Hallo zusammen
Vergangene Woche hatte unser Verband die Tagung der wissenschaftlichen Kommission in Champéry.
Die Bedingungen waren leider nicht optimal, aber mit etwas Fantasie fand man genug feuchte Gebiete mit interessanten Pilzen.
Mein grösstes Highlight war natürlich, dass Ditte uns mit ihrer Anwesenheit beehrte und einen fantastischen Vortrag hielt.
Aber auch aus der Pilzwelt kann ich ein paar schöne Sachen zeigen. Bitte korrigiert mich, wenn etwas nicht stimmt.
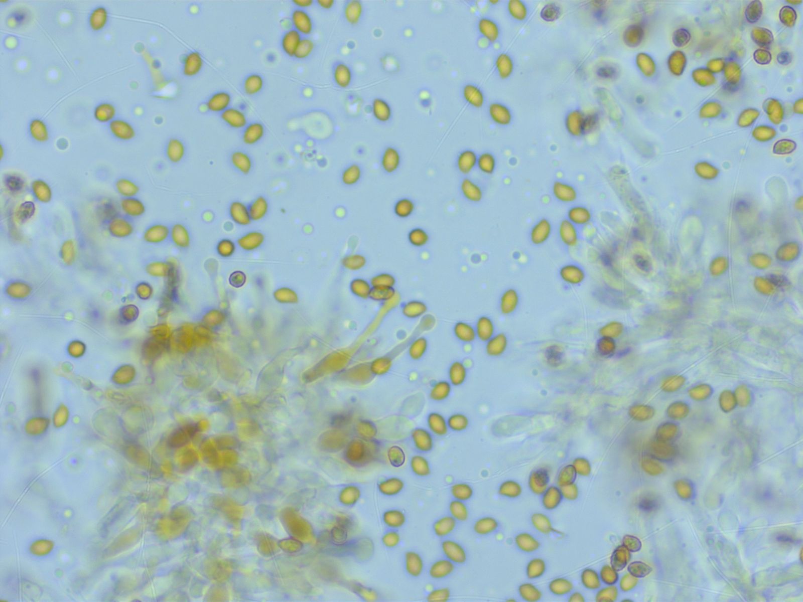
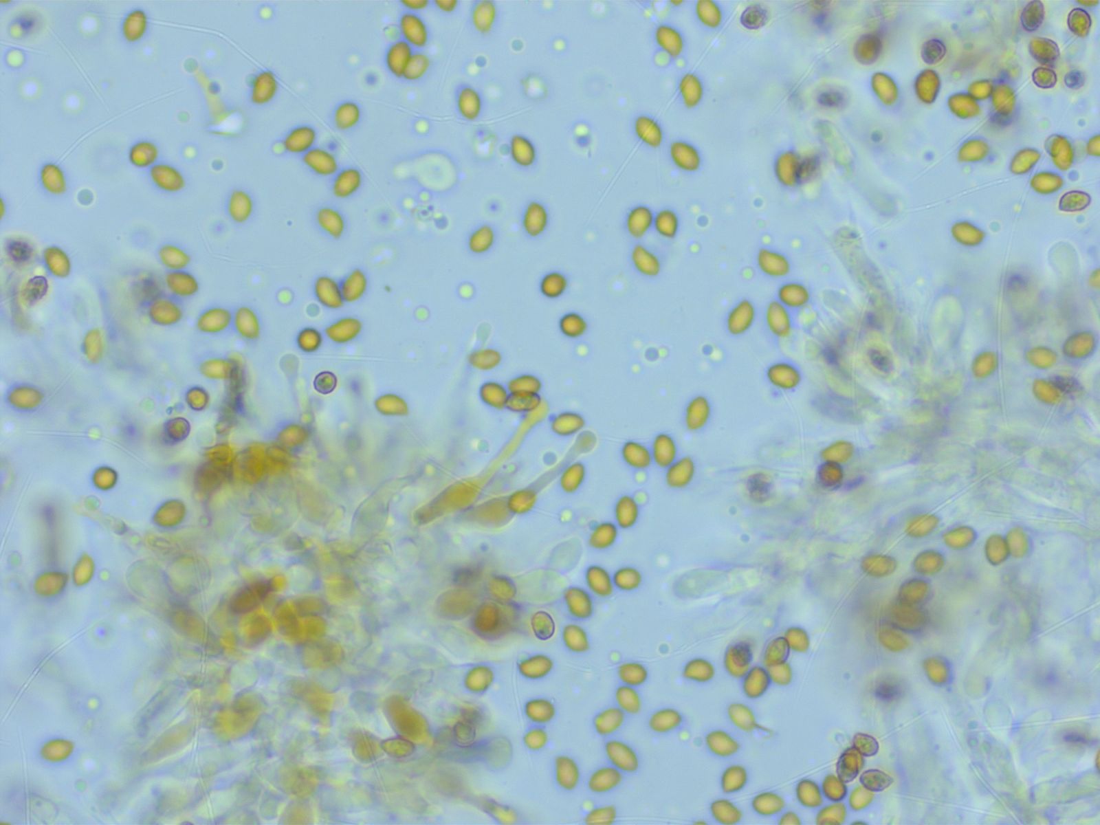
1:
Dieser winzige Mehlräsling war wohl noch nicht ganz ausgewachsen, die Hüte waren nicht breiter als 15mm.
Irgendwie hatte ich aber ein komisches Gefühl, dass es kein normaler Clitopilus prunulus sein könnte.
Die Sporen waren so wie man es bei Clitopilus kennt, mit Längsrippen.
An der Lamellenschneide gab es dicht gedrängte Cheilozystiden in mannigfaltiger Form.
Also vielleicht Clitopilus cystidiatus?
Aber dieser hier hatte ebenso viele Pleurozystiden, das hat C. cystidiatus nicht.
Mit Pleuros gibt es meines Wissens nur noch eine Art die in Frage kommt:
Clitopilus chrischonensis. Meine Exemplare rochen allerdings nach Mehl und waren viel zu klein, was beides nicht zu dieser kürzlich beschriebenen Art passt.
Da wird wohl eine Sequenzierung nötig sein.
2:
Diesen unglaublich grazilen Dachpilz habe ich als Pluteus semibulbosus bestimmt. Manche sehen darin ein Synonym von P. plautus.
Der linke Fruchkörper ging leider kaputt, als ich ihn mit einem Grashalm berührte.
Sporen recht klein, ansonsten typische Dachpilz-Sporen.
Zystiden nicht sehr zahlreich, zylindrisch, einige mit apikalem Fortsatz.
HDS im Zentrum aus zylindrischen oder keuligen Zellen.
3:
Kleine braune Pilze machen mir meistens Spass. Der hier ist recht bekannt, Simocybe centunculus.
Die Sporen sind bei Simocybe wenig aussagekräftig.
Zystiden zylindrisch oder leicht keulig
HDS zellig, nur mit kurzen Pileozystiden.
4:
Hieran habe ich lange herumgerätselt. Die Mikromerkmale lassen rasch vermuten, dass es ein Erlenschnitzling ist.
Aber leider fehlen in der Funga Nordica einige Arten dieser Gattung.
Sporen kräftig warzig und mit typischer Naucoria-Form.
Die Zystiden haben einen rundlichen Bauchteil und einen im Verhältnis enorm langen Hals, der teilweise leicht kopfig endet.
Das ist typisch für diese Art: Alnicola longicystis.
Pleurozystiden gab es wenige, in der Nähe der Schneide.
5:
Dieser trichterlingsartige Pilz unter Erlen hat mich viel Zeit gekostet.
Recht schnell war klar, dass es ein Lyophyllum ist, die Basidien sind siderophil. Aber dann welches...
Die Sporen sind winzig, maximal 5 µm lang. Leider gab es keinen brauchbaren Sporenabwurf.
Die Lamellenschneide ist heteromorph, mit zahlreichen kleinen Zystiden.
Im Moment finde ich nur eine Art die dazu passt, Lyophyllum minimisporum. Leider eine mediterrane Art...
6:
Noch ein Lyophyllum, das ich im Feld zuerst für einen Rötling hielt. Und ebenso schwierig, einen Namen dran zu schreiben.
Auch hier wieder stark siderophile Basidien.
Sporen etwas grösser, mit abgeschrägtem Apikulus und einem grossen Tropfen.
Ich komme irgendwo in die Nähe von Tephrocybe coracina, ohne jede Gewähr.
7:
Dieser kleine Holzpilz ist unverkennbar: Gymnopilus bellulus.
Kleine, kräftig warzige Sporen
Zystiden recht klein und kopfig.
8:
Ein zarter, trichterlingsartiger Pilz mit Mehlgeruch.
Hier ist der entscheidende Hinweis, dass die Sporen amyloid sind. Da passt nur Pseudoomphalina kalchbrenneri.
Schliesslich noch ein paar bekanntere Arten ohne Mikrobilder, damit ich euch nicht unnötig langweile.
Die Risspilze gingen alle über den Tisch von Ditte, deshalb verzichte ich auch bei denen auf Mikrodetails.
9: Mycena arcangeliana
10: Pluteus phlebophorus
11: Clitocybe fragrans
12: Inocybe geophylla ss. str.
13: Lepiota pseudolilacea
14: Lepista gilva
15: Arrhenia epichysium
16: Psathyrella bipellis
17: Galerina pseudomycenopsis
18: Inocybe nitidiuscula
19: Inocybe pelargonium
20: Cystolepiota seminuda
21: Inocybe pudica
22: Pholiotina vexans
Gruss Raphael
