Joker-Bonus 1.Pl.) = 150+15 (Phalprämierung 2. + 5. Pl) = 165-20 (Teilnahme APR 2025) = 145+4 (8. Pl. APR2025) = 149+3 (GnE-Prozent-Gewinnabstaube) = 152+9 (2.Platz Phalprämierung) = 161


    Link: Gnolmengalerie

    Link: Auflösung APR 2025

    Link: Nanzn 2025

    Link: APR 2025

    Einmal editiert, zuletzt von Ingo W ()

    • Offizieller Beitrag

    Moin, Moin!


    OK, danke zu der Becherchen - Erklärung. Klar kann auch mal ein Fruchtstand wandern und dann woanders liegen.
    Bei mir wandern die Pilze dann auch, und zwar immer unters Mikroskop. Sieht ja auch hübsch aus. ;)


    Auf Bild 3) in diesem Beitrag und 19) im startbeitrag kann ich immer noch keine Merulius tremellosus erkennen. Deren Wuchsform und Farbverlauf ist doch bei jungen, Moos bewachsenden Fruchtkörpern ganz anders? :/



    LG, Pablo.

  • Hallo!

    Zitat


    Auf Bild 3) in diesem Beitrag und 19) im startbeitrag kann ich immer noch keine Merulius tremellosus erkennen. Deren Wuchsform und Farbverlauf ist doch bei jungen, Moos bewachsenden Fruchtkörpern ganz anders? Hmmm


    Ich habe Merulius tremellosus (Gallertfleischiger Fältling) noch nie gesehen, wie er sich an Moos hochhangelt. Phlebia radiata macht das am Substrat oberseitig wachsend allerdings ganz gern, insofern Moos vorhanden ist.
    Ich glaube beim Bild nach wie vor an Phlebia radiata (Orangeroter Kammpilz) und bin schon ganz gespannt auf Pablos Portrait von Phlebia centrifuga (Randwüchsiger Kammpilz).


    Auch finde ich, dass die im Beitrag gezeigte Peniophora aurantiaca (Grünerlen-Zystidenrindenpilz) etwas zu schnell abgehandelt wurde.
    Ich sehe die Art als ziemlich selten und kaum vertrauenswürdig abgebildet, und wenn man sowas schon mal so schön fotografiert zu sehen bekommt, wäre ich dafür, dass man daraus auch ein ordentliches Art-Portrait für das Forum macht.
    Sollte Pablo keine Zeit haben, würde ich mich selbst als Mikroskopiker anbieten. Die erste Variante mit Pablo wäre mir freilich lieber.


    VG Ingo W

    ________________________________________________________________
    "Pilz nur von oben ist wie Käfer nur von unten"

    145-15 (Teilnahme APR 2023) = 130+3 (10. Platz) = 133+3 (Unbewusst-Phal) = 136+5 (Lupus-Wette-APR-Sieger=ü300) = 141+5 (GnE-Gewinnsteuer-APR23) = 146+7 (Phalplatz 1) = 153-20 (Teilnahme APR 2024) = 133+5 Honorar APR = 138+8 (APR-Treppchenwette 2.Pl.) = 146+4 (APR-Früh-Joker-Bonus 1.Pl.) = 150+15 (Phalprämierung 2. + 5. Pl) = 165-20 (Teilnahme APR 2025) = 145+4 (8. Pl. APR2025) = 149+3 (GnE-Prozent-Gewinnabstaube) = 152+9 (2.Platz Phalprämierung) = 161


    Link: Gnolmengalerie

    Link: Auflösung APR 2025

    Link: Nanzn 2025

    Link: APR 2025

    Einmal editiert, zuletzt von Ingo W ()



  • Hallo Ingo,


    mittlerweile zweifelte ich auch dran.
    Nochmal raus und genau schauen. Stiegeliger geht's ja schon gar nicht mehr,




    Die humorige Einlage zum Weidenfeuerschwamm habe ich dem 123 Pilze entnommen,


    [font="Arial"][/font][font="Arial, sans-serif"]    [/font][font="Arial, sans-serif"]Weidenfeuerschwamm, [/font][font="Arial, sans-serif"]Gemeiner Feuerschwamm,[/font][font="Arial, sans-serif"]  Grauer Feuerschwamm, Schwarzer Feuerschwamm, [/font][font="Arial, sans-serif"]Aschgrauer Feuerschwamm[/font]


    [font="Arial, sans-serif"][font="Times New Roman"][font="Arial, sans-serif"][font="Arial"]Vorkommen:[/font][/font]
    [font="Arial, sans-serif"][font="Arial"]Moorwälder, Auwälder, an Weiden, Pappeln, auch an Obstbäumen, Weißfäuleauslöser, parasitär oder folgezersetzend, ganzjährig.[/font][/font][/font]
    [/font]

    Wolfgang verwendet für Phellinus trivialis auch Gemeiner Feuerschwamm. Wenn also der Weidenfeuerschwamm nicht an Weide, sondern an Pappel wächst, ist es demnach der Gemeine. War von mir humorvoll gemeint, nicht bestimmend. :evil:


    Eine Frage habe ich noch an dich, hast du Amylostereum auerolatum mikroskopiert? Den habe ich heute gerade noch angetroffen, dreiviertel der FK sind nicht mehr vorhanden,




    Den lege ich mir morgen unters Mikro. Inkrusationen lösen sich in KOH auf, steht in der Wiki, gerade noch rechtzeitig gelesen, 8|


    Vielen Dank für deine Bestimmungen,


    :thumbup:


    LG
    Peter



    Bei mir wandern die Pilze dann auch, und zwar immer unters Mikroskop. Sieht ja auch hübsch aus. ;)


    Auf Bild 3) in diesem Beitrag und 19) im startbeitrag kann ich immer noch keine Merulius tremellosus erkennen. Deren Wuchsform und Farbverlauf ist doch bei jungen, Moos bewachsenden Fruchtkörpern ganz anders? :/



    Servas Pablo,


    bei den Kätzchen des Becherlings bedurfte es keiner Wanderung, die Bäume stehen sehr nahe beieinander,



    nicht einmal eines Lüfterls, alles Gute kommt von oben,




    Bei dir wandern die dann also unters Mikro, lese ich da eine zarte Kritik heraus, das hätte ich auch so machen sollen? :/


    Mach' ich doch glatt, die habe ich mir heute geholt, ein Winzling war noch da,




    Zur vermeintlichen Merulius habe ich heute noch ein paar Aufnahmen gemacht,


    Substrat ist Buche,



    am selben Stamm in unmittelbarer Nähe des vmtl. Merulis',




    Merulius an Moos kenne ich so,




    Bjerkandera war am Stamm auch vertreten,




    Wird ein Sonntag ganz nach meinem Geschmack, ich vorm Mikro und meine Mädels in der Therme, :haue:


    Die Phlebia schau' ich mir bei der Gelegenheit auch an,


    :evil:


    LG
    Peter

    "Die, die Kriege von oben führen sind feige Schreibtischtäter, die nicht wissen wie schrecklich Krieg ist".

    Quelle: "Masters Of War", Bob Dylan

  • Hallo Peter!


    Über die Daseinsberechtigung von Phellinus trivialis neben igniarius kann man verschiedener Meinung sein, da will ich auch gar kein Urteil abgeben. Wichtig ist, dass man nicht denkt, dass Phellinus igniarius nicht an Weide wachsen darf (das ist m.M. nach sogar das Hauptsubstrat).


    Zitat


    Vielen Dank für deine Bestimmungen,


    Nein, nein, da ist nichts bestimmt von mir.
    Ich gebe nur meine Zweifel weiter und möchte darüber diskutieren.
    Schön wäre es, wenn das nicht besserwisserisch verstanden wird, ist lediglich meine Meinung, und ich irre doch gelegentlich auch ganz gewaltig.


    Beim Stereum freue ich mich natürlich, dass das eine offene und (zumindest für mich) nachvollziehbare Aufklärung gegeben hat.


    VG Ingo W


    Edit: Amylostereum habe ich nicht mikroskopiert.

    ________________________________________________________________
    "Pilz nur von oben ist wie Käfer nur von unten"

    145-15 (Teilnahme APR 2023) = 130+3 (10. Platz) = 133+3 (Unbewusst-Phal) = 136+5 (Lupus-Wette-APR-Sieger=ü300) = 141+5 (GnE-Gewinnsteuer-APR23) = 146+7 (Phalplatz 1) = 153-20 (Teilnahme APR 2024) = 133+5 Honorar APR = 138+8 (APR-Treppchenwette 2.Pl.) = 146+4 (APR-Früh-Joker-Bonus 1.Pl.) = 150+15 (Phalprämierung 2. + 5. Pl) = 165-20 (Teilnahme APR 2025) = 145+4 (8. Pl. APR2025) = 149+3 (GnE-Prozent-Gewinnabstaube) = 152+9 (2.Platz Phalprämierung) = 161


    Link: Gnolmengalerie

    Link: Auflösung APR 2025

    Link: Nanzn 2025

    Link: APR 2025

    Einmal editiert, zuletzt von Ingo W ()

  • Über die Daseinsberechtigung von Phellinus trivialis neben igniarius kann man verschiedener Meinung sein, da will ich auch gar kein Urteil abgeben. Wichtig ist, dass man nicht denkt, dass Phellinus igniarius nicht an Weide wachsen darf (das ist m.M. nach sogar das Hauptsubstrat).


    Hi Ingo,


    diskutieren wir beide über des Kaiser's Bart?


    Gemeiner Feuerschwamm


    Systematik
    Klasse:
    Agaricomycetes
    Unterklasse:
    unsichere Stellung (incertae sedis)
    Ordnung:
    Borstenscheiblingsartige(Hymenochaetales)
    Familie:
    Borstenscheiblingsverwandte(Hymenochaetaceae)
    Gattung:
    Phellinus
    Art:
    Gemeiner Feuerschwamm
    Wissenschaftlicher Name
    Phellinus igniarius
    (L.) Quél.
    Der Gemeine Feuerschwamm (Phellinus igniarius, syn.  Phellinus trivialis )
    Quelle: Wikipedia



    Deine Meinung schätze ich sehr, du liegst selten daneben.


    So nebenbei, ein paar von deinen Chips werden heuer auf mein Konto wandern. Darauf wette ich schon mal einen, nimmst die Wette an?


    ;)


    LG
    Peter

    "Die, die Kriege von oben führen sind feige Schreibtischtäter, die nicht wissen wie schrecklich Krieg ist".

    Quelle: "Masters Of War", Bob Dylan

  • Hallo Peter!


    Zitat


    Hi Ingo,
    diskutieren wir beide über des Kaiser's Bart?
    Gemeiner Feuerschwamm


    Weiß nicht so recht, was du mir sagen willst.
    Ich sagte ja, über die Daseinsberechtigung beider Arten nebeneinander kann man verschiedener Meinung sein. Ich selbst bin der Meinung, dass die Synonymisierung trivialis zu igniarius schon seinen Gang geht.
    Wenn wer aber was anderes sagt, weil er meint, er kennt sich da gut aus, und kann beide unterscheiden, dann würde ich womöglich nicht auf meine Meinung beharren.


    Zitat


    So nebenbei, ein paar von deinen Chips werden heuer auf mein Konto wandern. Darauf wette ich schon mal einen, nimmst die Wette an?


    Die Wette nehme ich an. Ich bin geizig und du kriegst keine Chips von mir. Deinen eingesetzten Chip hole ich mir am 1.1.2017 ab.


    VG Ingo W

    ________________________________________________________________
    "Pilz nur von oben ist wie Käfer nur von unten"

    145-15 (Teilnahme APR 2023) = 130+3 (10. Platz) = 133+3 (Unbewusst-Phal) = 136+5 (Lupus-Wette-APR-Sieger=ü300) = 141+5 (GnE-Gewinnsteuer-APR23) = 146+7 (Phalplatz 1) = 153-20 (Teilnahme APR 2024) = 133+5 Honorar APR = 138+8 (APR-Treppchenwette 2.Pl.) = 146+4 (APR-Früh-Joker-Bonus 1.Pl.) = 150+15 (Phalprämierung 2. + 5. Pl) = 165-20 (Teilnahme APR 2025) = 145+4 (8. Pl. APR2025) = 149+3 (GnE-Prozent-Gewinnabstaube) = 152+9 (2.Platz Phalprämierung) = 161


    Link: Gnolmengalerie

    Link: Auflösung APR 2025

    Link: Nanzn 2025

    Link: APR 2025

  • Die Wette nehme ich an. Ich bin geizig und du kriegst keine Chips von mir. Deinen eingesetzten Chip hole ich mir am 1.1.2017 ab.


    Die Wette gilt :thumbup:


    Status quo, ich stelle Funde ein, du runzelst die Stirn, ja?


    Sofern du nicht auf eine von fünf angebotenen Wetten eingehst, wandern 35 Chips zu mir, o.k. ?


    Der 1.1.2017 ist ein krudes Datum, die Iden im selbrigen nehmen wir.


    :P


    LG
    Peter

    "Die, die Kriege von oben führen sind feige Schreibtischtäter, die nicht wissen wie schrecklich Krieg ist".

    Quelle: "Masters Of War", Bob Dylan

    • Offizieller Beitrag

    Hallo, Leute!


    Achja, diese Phellinüsse...
    Was man wohl mit sehr hoher Sicherheit sagen kann:
    Phellinus trivialis ist aktuell nur eine Variation / Wuchsform von Phellinus igniarius.
    Current name laut Mycobank von P. trivialis: Phellinus igniarius var. trivialis.
    Was man aufgrund von genetischen Untersuchungen und Kreuzungstests nahezu sicher weiß:
    Phellinus igniarius (und somit auch Phellinus trivialis) ist obligat an Weidenarten (Salix sp.) gebunden!
    Ein morphologisch identischer feuerschwamm, der nicht an Weide wächst, ist nicht Phellinus igniarius (und auch nicht Phellinus trivialis).
    Und bitte, bitte: Keine Phellinüsse an mich schicken. Da kommt nichts Sinnvolles bei raus, wenn ich die nicht selbst eingesammelt und auch das Substrat untersucht habe.


    An dem Buchenstubben hast du durchaus Merulius tremellosus dran, Peter. Aber der, der nicht aussieht wie Merulius tremellosus ist auch nciht merulius tremellosus.
    Im grunde würde ich mich da auf Ingos Seite schlagen: Es passt viel zu Phlebia radiata (= Phlebia merismoides). Was mir überhaupt nicht passt, sind die Farbverläufe. Esgibt alelrdings eine ganze Reihe anderer Phlebien, die man sich mal noch angucken kann.
    Also wenn du mir was schicken willst, Peter:
    Die Phlebias nehme ich an.
    Also den Fund im Startbeitrag (Beitrag #1 Bilder 17 + 18) und den nachfolgend gezeigten Fund am Buchenstumpf (Beitrag #1 Bild 19, Beitrag #11 Bild 3).


    Warum kommt ihr eigentlich auf die Idee, ich hätte ein Portrait von Phlebia centrifuga? Habe ich nämlich nicht. ich weiß, wie sie aussehen soll und ich habe eine bislang ungeklärte Phlebia bei mir herumliegen. Aber ungeklärt ist ja nicht portraitreif und auch nichts Besonderes. Weil Pilze, die man nicht bestimmen kann, gibt es ja haufenweise.



    LG, Pablo.

  • Hallo Peter!

    Zitat


    Status quo, ich stelle Funde ein, du runzelst die Stirn, ja?


    Kann schon sein.
    Denn dann bin ich auf der sicheren Seite, und am 1.1.2017 lasse ich meinen wunderbaren Gewinn gleich von den zu diesem Zeitpunkt rückkehrwilligen Gästen bei dir (du weißt schon, die mit Fell und Plappermaul und zeitweiligem Unsinn im Kopf) mitbringen.


    Zitat


    Sofern du nicht auf eine von fünf angebotenen Wetten eingehst, wandern 35 Chips zu mir, o.k. ?


    Wette annehmen und erst dann versuchen zu verhandeln, das ist aber schon recht ungeschickt.........

    Zitat


    Der 1.1.2017 ist ein krudes Datum, die Iden im selbrigen nehmen wir.


    Da brauchst du mir auch nicht mit einem mir unverständlichen komischen Dialekt zu kommen!
    Wette ist Wette (Und ich werde endlich reich!! Dann kaufe ich alle Pilzfloren von Baden Württemberg auf....... und verschleudere die für 29 Euro).


    VG Ingo W

    ________________________________________________________________
    "Pilz nur von oben ist wie Käfer nur von unten"

    145-15 (Teilnahme APR 2023) = 130+3 (10. Platz) = 133+3 (Unbewusst-Phal) = 136+5 (Lupus-Wette-APR-Sieger=ü300) = 141+5 (GnE-Gewinnsteuer-APR23) = 146+7 (Phalplatz 1) = 153-20 (Teilnahme APR 2024) = 133+5 Honorar APR = 138+8 (APR-Treppchenwette 2.Pl.) = 146+4 (APR-Früh-Joker-Bonus 1.Pl.) = 150+15 (Phalprämierung 2. + 5. Pl) = 165-20 (Teilnahme APR 2025) = 145+4 (8. Pl. APR2025) = 149+3 (GnE-Prozent-Gewinnabstaube) = 152+9 (2.Platz Phalprämierung) = 161


    Link: Gnolmengalerie

    Link: Auflösung APR 2025

    Link: Nanzn 2025

    Link: APR 2025

    Einmal editiert, zuletzt von Ingo W ()

  • Hallo,


    @ Ingo,


    du schickst mir zur Adventszeit den Tippfehler-Gnolm nicht auf die *Rutastat* und ich verbeiss' mir dafür meinen Dialekt. Manchmal. Vielleicht. :cool:


    So trivial kann ein Pilz gar nicht sein, dass ich nicht noch einmal zum Fundort fahre.


    Erfreue dich an deinen 135 Chips, solange du sie noch hast,


    :evil:


    LG
    Peter



    @ Pablo,


    die Phlebia habe ich aussporen lassen, leider eine Leermeldung.


    Die frische von gestern ist im Kühlschrank, es gibt angeblich einen Expressdienst, der innerhalb von 24 Stunden liefert. Magst sie frisch oder als Exsikkat?


    Der Merulius, der anscheinend keiner sein will, wird getrocknet.


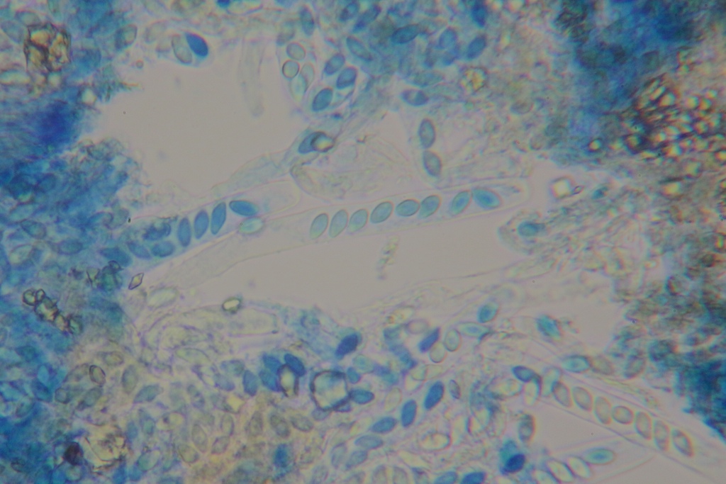
    Den von dir in Frage gestellten Erlenkätzchen-Becherling habe ich mikroskopiert. Bei einem Winzling von 1,5 mm war es eine nicht zu schaffende Hürde, die Erde zur Gänze zu entfernen. Zwischen den Sandkörnern habe das wenig verwertbare herausgeschnipselt.


    Die Messdaten,


    Sporen: 7,5 -10,0 x 3,5 -5 µ, elliptisch bis unregelmäßig oval


    Asci: 108 x 10 µ


    Präpariert in Baumwollblau,




    Vorbehandelt in KOH, anschließend in Melzers Reagenz präpariert, +J, war ja vorgegeben/- zu erwarten,




    Der Erlenzapfen-Bercherling, Ciboria virdifusca stimmt mit meinen Messdaten nicht überein,


    Sporen: 6 -7 x 2 - 2,5 µ, schmal-elliptisch
    Asci : 69 -72 x 5,5 - 6 µ



    Das Weidenkätzchen-Becherchen, Pezizella amenti auch nicht,


    Sporen: 8 -11,5 x 3,5 - 4 µ, tropfen- bis kommaförmig
    Asci: 55 x 6 µ



    Der Erlenkätzchen-Becherling, Ciboria amentacea ist für mich schlüssig und bestätigt Magic's Bestimmung im Feld.


    ;)


    LG
    Peter

    "Die, die Kriege von oben führen sind feige Schreibtischtäter, die nicht wissen wie schrecklich Krieg ist".

    Quelle: "Masters Of War", Bob Dylan

    Einmal editiert, zuletzt von Habicht (†) ()

    • Offizieller Beitrag

    Hallo, Peter!


    Wenn der Expressdienst nicht 500 Euro oder so kostet, dann könnte man das tatsächlich mal probieren.
    Allerdings hatte ich auch mal eine Phlebia zwei Tage im Döschen versucht frisch zu halten: Das Resultat war katastrophal. Basidien waren völlig verwachsen, ausgehypht, da konnte man nichts mehr differenzieren, weil alles einfach nach irregulären Hyphenenden aussah.
    Du kannst ja jeweils eine Probe versuchen frisch zu verschicken und eine getrocknet. Dann sollte nichts schief gehen.
    Den Becherling hatte ich ja nur hinterfragt, nicht direkt bezweifelt. Mit diesen Becherlingen kenne ich mich viel zu wenig aus und müsste auch jetzt erstmal in meinen Dateien schauen, was ich so für Mikros erfasst habe und was die Literatur so hergibt.
    Bestimmungstechnisch halte ich mich da lieber zurück.



    LG, Pablo.

  • Hallo Peter!

    Zitat


    Erfreue dich an deinen 135 Chips, solange du sie noch hast,....


    Genau! An den 135 und dann später auch an den 140, 145, 155............., am 1.1.2017 dann 156......


    Zitat


    Den von dir in Frage gestellten Erlenkätzchen-Becherling habe ich mikroskopiert. Bei einem Winzling von 1,5 mm war es eine nicht zu schaffende Hürde.......


    Die Erlenkätzchen-Ciboria geht ihren Gang, da hatte mich das Nahbild des Substrates schon überzeugt.
    Anfänglich hörte sich das bei eurem Fundbericht eben so an, als wären Erlenkätzchen am Fundort irgendwie mysteriös. Erst sehr viel später kam ja die Aussage, dass auch Erlen am Fundort waren.


    Wenn du mich jetzt natürlich mit Bechermaßen von 1,5mm für die abgebildete Ciboria amentacea auf eurem Bild auf die Probe zu stellen versuchst, haben wir das nächste, was ich anzweifele!


    Wenn du dir mal deine Konkurrenz-Ideen Ciboria viridifusca und Pezizella/Crocicreas/Cyathicula amenti im Bild anschaust, wirst du sehen, dass die in einer ganz anderen Liga spielen. Achte mal auf die Größe der Kätzchen im Verhältnis zu den Becherchen!
    Ciboria viridifusca wächst außerdem nur auf Erlenzapfen:
    http://www.pharmanatur.com/Myc…Ciboria%20viridifusca.htm


    Crocicreas/Cyathicula/Pezizella amenti:
    https://c1.staticflickr.com/9/…65705815_a393d9f8ba_b.jpg


    Diesen schönen und interessanten Grünerlen-Zystidenrindenpilz Peniophora aurantiaca kann man wohl nicht auch in Pablos Sendung dazulegen?


    VG Ingo W

    ________________________________________________________________
    "Pilz nur von oben ist wie Käfer nur von unten"

    145-15 (Teilnahme APR 2023) = 130+3 (10. Platz) = 133+3 (Unbewusst-Phal) = 136+5 (Lupus-Wette-APR-Sieger=ü300) = 141+5 (GnE-Gewinnsteuer-APR23) = 146+7 (Phalplatz 1) = 153-20 (Teilnahme APR 2024) = 133+5 Honorar APR = 138+8 (APR-Treppchenwette 2.Pl.) = 146+4 (APR-Früh-Joker-Bonus 1.Pl.) = 150+15 (Phalprämierung 2. + 5. Pl) = 165-20 (Teilnahme APR 2025) = 145+4 (8. Pl. APR2025) = 149+3 (GnE-Prozent-Gewinnabstaube) = 152+9 (2.Platz Phalprämierung) = 161


    Link: Gnolmengalerie

    Link: Auflösung APR 2025

    Link: Nanzn 2025

    Link: APR 2025

    Einmal editiert, zuletzt von Ingo W ()

    • Offizieller Beitrag

    Hallo.


    Diesen schönen und interessanten Grünerlen-Zystidenrindenpilz Peniophora aurantiaca kann man wohl nicht auch in Pablos Sendung dazulegen?


    Von meiner Seite kein Problem.
    Ich denke allerdings, daß "Magic" die Sporen schon vermessen hat und das feststellen kann:
    P. incarnata Sporenbreite < 5 µm
    P. aurantiaca Sporenbreite > 8 µm
    P. erikssonii Sporenbreite > 10 µm & ohne Schnallen



    LG, Pablo.